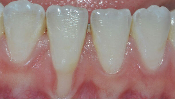
Le recessioni gengivali, patologiche esposizioni radicolari con migrazione apicale del tessuto marginale (Fig. 1), sono largamente diffuse. Esse costituiscono un problema in termini di durata degli elementi dentari otre che estetici e, talora, di ipersensibilità dentale.
Numerose tecniche sono state a oggi proposte per il trattamento chirurgico di tale condizione clinica, gran parte di esse con ormai confermata predicibilità di successo sulla base della letteratura scientifica1-5. La rigenerazione del tessuto connettivo è completa nelle recessioni inquadrabili nella prima e seconda classe secondo Miller6, condizione in cui è ancora presente l’integrità del tessuto osseo e gengivale nelle aree interprossimali in corrispondenza dei denti da trattare. Condizioni in cui altresì tale supporto interprossimale non risulti più integro, potranno essere ricoperte solo parzialmente (classe terza secondo Miller) o saranno prive di qualunque possibilità di ricopertura (classe quarta secondo Miller).
Scopo del presente lavoro è fornire sinteticamente dei criteri guida nella selezione della tecnica chirurgica finalizzata alla ricopertura radicolare, illustrando per mezzo di casi clinici le differenti opzioni terapeutiche oggi a disposizione dell’odontoiatra nella pratica quotidiana7. Laddove sussistano i requisiti di sufficiente quantità di tessuto cheratinizzato residuo apicalmente alla recessione da trattare (3 mm), saranno sempre da prediligere tecniche di posizionamento coronale del lembo8, tanto nel trattamento di recessioni singole quanto in quello di recessioni multiple. Nello stesso modo sarebbero utilizzabili tecniche di posizionamento laterale del lembo9 qualora, pur in assenza di tessuto cheratinizzato apicalmente alla recessione, vi fosse un’adeguata quantità di gengiva aderente in sede immediatamente mesiale o distale rispetto al dente da trattare: tale quantità peraltro dovrebbe prevedere una dimensione mesio-distale pari a circa tre volte l’ampiezza mesio-distale della recessione da trattare e una disponibilità verticale di tessuto cheratinizzato in corrispondenza del sito donatore pari ad almeno 6 mm (3 mm da lasciare a protezione del dente in corrispondenza di tale area donatrice più 3 mm da portare a ricopertura della radice patologicamente esposta). È evidente come tale criterio sia dunque così restrittivo da rendere questa tecnica raramente applicabile nella pratica clinica quotidiana.
Nelle procedure di lembo posizionato coronalmente, la mobilizzazione avverrà attraverso una dissezione del lembo stesso, in direzione corono-apicale, a spessore parziale nell’ambito delle papille, a spessore totale fino a superare appena la linea mucogengivale, quindi di nuovo a spessore parziale nella compagine superficiale della mucosa alveolare. La passività dei tessuti da riposizionare ottenuta mediante le suddette manovre rappresentano la chiave del successo delle tecniche in questione. La tecnica con incisioni verticali di rilascio8 verrà preferita per il trattamento di recessioni singole (Figg. 2-4), quella senza incisioni di rilascio10 si prediligerà per recessioni multiple contigue.
In questi ultimi casi verrà identificato in primis il centro di rotazione del lembo che in generale coinciderà con il canino ogniqualvolta il dente in questione risulti da trattare (Figg. 5-7); qualora le recessioni coinvolgano il settore frontale superiore, la papilla interincisiva verrà preferibilmente elevata a tunnel ma non convenzionalmente incisa e scollata (Figg. 8-10). Tale scelta di privilegiare le tecniche in cui il tessuto cheratinizzato residuo venga posizionato a livello della linea amelo-cementizia rispetto alle tecniche di innesto, risulta legata alla generale tendenza della chirurgia che l’orienta verso la selezione di tecniche a ridotta invasività.
embedImagecenter("Imagecenter_2_1321",1321,"small");
Le tecniche di innesto di tessuto connettivo prevedono infatti a oggi la necessità di ricorrere a un secondo sito chirurgico per il prelievo del tessuto stesso, esponendo dunque il paziente a una duplice possibilità di effetti collaterali e discomfort, eventi avversi largamente più frequenti nella sede palatina donatrice rispetto a quella ricevente in cui siano presenti le recessioni. Tuttavia ogniqualvolta il tessuto cheratinizzato residuo non sia sufficiente per ampiezza e spessore, la scelta ricadrà sull’utilizzo di tali tecniche di innesto. Qualora infatti non si disponga di tessuto cheratinizzato in misura di 3 mm o, per altri motivi (in primo luogo in vista di interventi restaurativi in prossimità del margine gengivale), si ritenga opportuno ispessire il tessuto marginale, si ricorrerà a innesti di tessuto connettivo con tecnica bilaminare11. Il prelievo connettivale verrà dunque ospitato tra uno strato profondo e uno superficiale, ottenendo una duplice fronte di rivascolarizzazione che consentirà le migliori condizioni di sopravvivenza del tessuto innestato. Fondamentale sarà il contatto fra la superficie dell’innesto e tale duplice fronte vascolare.
Ogniqualvolta sia possibile avere un buon rapporto tra la superficie, per così dire, avascolare dell’innesto (ovvero la porzione che riposa sulla radice resta esposta nel cavo orale profondamente e superficialmente) e la superficie vascolarizzata (ovvero racchiusa all’interno dei tessuti superficiali del sito ricevente), sarà possibile utilizzare tecniche a busta12,13 (Figg.11-14) (o a tunnel14 quando si tratti di terapia di recessioni multiple contigue). Quando tuttavia tale rapporto - descritto in letteratura come variabile a seconda dei differenti autori, ma consigliabile, alla luce della nostra personale esperienza, nella misura di 1:5 - risulti inadeguato, si renderà opportuno rivascolarizzare (cioè ricoprire totalmente un prelievo di dimensioni ridotte o destinato a ricoprire un’ampia area di recessione) l’innesto mediante un lembo posizionato coronalmente15 (Figg. 15-18) o lateralmente16 (Figg. 19-23) o ancora mediante un lembo a doppia papilla17 (Figg. 24-29). Attenendosi a questa semplice modalità di selezione, qui sinteticamente descritta, dell’opportuna tecnica chirurgica finalizzata alla ricopertura radicolare, sarà possibile con elevata predicibilità trattare con successo estetico le recessioni gengivali.
Bibliografia
1. Roccuzzo M, Bunino M, Needleman I, Sanz M. Periodontal plastic surgery for treatment of localized gingival recessions: a systematic review. J Clin Periodontol. 2002;29 Suppl 3:178-94; discussion 195-6.
2. Oates TW, Robinson M, Gunsolley JC. Surgical therapies for the treatment of gingival recession. A systematic review. Ann Periodontol. 2003 Dec;8(1):303-20.
3. Clauser C, Nieri M, Franceschi D, Pagliaro U, Pini-Prato G. Evidence-based mucogingival therapy. Part 2: Ordinary and individual patient data meta-analyses of surgical treatment of recession using complete root coverage as the outcome variable. J Periodontol. 2003 May;74(5):741-56.
4. Chambrone L, Sukekava F, Araújo MG, Pustiglioni FE, Chambrone LA, Lima LA. Root coverage procedures for the treatment of localised recession-type defects. Cochrane Database Syst Rev. 2009 Apr 15;(2):CD007161.
5. Chambrone L, Sukekava F, Araújo MG, Pustiglioni FE, Chambrone LA, Lima LA. Root-coverage procedures for the treatment of localized recession-type defects: a Cochrane systematic review. J Periodontol. 2010 Apr;81(4):452-78.
6. Miller PD jr. A classification of marginal tissue recession. Int J Periodontics Restorative Dent 1985; 5:9-13.
7. Abundo R & Corrente G. Chirurgia plastica parodontale.Trattamento estetico delle recessioni gengivali. ACME edizioni. 2010.
8. Allen E. & Miller PD. Coronal positioning of existing gingiva: Short-term result in the treatment of shallow marginal tissue recession. J. Periodontol.1989; 60: 316-319.
9. Zucchelli G., Cesari C., Amore C., Montebugnoli L., de Sanctis M. Laterally moved, coronally advanced flap: a modified surgical approach for isolated recession-type defects. J. Periodontol. 2004; 75: 1734-1741.
10. Zucchelli G & De Sanctis M. Treatment of multiple recession-type defects in patients with esthetic demands. J. Periodontol. 2000; 71: 1506-1514.
11. Langer B, Langer L. Subepithelial connective tissue graft technique for root coverage. J. Periodontol. 1985;56:715-720.
12. Raetzke PB. Covering localized areas of root exposure employing the “envelope” technique. J. Periodontol. 1985;56:397-402.
13. Abundo R, Corrente G, des Ambrois AB, Perelli M, Savio L. A connective tissue graft envelope technique for the treatment of single gingival recessions: a 1-year study. Int J Periodontics Restorative Dent. 2009 Dec;29(6):593-7.
14. Allen AL. Use of the supraperiosteal envelope in soft tissue grafting for root coverage. I. Rationale and technique. Int. J. Periodontics Restorative Dent. 1994;14:216-227.
15. Zucchelli G., Amore C., Sforza N.M., Montebugnoli L., de Sanctis M. Bilaminar techniques for the treatment of recession-type defects. A comparative clinical study. J. Clin. Periodontol. 2003; 30: 862-870.
16. Harris RJ, Miller LH, Harris CR, Miller RJ. A comparison of three techniques to obtain root coverage on mandibular incisors. J. Periodontol. 2005; 76: 1758-1767.
17. Jarris RJ. The connective tissue with partial thickness double pedicle graft: the results of 100 consecutively-treated defects. J. Periodontol. 1994;65:448-461.
Venerdì 9 luglio a Bologna presso l’hotel Savoia Regency si terrà la prima giornata dedicata al paziente della quarta età.
Venerdì 11 giugno a Bologna presso l’hotel Savoia Regency si terrà la prima giornata dedicata al paziente della quarta età.
WASHINGTON, USA: L’American Academy of Facial Plastic and Reconstructive Surgery (AAFPRS) ha recentemente pubblicato i risultati del sondaggio annuale tra...
La mancata informazione del paziente è il motivo principale per cui si riopera. Dall’Associazione Italiana di Chirurgia Plastica Estetica un ...
Introduzione
La parodontite è una malattia infettiva caratterizzata dalla perdita di strutture di supporto del dente quali il tessuto connettivo e ...
Nel 2021, un paziente di 38 anni, non fumatore, si presentava all’attenzione del medico odontoiatra per la risoluzione di una recessione gengivale a ...
A luglio, dopo un lungo periodo di fermo, il governo ha autorizzato l’organizzazione delle attività congressuali e fieristiche. La Rhein83 ha deciso di ...
La strumentazione parodontale non chirurgica è necessaria come trattamento iniziale, e come terapia di mantenimento, di qualsiasi patologia ...
Quasi un milione di interventi estetici eseguiti in Italia nel 2013, per la precisione 956.500. È quanto emerge dall'indagine condotta ...
L’aumento della cultura della prevenzione odontoiatrica ha portato un maggior numero di persone a sottoporsi a trattamento ortodontico in età ...
Live webinar
mer. 22 aprile 2026
17:00 (CET) Rome
MDT Andreas Chatzimpatzakis
Live webinar
mer. 22 aprile 2026
17:00 (CET) Rome
Live webinar
mer. 22 aprile 2026
18:00 (CET) Rome
Live webinar
gio. 23 aprile 2026
17:00 (CET) Rome
Live webinar
gio. 23 aprile 2026
18:30 (CET) Rome
Live webinar
gio. 23 aprile 2026
19:00 (CET) Rome
Live webinar
gio. 30 aprile 2026
1:00 (CET) Rome
Dr. Renato Leonardo D.M.D.
To post a reply please login or register