Nel 2021, un paziente di 38 anni, non fumatore, si presentava all’attenzione del medico odontoiatra per la risoluzione di una recessione gengivale a carico dell’elemento 23, trattato precedentemente con materiale composito. All’esame clinico si evidenziava la presenza di recessioni gengivali di tipo I e di lesioni cervicali non cariose a carico degli elementi 21-25. In accordo con il paziente si conveniva dapprima di eseguire il restauro in composito delle lesioni cervicali non cariose degli elementi dentali.
Successivamente, veniva trattato l’intero quadrante con una procedura di chirurgia mucogengivale che combinava la tecnica del lembo a posizionamento coronale modificata (Multiple Coronally Advanced Flap, MCAF) e l’innesto di una matrice collagenica tridimensionale di origine equina. I risultati a 1 mese e a 1 anno di follow-up mostravano un ottimo mantenimento volumetrico che garantiva un’ottima estetica dei tessuti molli.
Introduzione
La recessione gengivale è definita come la migrazione del margine gengivale apicalmente alla giunzione amelo-cementizia1. L’eziologia delle recessioni gengivali è multifattoriale e coinvolge sia fattori morfologici che funzionali. Le variabili morfologiche includono l’anatomia ossea (fenestrazioni, deiscenze), la dimensione, la forma e la posizione del dente e infine i tessuti molli come la gengiva, la mucosa e i muscoli2. Le variabili funzionali comprendono l’accumulo di placca, il trauma da spazzolamento e le cause di origine iatrogena2 (restauri incongrui). La recessione gengivale è una noxa che si riscontra circa nell’88% degli adulti di età superiore a 65 anni e nel 50% degli adulti tra i 18 e i 64 anni3. Le recessioni gengivali sono ulteriormente complicate dall’eventuale presenza di lesioni cervicali non cariose (NCCLs), che determinano una recessione gengivale più profonda e riducono la probabilità di ottenere una completa copertura radicolare (CRC)4, 5. L’approccio terapeutico iniziale alla recessione gengivale deve mirare a eliminare i fattori eziologici modificabili che ne favoriscono lo sviluppo (trauma da spazzolamento, accumulo di placca).
Successivamente con la chirurgia è possibile ottenere la ricopertura radicolare e ripristinare l’estetica del paziente. La scelta della tecnica da usare non può prescindere da una diagnosi accurata del difetto e dalla sua classificazione, che si basa su parametri clinici ben definiti6. Tra le tecniche più utilizzate per le recessioni singole vi è la tecnica del lembo a posizionamento coronale (Coronally Advanced Flap, CAF)7. Quest’ultima è stata successivamente modificata nella MCAF (Multiple Coronally Advanced Flap) per il trattamento di recessioni multiple8. È stato dimostrato che la tecnica CAF associata all’innesto di connettivo offre risultati migliori in termini estetici e di copertura radicolare rispetto alla sola CAF9. Il connettivo viene tipicamente prelevato dal palato in corrispondenza della zona molare-premolare omolaterale alla sede d’innesto.
Tuttavia, questa procedura risulta invasiva per il paziente, prolunga il tempo della chirurgia e aumenta la morbilità dell’intervento. Inoltre, la mucosa del palato deve avere uno spessore di almeno 2.5 mm per fornire una quantità sufficiente di tessuto connettivo (0.8-1.2 mm) da utilizzarsi come innesto connettivale10. Nel caso di recessioni multiple, spesso la quantità di tessuto connettivo autologo non è sufficiente per procedere in un’unica soluzione chirurgica. Per tutte queste ragioni si è diffuso l’utilizzo di sostituti connettivali, tra cui le matrici collageniche di origine equina11, 12. Il collagene agisce da fattore chemotattico per i fibroblasti e da emostatico andando a favorire e stabilizzare il coagulo13. L’utilizzo di queste matrici collageniche si sta diffondendo anche in casi di recessioni multiple. In questo case report è presentata la risoluzione chirurgica di recessioni gengivali multiple di tipo I in presenza di NCCLs.
Case report
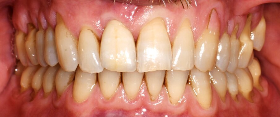
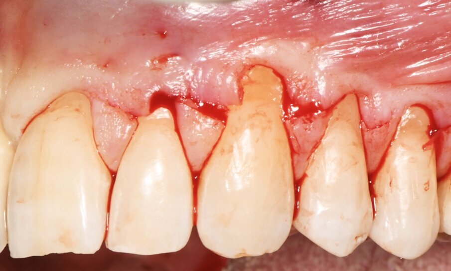
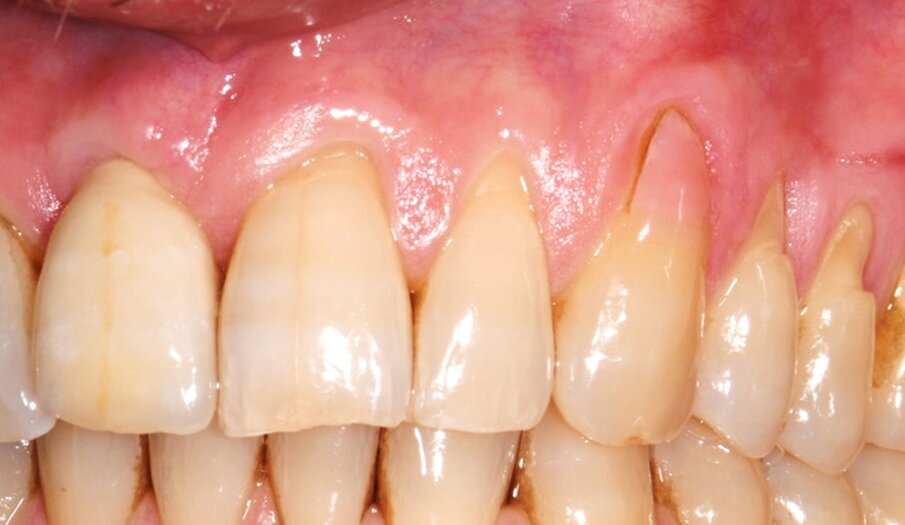
Il caso riguardava un paziente maschio di 38 anni, non fumatore, non affetto da parodontite, che si presentava nello studio per la risoluzione di una recessione gengivale a carico dell’elemento 23, trattato precedentemente con materiale composito (Fig. 1). L’esame clinico evidenziava recessioni multiple nei 4 quadranti associate a lesioni cervicali non cariose (NCCLs). In particolare, erano presenti recessioni gengivali di tipo I a carico degli elementi 21-25 (Fig. 2). Le gengive erano caratterizzate da un fenotipo sottile. Previo trattamento conservativo delle NCCLs eseguito nella settimana precedente a quella dell’intervento, veniva ripristinata la sede della giunzione smalto-cemento in sede 21-25. In accordo con il paziente si conveniva di trattare le recessioni gengivali di tipo I degli elementi 23-25 con una procedura di chirurgia mucogengivale che combinava la tecnica del lembo a posizionamento coronale MCAF e l’innesto di una matrice collagenica tridimensionale di origine equina (XC COLLAGEN Xenomatrix, Bioteck Spa). La sede delle recessioni presentava una sufficiente banda di gengiva aderente (2 mm) che consentiva l’impiego della matrice collagenica. L’area di intervento veniva anestetizzata utilizzando articaina cloridrato 40 mg + 10 µg/ml di adrenalina (Citocartin, Molteni Dental s.r.l). L’intervento per la copertura radicolare veniva eseguito con tecnica MCAF individuando il canino come centro di rotazione del lembo (Fig. 3).
Fig.1 - Esame clinico iniziale: si noti la presenza di recessioni multiple nei 4 quadranti.
Fig. 2 - Sede delle recessioni da sottoporre a chirurgia MCAF: elementi 21-25 con presenza di NCCLs.
Fig. 3 - Dettaglio delle incisioni primarie, realizzate per definire i limiti coronali del lembo e stabilire il canino come centro di rotazione.
Dopo avere eseguito le incisioni primarie si provvedeva a elevare e mobilitare il lembo con tecnica mista: a spessore parziale in corrispondenza delle papille fino all’altezza del margine apicale delle recessioni, a spessore totale fino al raggiungimento della linea muco-gengivale e infine a spessore parziale apicalmente alla linea muco gengivale per la mobilizzazione in direzione apicale del lembo (Fig. 4). Il sito ricevente è stato trattato mediante levigatura radicolare meccanica della quota di radice esposta in cavo orale dalla recessione e disepitelizzazione delle papille anatomiche. Successivamente la matrice tridimensionale collagenica veniva sagomata in modo da coprire le radici esposte dal 23 al 25 e stabilizzata in sede con suture alla base delle papille anatomiche (Fig. 5). La matrice collagenica, una volta posizionata asciutta nel sito ricevente in modo da facilitarne la sutura, aderiva naturalmente ai tessuti. La matrice veniva suturata senza tensione con punti staccati, alla base delle papille anatomiche, con un filo Polyglactine 6-0 ago 3/8 Reverse - cut Surgicryl (SMI AG Steinberg 8 - 4780 ST.VITH) (Fig. 6).
Fig. 4 - Dettaglio del lembo a busta ottenuto mediante scollamento dai piani sottostanti con tecnica a spessore misto (parziale -totale-parziale).
Fig. 5 - Apposizione della matrice collagenica tridimensionale di origine equina, fissata con punti staccati alla base delle papille anatomiche, imbibita di sangue per ottenere la copertura radicolare degli elementi 23-25.
Fig. 6 - Il lembo a busta è posizionato coronalmente e fissato in sede con punti sospesi.
Una volta imbibita di sangue la matrice, il lembo veniva posizionato apicalmente con suture sospese alla base delle papille, utilizzando un filo Polyglactine 6-0 ago 3/8 Reverse - cut Surgicryl (SMI AG Steinberg 8 - 4780 ST.VITH). Dopo l’intervento, il paziente seguiva una terapia domiciliare a base di amoxicillina ac. clavulanico 875/125 mg: una compressa ogni 12 ore per 6 giorni. In aggiunta, Ibuprofene 600 mg: una compressa ogni 12 ore i primi 2 giorni; successivamente terapia da continuare fino alla scomparsa dei sintomi dolorosi. A livello della sede operata, venivano prescritti dei lavaggi con 10 ml di Clorexidina 0.12% per 30 s. A livello di igiene orale, veniva interdetto lo spazzolamento dei denti nel secondo quadrante per i primi 14 giorni. Nei 14 giorni successivi, si prescriveva lo spazzolamento dei denti solo in corrispondenza della corona con spazzolino morbido e testina piccola. Le suture venivano rimosse a 2 settimane dall’intervento.
Le immagini dei controlli a 1 mese e ad 1 anno dimostravano come la tecnica MCAF con l’interposizione della matrice collagenica tridimensionale di origine equina (XC COLLAGEN Xenomatrix, Bioteck Spa) sia in grado di garantire un risultato stabile in termini di copertura radicolare (Figg. 7-10b).
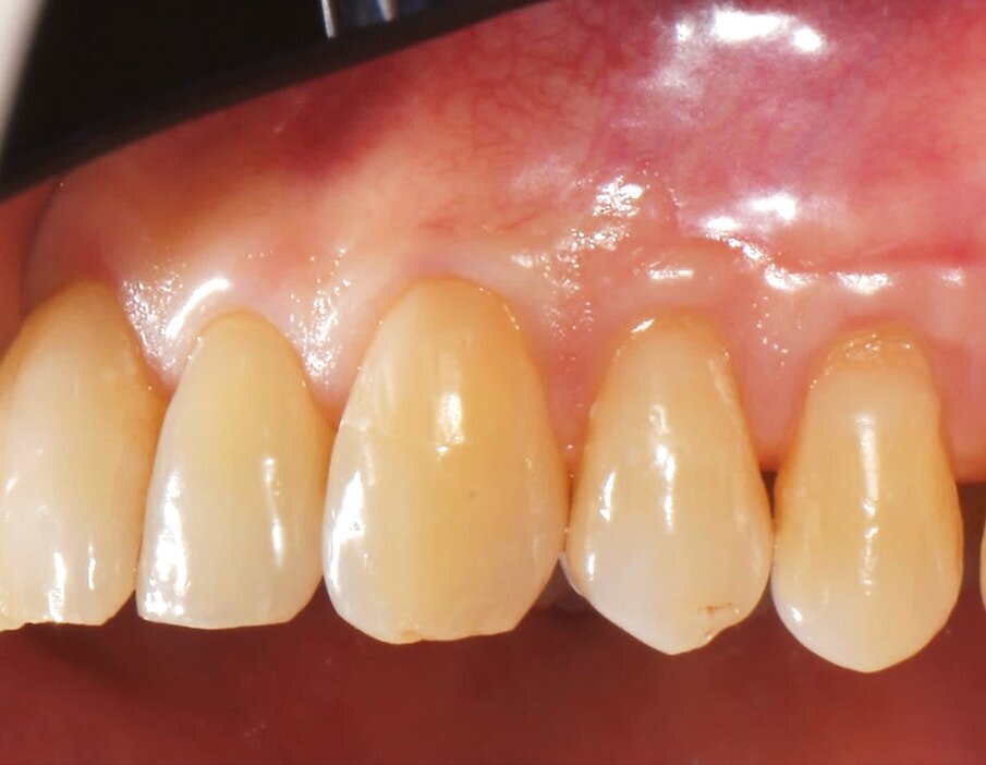
Fig. 7 - Il controllo della guarigione a 1 mese evidenzia una buona integrazione dell’innesto e una maturazione ancora incompleta delle papille.
Fig. 8 - Controllo della guarigione a 1 anno: il sito trattato non presenta disarmonie cromatiche e di spessore in corrispondenza della mucosa orale.
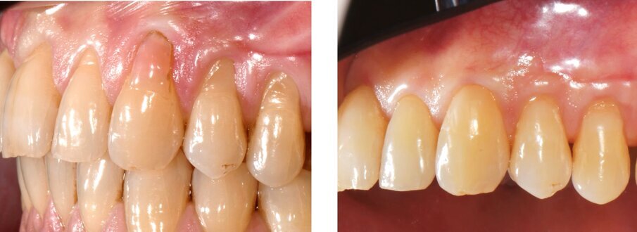
Figg. 9a, 9b - Particolare della guarigione in corrispondenza del 23. A sinistra la situazione iniziale, con la copertura in composito. A destra, ad 1 anno dalla chirurgia di ripristino della copertura radicolare.
Figg. 10a, 10b - Confronto tra la situazione di recessione gengivale iniziale nel secondo quadrante e ad 1 anno di follow-up. Si noti l’ispessimento dei tessuti molli e l’ottima copertura radicolare raggiunta.
Discussione e conclusioni
Le recessioni gengivali multiple sono trattate con diversi tipi di chirurgia, tra cui una delle più utilizzate è la MCAF8. Sebbene esista in letteratura evidenza del trattamento di recessioni multiple mediante MCAF8, 9, 14, meno comuni sono gli studi che mostrano la risoluzione di difetti combinati, ovvero di recessioni multiple in presenza di NCCLs15 e fenotipo sottile. Infatti dalla letteratura emerge come la presenza di lesioni cervicali non cariose concomitanti a recessioni gengivali possa essere associata a un incremento delle possibilità di insuccesso di copertura radicolare16. Il presente case report mostra il buon risultato di un approccio combinato, in cui inizialmente vengono trattate le NCCLs (una settimana precedente l’intervento) e poi si prosegue con la tecnica MCAF associata all’utilizzo di una matrice collagenica tridimensionale. La matrice collagenica tridimensionale di origine equina ha consentito di evitare il prelievo da palato e di ridurre i tempi chirurgici. Ciò ha permesso di ridurre il disagio per il paziente e di operare su ogni recessione gengivale con una sola chirurgia. I risultati mostrano un corretto ispessimento del tessuto cheratinizzato che viene mantenuto nel tempo (Figg. 10a, 10b). L’integrazione tessutale oltre a garantire la stabilità del risultato della chirurgia nel tempo favorisce un’estetica soddisfacente, priva di disarmonie dovute all’eccessivo spessore delle parti innestate (come può avvenire con l’impiego del connettivo prelevato dal palato)8, e al tempo stesso un’ottima estetica data dall’assenza di discromie della mucosa (Figg. 10a, 10b).
Bibliografia
- Pini Prato G.. Mucogingival deformities. Ann Periodontol, 4, (1), 98-101 (1999).
- Dominiak M, & Gedrange T.. New perspectives in the diagnostic of gingival recession. Adv Clin Exp Med, 23, (6), 857-863 (2014).
- Kassab MM & Cohen RE.. The etiology and prevalence of gingival recession. J Am Dent Assoc, 134, (2), 220-225 (2003).
- Teixeira DNR, et al. Relationship between noncarious cervical lesions, cervical dentin hypersensitivity, gingival recession, and associated risk factors: A cross-sectional study. J Dent, 76, 93-97 (2018).
- Vignoletti F., et al. Prevalence and risk indicators of gingival recessions in an Italian school of dentistry and dental hygiene: a cross-sectional study. Clin Oral Investig, 24, (2), 991-1000 (2020).
- Cairo F., et al. The interproximal clinical attachment level to classify gingival recessions and predict root coverage outcomes: an explorative and reliability study. J Clin Periodontol, 38, (7), 661-666 (2011).
- Allen E.P. & Miller P.D., Jr. Coronal positioning of existing gingiva: short term results in the treatment of shallow marginal tissue recession. J Periodontol, 60, (6), 316-319 (1989).
- Zucchelli G. & De Sanctis M.. Treatment of multiple recession-type defects in patients with esthetic demands. J Periodontol, 71, (9), 1506-1514 (2000).
- Pini-Prato G.P., et al. Coronally advanced flap versus connective tissue graft in the treatment of multiple gingival recessions: a split-mouth study with a 5-year follow-up. J Clin Periodontol, 37, (7), 644-650 (2010).
- Bednarz W., et al. Coronally Advanced Flap in the Treatment of Multiple Adjacent Gingival Recessions along with a Connective Tissue Graft Harvested from Augmented or Nonaugmented Palatal Mucous Membrane: A Two-Year Comparative Clinical Evaluation. Applied Sciences, 11, (3), 1081 (2021).
- Tarquini G.. Coronally advanced flap technique to treat Class I and II gingival recession in combination with connective tissue graft or equine collagen matrix: A retrospective study. Int J Periodontics Restorative Dent, 37, (4), e217-e223 (2017).
- Leonida A., et al. Socket preservation using enzyme-treated equine bone granules and an equine collagen matrix: a case report with histological and histomorphometrical assessment. J Contemp Dent Pract, 17, (11), 890-896 (2016).
- Carnio J. & Hallmon W.W.. A technique for augmenting the palatal connective tissue donor site: clinical case report and histologic evaluation. Int J Periodontics Restorative Dent, 25, (3), 257-263 (2005).
- Cairo F., et al. Clinical efficacy of coronally advanced flap with or without connective tissue graft for the treatment of multiple adjacent gingival recessions in the aesthetic area: a randomized controlled clinical trial. J Clin Periodontol, 43, (10), 849-856 (2016).
- de Sanctis M., et al. The Influence of Cementoenamel Restorations in the Treatment of Multiple Gingival Recession Defects Associated with Noncarious Cervical Lesions: A Prospective Study. Int J Periodontics Restorative Dent, 40, (3), 333-342 (2020).
- Rasperini G., et al. Predictor factors for long-term outcomes stability of coronally advanced flap with or without connective tissue graft in the treatment of single maxillary gingival recessions: 9 years results of a randomized controlled clinical trial. J Clin Periodontol, 45, (9), 1107-1117 (2018).
Nota editoriale:
L’articolo è stato pubblicato su Perio Tribune Italian Edition settembre 2022.
Tag:
L’articolo presenta una case series (10 casi clinici) di trattamento non chirurgico di tasche parodontali. In tutti i casi è stato applicato un nuovo ...
Le recessioni gengivali, patologiche esposizioni radicolari con migrazione apicale del tessuto marginale (Fig. 1), sono largamente diffuse. Esse ...
GREIFSWALD, Germania: In precedenti studi, la parodontite è stata associata al rischio di sviluppo dell’Alzheimer. Dal 1997 lo Study of Health in ...
Le tecniche di Odontoiatria e laboratorio Odontotecnico si sono evolute rapidamente negli ultimi anni, tuttavia è ancora difficile stabilire protocolli ...
Gli allineatori trasparenti hanno guadagnato grande popolarità negli ultimi vent’anni, specialmente nel trattamento ortodontico dei pazienti adulti. ...
La paziente in questione si presenta alla nostra attenzione nell’estate 2014: donna di 47 anni con anamnesi negativa. La bocca era in buone condizioni...
La paziente in questione si presenta alla nostra attenzione nell’estate 2014: donna di 47 anni con anamnesi negativa. La bocca era in buone condizioni...
In odontoiatria, le tecniche di conservazione della cresta alveolare (ARP) vengono utilizzate per preservare il riassorbimento fisiologico che si verifica ...
Una delle problematiche cliniche più difficoltose da affrontare è l’atrofia della mandibola posteriore in quanto, in seguito alla ...
La paziente donna di 72 anni in buono stato di salute generale si presentò alla nostra attenzione per la mancanza dei denti nei settori inferiori ...
Live webinar
mer. 22 aprile 2026
17:00 (CET) Rome
MDT Andreas Chatzimpatzakis
Live webinar
mer. 22 aprile 2026
17:00 (CET) Rome
Live webinar
mer. 22 aprile 2026
18:00 (CET) Rome
Live webinar
gio. 23 aprile 2026
17:00 (CET) Rome
Live webinar
gio. 23 aprile 2026
18:30 (CET) Rome
Live webinar
gio. 23 aprile 2026
19:00 (CET) Rome
Live webinar
gio. 30 aprile 2026
1:00 (CET) Rome
Dr. Renato Leonardo D.M.D.
To post a reply please login or register