Le “patie disfunzionali” sono un eterogeneo gruppo di patologie che colpiscono l’articolazione temporo-mandibolare (ATM), i muscoli facciali, o entrambi. Sono caratterizzate da segni e sintomi algico-disfunzionali che comprendono palpazione dolorosa dell’ATM, rumori articolari nei movimenti funzionali, dolori e spasmi muscolari, presenza di abitudini parafunzionali (serramento, bruxismo), cefalee muscolo-tensive, segni di parafunzioni (faccette di usura), latero-deviazione mandibolare in apertura e chiusura, limitazione funzionale nei movimenti di apertura e chiusura della bocca, trisma doloroso, lussazione discale, acufeni, vertigini, ansia, stress.
Sono considerate fra le più comuni problematiche dolorose oro-facciali d’origine non dentale, ma le frequenti e concorrenti sintomatologie associate come dolore articolare, emicranie, nevralgie, e dolore dentale rendono complessa la diagnosi di patia disfunzionale. In letteratura è ancora aperto il dibattito sul livello di prevalenza nella popolazione dei disordini dell’articolazione temporo-mandibolare (TMD) (Fig. 1), ad oggi circa il 10-15% degli adulti soffre di questo disturbo doloroso e il 5% con un’assoluta necessità di trattamento.
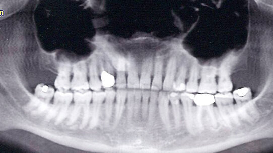
L’eziologia delle patie disfunzionali è altrettanto complessa e talvolta controversa; infatti, si possono osservare soggetti affetti da sintomi similari, tra i quali alcuni soffrono di un deterioramento dell’articolazione temporo-mandibolare (Figg. 2a, 2b), altri non presentano modificazioni degenerative dell’ATM. La causa dei TMD è multifattoriale e presenta spesso, oltre a una problematica fisica, componenti come stress, ansia, attacchi di panico. Spesso la complessità diagnostica ed eziologica della problematica disorienta il clinico su quale trattamento scegliere nella gestione della malattia.
Nei pazienti affetti da patie disfunzionali che presentano dolore acuto e/o cronico, è fondamentale ottenere la regressione della sintomatologia algica, al fine di impostare correttamente un’eventuale terapia di tipo ortopedico.
Le condizioni di blocco articolare in acuto, spasmo muscolare, ansia e stress richiedono un approccio terapeutico multidisciplinare e una terapia farmacologica complessa, mirata alla riduzione del dolore, a un miglioramento della limitazione funzionale
e a un rallentamento della progressione della malattia.
L’obiettivo di questo studio è verificare l’efficacia di una terapia farmacologica complessa costituita da antinfiammatorio non steroideo, miorilassante, gastroprotettore e ansiolitico, come approccio terapeutico multidisciplinare durante blocco acuto dell’articolazione temporo-mandibolare.
Materiali e metodi
È stato selezionato un campione di 20 pazienti (11 femmine e 9 maschi) di età compresa tra i 25 e i 65 anni, riferenti blocco della funzione articolare associato a dolore e spasmo muscolare. In prima visita, in seguito a valutazione dell’insorgenza e dell’entità dolorifica localizzata a livello oto-mandibolo-cervicale, è stato chiesto a ciascun soggetto di indicare su scala VAS (Visual Analog Scale) quale fosse l’entità dolorifica percepita (dal momento del primo episodio al giorno della prima visita) in tre momenti della giornata: al risveglio, a metà giornata, prima di coricarsi. I pazienti con percezione del dolore con valore minimo di 5 punti nella scala VAS considerata sono stati inclusi nello studio.
In seguito è stata prescritta una terapia farmacologica che consta di:
– ibuprofene (Brufen®) compresse 600 mg, 3 cpr/die a stomaco pieno per 5 gg. (attacco), successivamente 1 cpr/die per 5 gg. (mantenimento);
– tiocolchicoside (Muscoril®) fiale i.m. 4 mg/2 ml alla sera per 5 gg. (attacco), successivamente compresse 4 mg, 3 cpr/die per 5 gg., 2 cpr/die per 5 gg, 1 cpr/die per 5 gg. (mantenimento);
– omeprazolo compresse 20 mg, 1 cpr/die per 10 gg. lontano dai pasti;
– delorazepam (En®) gocce 1 mg/ml, 20gtt/die alla sera per 10 gg. prima di coricarsi.
Contemporaneamente, è stato chiesto al paziente di indicare l’entità del dolore percepito in tre momenti della giornata su scala VAS per 10 giorni a partire dall’inizio della terapia, e di scrivere un diario settimanale indicando l’andamento di eventuali benefici nella funzionalità e nel controllo del dolore.
Risultati
La valutazione effettuata tramite scala VAS in seguito alla terapia farmacologica sopra descritta ha sortito i seguenti risultati: nel 66% del campione analizzato è stata registrata la totale scomparsa della sintomatologia algica e un ritorno alla normale funzione articolare.
Nel 33% dei casi è stato rilevato un abbassamento dei livelli di dolore e un miglioramento della normale funzione articolare.
I risultati dello studio sono preliminari; s’intende proseguire aumentando il campione, al fine di convalidare il protocollo farmacologico da utilizzarsi nel blocco acuto dell’articolazione temporo-mandibolare.
embedImagecenter("Imagecenter_2_875",875,"small");
Discussione
La grande eterogenicità degli studi presenti in letteratura rende molto difficile, se non impossibile, trarre conclusioni definitive su come trattare i pazienti con patie disfunzionali.
Nei singoli pazienti diverse possano essere le cause e le concause che possono portare ad una sintomatologia complessa. Certamente un approccio olistico e personalizzato è preferibile, tenendo conto che ad oggi in letteratura delle molte terapie e trattamenti proposti soltanto alcuni sono supportati da dati sostenuti da evidenza scientifica.
Apparecchiature occlusali, trattamento chienesio-fisioterapico, terapia cognitivo comportamentale, trattamento farmacologico sono consigliati come possibilmente efficaci nella cura del dolore e dell’ansia nei pazienti affetti da TMD.
I farmaci più comunemente utilizzati includono antinfiammatori non steroidei, i corticosteroidi, i miorilassanti, ansiolitici, oppiacei e antidepressivi triciclici.
I principali obiettivi del trattamento farmacologico sono la diminuzione del dolore articolare, dell’infiammazione e del dolore muscolare associato, con un conseguente aumento della funzione e limitazione alla progressione della malattia. L’insorgenza del quadro patologico è spesso collegata non solo ad uno squilibrio della componente neuro-muscolare ma anche a una disfunzione su base psicogena, con un abbassamento della soglia individuale del dolore, che in situazioni di stress e ansie, può innescare un quadro patologico.
Nella popolazione adulta la maggior parte dei pazienti che soffre di disfunzioni dell’ATM è composta da giovani donne, circa l’80% dei pazienti con patologia algica-disfunzionale dell’ATM è composto da donne tra i 15 e i 35 anni.
È stata messa in evidenza l’elevata incidenza delle disfunzioni a carico dell’ATM anche in età pediatrica. Nella pratica pedodontica quotidiana molte volte sfuggono o non vengono tenuti in debita considerazione segni o disturbi clinici che spesso nascondono patologie articolari a carico dell’ATM, disturbi di carattere degenerativo come l’artrite reumatoide, che nella maggior parte dei casi vengono mascherati dalle grandi capacità di adattamento dell'apparato stomatognatico.
Conclusione
L’esperienza clinica lascia presupporre che l’attuazione di una terapia farmacologica di attacco in pazienti con blocco acuto dell’articolazione temporo-mandibolare abbia efficacia sulla rapida regressione della sintomatologia, con benefici evidenti per il paziente.
La bibliografia è disponibile presso l'Editore.
L'articolo è stato pubblicato sul numero 9 di Dental Tribune Italy 2013
Gli apprezzamenti delle precedenti edizioni del Master ed anche il grande interesse riscontrato al “45° SIDO International Congress” ...
Negli ultimi anni si è presentato un aumento significativo di pazienti affetti da disfunzioni dell’articolazione temporo-mandibolare. Il disturbo ...
Guglielmo Ramieri, Direttore della Scuola di Chirurgia Maxillofacciale dell’Università di Torino, parla di un evento di alto profilo svoltosi ...
CURITIBA (Brasile) ‒ Per l’intensità e la durata degli allenamenti necessari per gare di grande impegno, atleti di alto livello possono ...
Goteborg, Svezia: La gomma da masticare e i piercing sono comuni tra gli adolescenti. Tuttavia, le ricerche suggeriscono che entrambi provocherebbero un ...
Con questo lavoro si vuole verificare se la somministrazione di corticosteroidi a lungo termine ostacola la normale osteointegrazione degli impianti e se ...
Con questo lavoro si vuole verificare se la somministrazione di corticosteroidi a lungo termine ostacola la normale osteointegrazione degli impianti e se ...
Estratto dalla tesi di Master in Posturologia, La Sapienza Università di Roma, anno accademico 2008-2009. Il lavoro trae origine dalla ...
Lo scanner intraorale è un dispositivo usato per la presa delle impronte dentali e implantari ed è composto da una telecamera, da un computer e da un ...
La malattia parodontale è una patologia cronica che colpisce i tessuti di supporto dei denti ed è caratterizzata da infiammazione, sanguinamento gengivale...
Live webinar
lun. 11 maggio 2026
18:00 (CET) Rome
Live webinar
lun. 11 maggio 2026
19:00 (CET) Rome
Live webinar
mar. 12 maggio 2026
19:00 (CET) Rome
Live webinar
gio. 14 maggio 2026
18:00 (CET) Rome
Live webinar
gio. 14 maggio 2026
20:00 (CET) Rome
Prof. Hani Ounsi DDS PhD FICD
Live webinar
mar. 19 maggio 2026
17:00 (CET) Rome
Live webinar
mar. 19 maggio 2026
19:00 (CET) Rome
Prof. Dr. med. dent. Ivo Krejci
To post a reply please login or register