In letteratura, ci sono pochi studi sui canini mandibolari inclusi e sulle possibili soluzioni terapeutiche per il recupero in arcata. Il caso clinico riportato descrive un trattamento chirurgico ortodontico di successo ad un paziente di 11 anni in dentizione mista con inclusione del canino mandibolare destro.
Introduzione
L’eruzione alterata di un canino mandibolare può portare a due condizioni cliniche che possono essere combinate: l’inclusione e la trasmigrazione. Il dente incluso può occasionalmente rimanere nella stessa emiarcata o migrare lateralmente attraverso un fenomeno chiamato trasmigrazione3. L’incidenza dei canini mandibolari inclusi (CMI) e trasmigrati ha una prevalenza compresa tra 0,05% e 0,4%. I canini mandibolari e mascellari rivestono un ruolo fondamentale nel mantenimento della forma e della funzione dell’arcata, ed il mancato recupero dei canini inclusi può comportare il riassorbimento o la migrazione delle radici vicine, la perdita della forma dell’arcata naturale e la formazione di cisti dentigere4. Secondo la classificazione di Mupparapu (Fig. 1), i CMI sono classificati in cinque tipi, di cui il tipo 1 è il più frequente5. La diagnosi precoce consente di valutare l’entità della trasmigrazione canina e ridurre le complicanze estetiche e funzionali6-10.
Ci sono alcune ipotesi sulle cause dei canini mandibolari inclusi quali la perdita prematura dei denti decidui, la ritenzione del canino deciduo, gli odontomi, affollamento e denti soprannumerari11, 12. Tuttavia, l’eziologia e il meccanismo esatto non sono ancora chiari12. Di conseguenza, è difficile trovare linee guida derivanti da studi su campioni di pazienti di grandi dimensioni. L’attuale stato dell’arte prevede diversi approcci al problema dei canini inclusi. A seconda dell’età del paziente e della gravità dell’inclusione è possibile fare una terapia intercettiva. L’eruzione guidata con modalità chirurgico-ortodontica e il riposizionamento in arcata del canino mandibolare si attua nei casi di media gravità. Nei casi gravi, dove non è possibile procedere al recupero del CMI, viene eseguita l’avulsione dell’elemento dentario13.
La diagnosi precoce e la valutazione clinica e radiologica possono aiutare il dentista a pianificare la tecnica chirurgica ed evitare possibili complicazioni14. Le tecniche chirurgiche prevedono eruzione guidata con tecnica chiusa o aperta in caso di posizionamento vestibolare del dente incluso15, 16. In letteratura si possono trovare poche revisioni sistematiche su questo argomento e, pertanto, è difficile per i clinici identificare linee guida chiare sull’argomento17.
Materiali e metodi
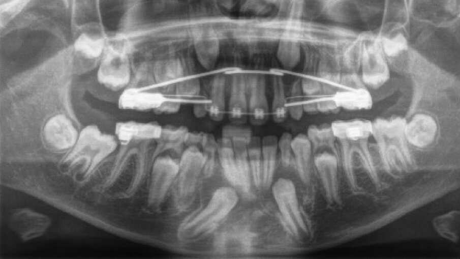
Il paziente, maschio, di 10 anni e mezzo, in dentizione mista. Le arcate dentarie sono in prima classe molare e canina. È presente un overjet di 1 mm e le linee mediane sono centrate. Si osserva un leggero affollamento in entrambe le arcate. Viene raccolta tutta la documentazione clinica per la valutazione del caso ed il successivo trattamento. Si procede alla presa delle impronte per i modelli da studio (Fig. 2). Vengono effettuate l’RX OPT (Fig. 3), la teleradiografia latero-laterale del cranio (Fig. 4) e l’analisi cefalometrica (Fig. 5, Tab. 1). Dopo un anno di terapia intercettiva, è stato eseguito un controllo con una rx OPT per valutare lo stato della permuta dentaria (Fig. 6). All’RX OPT si osserva l’inclusione intraossea con mesio versione dell’elemento 4.3. La CBCT è stata eseguita per valutare la posizione dell’CMI rispetto alle strutture anatomiche vicine (Fig. 7). Il CMI è stato valutato secondo la classificazione di Mupparapu5 nel tipo numero 1. Nella CBCT si osserva parte della corona del 4.3 a contatto con gli apici delle radici degli incisivi inferiori (4.1 e 4.2).
Fig. 1_Classificazione di Mupparapu.
Fig. 2_Modello di studio prima del trattamento ortodontico.
Fig. 3_RX OPT prima del trattamento ortodontico.
Fig. 4_Radiografia laterale del cranio.
Fig. 5_Analisi cefalometrica.
Fig. 6_RX OPT con inclusione dell’elemento 4.3.
Fig. 7_CBCT: a) visione frontale, b) visione sagitale, c) overview, d) visione coronale.
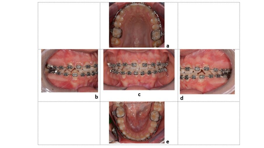
Fig. 8_Foto finali intraorali del paziente: Elemento 4.3, recuperato al centro dell’arcata, osservato da vista occlusale superiore (a), vista laterale destra (b), vista frontale (c), laterale sinistra vista (d) e vista occlusale inferiore (e).
Con tutte queste informazioni diagnostiche possiamo scegliere tra le seguenti opzioni di trattamento:
- Trattamento ortodontico-intercettivo, compresa l’estrazione del canino deciduo e l’apertura dello spazio ortodontico con apparecchi fissi29;
- Estrusione chirurgico-ortodontica di 4.326;
- Avulsione e reimpianto del 4.330;
- Avulsione del 4.331.
I fattori posizionali che hanno influenzato la decisione di rimuovere chirurgicamente o esporre chirurgicamente il CMC sono stati presi in considerazione. Questi includevano quanto segue:
- Angolo del canino rispetto alla linea mediana;
- Posizione orizzontale dell’apice della radice canina;
- Altezza verticale della corona canina;
- Sovrapposizione canina del dente adiacente;
- Posizione bucco-linguale del canino.
Dopo aver spiegato la situazione clinica e le possibili soluzioni terapeutiche ai genitori e al giovane paziente, si è deciso, a seguito dell’ottenimento del consenso alla terapia dai genitori, di recuperare il CMI (4.3) attraverso un intervento combinato ortodontico-chirurgico. Il trattamento prevedeva tre fasi, di seguito descritte.
Fase 1: trattamento ortodontico iniziale
La prima fase del trattamento prevedeva la terapia ortodontica finalizzata alla preparazione dell’ancoraggio sui denti dell’arcata inferiore.
Fase 2: tecnica chirurgica
Dopo l’infiltrazione di anestetico locale, è stato creato un lembo a spessore totale con incisione verticale mesiale al 4.1 e si è provveduto all’avulsione del corrispondente elemento deciduo (8.3). È stato il sottile strato di corticale che ricopre il CMI. Con una fresa a rosetta è stato realizzato un foro di comunicazione tra alveolo del dente deciduo e follicolo del CMI (tecnica del tunnel)15.
Un bracket ortodontico è stato posizionato sulla corona del 4.3 e collegato ad una legatura metallica, che è stata inserita all’interno del tunnel precedentemente creato. L’adesione del bracket è stata infine testata applicando una forza di circa 150 g. Dopo un accurato lavaggio del campo operatorio, il lembo mucoperiosteo è stato infine riposizionato e suturato.
Trazione ortodontica
La trazione ortodontica è stata ottenuta attraverso l’uso della legatura metallica che collega il bracket al filo d’acciaio presente sui denti dell’arcata inferiore. La forza di trazione era circa 50–60 g, con attivazione del filo effettuata ogni 15–20 giorni.
Fase 3: trattamento ortodontico finale
Dopo il recupero dell’elemento incluso in arcata, la terapia ortodontica è proseguita con gli ultimi passaggi di rifinitura per finalizzare il caso (Fig. 8).
Discussione
Il trattamento degli CMI richiede un approccio multidisciplinare27. L’eruzione dentale avviene armoniosamente e porta all’allineamento dei denti in presenza di sani tessuti parodontali. Il trattamento chirurgico-ortodontico combinato di un elemento incluso dovrebbe simulare un’eruzione fisiologica28. Pertanto, lo scopo della terapia ortodontica è quello di guidare l’eruzione del dente verso il centro della cresta. Durante il trattamento chirurgico si deve garantire che le strutture dentali e parodontali siano rispettate per evitare danni a fine terapia19. Per quanto riguarda il trattamento dei CMI, possono essere prese in considerazione diverse opzioni di trattamento, compresa la trazione ortodontica, l’avulsione e il reimpianto e la rimozione chirurgica del CMI.
La strategia di rimozione chirurgica dei CMI è la più rapida e semplice. La trazione ortodontica anche se più difficile e complicata, è la strategia più efficace per ripristinare l’ occlusione ideale. Le miniviti ortodontiche possono essere utilizzate come dispositivi di ancoraggio temporaneo per prevenire gli effetti negativi della perdita di ancoraggio28. La presentazione del caso clinico descrive la tecnica applicata ad CMI per l’esposizione e riposizionamento in arcata mediante terapia chirurgico ortodontico. Esistono due tecniche di eruzione guidata verso il centro del cresta alveolare: una tecnica chiusa34 e una tecnica aperta35, 36. Nella prima tecnica, un bracket ortodontico viene posizionato alla superficie del CMI dopo che un lembo a spessore totale è stato sollevato e poi tutto interamente ricoperto dal tessuto. La tecnica aperta consiste in un riposizionamento apicale del lembo a lasciando il CMI esposto36-38.
Poiché il CMI era associato alla presenza del corrispondente elemento deciduo in arcata, è stata applicata la tecnica del “tunnel”, come originariamente descritto da Crescini et al. nel 199415. L’estrazione dell’elemento deciduo crea un tunnel osseo naturale, e la trazione attraverso questo tunnel simula un’eruzione fisiologica. Il dente viene trazionato ortodonticamente verso il centro della cresta, consentendo la conservazione del tessuto gengivale cheratinizzato e la successiva salute parodontale34.
Conclusioni
Sebbene l’inclusione e la trasmigrazione dei canini mandibolari sia una condizione clinica rara, è necessario fare luce sulle opzioni di trattamento più prevedibili per eseguire protocolli di trattamento efficaci. Per consentire l’allineamento in arcata dell’elemento dentale preservando il parodonto, la trazione chirurgico-ortodontica deve simulare l’eruzione fisiologica del dente incluso. Dalla valutazione degli articoli letti possiamo affermare che questo protocollo possa essere definito efficace e prevedibile. Infine, sono necessari ulteriori studi per comprendere gli esiti del trattamento di casi clinici complessi, come elementi in anchilosi.
Bibliografia
- Cavuoti, S.; Matarese, G.; Isola, G.; Abdolreza, J.; Femiano, F.; Perillo, L. Combined Orthodontic-Surgical Management of a Transmigrated Mandibular Canine. The Angle Orthodontist 2015, 86, 681–691, doi:10.2319/050615-309.1.
- Alhammadi, M.; Asiri, H.; Almashraqi, A. Incidence, Severity and Orthodontic Treatment Difficulty Index of Impacted Canines in Saudi Population. J Clin Exp Dent 2018, 0–0, doi:10.4317/jced.54385.
- Gündüz, K.; Çelenk, P. The Incidence of Impacted Transmigrant Canines: A Retrospective Study. Oral Radiol 2010, 26, 77–81, doi:10.1007/s11282-010-0044-7.
- Inchingolo, A.D.; Patano, A.; Coloccia, G.; Ceci, S.; Inchingolo, A.M.; Marinelli, G.; Malcangi, G.; Montenegro, V.; Laudadio, C.; Pede, C.D.; et al. The Efficacy of a New AMCOP® Elastodontic Protocol for Orthodontic Interceptive Treatment: A Case Series and Literature Overview. International Journal of Environmental Research and Public Health 2022, 19, doi:10.3390/ijerph19020988.
- Mupparapu, M. Patterns of Intra-Osseous Transmigration and Ectopic Eruption of Mandibular Canines: Review of Literature and Report of Nine Additional Cases. Dentomaxillofacial Radiology 2002, 31, 355–360, doi:10.1038/sj.dmfr.4600732.
- Majumdar, S.K.; Hossain, M.A.; De, N.; Chadda, D.; Bachhar, M.K.; Mishra, S. Effect of Diagnosis by Two-Dimensional Radiography Versus CBCT on Surgical Aspects of Transmigrated Impacted Mandibular Canines. J. Maxillofac. Oral Surg. 2020, 19, 461–467, doi:10.1007/s12663-020-01331-0.
- Laudadio, C.; Inchingolo, A.D.; Malcangi, G.; Limongelli, L.; Marinelli, G.; Coloccia, G.; Montenegro, V.; Patano, A.; Inchingolo, F.; Bordea, I.R.; et al. Management of Anterior Open-Bite in the Deciduous, Mixed and Permanent Dentition Stage: A Descriptive Review. J Biol Regul Homeost Agents 2021, 35, 271–281, doi:10.23812/21-2supp1-27.
- Montenegro, V.; Inchingolo, A.D.; Malcangi, G.; Limongelli, L.; Marinelli, G.; Coloccia, G.; Laudadio, C.; Patano, A.; Inchingolo, F.; Bordea, I.R.; et al. Compliance of Children with Removable Functional Appliance with Microchip Integrated during Covid-19 Pandemic: A Systematic Review. Journal of Biological Regulators and Homeostatic Agents 2021, 35, 365–377, doi:10.23812/21-2supp1-37.
- Cirulli, N.; Ballini, A.; Cantore, S.; Farronato, D.; Inchingolo, F.; Dipalma, G.; Gatto, M.R.; Alessandri Bonetti, G. MIXED DENTITION SPACE ANALYSIS OF A SOUTHERN ITALIAN POPULATION: NEW REGRESSION EQUATIONS FOR UNERUPTED TEETH. J Biol Regul Homeost Agents 2015, 29, 515–520.
- Inchingolo, A.D.; Ceci, S.; Patano, A.; Inchingolo, A.M.; Montenegro, V.; Di Pede, C.; Malcangi, G.; Marinelli, G.; Coloccia, G.; Garibaldi, M.; et al. Elastodontic Therapy of Hyperdivergent Class II Patients Using AMCOP® Devices: A Retrospective Study. Applied Sciences 2022, 12, 3259, doi:10.3390/app12073259.
- Inchingolo, A.D.; Patano, A.; Coloccia, G.; Ceci, S.; Inchingolo, A.M.; Marinelli, G.; Malcangi, G.; Montenegro, V.; Laudadio, C.; Palmieri, G.; et al. Genetic Pattern, Orthodontic and Surgical Management of Multiple Supplementary Impacted Teeth in a Rare, Cleidocranial Dysplasia Patient: A Case Report. Medicina (Kaunas) 2021, 57, 1350, doi:10.3390/medicina57121350.
- Bertl, M.H.; Frey, C.; Bertl, K.; Giannis, K.; Gahleitner, A.; Strbac, G.D. Impacted and Transmigrated Mandibular Canines: An Analysis of 3D Radiographic Imaging Data. Clin Oral Invest 2018, 22, 2389–2399, doi:10.1007/s00784-018-2342-0.
- Azeem, M.; Afzal, A.; Ahmed, Z.; Ali, M.M.; Haq, A.U.; Hamid, W.U. Investigation of Transmigrated Mandibular Canines. Dental Press Journal of Orthodontics 2019, 24, 65, doi:10.1590/2177-6709.24.6.065-068.oar.
- Cakir Karabas, H.; Ozcan, I.; Erturk, A.F.; Guray, B.; Unsal, G.; Senel, S.N. Cone-Beam Computed Tomography Evaluation of Impacted and Transmigrated Mandibular Canines: A Retrospective Study. Oral Radiol 2021, 37, 403–411, doi:10.1007/s11282-020-00464-9.
- Crescini, A.; Baccetti, T.; Rotundo, R.; Mancini, E.A.; Prato, G.P. Tunnel Technique for the Treatment of Impacted Mandibular Canines. Int J Periodontics Restorative Dent 2009, 29, 213–218.
- Plaza, S.P. Orthodontic Traction of a Transmigrated Mandibular Canine Using Mini-Implant: A Case Report and Review. Journal of Orthodontics 2016, 43, 314–321, doi:10.1080/14653125.2016.1224539.
- Dalessandri, D.; Parrini, S.; Rubiano, R.; Gallone, D.; Migliorati, M. Impacted and Transmigrant Mandibular Canines Incidence, Aetiology, and Treatment: A Systematic Review. European Journal of Orthodontics 2017, 39, 161–169, doi:10.1093/ejo/cjw027.
- Page, M.J.; McKenzie, J.E.; Bossuyt, P.M.; Boutron, I.; Hoffmann, T.C.; Mulrow, C.D.; Shamseer, L.; Tetzlaff, J.M.; Akl, E.A.; Brennan, S.E.; et al. The PRISMA 2020 Statement: An Updated Guideline for Reporting Systematic Reviews. PLOS Medicine 2021, 18, e1003583, doi:10.1371/journal.pmed.1003583.
- Hamdan, H.A.; Grünheid, T.; Larson, B.E. Effect of Orthodontic Treatment with Preadjusted Edgewise Appliances on the Buccolingual Inclination of Mandibular Canines: A CBCT Study. Orthod Craniofac Res 2015, 18, 156–164, doi:10.1111/ocr.12092.
- Topka, A.; Racka-Pilszak, B.; Wojtaszek-Słomińska, A.; Orzelska-Blomberg, M. Surgical-Orthodontic Treatment of Impacted Permanent Canines in the Mandible: Two Case Reports. jstoma 2020, 72, 282–290, doi:10.5114/jos.2019.93848.
- Krasny, M.; Krasny, K.; Wojtowicz, A. En Bloc Autotransplantation of Retained Canine in the Mandible: A Case Presentation. Int J Periodontics Restorative Dent 2020, 40, 403–407, doi:10.11607/prd.4664.
- Aras, Mh.; Halicioglu, K.; Yavuz, Ms.; Caglaroglu, M. Evaluation of Surgical-Orthodontic Treatments on Impacted Mandibular Canines. Med Oral 2011, e925–e928, doi:10.4317/medoral.17072.
- Taffarel, I.A.; Taffarel, I.P.; Gasparello, G.G.; Pithon, M.M.; Tanaka, O.M. Transmigrated Mandibular Canine Guided into Its Normal Position. JCDR 2020, doi:10.7860/JCDR/2020/44407.13969.
- Jaisinghani, A.P.; Pradhan, T.; Keluskar, K.M.; Takane, V. Treatment of a Transmigrated and an Impacted Mandibular Canine along with Missing Maxillary Central Incisor: A Case Report. Orthodontic Waves 2019, 78, 84–92, doi:10.1016/j.odw.2019.04.002.
- Kılıç, N.; Oktay, H. Orthodontic Intervention to Impacted and Transposed Lower Canines. Case Reports in Dentistry 2017, 2017, 1–6, doi:10.1155/2017/4105713.
- Paolone, M.G.; Kaitsas, R.; Paolone, G.; Kaitsas, V. Lingual Orthodontics and Forced Eruption: A Means for Osseous and Tissue Regeneration. Prog Orthod 2008, 9, 46–57.
- Kaitsas, R.; Paolone, M.G.; Paolone, G. Guided Orthodontic Regeneration: A Tool to Enhance Conventional Regenerative Techniques in Implant Surgery. International Orthodontics 2015, 13, 539–554, doi:10.1016/j.ortho.2015.09.009.
- Crescini, A.; Nieri, M.; Buti, J.; Baccetti, T.; Mauro, S.; Pini Prato, G.P. Short- and Long-Term Periodontal Evaluation of Impacted Canines Treated with a Closed Surgical?Orthodontic Approach. J Clin Periodontol 2007, 34, 232–242, doi:10.1111/j.1600-051X.2006.01042.x.
- Chaushu, S.; Becker, A.; Zeltser, R.; Branski, S.; Vasker, N.; Chaushu, G. Patients Perception of Recovery after Exposure of Impacted Teeth: A Comparison of Closed- versus Open-Eruption Techniques. J Oral Maxillofac Surg 2005, 63, 323–329, doi:10.1016/j.joms.2004.11.007.
- Malcangi, G.; Inchingolo, A.D.; Patano, A.; Coloccia, G.; Ceci, S.; Garibaldi, M.; Inchingolo, A.M.; Piras, F.; Cardarelli, F.; Settanni, V.; et al. Impacted Central Incisors in the Upper Jaw in an Adolescent Patient: Orthodontic-Surgical Treatment—A Case Report. Applied Sciences 2022, 12, 2657, doi:10.3390/app12052657.
- Özer, M.; Şener, I.; Bayram, M. Bilaterally Impacted Maxillary Central Incisors: Surgical Exposure and Orthodontic Treatment: A Case Report. The Journal of Contemporary Dental Practice 2006, 7, 98–105, doi:10.5005/jcdp-7-4-98.
- Chaushu, S.; Zilberman, Y.; Becker, A. Maxillary Incisor Impaction and Its Relationship to Canine Displacement. American journal of orthodontics and dentofacial orthopedics : official publication of the American Association of Orthodontists, its constituent societies, and the American Board of Orthodontics 2003, 124, 144–150; discussion 150, doi:10.1016/S0889540603003445.
- Northway, W. Orthodontic Management of a Dental Anomaly Pattern (DAP) Including Mandibular Canine Transmigration: A Case Report: A Challenging Treatment but Worth It! The Angle Orthodontist 2019, 89, 149–162, doi:10.2319/021018-115.1.
- Department of Pedodontics, Faculty of Dentistry, Carol Davila University of Medicine and Pharmacy, Bucharest, Romania; Farcaşiu, C.; Dinescu, M.I.; Independent Researcher, Ortholand Clinic, Bucharest, Romania; Tărlungeanu, D.I.; Department of Removable Prosthodontics, Faculty of Dentistry, Carol Davila University of Medicine and Pharmacy, Bucharest, Romania A Rare Case of Transmigrated Mandibular Canine and Combined Orthodontic–Surgical Management. Rom J Morphol Embryol 2022, 62, 625–631, doi:10.47162/RJME.62.2.33.
- Vergara-Villareal, P.; Del Castillo, K.; Ramírez-Ossa, D.; Barbosa-Liz, D. An Innovative Therapeutic Alternative for Correcting the Direction of Eruption of a Lower Mandibular Cuspid: A Mixed Dentition Case Report. Int J Orthod Rehabil 2021, 12, 79, doi:10.4103/ijor.ijor_8_21.
- Nowzari, H.; Rodriguez, A.E. Impacted Teeth: Closed Flap Surgery. Journal of Esthetic and Restorative Dentistry 2019, 31, 233–239, doi:10.1111/jerd.12417.
- Vera-Guerra, J.A.; Herrera-Atoche, J.R.; Colomé-Ruiz, G.E. Orthodontic Treatment of Bilateral Impacted Mandibular Canines and a Mupparapu Type 2 Transmigration. Case Rep Dent 2019, 2019, 7638959, doi:10.1155/2019/7638959.
- Stabryła, J.; Plakwicz, P.; Kukuła, K.; Zadurska, M.; Czochrowska, E.M. Comparisons of Different Treatment Methods and Their Outcomes for Impacted Maxillary and Mandibular Canines: A Retrospective Study. The Journal of the American Dental Association 2021, 152, 919–926, doi:10.1016/j.adaj.2021.05.015.
- Han, L.; Mei, L.; Zhang, C.; Wu, T.; Wang, C. Correction of Class II Division 2 with Crowding and Bilateral Fully Transposed Impacted Mandibular Canines. Australasian Orthodontic Journal 2022, 38, 29–40, doi:10.21307/aoj-2022.004.
- Bishara, S.E.; Ortho, D. Impacted Maxitlary Canines: A Review. 1992, 13.
- Boyd, R.L. Clinical Assessment of Injuries in Orthodontic Movement of Impacted Teeth. II. Surgical Recommendations. Am J Orthod 1984, 86, 407–418, doi:10.1016/s0002-9416(84)90034-4.
- Vermette, M.E.; Kokich, V.G.; Kennedy, D.B. Uncovering Labially Impacted Teeth: Apically Positioned Flap and Closed-Eruption Techniques. Angle Orthod 1995, 65, 23–32; discussion 33, doi:10.1043/0003-3219(1995)065<0023:ULITAP>2.0.CO;2.
Autori
Vincenzo Carpentiere1, Assunta Patano1, Pasquale Avantario1, Fabio Piras1, Alessio Danilo Inchingolo1, Giuseppina Malcangi1, Grazia Marinelli1, Nunzio Cirulli1, Giovanni Coloccia1, Anna Maria Ciocia1, Damiano Nemore1, Fabio Viapiano1, Gregorio Paduanelli1, Biagio Rapone1, Filippo Cardarelli1, Stefania Costa1, Anna Netti1, Irene Ferrara1, Chiara Di Pede1, Giulia Palmieri1, Massimo Corsalini1, Valentina Montenegro1, Luigi Zagaria1, Ludovica Nucci2, Felice Lorusso3, Angelo Michele Inchingolo1, Daniela Di Venere1, Gianna Dipalma1, Francesco Inchingolo1.
1Dipartimento Interdisciplinare di Medicina D.I.M. Università degli studi di Bari “Aldo Moro”, Bari.
2Università degli Studi della Campania Luigi Vanvitelli, Napoli.
3Dipartimento di Tecnologie Innovative in Medicina & Odontoiatria, Università di Chieti-Pescara, Chieti.
Il periodo di guarigione di un intervento chirurgico di estrazione di un terzo molare mandibolare incluso o semi-incluso, è sempre associato a una ...
Si definisce “incluso” un elemento dentario che permane inglobato a livello osseo o osteomucoso oltre il normale periodo di eruzione, privo di ...
La strumentazione parodontale non chirurgica è necessaria come trattamento iniziale, e come terapia di mantenimento, di qualsiasi patologia ...
Le “patie disfunzionali” sono un eterogeneo gruppo di patologie che colpiscono l’articolazione temporo-mandibolare (ATM), i muscoli ...
La malattia parodontale è una patologia cronica che colpisce i tessuti di supporto dei denti ed è caratterizzata da infiammazione, sanguinamento gengivale...
La paziente, donna di 54 anni in buono stato di salute, si presenta alla nostra attenzione lamentando gonfiore ricorrente sul palato nella zona del dente ...
VANCOUVER. La durata del trattamento è una delle principali preoccupazioni dei pazienti ortodontici. A seconda del tipo di malocclusione e del piano ...
La malattia parodontale è una patologia infiammatoria mediata dalla risposta dell’ospite causata dal biofilm batterico. La terapia causale si basa sul ...
Nella preparazione ortodontica dei soggetti che verranno sottoposti ad un intervento di chirurgia ortognatica ci sono alcuni obiettivi che devono essere ...
La moderna terapia ortodontica sta abbracciando le nuove tecnologie digitali che si sono affacciate sul mercato e che hanno apportato enormi vantaggi sia ...
La moderna terapia ortodontica sta abbracciando le nuove tecnologie digitali che si sono affacciate sul mercato e che hanno apportato enormi vantaggi sia ...
Live webinar
mer. 22 aprile 2026
17:00 (CET) Rome
MDT Andreas Chatzimpatzakis
Live webinar
mer. 22 aprile 2026
17:00 (CET) Rome
Live webinar
mer. 22 aprile 2026
18:00 (CET) Rome
Live webinar
gio. 23 aprile 2026
17:00 (CET) Rome
Live webinar
gio. 23 aprile 2026
18:30 (CET) Rome
Live webinar
gio. 23 aprile 2026
19:00 (CET) Rome
Live webinar
gio. 30 aprile 2026
1:00 (CET) Rome
Dr. Renato Leonardo D.M.D.
To post a reply please login or register