La GBR è una tecnica predicibile nel trattamento dei difetti ossei verticali. La guarigione della ferita per prima intenzione ottenuta attraverso la passivazione dei lembi chirurgici è un fattore chiave per il successo dell’incremento dell’osso alveolare.
La tecnica GBR richiede un’incisione crestale con incisioni di rilascio verticali ed un’importante scheletrizzazione dell’area di innesto. Spesso può essere anche necessario un secondo sito d’accesso chirurgico per il prelievo di una porzione di osso autologo. Una ferita estesa prevede pertanto un tempo di guarigione lungo, un elevato numero di punti di sutura, un intervento che può risultare traumatico ed un’attenta selezione del paziente, il quale deve essere estremamente collaborante nell’attenersi alle istruzioni post-operatorie.
_Descrizione
In questo studio viene mostrata la GBR Pocket Technique, un innovativo approccio rigenerativo che nasce dall’esigenza di ridurre l’invasività delle procedure tradizionali attraverso una ferita chirurgica minima ottenuta con una singola incisione. In questo modo si riducono i tempi di guarigione, si ha un’unica area di innesto e di prelievo osseo, un minor rischio d’esposizione della membrana, minori disagi post-operatori per il paziente. Il vantaggio principale di questa tecnica è quello di evitare l’incisione crestale e quella di rilascio distale attraverso un singolo lembo d’accesso, a forma di “U” lungo 7-8 mm, effettuato distalmente all’ultimo dente adiacente alla zona di innesto. Il lembo viene scollato prima lingualmente, fino alla linea miloioidea, e successivamente vestibolarmente, si esegue poi il rilascio del periostio nella porzione buccale. In questo modo si ottiene un accesso a tasca tale da consentire una miglior preservazione dell’apporto di sangue all’area chirurgica, minimizzando il rischio di necrosi, deiscenza ed esposizione dell’innesto.
Figg. 1, 2_L’immagine clinica preoperatoria pone in evidenza un ampio difetto osseo sia orizzontale che verticale.
Figg. 1, 2_L’immagine clinica preoperatoria pone in evidenza un ampio difetto osseo sia orizzontale che verticale.
Figg. 3, 4_Come previsto dalla procedura di GBR Pocket Technique, si esegue un’incisione minimamente invasiva con estensione vestibolare e linguale.
Figg. 3, 4_Come previsto dalla procedura di GBR Pocket Technique, si esegue un’incisione minimamente invasiva con estensione vestibolare e linguale.
Figg. 5, 6_Si effettua la perforazione del letto osseo ricevente, il fissaggio linguale della membrana Cytoplast tireinforced ed una miscela 1:1 di osso autologo ed eterologo.
Figg. 5, 6_Si effettua la perforazione del letto osseo ricevente, il fissaggio linguale della membrana Cytoplast tireinforced ed una miscela 1:1 di osso autologo ed eterologo.
Figg. 7, 8_La membrana Cytoplast viene fissata vestibolarmente ed il lembo viene suturato.
Figg. 7, 8_La membrana Cytoplast viene fissata vestibolarmente ed il lembo viene suturato.
Figg. 9, 10_La situazione radiologica e clinica a 6 mesi dalla chirurgia, si esegue la riapertura attraverso una singola incisione crestale.
Figg. 9, 10_La situazione radiologica e clinica a 6 mesi dalla chirurgia, si esegue la riapertura attraverso una singola incisione crestale.
Figg. 11, 12_Si evidenzia formazione di osso al di sopra della membrana e si procede alla rimozione della stessa.
Figg. 11, 12_Si evidenzia formazione di osso al di sopra della membrana e si procede alla rimozione della stessa.
Figg. 13, 14_Viene eseguito il posizionamento degli impianti e la sutura.
Figg. 13, 14_Viene eseguito il posizionamento degli impianti e la sutura.
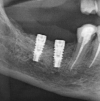
Figg. 15, 16_Controllo radiografico post-implantare e follow-up ad 1 anno.
Figg. 15, 16_Controllo radiografico post-implantare e follow-up ad 1 anno.
_Conclusioni
La GBR pocket technique consente di ottenere una miglior preservazione del circolo ematico ed una minore tensione del lembo, riducendo i rischi di necrosi, deiscenza ed esposizione della membrana. Inoltre vi è un minor utilizzo di punti di sutura, un inferiore avanzamento coronale della linea muco-gengivale ed una ridotta perdita di fornice vestibolare. Lo svantaggio, rispetto alla tecnica tradizionale, può essere un aumento della durata dell’intervento chirurgico dovuto alla maggior difficoltà di questa tecnica.
Tag:
Si è svolto nei giorni 17 e 18 Maggio a Milano il GBR Symposium sponsorizzato da De Ore. I temi affrontati, come recitava il sottotitolo ...
Introduzione
La Socket-Shield Technique (SST) è una procedura ormai consolidata, che ha già 13 anni di letteratura ed è sostenuta in Italia da una ...
La peri-implantite sembra affliggere un sempre maggior numero di casi implantari e i ricercatori di tutto il mondo stanno mettendo a punto dei protocolli ...
La salute orale si regge su due pilastri fondamentali: da un lato, la rimozione professionale del biofilm e del tartaro dentale, supportata da ...
Tecnica mininvasiva di aumento orizzontale associata a ricostruzione della cresta.
L’inserimento d’impianti dentali è oramai una pratica quotidiana per la riabilitazione delle edentulie, parziali o totali, dei ...
Il 2° GBR Symposium ha preso il via venerdì 14 e sabato 15 ottobre allo Zanhotel Centergross di Bologna, sede funzionale, lontana da distrazioni ...
Gli impianti osteointegrati si associano a percentuali elevate di successo, tuttavia la loro inserzione può risultare controindicata in presenza di ...
Gli impianti osteointegrati si associano a percentuali elevate di successo, tuttavia la loro inserzione può risultare controindicata in presenza di ...
La paziente – 56 anni in buono stato di salute generale – si presenta con mascellare superiore completamente edentulo; riferisce che da circa due anni ...
Live webinar
lun. 13 aprile 2026
19:00 (CET) Rome
Dr. David Norré, Dr. Tommie Van de Velde DDS, MSc, PhD
Live webinar
mer. 15 aprile 2026
2:00 (CET) Rome
Dr. Bruce McFarlane Certified Specialist in Orthodontics Fellow: Royal College of Dentists of Canada Diplomate: American Board of Orthodontics
Live webinar
mer. 15 aprile 2026
20:00 (CET) Rome
Live webinar
gio. 16 aprile 2026
2:00 (CET) Rome
Linda Hecker MS, BSDH, RDH
Live webinar
gio. 16 aprile 2026
18:00 (CET) Rome
Dr. Pär-Olov Östman, Dr. Robert Gottlander DDS
Live webinar
ven. 17 aprile 2026
18:00 (CET) Rome
Live webinar
ven. 17 aprile 2026
19:00 (CET) Rome
Dr. Stuart Yeaton BDentSc, MOrth
To post a reply please login or register