La malattia parodontale è una patologia infiammatoria mediata dalla risposta dell’ospite causata dal biofilm batterico. La terapia causale si basa sul controllo del biofilm sotto gengivale attraverso la terapia meccanica, che si dimostra efficace in molti, ma non in tutti i casi. Sono stati proposti molti trattamenti addizionali quali agenti fisici o chimici, modulatori della risposta immunitaria, antimicrobici locali o sistemici1. Fra i chemioterapici aggiuntivi ha suscitato interesse l’uso dell’ozono, che ha trovato svariate applicazioni in medicina in diverse formulazioni: gassosa, disciolto in acqua, olio e gel. In particolare in odontoiatria è stato utilizzato nella cura delle carie, gengiviti, parodontiti e peri-implantiti, nella disinfezione dei canali radicolari, nel trattamento delle lesioni dei tessuti molli del cavo orale e delle osteoradionecrosi.
L’ozono è un gas, presente in natura, formato da 3 atomi di ossigeno e caratterizzato da un odore pungente e da una naturale instabilità che fa si che reagisca ossidando i substrati che incontra. Presenta un ampio spettro antimicrobico e non sembra avere la cito-tossicità mostrata dalla clorexidina2, 3 e non dà luogo a resistenza4. L’ozono causa un danno alla membrana citoplasmatica delle cellule microbiche ma non di quelle umane che possiedono maggior capacità antiossidante. In più mostra attività emostatiche, immunostimolanti e anti infiammatorie, agendo sulla sintesi delle immunoglobuline, sulla funzionalità dei macrofagi e influenzando positivamente anche il microcircolo locale.
Almeno 4 recenti revisioni sistematiche5-8 analizzano l’utilizzo dell’ozono nel trattamento della parodontite e peri-implantite. Sono stati inclusi studi che usano ozono in formulazioni diverse e con protocolli dissimili in associazione o meno con lo scaling e root planing e i risultati si mostrano discordanti riguardo alla sua efficacia. Tutte sottolineano la sua attività antimicrobica e la buona compatibilità con le cellule tissutali, in particolare Palma et al (2023)7 indica un effetto positivo sulla guarigione delle ferite. La diversità dei trattamenti applicati e dei prodotti utilizzati rende difficile trarre indicazioni utili. Un problema è dato dall’effettiva disponibilità dell’ozono nelle diverse formulazioni usate. Attualmente esiste sul mercato un unico prodotto (Ozosan Gel - Bioactiva) in grado di rilasciare volumi di ozono biodisponibili in quantità tali da essere classificato come dispositivo medico di classe IIA. L’ozono è estremamente reattivo e necessita essere veicolato in modo da essere rilasciato nel luogo di utilizzo in dose efficace. Ozosan Gel usa un gel a base di olio di girasole che deve essere mantenuto refrigerato e rilascia l’ozono una volta che viene in contatto con il calore delle mucose.
La sua efficacia è stata dimostrata nella cura delle osteonecrosi9 dove da 3 a 10 applicazioni del prodotto per 10 minuti hanno portato alla guarigione delle lesioni. Materni et al (2023)10 lo hanno usato per 2 minuti dopo l’estrazione di ottavi ed hanno ottenuto una riduzione dell’incidenza di dried socket dal 21,5% del controllo al 2% del test. Nell’articolo viene esaminata anche la tempistica dell’efficacia ossidante dell’ozono che si presenta dipendente dal tempo. A 2 minuti solo il 20% del potere ossidante viene rilasciato con un effetto primariamente stimolante la guarigione. Entro i 3-4 minuti è prodotto il 40% dell’effetto che sale all’80% a 7 minuti e finisce entro 10 minuti. L’uso di questo gel non è stato ancora verificato in studi randomizzati controllati in parodontologia. L’unico studio presente con un gel ozonato associato allo scaling e root planing presenta una composizione diversa11 e suggerisce un’efficacia pari all’uso di un gel di clorexidina. Attualmente sono quindi a disposizione solo case report in questo campo che suggeriscono un’efficacia di Ozosan Gel nei casi trattati12. I casi sotto descritti mostrano i risultati del suo utilizzo in pazienti con problemi parodontali.
Descrizione casi clinici
Caso 1
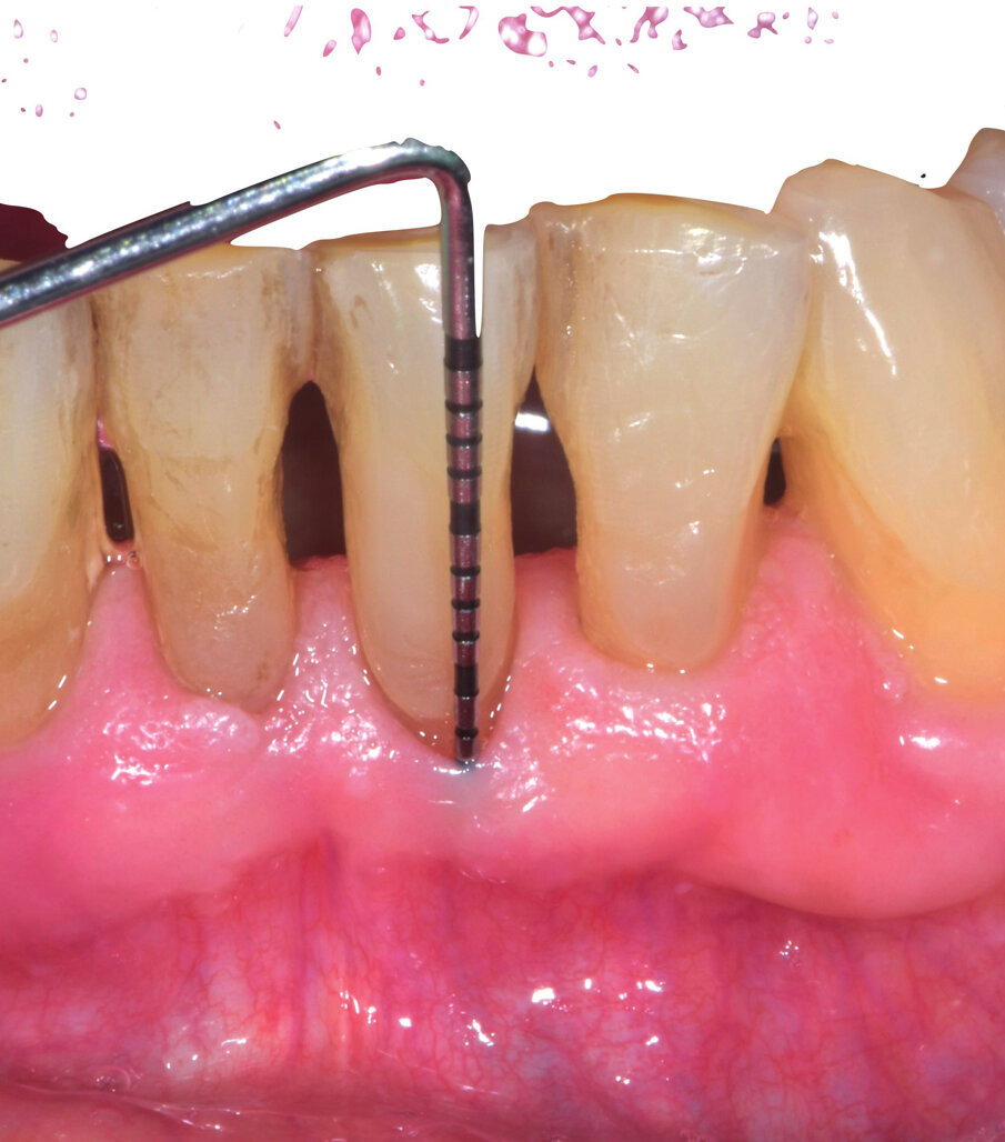
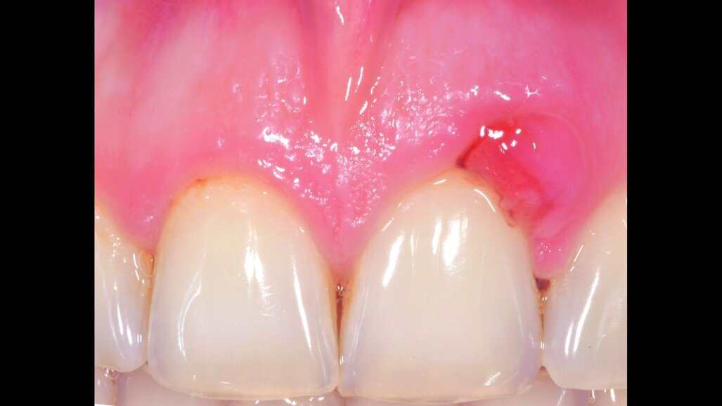
Il paziente di anni 33 viene inviato per trattamento di un gonfiore gengivale apparso circa 1 mese prima. È stato trattato con scaling e root planing senza ottenere il risultato voluto. All’esame obiettivo presenta una lieve gengivite interprossimale con infiammazione e gonfiore limitato alla parte vestibolare di 2.1 con sondaggio di 5 mm vestibolare e 7 mm disto-vestibolare (Fig. 1). La superficie della radice era stata strumentata una settimana prima e si presenta senza residui di tartaro e senza riassorbimenti esterni. Viene scelta l’applicazione di Ozosan Gel per ridurre subito i sintomi che limitavano la capacità del paziente di applicare una corretta igiene orale e per la sua azione antibatterica ma anche stimolante la guarigione. Ozosan Gel viene applicato per 8 minuti - azione anti batterica - seguito da lavaggio con fisiologica. Da subito il paziente segnala riduzione del dolore e viene istruito a uno spazzolamento delicato a roll con spazzolino morbido. Viene rivisto dopo 2 giorni ed effettuata una nuova applicazione di ozono. Controllo a 5 gg (Fig. 2), e applicazione di Ozosan Gel per due minuti per stimolare la guarigione (Fig. 3). Controllo a 2 sett. (Fig. 4) dove si nota recessione dei tessuti che erano stati strumentati in modo aggressivo. Guarigione a due mesi dove i tessuti stanno ricoprendo la recessione (Fig. 5).
Fig. 1 - Aspetto clinico del paziente alla prima visita. Viene applicato Ozosan® per 8 min e lavato con fisiologica.
Fig. 2 - Guarigione a 5 gg. Tessuti ancora edemetosi. Viene fatta una terza applicazione di ozosan per 2 minuti.
Fig. 3 - Applicazione di Ozosan per 2 min.
Fig. 4 - Guarigione a 2 sett. Notare la recessione dei tessuti dovuti ad una precedente strumentazione eccessiva.
Fig. 5 - Guarigione a 2 mesi dove si nota la progressiva copertura della recessione.
Caso 2
Il paziente di 71 anni con parodontite stadio III grado b presenta una tasca di 9 mm distale e vestibolare su 31 residua dopo trattamento causale (Figg. 6a, 6b). Il paziente presenta una buona igiene orale e aveva manifestato fastidio nella zona stessa. Le tasche presenti vengono ritrattate con u.s e curette mini-gracey e applicazione di Ozosan Gel per 8 min, lavaggio, nuova applicazione per 2 min e lavaggio con fisiologica (Fig. 7). A 3 settimane la zona si presenta con assenza di tasche patologiche (Fig. 8). Il paziente riferisce nessun disturbo in seguito al trattamento subito.
Figg. 6a, 6b - Sondaggio dopo terapia causale.
Figg. 6a, 6b - Sondaggio dopo terapia causale.
Fig. 7 - Applicazione di Ozosan.
Fig. 8 - Guarigione a 3 settimane.
Conclusioni
I casi descritti fanno parte di lavori clinici che sono inseriti in uno studio più ampio sull’efficacia del prodotto stesso. Quest’ultimo si è mostrato anche molto efficace nella pratica clinica dell’Autrice nella guarigione delle lesioni aftose ed erpetiche delle mucose. Fondamentale è la rimozione meccanica del biofilm ma l’associazione al prodotto descritto sembra accelerare la guarigione dei tessuti, probabilmente grazie alla sua azione antimicrobica e favorevole la guarigione dovuta alla sua biocompatibilità e alle sue proprietà antiinfiammatorie e stimolanti il sistema immunitario. Servono ulteriori studi per definire efficacia e modalità di utilizzo, ma la sua applicazione si presenta promettente in campo parodontale, ma anche peri-implantare, e per il trattamento delle alveoliti, delle lesioni oste necrotiche.
Bibliografia
- Sanz M, Herrera D, Kebschull M, Chapple I, Jepsen s, Berglundh T, Sculean A, Tonetti MS on behalf of the EFP Workshop Paricipants and Methological Consultas : Treatment of stage I–III periodontitis—The EFP S3 level clinical practice guideline J Clin Periodontol 2020 jul ;47 Suppl22 (Suppl 22):4-60
- Liu, J.X.; Werner, J.; Kirsch, T.; Zuckerman, J.D.; Virk, M.S. Cytotoxicity evaluation of chlorhexidine gluconate on human fibroblasts, myoblasts, and osteoblasts. J. Bone Jt. Infect. 2018, 3, 165–172.
- Pilloni A, Ceccarelli S, BoscoD, Gerini G, Marchese C, Marini L, Rojas M A. Effect of Chlorhexidine Digluconate in Early Wound Healing of Human Gingival Tissues. A Histological, Immunohistochemical and Biomolecular Analysis Antibiotics (Basel). 2021 Oct; 10(10): 1192. Published online 2021 Oct 1.
- Silva EJNL, Prado MC, Soares DN, Hecksher F, Martins JNR, Fidalgo TKS. The effect of ozone therapy in root canal disinfection: a systematic review. Int Endod J 2020;53:317–332.
- Deepthi R, Bilichodmath S. Ozone therapy in periodontics: a meta-analysis. Contemp Clin Dent 2020;11:108–115.
- Moraschini V, Kischinhevsky ICC, Calasans-Maia MD, et al. Ineffectiveness of ozone therapy in nonsurgical periodontal treatment: a systematic review and meta-analysis of randomized clinical trials. Clin Oral Investig 2020;24:1877–1888.
- Palma L.P, Joia C, Chambrone L. Effect of ozone therapy on periodontal and peri-implant surgical wound healing: a systematic review. Quintessence International vol 54, n 2, 2023.
- D’Ambrosio F., Caggiano M., Acerra A., Pisano, M., Giordano F. Is Ozone a Valid Adjuvant Therapy for Periodontitis and Peri-Implantitis? A Systematic Review. J. Pers. Med. 2023,13,646. https://doi.org/ 10.3390/jpm13040646.
- Ripamonti CI, Cislaghi E, Mariani L, Maniezzo M. Efficacy and safety of medicalo zone (O(3)) delivered in oil suspension applications for the treatment of osteonecrosis of the jaw in patients with bone metastases treated with bisphosphonates: Preliminary results of a phase I-II study. Oral Oncol 2011 Mar; 47(3): 185-90.
- Materni A., Pasquale C., Longo E., Frosecchi M., Benedicenti S., Bozzo M., Amaroli A. Prevention of Dry Socket with Ozone Oil-Based Gel after Inferior Third Molar Extraction: A Double-Blind Split-Mouth Randomized Placebo-Controlled Clinical Trial. Gels2023,9,289. https://doi.org/ 10.3390/gels9040289.
- Colombo, M.; Gallo, S.; Garofoli, A.; Poggio, C.; Arciola, C.R.; Scribante, A. Ozone Gel in Chronic Periodontal Disease: A Randomized Clinical Trial on the Anti-Inflammatory Effects of Ozone Application. Biology 2021, 10, 625.
- Papa Giulio. Ozonoterapia in Odontoiatria: ozono stabilizzato in gel per uso intraoperatorio Prevention Italian Edition, anno 2, vol. 2 Supplemento n.2 di Dental Tribune Italian Edition, anno XVI n.10.
L'articolo è stato pubblicato sullo speciale ozono terapia di Dental Tribune Italian Edition n. 12/23.
Tag:
La perimplantite è un processo infiammatorio che colpisce i tessuti che circondano un impianto dentale osteointegrato. È caratterizzata da infiammazione ...
Paziente di sesso femminile, 30 anni, non fumatrice, con anamnesi sistemica silente, assenza di allergie a farmaci e sostanze alimentari, familiarità ...
La strumentazione parodontale non chirurgica è necessaria come trattamento iniziale, e come terapia di mantenimento, di qualsiasi patologia ...
I rapporti tra le patologie che interessano la polpa dentaria e quelle riguardanti il parodonto marginale si verificano attraverso le connessioni anatomiche...
Sono un’igienista dentale e lavoro nell’ambito della prevenzione orale fin dagli anni ‘80. Mi occupo anche di formazione e organizzo corsi rivolti ai ...
La malattia parodontale è una patologia cronica che colpisce i tessuti di supporto dei denti ed è caratterizzata da infiammazione, sanguinamento gengivale...
Le malattie parodontali possono causare gravi invalidità quali la perdita o la riduzione della funzionalità dell’apparato ...
La parodontite è la prima causa di perdita di denti nella popolazione adulta nei Paesi industrializzati e presenta molteplici ripercussioni sulle ...
L’approccio al paziente adulto è sempre di difficile gestione e pianificazione. A volte per poter risolvere gravi affollamenti si ritiene necessario ...
FILADELFIA, USA: la malattia parodontale colpisce quasi il 60% degli adulti di età superiore ai 65 anni e comporta un onere considerevole dal punto di ...
Live webinar
lun. 11 maggio 2026
18:00 (CET) Rome
Live webinar
lun. 11 maggio 2026
19:00 (CET) Rome
Live webinar
mar. 12 maggio 2026
19:00 (CET) Rome
Live webinar
gio. 14 maggio 2026
18:00 (CET) Rome
Live webinar
gio. 14 maggio 2026
20:00 (CET) Rome
Prof. Hani Ounsi DDS PhD FICD
Live webinar
mar. 19 maggio 2026
17:00 (CET) Rome
Live webinar
mar. 19 maggio 2026
19:00 (CET) Rome
Prof. Dr. med. dent. Ivo Krejci
To post a reply please login or register