Gli allineatori trasparenti hanno guadagnato grande popolarità negli ultimi vent’anni, specialmente nel trattamento ortodontico dei pazienti adulti. Nonostante la richiesta sempre crescente per questo tipo di trattamento, gli allineatori rappresentano ancora oggi una scelta costosa e impegnativa in termini di collaborazione1.
Al fine di superare i limiti della produzione di allineatori tramite termoformatura, si è aperta negli ultimi anni la possibilità di stampare direttamente gli allineatori a partire da un materiale biocompatibile grazie all’utilizzo delle più moderne stampanti tridimensionali (3D)2.
Riguardo all’efficacia del trattamento, gli allineatori sono da considerarsi un’alternativa valida all’apparecchio fisso tradizionale nei pazienti che presentano malocclusioni di entità lieve/moderata3. Solo in questi casi selezionati, possono avere effetti favorevoli sulla durata della terapia, il numero di urgenze e il numero complessivo di appuntamenti, rispetto al trattamento tradizionale4. Tuttavia, è dimostrato come la collaborazione rappresenti un grande limite. Valutando la risposta alla richiesta di indossare gli allineatori per 22 ore al giorno, solo il 36% mostra piena risposta, il 38,3% una risposta sufficiente mentre il 25,7% una scarsa risposta5. Lo specialista deve quindi sempre considerare che l’esito della terapia potrebbe essere compromesso per questa ragione. Considerando questo problema, all’interno della Scuola di Specializzazione dell’Università di Ferrara abbiamo quindi valutato se le nuove tecnologie nella stampa 3D e i materiali a disposizione in commercio possano ridurre il numero di ore di collaborazione richieste.
Caso clinico
Una paziente femmina di 20 anni si rivolge al reparto di Ortognatodonzia della Scuola di Specializzazione dell’Università di Ferrara. La sua richiesta è quella di eseguire un trattamento ortodontico di allineamento del gruppo frontale superiore e inferiore, ma escludendo l’utilizzo delle apparecchiature fisse. Dall’anamnesi iniziale la paziente è in ottimo stato di salute generale e riferisce di non essere stata mai sottoposta a trattamento ortodontico o ad alcun tipo di intervento odontoiatrico. Dall’esame intra-orale, riscontriamo infatti un affollamento superiore e inferiore in zona anteriore con deviazione della linea mediana dentale inferiore verso destra rispetto a quella superiore di circa 2 mm. È inoltre apprezzabile uno slivellamento marcato delle parabole gengivali soprattutto in zona mandibolare. In particolare, in arcata superiore, gli incisivi centrali sono caratterizzati da una leggera retroclinazione, mentre gli incisivi laterali si presentano ruotati.
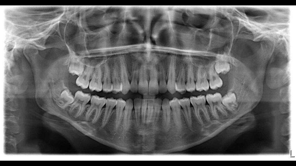
L’incisivo laterale di destra (1.2) si trova inoltre vestibolarizzato rispetto ai denti adiacenti e maggiormente intruso rispetto al controlaterale. In arcata inferiore, l’affollamento da canino a canino è di grado moderato. L’incisivo laterale di destra (4.2) è particolarmente lingualizzato rispetto ai denti adiacenti. È inoltre apprezzabile una classe I molare e canina bilaterale e contrazione dento-alveolare di entrambe le arcate. Si evidenziano accumuli di placca e tartaro specialmente in zona linguale a livello interprossimale. La paziente riferisce di aver eseguito l’igiene orale professionale più di 12 mesi prima. Dall’ortopanoramica iniziale tuttavia non si riscontrano segni di malattia parodontale, né riassorbimenti radicolari o risentimenti peri-apicali. Tutti i denti del giudizio sono presenti ma in inclusione ossea per mancanza di spazio in arcata.
Considerando il grado di malocclusione presente, alla paziente è stato proposto un piano di trattamento che prevedeva l’utilizzo di allineatori trasparenti 22 ore al giorno per un tempo inferiore a 12 mesi. Tuttavia, a causa degli impegni universitari e sportivi, la paziente rifiuta questa possibilità poiché non in grado di garantire una collaborazione giornaliera così costante con gli allineatori. Dato che la paziente richiedeva di evitare l’apparecchio fisso, abbiamo proposto l’utilizzo di NOXI (Sweden&Martina, Due Carrare, Italy), 3d-printed night aligners, da indossare per solo 12 ore giornaliere. La paziente ha accettato volentieri la ridotta estetica di questi allineatori, considerando la richiesta di collaborazione limitata solo alle ore in ambiente domestico.
Sono state quindi acquisite le scansioni intra-orali delle arcate ed eseguito un setup virtuale del trattamento con 15 allineatori superiori e inferiori previsti. L’obiettivo della pianificazione è stato quello di risolvere l’affollamento anteriore, ottenendo un corretto allineamento e livellamento delle arcate, mantenendo la classe I molare bilaterale. Non sono stati previsti grip point per tutta la durata del trattamento. Alla paziente è richiesto di indossare ogni coppia di allineatori per 14 giorni, con una collaborazione giornaliera non inferiore a 12 ore. È stata eseguita una graduale riduzione interprossimale (IPR) di 0,2 mm dalla superficie mesiale del dente 4.3 alla superficie mesiale del dente 3.3 nell’arcata inferiore, e di 0,1 mm dalla superficie mesiale di 1.4 alla superficie mesiale di 2.3 nell’arcata superiore. A seguire, è stata acquisita nuovamente una scansione delle arcate e programmata una rifinitura di 5 allineatori superiori e inferiori per perfezionare la posizione dell’elemento 1.2 e l’allineamento inferiore.
La paziente ha apprezzato l’utilizzo di questi allineatori per la ridotta necessità di collaborazione richiesta. Rispettando i tempi previsti di trattamento, sono stati raggiunti tutti gli obiettivi prefissati in 10 mesi di terapia attiva. Al termine, è stato richiesto di utilizzare l’ultimo allineatore della serie della rifinitura come contenzione notturna. Dalle fotografie intra-orali eseguite a fine trattamento possiamo infatti riscontrare un buon allineamento delle arcate, in particolare del gruppo frontale sia superiore che inferiore. Permane una leggera deviazione della linea mediana dentale inferiore, riconducibile a una asimmetria scheletrica presente a livello mandibolare.
Figg. 1a-1c - Vista frontale a inizio (a), durante (b) e fine trattamento (c).
Fig. 2 - Ortopantomografia a inizio trattamento.
Figg. 3a-3f - Vista occlusale a inizio (a, b), durante (c, d) alla consegna dell’allineatore NOXI numero 1 e fine trattamento (e, f).
Conclusioni
Grazie alle nuove tecnologie 3d-printing e all’ausilio di un nuovo materiale utilizzato per la stampa diretta di allineatori, abbiamo fornito alla paziente una valida soluzione di trattamento con una ridotta richiesta di collaborazione giornaliera.
I Prof. Luca Lombardo e Giuseppe Siciliani presenteranno NOXI, THE 3D-PRINTED NIGHT ALIGNER al Decimo Congresso Nazionale Sialign, che si terrà a Firenze il 24 e 25 novembre 2023. Per info e iscrizione www.sialign.it
Bibliografia
- Maspero C, Tartaglia GM. 3D printing of clear orthodontic aligners: where we are and where we are going. Materials. 2020; 13(22):5204.
- Jindal, P., Juneja, M., Siena, F. L., Bajaj, D. & Breedon, P. Mechanical and geometric properties of thermoformed and 3D printed clear dental aligners. Am. J. Orthod. Dentofac. Orthop. 156, 694–701 (2019).
- Yassir YA, Nabbat SA, McIntyre GT, Bearn DR. Clinical effectiveness of clear aligner treatment compared to fixed appliance treatment: an overview of systematic reviews. Clin Oral Investig. 2022 Mar;26(3):2353-2370.
- Borda AF, Garfinkle JS, Covell DA, Wang M, Doyle L, Sedgley CM. Outcome assessment of orthodontic clear aligner vs fixed appliance treatment in a teenage population with mild malocclusions. Angle Orthod. 2020 Jul 1;90(4):485-490.
- Timm LH, Farrag G, Baxmann M, Schwendicke F. Factors Influencing Patient Compliance during Clear Aligner Therapy: A Retrospective Cohort Study. J Clin Med. 2021 Jul 14;10(14):3103.
Tag:
Introduzione
Il disallineamento dentale rappresenta un grave problema dal punto di vista funzionale, estetico ma soprattutto igienico.
I pazienti ortodontici adulti richiedono con insistenza opzioni di trattamento estetiche che abbiano il minor impatto possibile sul loro lavoro e la loro ...
I pazienti ortodontici adulti richiedono con insistenza opzioni di trattamento estetiche che abbiano il minor impatto possibile sul loro lavoro e la loro ...
L’aumento della cultura della prevenzione odontoiatrica ha portato un maggior numero di persone a sottoporsi a trattamento ortodontico in età ...
L’aumento della cultura della prevenzione odontoiatrica ha portato un maggior numero di persone a sottoporsi a trattamento ortodontico in età ...
I bifosfonati sono una classe di farmaci utilizzati per le diverse patologie che coinvolgono il turnover osseo con aumento del riassorbimento osseo e ...
AJMAN, Emirati Arabi Uniti: Uno studio condotto da ricercatori in Iraq e negli Emirati Arabi Uniti ha rilevato che i dentisti che lavorano in questi paesi ...
I pazienti non vedenti o ipovedenti non hanno mai avuto a disposizione, fino ad oggi, sussidi per comprendere a fondo le tecniche di igiene orale, il suo ...
RIYADH, Arabia Saudita: Ogni odontoiatra del mondo, prima o poi, curerà un paziente con qualche forma di disabilità mentale e, secondo recenti ricerche, ...
I mini impianti sono una valida alternativa agli impianti tradizionali per stabilizzare le riabilitazioni di arcate edentule.
Live webinar
mer. 22 aprile 2026
17:00 (CET) Rome
MDT Andreas Chatzimpatzakis
Live webinar
mer. 22 aprile 2026
17:00 (CET) Rome
Live webinar
mer. 22 aprile 2026
18:00 (CET) Rome
Live webinar
gio. 23 aprile 2026
17:00 (CET) Rome
Live webinar
gio. 23 aprile 2026
18:30 (CET) Rome
Live webinar
gio. 23 aprile 2026
19:00 (CET) Rome
Live webinar
gio. 30 aprile 2026
1:00 (CET) Rome
Dr. Renato Leonardo D.M.D.
To post a reply please login or register