Tecnica mininvasiva di aumento orizzontale associata a ricostruzione della cresta.
Abstract
Lo scopo della tecnica è quello di ripristinare i normali volumi di siti atrofici a fianco di un elemento dentale da estrarre. In una unica seduta chirurgica viene ricostruita la cresta ossea del sito estrattivo ed eseguito l’aumento orizzontale del sito atrofico. Il protocollo prevede una incisione in cresta dal sito estrattivo all’elemento dentale più vicino e intrasulculare fino a mezzo dente sia vestibolare che palatale-linguale. Si lavora poi per scollamento fino alla profondità che si intende aumentare e senza alcun lembo di scarico si imbusta prima una membrana in collagene bagnata con colla di fibrina umana e poi il sostituto osseo miscelato sempre con colla di fibrina umana. Non vengono eseguiti fori nella corticale e non viene tagliato il periostio. La sutura è a punti singoli semplici nella zona di incisione, incrociata nella zona dell’alveolo che guarirà per seconda intenzione.
Introduzione
È oggi molto importante, vista ormai l’evidenza della letteratura scientifica, trattare un alveolo nel momento dell’estrazione e farlo con tecniche mininvasive: biomateriali, membrane in collagene riassorbibile o matrici di collagene esposte in bocca e guarigione per seconda intenzione. Questo tipo di guarigione ci regala un aumento dei tessuti molli cheratinizzati durante la guarigione, al contrario della prima intenzione. Si ha anche un vantaggio estetico poiché la linea muco-gengivale non viene alterata. Può spesso capitarci nella pratica quotidiana di dover estrarre un pilastro di ponte oppure un elemento mesio inclinato, in entrambi questi casi il problema non è l’alveolo da ricostruire ma la cresta guarita a fianco di esso, che quasi sempre presenta un deficit orizzontale più o meno marcato. La tecnica S.A.T (Simplified Apposition Technique), permette di risolvere questo deficit in modo mininvasivo e ricreare un congruo spessore della cresta ossea, fino anche al 50% in più (Figg. 1c, 1d, 2c, 3c), in modo da rendere il sito adatto al successivo posizionamento implantare.
Materiali e metodi
La tecnica che viene presentata è assolutamente mini invasiva in quanto permette una ricostruzione della cresta orizzontale contestuale all’alveolo senza dover prelevare osso dal paziente, senza incisioni di scarico e senza dover forare la corticale già presente. La tecnica chirurgica è stata eseguita utilizzando idrossiapatite bovina con il 30% di atelocollagene (Hypro-Oss® Bioimplon) ed idrossiapatite bovina pura (Bio-Oss® Geistlich Pharma) bagnati con colla di fibrina umana (Tisseel® Baxter ed Evicell® Johnson & Johnson) per rendere il materiale più maneggevole ed appiccicoso rispetto ai semplici granuli, e membrane in collagene riassorbibile (Hypro-Sorb M® Bioimplon e Bio-Gide® Geistlich Pharma).
Tecnica Chirurgica
La tecnica è indicata per elementi dentali da estrarre mesio inclinati o elementi di ponte, che presentino un deficit orizzontale della cresta ossea a fianco dell’elemento da estrarre. Il protocollo operativo prevede, dopo l’estrazione, una incisione in cresta fino al dente contiguo e intrasulculare per mezzo dente sia vestibolare che buccale-palatale, se necessario. Si procede poi scollando ed evidenziando la parte ossea dove dovremo posizionare la membrana e il biomateriale, senza eccedere poiché lo scollamento minimo ci garantirà la stabilità dell’innesto. Raggiunte le pareti che riprendono uno spessore osseo morfologicamente normale si interrompe lo scollamento e si imbusta una membrana in collagene precedentemente tagliata e bagnata con la colla di fibrina, in modo che si incolli al lembo vestibolare. A questo punto il biomaterale miscelato con la colla di fibrina (Sticky Bone) viene imbustato poco per volta iniziando dall’alveolo e poi all’interno del sito creato dallo scollamento, senza necessità di fori nella corticale (Figg. 2a, 3a, 4a, 5, 6a). La rigenerazione viene guidata dai tessuti che ci indicheranno quanto materiale poter inserire, non effettuando scarichi verticali è il lembo stesso a essere contenitivo e a dare stabilità all’innesto. Il lembo viene suturato a punti staccati singoli ottenendo una chiusura per prima intenzione senza dover incidere il periostio (Figg. 1a, 2a, 3a, 6a); mentre nella zona dell’alveolo, in cui gli strati di membrana possono essere aumentati, la sutura sarà incrociata e la guarigione per seconda intenzione. Ovviamente se dovessimo trovarci in difficoltà potremo creare un rilascio periostale, ponendo sempre attenzione a non far venire meno quella capacità contenitiva del lembo che è alla base di questa tecnica. Nei casi presentati il rilascio periostale non è stato eseguito, iniziare il lembo con un incisione bisellata in cresta può essere d’aiuto a evitare il rilascio periostale (Fig. 2a).
Risultati
Tutti gli interventi eseguiti con questa tecnica, nove in tutto, hanno portato alla risoluzione del deficit orizzontale presente al momento dell’estrazione, e hanno permesso in tutte le zone trattate un buon inserimento implantare senza la necessità di ulteriori tecniche di GBR (Figg. 1d, 3a, 3d, 6b). Gli interventi sono stati eseguiti sia in mandibola che nel mascellare superiore, trattando edentulie singole e multiple. Non eseguendo lembi di scarico e scollando il meno possibile, i pazienti nei giorni successivi non presentano particolare gonfiore; anche il dolore è molto limitato e gestibile con poche dosi di antidolorifico per via orale, oltre la terapia antibiotica con Amoxicillina 875 mg. e Acido Clavulanico 125 mg. ogni 12 ore per sei giorni. Il primo caso risale al gennaio 2011 ed abbiamo quindi un controllo a più di 4 anni dal posizionamento implantare (Fig. 7). La stabilità dei tessuti duri e molli è risultata buona, non avendo perso alcun impianto e soprattutto non avendo casi di perimucosite-perimplantite.
Conclusioni
La tecnica semplificata di apposizione del biomateriale (S.A.T.) permette di ripristinare il deficit orizzontale presente a fianco di un dente da estrarre nel modo meno invasivo possibile, facendosi guidare nell’innesto dall’anatomia del sito da ricostruire (Fig. 3c). A distanza di sei mesi i tessuti cheratinizzati sono sempre presenti in ottima quantità (Figg. 1b, 2b, 3b) ed il biomateriale è sempre apparso ben integrato con l’osso nativo sottostante anche senza bisogno di forare la corticale, in questo sicuramente l’alveolo zeppato garantisce un input osteoinduttivo. La stabilità dell’innesto è garantita dalla mancanza di scarichi mesiali o distali, in pratica la busta creata è un sito contenitivo a 4 pareti. Così come risulta fondamentale ricostruire un sito post estrattivo immediato per evitare un collasso dei tessuti duri e molli in senso orizzontale e verticale, è altrettanto importante avere a disposizione una tecnica semplice e poco invasiva per ripristinare contestualmente siti atrofici ereditati da guarigioni precedenti (Figg. 1e, 3e). I risultati avuti finora sono molto buoni e non si sono verificati effetti avversi; ovviamente i numeri dovranno crescere così come i controlli nel tempo (Fig. 6c). Oltre a questo, sarebbe interessante applicare la stessa tecnica di aumento orizzontale dove non vi siano elementi da estrarre ma solo creste guarite con deficit orizzontale, questo amplierebbe considerevolmente le applicazioni di questa tecnica, anche se i risultati mostrati ultimamente dalla tecnica S.M.A.R.T.® incoraggiano nei siti edentuli un approccio laterale.
Fig. 1a_Estrazione di radice distale di 46 e innesto su deficit di 45 e 46.
Fig. 1b_Cambiamento dei tessuti a 22 giorni.
Fig. 1c_Aumento orizzontale dei tessuti duri del 50%.
Fig. 1d_Tessuti duri prima e dopo la tecnica S.A.T., posizionamento implantare.
Fig. 1e_Condizionamento tessuti molli e protesi definitiva.
Fig. 2a_Tecnica S.A.T. applicata in zona 23-24-25.
Fig. 2b_Guarigione dei tessuti a 6 mesi.
Fig. 2c_CBCT pre e post intervento a 6 mesi.
Fig. 2d_Guarigione dei tessuti molli e protesi definitiva.
Fig. 3a_Tecnica S.A.T. applicata in zona 44-45-46.
Fig. 3b_Cambiamento dei tessuti a 27 giorni.
Fig. 3c_CBCT pre intervento e dopo 6 mesi a confronto.
Fig. 3d_Qualità del tessuto neoformato e posizionamento implantare.
Fig. 3e_Condizionamento dei tessuti molli e protesi definitiva.
Fig. 4a_Elemento 36 mesio inclinato, deficit orizzontale in zona 35 risolto con tecnica S.A.T.
Fig. 4b_Controllo a 12 mesi dal carico.
Fig. 5_Elemento di ponte 35 perso e deficit in zona 36, controllo a 16 mesi dal carico.
Fig. 6a_Perdita di elemento di ponte 24 e deficit in zona 25, fasi chirurgiche e guarigione.
Fig. 6b_Rientro chirurgico per il posizionamento implantare e protesi definitiva.
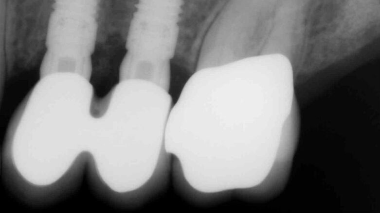
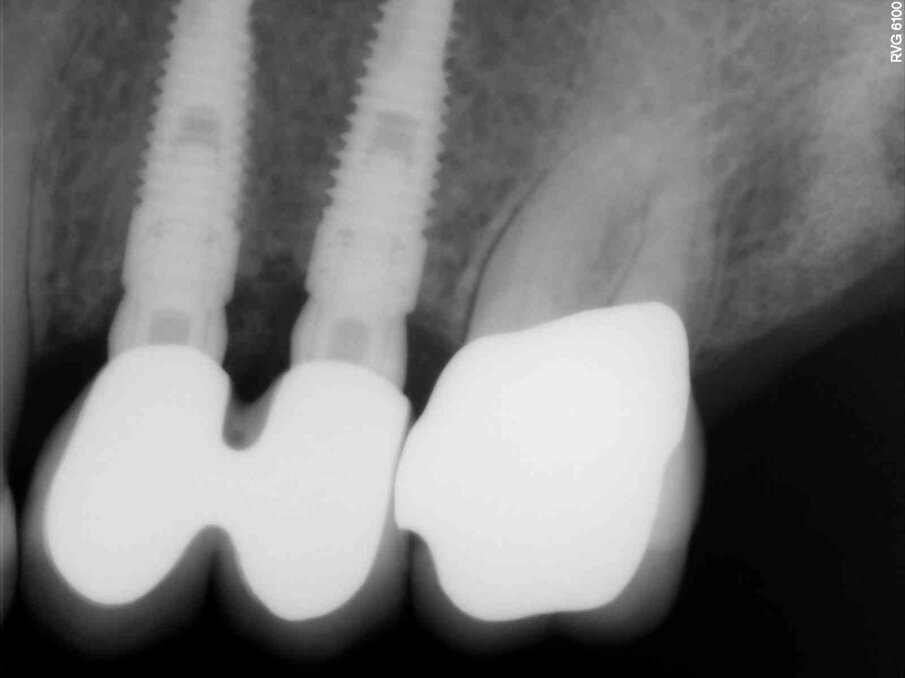
Fig. 6c_Controllo rx a 2 anni dal posizionamento implantare.
Fig. 7_Primo caso eseguito nel 2011, rx di controllo a 3 anni dal posizionamento implantare.
Bibliografia
- Roccuzzo M, Gaudioso L, Bunino M, Dalmasso P. Long term stability of soft tissues following alveolar ridge preservation: 10 year results of a prospective study around nonsubmerged implants. Int J Periodontics Restorative Dent 2014;34:795-804.
- Milani S, Dal Pozzo L, Rasperini G, Sforza C, Dellavia C. Deproteinized bovine bone remodeling pattern in alveolar socket: a clinical immunoistological evaluation. Clin Oral Implants Res 00, 2014, 1-8.
- Lindhe J, Cecchinato D, Donati M, Tomasi C, Liljenberg B. Ridge preservation with the use of deproteinized bovine bone mineral. Clin Oral Implants Res 25, 2014, 786-790.
- Borgia V, Alfonsi F, Iezzi G, Piattelli A, Covani U, Barone A. Valutazione istologica della preservazione di cresta alveolare. Implant Tribune Italian Edition – Maggio 2013.
- Cardaropoli D, Tamagnone L, Roffredo A, Gaveglio L. Evaluation of dental implants placed in preserved and non preserved postextraction ridges: a 12-month postloading study. Int J Periodontics Restorative Dent 2015;35:676-684.
- Istvan A. Urban, Jaime L. Lozada, Sasha A. Jovanovic, Katalin Nagy. Horizontal Guided Bone Regeneration in the Posterior Maxilla Using Recombinant Human Platelet-Derived Growth Factor: A case Report. Int J Periodontics Restorative Dent 2013;33:421-425.
- Istvan A. Urban, Heiner Nagursky, Jaime L. Lozada, Katalin Nagy. Horizontal Ridge Augmentation with a Collagen Membran and a Combination of Particulated Autogenous Bone and Anorganic Bovine Bone-Derived Mineral: A Prospective Case Series in 25 Patients. Int J Periodontics Restorative Dent 2013;33:299-307.
- Subperiosteal Minimally Invasive Aesthetic Ridge Augmentation Technique (SMART): A New Standard for Bone Reconstruction of the Jaws. Int J Periodontics Restorative Dent 2017 Mar/Apr;37(2):165-173.
Tag:
Si vogliono presentare due procedure di sbiancamento: solo professionale, con perossido d’idrogeno al 25% e professionale, con perossido di idrogeno al ...
L’articolo presenta una case series (10 casi clinici) di trattamento non chirurgico di tasche parodontali. In tutti i casi è stato applicato un nuovo ...
Il rialzo del seno mascellare (Boyne 1980, Tatum 1986) è attualmente considerato una tecnica altamente predicibile e sicura per consentire ...
La GBR è una tecnica predicibile nel trattamento dei difetti ossei verticali. La guarigione della ferita per prima intenzione ottenuta attraverso la ...
La peri-implantite sembra affliggere un sempre maggior numero di casi implantari e i ricercatori di tutto il mondo stanno mettendo a punto dei protocolli ...
Una serie di nuovi soluzioni con tecnologia e capacità avanzate progettata per migliorare l'esperienza di scansione, aumentare la produttività del ...
Ha fatto scalpore la notizia di un paziente sieropositivo che sarebbe stato allontanato da uno studio odontoiatrico. Il paziente, dopo aver compilato il ...
La perimplantite è un processo infiammatorio che colpisce i tessuti che circondano un impianto dentale osteointegrato. È caratterizzata da infiammazione ...
Nella pratica odontoiatrica comune il clinico è chiamato a trattare anomalie strutturali dello smalto e dentina con esigenze estetiche importanti da parte ...
La possibilità di riabilitare una arcata totalmente edentula mediante l’inserimento di impianti osteointegrati e il posizionamento di una ...
Live webinar
mer. 15 aprile 2026
20:00 (CET) Rome
Live webinar
gio. 16 aprile 2026
2:00 (CET) Rome
Linda Hecker MS, BSDH, RDH
Live webinar
gio. 16 aprile 2026
18:00 (CET) Rome
Dr. Pär-Olov Östman, Dr. Robert Gottlander DDS
Live webinar
ven. 17 aprile 2026
18:00 (CET) Rome
Live webinar
ven. 17 aprile 2026
19:00 (CET) Rome
Dr. Stuart Yeaton BDentSc, MOrth
Live webinar
lun. 20 aprile 2026
19:00 (CET) Rome
Dr. Alberto Monje DDS, MS, PhD
Live webinar
mer. 22 aprile 2026
17:00 (CET) Rome
MDT Andreas Chatzimpatzakis
To post a reply please login or register