La più importante innovazione degli ultimi anni nel campo della rigenerazione ossea guidata (GBR) è rappresentato dalle griglie in titanio CAD/CAM customizzate, che permettono la personalizzazione delle griglie in base alle specifiche anatomiche del paziente e di realizzarle mediante processi di laser-sinterizzazione prima della chirurgia1-5.
Queste griglie rendono il trattamento dei difetti ossei verticali più semplice, più veloce, e più sicuro, rendendolo sempre meno operatore-dipendente e raggiungendo risultati clinici e radiografici sovrapponibili o superiori a quelli delle altre tecniche rigenerative6-9. Recentemente, sono state anche introdotte griglie in titanio CAD/CAM semi-occlusive o completamente occlusive mostrando risultati altrettanto favorevoli10-12. Anche dal punto di visto istologico, istomorfometrico, e micro-tomografico, il tessuto osseo rigenerato mediante queste griglie ha mostrato caratteristiche più che adeguate al raggiungimento dell’osteointegrazione13-15 e soprattutto al mantenimento a lungo termine di impianti sottoposti a carico funzionale16.
Un’altra importante innovazione è rappresentata dalla tecnica di chiusura a doppio strato delle aree sottoposte a GBR verticale basata sull’uso della bolla adiposa del Bichat, che ha permesso una significativa riduzione della percentuale di esposizioni e di infezioni e conseguentemente un aumento delle percentuali di successo delle GBR17. Il presente case report si propone di illustrare step-by-step il trattamento di un grave difetto osseo localizzato nel mascellare superiore mediante una griglia in titanio CAD/CAM customizzata di ultima generazione associata al lembo della bolla di Bichat (T0) e il successivo trattamento implanto-protesico mediante chirurgia computer guidata (T1), al fine di mostrare come le nuove tecnologie e il workflow digitale permetta di semplificare il trattamento di pazienti complessi.
Descrizione
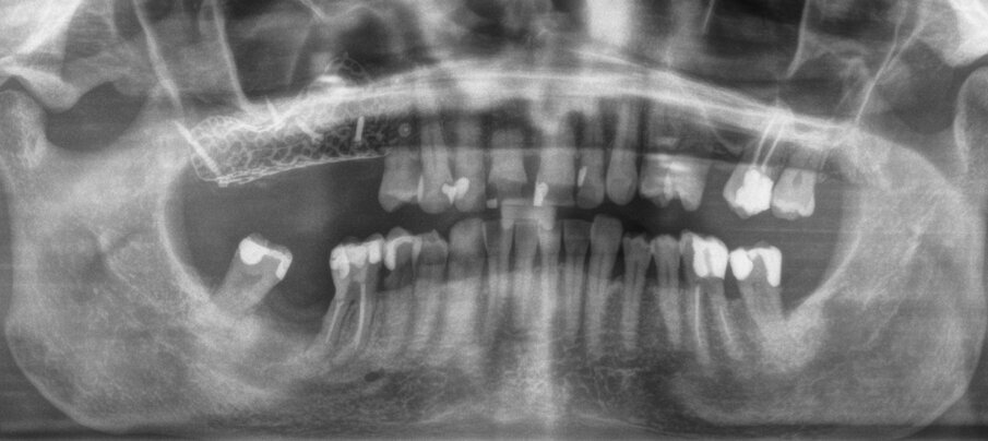
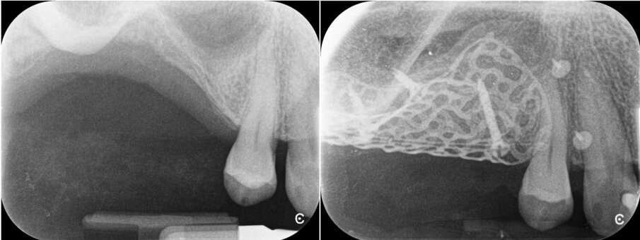
Una paziente di 62 anni, ASA I, non fumatrice e non diabetica, con malattia parodontale precedentemente trattata, si è presentata per una riabilitazione implanto-protesica del mascellare superiore (Fig. 1). L’analisi radiografica, eseguita tramite ortopantomografia (OPT) e tomografia computerizzata cone-beam (CBCT), ha rilevato la presenza di un difetto osseo verticale nel primo sestante, dovuto alla completa perdita del processo alveolare (Figg. 2, 3). Dopo aver discusso con la paziente le possibilità di trattamento, è stato accettato il trattamento proposto come prima scelta, ovvero la ricostruzione ossea del processo alveolare e la successiva riabilitazione mediante corone singole su impianti.
Materiali e metodi
Il piano di trattamento è stato sviluppato utilizzando un flusso di lavoro completamente digitale. Pertanto, i files .DICOM ottenuti dalla CBCT pre-operatoria sono stati utilizzati per generare una ricostruzione 3D del mascellare, che ha permesso di eseguire la progettazione virtuale del volume osseo “ideale” per l’inserimento di 3 impianti in sede #15, #16, e #17. (Figg. 4, 5). Successivamente, è stata creata virtualmente la griglia customizzata corrispondente al volume aumentato nel mascellare della paziente (Fig. 6). Il giorno della chirurgia ricostruttiva (T0), è stata eseguita una profilassi antibiotica (2 g di amoxicillina con acido clavulanico e 500 mg di metronidazolo), una profilassi antinfiammatoria (20 mg di piroxicam), una sedazione cosciente x os (2 ml di delorazepam e 2 ml di diazepam), e disinfezione del cavo orale (risciacquo orale con povidone-iodio per un minuto, perossido di idrogeno per due minuti, e collutorio alla clorexidina 0,2% per tre minuti), e un’anestesia locale mediante articaina 4% contenente adrenalina 1:100.00018. L’esame obiettivo mostra la gravità del difetto osseo che determina un evidente difetto di volume sia in senso orizzontale che in senso verticale (Figg. 7, 8).
L’intervento chirurgico è iniziato con un’incisione semilunare in mucosa alveolare associata a due incisioni verticali vestibolari, tutte spostate sul versante buccale dell’area da trattare19(Figg. 9, 10). È stato quindi sollevato un lembo a tutto spessore sul versante buccale che è stato successivamente mobilizzato/passivato tramite un’incisione periostale seguita da una dissezione superficiale della componente mucosa rispetto alla componente muscolare (Figg. 11, 12). È stato sollevato anche un lembo a tutto spessore sul versante palatino, con isolamento dell’arteria palatina maggiore (Fig. 13). È stata eseguita un’incisione orizzontale lungo il ramo mandibolare per prelevare circa 2 cc di osso autologo tramite bone scraper (SafeScraper Twist, Meta, Geistlich) (Fig. 14). È quindi stato preparato il materiale da innesto, mescolando in rapporto 50:50 osso autologo e osso bovino deproteinizzato (DBBM) (Bio-Oss small, Geistlich), a cui è stato aggiunto sangue venoso periferico prelevato dalla paziente stessa per favorire l’effetto coagulante (Fig. 15)
Successivamente, la griglia in titanio customizzata CAD/CAM (Yxoss CBR, Reoss, Geistlich) è stata prelevata dalla doppia busta sterile ed è stata riempita con il materiale da innesto (Fig. 16). La griglia è stata quindi posizionata in sito e fissata con quattro viti di osteosintesi, al fine di ottenere una stabilità assoluta (Fig. 17). È stata poi ricoperta da una membrana riassorbibile in collagene nativo (Biogide, Geistlich) stabilizzata a sua volta con chiodini in titanio (McBio, Geist-lich) (Fig. 18). Prima della chiusura del lembo primario, è stato isolato, prelevato, e avanzato il tessuto grasso della bolla di Bichat, per ridurre il rischio di esposizione e infezione della griglia sottostante17, essendo un tessuto estremamente ricco di cellule pluripotenti, in grado di differenziarsi per la guarigione di prima intenzione dell’area trattata (Fig. 19). Infine, i lembi chirurgici buccale e vestibolare sono stati suturati mediante una doppia linea di sutura, la prima costituita da punti a materassaio orizzontale, la seconda da punti singoli o doppi (Resorba Glycolon, Osteogenics) (Fig. 20). I lembi chirurgici sono stati accuratamente adattati per una chiusura per prima intenzione, senza tensioni, utilizzando una combinazione di suture a materassaio orizzontali e suture interrotte (Resorba Glycolon, Osteogenics) (Figg. 20, 21). Dopo l’intervento chirurgico, la paziente ha seguito un protocollo postoperatorio che includeva una terapia antibiotica (1 g di amoxicillina con acido clavulanico e 250 mg di metronidazolo ogni 8 ore per 7 giorni), e la disinfezione del cavo orale mediante risciacqui con clorexidina 0,2% per 2 minuti, tre volte al giorno, per 14 giorni.
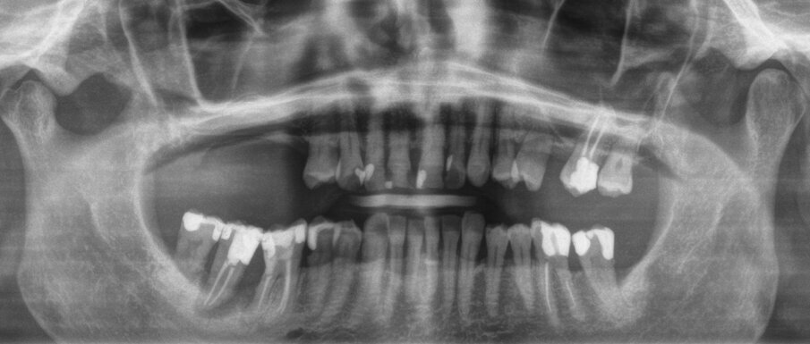
Dopo 14 giorni, sono state rimosse le suture, sono stati raccolti dati relativi al decorso post-operatorio, è stata verificata l’assenza di deiscenze o esposizione o infezione della griglia, ed è stata eseguita una radiografia OPT (Fig. 22). La paziente ha riferito un livello medio di dolore pari a 0, su una scala VAS da 0 a 10, con una media di 1,6 FANS assunti al giorno, durante le prime 2 settimane; inoltre, la paziente ha riferito gonfiore significativo, un piccolo livido esterno sul volto, e la difficoltà ad aprire la bocca. Secondo il questionario Postoperative Symptom Severity (POSSe), si è registrato un valore di 32, indicativo di un moderato disagio postoperatorio.
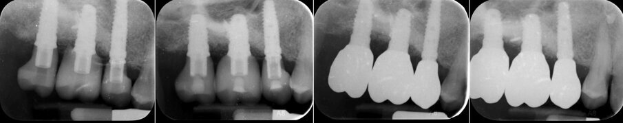
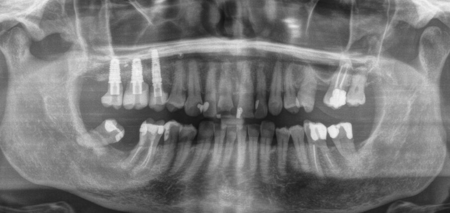
Dopo 9 mesi, è stata eseguita una seconda CBCT per valutare il volume di osso rigenerato e per pianificare la chirugia computer guidata (Fig. 23); i file .STL ottenuti dalla scansione 3D e i files .DICOM della CBCT sono stati utilizzati per pianificare l’inserimento degli impianti tramite una chirurgia computer guidata (Navimax, Biomax) (Fig. 24) . Il giorno della chirurgia implantare (T1), è stata eseguita un’incisione orizzontale para-crestale, per permettere l’esposizione della griglia e la sua rimozione, previa rimozione delle viti in titanio e dell’osso formatosi al di sopra di essa (Figg. 25, 26). L’esame clinico ha evidenziato una completa rigenerazione ossea del difetto osseo verticale, con assenza di pseudo-periostio o pseudo-periostio minore di 1 mm, di conseguenza pseudo-periostio di “classe 1” secondo la classificazione di Cucchi et al.20 (Figg. 27, 28). Successivamente, la dima chirurgica è stata posizionata e fissata nella posizione pianificata; i siti implantari sono stati preparati con frese progressive dedicate; e tre impianti conici (T3, Zimvie) sono stati inseriti nelle posizioni #15, #16 e #17, secondo la pianificazione protesicamente guidata eseguita precedentemente mediante il software da chirurgia guidata (Figg. 29-31). Gli impianti sono stati “sommersi”, attendendo la corretta osteointegrazione, ed è stata eseguita una chiusura per prima intenzione (Fig. 32). Dopo il posizionamento degli impianti, è stata eseguita una radiografia OPT (Fig. 33).
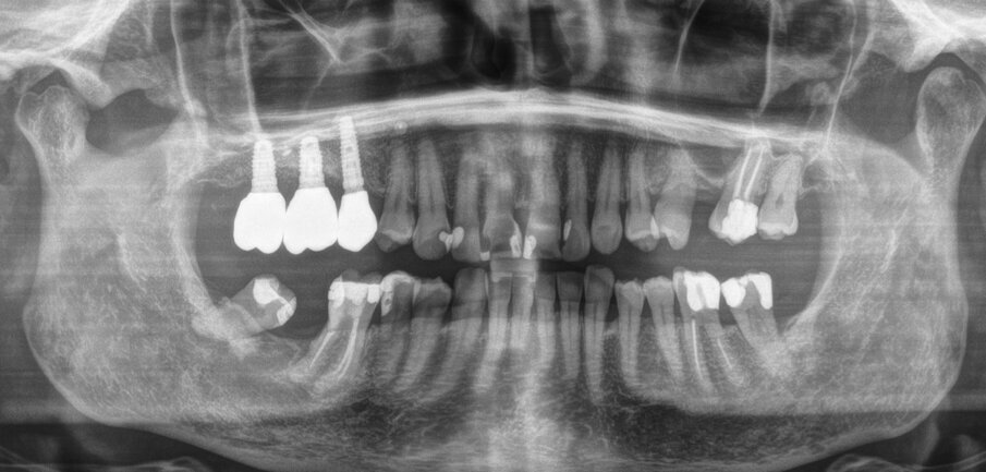
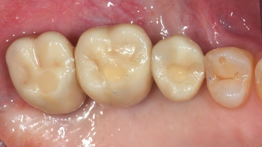
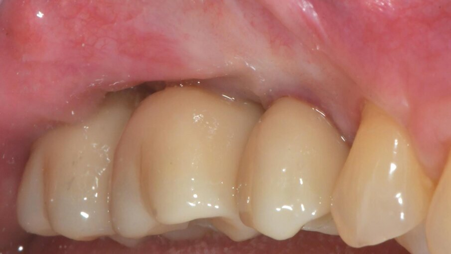
Dopo 3 mesi (T2), gli impianti sono stati esposti mediante un lembo spostato apicale per aumentare la quantità di tessuto cheratinizzato vestibolarmente agli impianti e riallineare la linea mucogengivale precedentemente spostata in direzione palatale; e sono state applicate viti di guarigione svasate per favorire una corretta guarigione trans-mucosa. Dopo 1 mese (T3), sono state eseguite corone singole in ceramica, per il primo carico funzionale e la finalizzazione provvisoria del caso, in attesa della maturazione ossea completa (Fig. 34). Dopo 6 mesi (T4), le corone sono state sostituite con corone in zirconio, per il carico funzionale e la finalizzazione definitiva degli impianti (Figg. 36-38). I controlli clinici e radiografici al primo carico funzionale, a 6 mesi, a 12 mesi, e a 24 mesi, mostrano la salute dei tessuti peri-implantari e il mantenimento dei livelli ossei peri-implantari (Fig. 39).
Ringraziamenti
Gli autori desiderano esprimere la loro più profonda gratitudine a tutti i membri del team coinvolti nel completamento di questo caso. Un ringraziamento speciale va all’Odt. Cracco Mariano, il tecnico dentale che ha meticolosamente realizzato le corone in ceramica utilizzate in questa riabilitazione.
Bibliografia
- Seiler M, Kämmerer PW, Peetz M, Hartmann A. Customized lattice structure in reconstruction of three-dimensional alveolar defects. Int J Comput Dent. 2018;21(3):261-267. PMID: 30264055.
- Hartmann A, Hildebrandt H, Schmohl JU, Kämmerer PW. Evaluation of Risk Parameters in Bone Regeneration Using a Customized Titanium Mesh: Results of a Clinical Study. Implant Dent. 2019 Dec;28(6):543-550. doi: 10.1097/ID.0000000000000933.
- Hartmann A, Seiler M. Minimizing risk of customized titanium mesh exposures - a retrospective analysis. BMC Oral Health. 2020 Feb 3;20(1):36. doi: 10.1186/s12903-020-1023-y.
- Cucchi A, Bianchi A, Calamai P, Rinaldi L, Mangano F, Vignudelli E, Corinaldesi G. Clinical and volumetric outcomes after vertical ridge augmentation using computer-aided-design/computer-aided manufacturing (CAD/CAM) customized titanium meshes: a pilot study. BMC Oral Health. 2020 Aug 5;20(1):219. doi: 10.1186/s12903-020-01205-4.
- Pellegrino G, Vignudelli E, Barausse C, Bonifazi L, Renzi T, Tayeb S, Felice P. Accuracy of semi-occlusive CAD/CAM titanium mesh using the reverse guided bone regeneration digital protocol: A preliminary clinical study. Int J Oral Implantol (Berl). 2024 May 27;17(2):175-185. PMID: 38801331.
- Chiapasco M, Casentini P, Tommasato G, Dellavia C, Del Fabbro M. Customized CAD/CAM titanium meshes for the guided bone regeneration of severe alveolar ridge defects: Preliminary results of a retrospective clinical study in humans. Clin Oral Implants Res. 2021 Apr;32(4):498-510. doi: 10.1111/clr.13720.
- Cucchi A, Vignudelli E, Franceschi D, Randellini E, Lizio G, Fiorino A, Corinaldesi G. Vertical and horizontal ridge augmentation using customized CAD/CAM titanium mesh with versus without resorbable membranes. A randomized clinical trial. Clin Oral Implants Res. 2021 Dec;32(12):1411-1424. doi: 10.1111/clr.13841.
- Lizio G, Pellegrino G, Corinaldesi G, Ferri A, Marchetti C, Felice P. Guided bone regeneration using titanium mesh to augment 3-dimensional alveolar defects prior to implant placement. A pilot study. Clin Oral Implants Res. 2022 Jun;33(6):607-621. doi: 10.1111/clr.13922.
- Cucchi A, Bettini S, Tedeschi L, Urban I, Franceschi D, Fiorino A, Corinaldesi G. Complication, vertical bone gain, volumetric changes after vertical ridge aug-mentation using customized reinforced PTFE mesh or Ti-mesh. A non-inferiority randomized clinical trial. Clin Oral Implants Res. 2024 Aug 23. doi: 10.1111/clr.14350. (a)
- Simion M, Pistilli R, Vignudelli E, Pellegrino G, Barausse C, Bonifazi L, Roccoli L, Iezzi G, Felice P. Semi-occlusive CAD/CAM titanium mesh for guided bone regeneration: Preliminary clinical and histological results. Int J Oral Implantol (Berl). 2023 Nov 23;16(4):327-336. PMID: 37994820.
- Ronda M, Desantis V, Bruno D, Veneriano L, Elli C, Pispero A. New Generation Customized Titanium Meshes for the Guided Bone Regeneration of Severe Alveolar Ridge Defects: Preliminary Results of a Retrospective Case Series. Int J Periodontics Restorative Dent. 2024 Sep 6:1-25. doi: 10.11607/prd.7246.
- Felice P, Pistilli R, Pellegrino G, Bonifazi L, Tayeb S, Simion M, Barausse C. A randomised controlled trial comparing the effectiveness of guided bone regeneration with polytetrafluoroethylene titanium-reinforced membranes, CAD/CAM semi-occlusive titanium meshes and CAD/CAM occlusive titanium foils in partially atrophic arches. Int J Oral Implantol (Berl). 2024 Sep 16;17(3):285-296. PMID: 39283222.
- Dellavia C, Canciani E, Pellegrini G, Tommasato G, Graziano D, Chiapasco M. Histological assessment of mandibular bone tissue after guided bone regeneration with customized computer-aided design/computer-assisted manufacture titanium mesh in humans: A cohort study. Clin Implant Dent Relat Res. 2021 Aug;23(4):600-611. doi: 10.1111/cid.13025.
- Cucchi A, Bettini S, Fiorino A, Maglio M, Marchiori G, Corinaldesi G, Sartori M. Histological and histomorphometric analysis of bone tissue using customized titanium meshes with or without resorbable membranes: A randomized clinical trial. Clin Oral Implants Res. 2024 Jan;35(1):114-130. doi: 10.1111/clr.14202. (b)
- Cucchi A, Marchiori G, Sartori M, Fini M, Fiorino A, Donati R, Corinaldesi G, Maglio M. A 3D micro-CT assessment of composition and structure of bone tissue after vertical and horizontal alveolar ridge augmentation using CAD/CAM-customized titanium mesh. Clin Oral Implants Res. 2024 Aug 6. doi: 10.1111/clr.14342. (c)
- Hartmann A, Hildebrandt H, Younan Z, Al-Nawas B, Kämmerer PW. Long-term results in three-dimensional, complex bone augmentation procedures with customized titanium meshes. Clin Oral Implants Res. 2022 Nov;33(11):1171-1181. doi: 10.1111/clr.14000.
- Cucchi A, Randellini E, Bettini S, Corinaldesi G. Effectiveness of Bichat’s Buccal Fat Pad (BFP) Technique for Vertical Ridge Augmentation in the Maxilla. Int J Periodontics Restorative Dent. 2023 Mar, Apr;43(2):e99-e109. doi: 10.11607/prd.5473. PMID: 37232689.
- Cucchi A, Bettini S, Corinaldesi G. A novel technique for digitalisation and customisation of reinforced polytetrafluoroethylene meshes: Preliminary results of a clinical trial. Int J Oral Implantol (Berl). 2022 May 13;15(2):129-146. PMID: 35546723.
- De Stavola L, Tunkel J, Fincato A, Fistarol F. The Vestibular Shifted Flap Design for Vertical Bone Augmentation in the Maxilla: Case Report and Technical Notes. Int J Periodontics Restorative Dent. 2021 May-Jun;41(3):367-373. doi: 10.11607/prd.4471.
- Cucchi A, Sartori M, Aldini NN, Vignudelli E, Corinaldesi G. A Proposal of Pseudo-periosteum Classification After GBR by Means of Titanium-Reinforced d-PTFE Membranes or Titanium Meshes Plus Cross-Linked Collagen Membranes. Int J Periodontics Restorative Dent. 2019 Jul/Aug;39(4):e157-e165. doi: 10.11607/prd.e3598.
Nota editoriale:
Autori
Alessandro Cucchi*, Sofia Bettini*, Lucia Tedeschi**, Serena Sorge***, Giulio Bellon°
*Libera professione, Bologna, Italia.
**Università di Milano, Milano, Italia.
***Università di Torino, Torino, Italia.
°Libera professione, Vicenza, Italia
Tag:
Lo scopo di questo articolo è quello di presentare un caso clinico di rigenerazione ossea guidata (GBR) mediante una griglia in titanio custom-made e con ...
La riabilitazione implantoprotesica in presenza di insufficiente volume osseo richiede la gestione di una condizione compromessa rispettando comunque i ...
Gli innesti ossei sono una procedura chirurgica che permette di ristabilire un volume osseo adeguato prima di una terapia implantare, utilizzando materiali ...
L’utilizzo di impianti osteointegrati per supportare protesi di tipo fisso rappresenta un trattamento ampiamente documentato ormai da decenni1-3.
In ...
Gli innesti ossei sono una procedura chirurgica che permette di ristabilire un volume osseo adeguato prima di una terapia implantare, utilizzando materiali ...
La molteplicità e la sofisticatezza nell’ambito degli elementi protesici in implantologia permettono al professionista di fare la scelta ...
La molteplicità e la sofisticatezza nell’ambito degli elementi protesici in implantologia permettono al professionista di fare la scelta ...
La molteplicità e la sofisticatezza nell’ambito degli elementi protesici in implantologia permettono al professionista di fare la scelta ...
Il presente lavoro descrive una riabilitazione implanto-protesica mediante utilizzo di short implants con tecnica minimamente invasiva, in un caso di ...
Sabato 14 dicembre si è tenuto a Genova un evento molto particolare, il primo corso “completo” che trattava l’argomento della GBR eseguita con la ...
Live webinar
mar. 17 febbraio 2026
18:00 (CET) Rome
Live webinar
mer. 18 febbraio 2026
15:00 (CET) Rome
Dr. Anna Lella, Ms. Francesca Nava
Live webinar
mer. 18 febbraio 2026
18:00 (CET) Rome
Prof. Dr. João Caramês CODE expert, Dr. Robert Gottlander DDS
Live webinar
lun. 23 febbraio 2026
9:00 (CET) Rome
Ass. Prof. Elizabeth Shick, Dr. Zehra Yonel
Live webinar
mar. 24 febbraio 2026
19:00 (CET) Rome
Prof. Dr. Markus B. Hürzeler
Live webinar
mar. 24 febbraio 2026
21:00 (CET) Rome
Prof. Dr. Marcel A. Wainwright DDS, PhD
Live webinar
mer. 25 febbraio 2026
17:00 (CET) Rome
Prof. Dr. Daniel Edelhoff
To post a reply please login or register