La riabilitazione implantoprotesica in presenza di insufficiente volume osseo richiede la gestione di una condizione compromessa rispettando comunque i principi della riabilitazione protesicamente guidata1,2.
La causa più frequente dell’atrofia del processo alveolare è il rimodellamento che segue la perdita dell’elemento dentale3, 4. La perdita ossea può derivare anche da processi patologici, quali la parodontite5 o la perimplantite6. Se la perimplantite causa la perdita degli impianti7, una nuova riabilitazione è condizionata anche dalla posizione dell’impianto perduto: i settori posteriori presentano la maggiore difficoltà, sia per la presenza del nervo mandibolare inferiore e del seno mascellare, sia per la qualità ossea ridotta, soprattutto del mascellare posteriore8, 9 . Per riabilitare quest’ultimo può essere necessario eseguire un rialzo di seno10 per via laterale11-13 o crestale14-18 eventualmente in associazione a interventi di rigenerazione ossea guidata utilizzando innesti ossei e membrane19-21 . I sostituti ossei di origine animale rivestono particolare interesse data la somiglianza di struttura e composizione del tessuto osseo tra i diversi mammiferi22 . La modalità con cui questo è reso biocompatibile può influenzare significativamente il rimodellamento dell’innesto: ad esempio, sostituti ossei equini ottenuti per via enzimatica si rimodellano più rapidamente del tessuto bovino deproteinizzato per via termica23-25 . Tra le membrane, quelle derivanti da pericardio o peritoneo, ove la struttura del tessuto di origine sia parzialmente conservata, possono rappresentare un compromesso ottimale tra riassorbibilità, resistenza meccanica e durata della protezione fornita26, 27 . Questo articolo presenta un caso clinico in cui un sostituto osseo equino, reso biocompatibile per via enzimatica e alcune membrane di pericardio equino sono stati impiegati per riabilitare una paziente che presentava una significativa atrofia dovuta ad una grave perimplantite.
Paziente e metodi
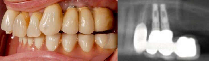
La paziente, di 64 anni, sana e non fumatrice, veniva riferita per un ascesso in corrispondenza di un ponte cementato su pilastro naturale e su impianti, da 2.3 a 2.5 con un elemento in estensione (Fig. 1). L’esame clinico e radiografico mostrava una perimplantite non trattabile a carico di entrambi gli impianti, una grave atrofia ossea e un mucocele asintomatico nel seno omolaterale. Rimossi gli impianti (Fig. 2), la paziente acconsentiva all’esecuzione di un rialzo di seno e una concomitante rigenerazione ossea verticale, e l’inserimento differito di quattro impianti da caricare possibilmente per via immediata. Non si è prevista l’asportazione del mucocele, essendo questo di modeste dimensioni e asintomatico. In posizione 2.4 lo spessore crestale era di 8,5 mm e la distanza cresta ossea/pavimento cavità nasale di 4,4 mm. In posizione 2.6 l’altezza della cresta ossea residua era inferiore ad 1 mm (Fig. 3).
Quattro giorni prima della chirurgia la paziente è stata sottoposta a igiene orale. Si è iniziata la profilassi antibiotica (amoxicillina/ acido clavulanico, Augmentin, Glaxo- SmithKline, Verona; 2 g 1 ora prima della chirurgia e poi ogni 12 ore per i successivi 8-10 giorni) e la paziente ha eseguito alcuni sciacqui con clorexidina allo 0,2% (Corsodyl, Glaxo- SmithKline, Verona) da continuarsi per due settimane dopo l’intervento. L’anestesia è stata eseguita utilizzando articaina cloridrato 40 mg/ml ed epinefrina 1:100.000. Eseguita un’incisione paracrestale e due incisioni di scarico, la più mesiale in posizione distale all’elemento 2.3 preservandone la papilla, è stato sollevato un lembo a tutto spessore e l’osteotomia eseguita utilizzando una fresa diamantata. Scollata e sollevata la membrana sinusale (Fig. 4), si è inserito il sostituto osseo in granuli (Osteoxenon, Bioteck, Arcugnano, Vicenza). Lo stesso materiale è stato utilizzato per aumentare verticalmente la cresta ossea, preparata utilizzando una fresa a palla. L’antrostomia e la rigenerazione verticale sono state protette con due membrane in pericardio equino (Heart, Bioteck, Arcugnano, Vicenza).
La CBCT post-chirurgica evidenziava in posizione 2.4 un aumento dello spessore osseo da 8,5 a 9,2 mm e della distanza cresta/pavimento naso da 4,4 a 15,2 mm (+8,8 mm). In posizione 2.6 lo spessore osseo era aumentato da meno di 1 mm a 12,6 mm, con 16 mm di profondità intra-sinus (+15 mm) (Fig. 5). La rimozione delle suture è avvenuta dopo 10 giorni. A sei mesi, l’esame CBCT evidenziava in posizione 2.4 una contrazione fisiologica da 9,2 a 7,2 mm in spessore e da 15,2 a 14,2 mm in altezza, mentre il volume rigenerato nel seno appariva invariato (14,4 e 15,9 mm). Dopo profilassi antibiotica e anestesia con le modalità già descritte, si è sollevato un lembo a tutto spessore e sono stati posizionati quattro impianti (OXY K1, Biomec S.r.l, Colico, Lecco) nelle posizioni da 2.4 a 2.7 (2.4, 3,5 x 15 mm; 2.5, 3,5 x 13 mm; 2.6 e 2.7, 4,5 x 11,5 mm).
Tutti gli impianti sono stati inseriti con torque ≥ 30 Ncm. Gli impianti utilizzati presentano un filetto esterno a doppio principio con passo della spira di 1,8 mm e distanza tra le spire di 0,9 mm; la superficie è sottoposta a doppio attacco chimico, decontaminata e trattata con plasma Argon a freddo. Durante l’inserimento dell’impianto in posizione 2.7 è stato prelevato un campione bioptico per l’analisi istologica e istomorfometrica (Fig. 6). A tre ore dall’intervento sono stati posizionati 4 provvisori avvitati, immediatamente caricati, con pilastri a connessione conica interna. La paziente è stata riabilitata definitivamente sei mesi dopo il posizionamento implantare.
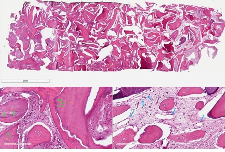
Analisi istologica
Il campione bioptico è stato decalcificato, incluso in paraffina e ne sono state ricavate delle sezioni sottili (3 μm), montate su vetrino e colorate con ematossilina/eosina. Dopo digitalizzazione del vetrino mediante uno scanner dedicato (Aperio Scanscope, Leica, Milano), le immagini sono state analizzate per fornire una valutazione istologica generale (strutture tessutali e cellulari visibili) e una misura istomorfometrica della quantità di osso vitale, di biomateriale residuo e di altro tessuto presenti nella sezione considerata. La biopsia è stata processata ed analizzata dal Laboratorio di Sezioni Sottili, Dipartimento DISBIOC, Università degli Studi di Milano, Italia.
Risultati
Non si sono osservate complicanze intra- o post-operatorie. A distanza di 6 mesi dall’inserimento implantare la protesi è funzionante (Fig. 7) e non si osserva riassorbimento osseo perimplantare (Fig. 8). Il quadro istologico (Fig. 9) mostra granuli di biomateriale che appaiono inglobati da tessuto osseo neoformato e ben osteointegrati nella matrice calcificata. Le aree di interfaccia tra osso ed innesto appaiono ben in contatto senza evidenza di gap. La matrice calcificata mostra diversi gradi di mineralizzazione. Gli spazi midollari sono caratterizzati dalla presenza di numerosi vasi sanguigni. Nella porzione più coronale del campione si evidenzia la presenza di un infiltrato infiammatorio. Nel complesso, il tessuto appare vitale, ben vascolarizzato e in una fase del rimodellamento osseo fortemente spostato verso la fase anabolica caratterizzata dalla deposizione di nuova matrice rispetto al riassorbimento delle particelle innestate. La quantità di osso di nuova formazione raggiungeva in alcune sezioni del campione il 43.8% (Tabella 1).
| Sezione |
Osso |
Osteoide |
Biomateriale |
Spazi
midollari |
| A |
33,53% |
10,27% |
30,82% |
25,38% |
| B |
30,28% |
13,88% |
32,81% |
23,03% |
| C |
23,86% |
2,27% |
23,86% |
50,00% |
Tabella 1 - Risultati dell’analisi istomorfometrica. A, B, C: sezioni del campione bioptico prelevato a 6 mesi dall’intervento rigenerativo. Il tessuto osseo di nuova formazione si suddivide in osso e tessuto osteoide.
Fig. 1 - Aspetto clinico e radiografico della paziente alla presentazione. Gli impianti in posizione 2.4 e 2.5 presentano un sondaggio > 5 mm; si noti come in corrispondenza dei due impianti ci fosse gemizio purulento peri-implantare spontaneo.
Fig. 2 - Aspetto dei due impianti alla chirurgia di rimozione implantare; si noti come il riassorbimento osseo giunge al livello apicale degli impianti.
Fig. 3 - Sezioni CBCT pre-operatorie. La cresta ossea in corrispondenza della posizione 2.4 presentava uno spessore trasversale del mascellare di 8,5 mm e una distanza cresta ossea/pavimento cavità nasale di 4,4 mm mentre lo spessore della cresta in corrispondenza del pavimento del seno mascellare sinistro era inferiore ad 1 mm. Si noti la presenza nel seno mascellare di un mucocele (asintomatico).
Fig. 4 - Chirurgia rigenerativa. Dopo avere aperto un lembo a tutto spessore, si procede all’antrostomia, allo scollamento della membrana sinusale e all’innesto del sostituto osseo, che è utilizzato anche per eseguire la rigenerazione verticale adiacente. I siti innestati sono protetti con due membrane in pericardio.
Fig. 5 - Sezioni CBCT post-operatorie (sinistra) e al controllo a 6 mesi (destra). Dopo l’intervento (sinistra) lo spessore osseo in corrispondenza alla posizione 2,4 era passato da 8,5 a 9,2 mm e la distanza cresta/pavimento naso da 4,4 a 15,2 mm, mentre in posizione 2.6 lo spessore osseo era passato da meno di 1 mm a 12,6 mm, con 16 mm di profondità intra-sinus. Dopo sei mesi, si osservava in posizione 2.4 una riduzione dello spessore trasversale da 9,2 a 7,2 mm e da 15,2 a 14,2 in altezza, mentre i volumi ossei rigenerati nel seno mascellare erano invariati.
Fig. 6 - Fase di inserimento implantare. Al sollevamento del lembo si osserva la rigenerazione avvenuta in posizione 2.4 e 2.5 e si procede all’inserimento di quattro impianti osteoingrati; il prelievo del campione bioptico avviene in corrispondenza all’elemento 2.7. A destra, radiografia endorale degli impianti appena inseriti.
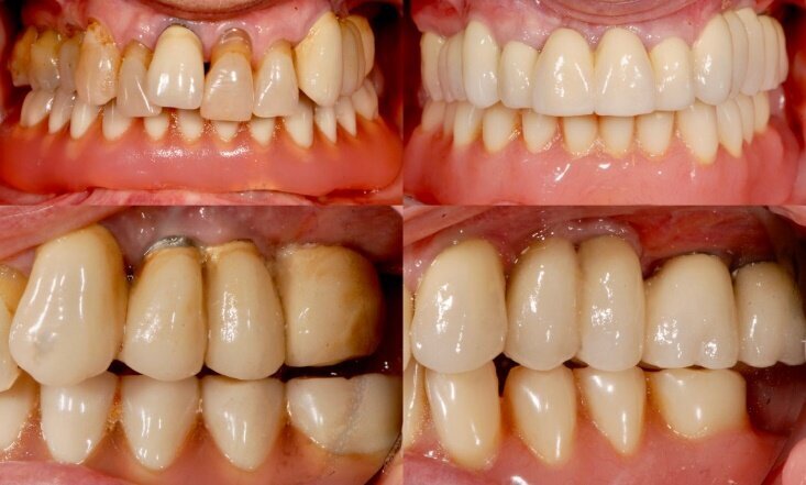
Fig. 7 - Confronto tra la condizione prima (sinistra) e dopo la riabilitazione (destra).
Fig. 8 - Radiografie endorali di controllo a 6 mesi dal posizionamento implantare. Si osserva un eccellente mantenimento dei livelli dei tessuti ossei peri-implantari.
Fig. 9 - Analisi istologica. Le sezioni ossee complete (in alto) appaiono composte di tessuto osseo di nuova formazione, compreso tessuto di tipo osteoide, nonché di particelle biomateriale residuo. L’analisi a maggiore ingrandimento mostra (sinistra) granuli di biomateriale (asterischi gialli) inglobati da tessuto osseo neoformato ben osteointegrati nella matrice calcificata, con cui sono in contatto senza evidenza di gap (frecce verdi). Gli spazi midollari (destra) sono caratterizzati dalla presenza di numerosi vasi sanguigni (frecce blu).
Discussione e conclusioni
I risultati ottenuti sono soddisfacenti, poiché si è potuto sia riabilitare la paziente nonostante la situazione iniziale compromessa, sia applicare un protocollo di carico immediato. Gli elementi che possono avere contribuito al successo sono molteplici. L’esperienza chirurgica pregressa ha permesso di pianificare ed eseguire correttamente l’intervento; gli impianti utilizzati hanno consentito di ottenere un’adeguata stabilità primaria anche in condizioni di scarsa qualità ossea; i sostituti ossei impiegati hanno prodotto risultati clinici ed istomorfometrici coerenti con quanto già noto in letteratura: la quantità di tessuto osseo neoformato osservata a 6 mesi, variabile tra il 25 ed il 40%, è infatti coerente con quella riportata da Di Stefano et al. in due studi, uno prospettico23 e uno retrospettivo28 sull’utilizzo dello stesso biomateriale nel rialzo di seno. La membrana utilizzata, già impiegata con successo in neurochirurgia maggiore come sostituto durale29 , è stata apprezzata dagli autori per la sua maneggevolezza, resistenza meccanica, e capacità proteggere il sito chirurgico per un tempo sufficiente a fare avvenire anche una rigenerazione ossea verticale. Gli autori ritengono il caso presentato esemplificativo del principio per cui il successo clinico negli interventi di rigenerazione ossea pre- e peri-implantare è sempre il risultato di più fattori, ognuno dei quali deve essere oggetto di attenta valutazione preliminare. Questi fattori comprendono non solo la valutazione oggettiva e realistica delle proprie capacità, ma anche la scelta oculata dei materiali adeguati, siano essi sostituti ossei, membrane o impianti dentali, che deve sempre orientarsi verso prodotti il cui uso sia consolidato e i risultati notoriamente eccellenti.
La bibliografia è disponibile presso l’editore
L'articolo è stato pubblicato su Implant Tribune n. 3 settembre 2018.
Tag:
La più importante innovazione degli ultimi anni nel campo della rigenerazione ossea guidata (GBR) è rappresentato dalle griglie in titanio CAD/CAM ...
L’utilizzo di impianti osteointegrati per supportare protesi di tipo fisso rappresenta un trattamento ampiamente documentato ormai da decenni1-3.
In ...
L’atrofia del mascellare posteriore come conseguenza della perdita degli elementi dentali è una condizione piuttosto frequente nella pratica clinica. La ...
Sabato 14 dicembre si è tenuto a Genova un evento molto particolare, il primo corso “completo” che trattava l’argomento della GBR eseguita con la ...
Nelle riabilitazioni implanto-protesiche del mascellare atrofico esistono delle alternative alla chirurgia di elevazione del seno mascellare che devono ...
Nelle riabilitazioni implanto-protesiche del mascellare atrofico esistono delle alternative alla chirurgia di elevazione del seno mascellare che devono ...
La riabilitazione di pazienti parzialmente o totalmente edentuli con protesi supportate da impianti è diventata una pratica comune negli ultimi ...
La rigenerazione ossea guidata è da sempre uno degli ambiti più complessi dell’implantologia moderna, dove biologia e tecnica devono dialogare in modo ...
NIIGATA, Giappone/PHILADELPHIA, USA: È noto che l’invecchiamento aumenta la suscettibilità delle persone ai disturbi infiammatori cronici, compresa la ...
Da oltre 170 anni Geistlich è sinonimo di innovazione tecnologica arrivando fino alla rigenerazione tissutale. Grazie all’impiego di biomateriali sicuri,...
Live webinar
gio. 30 aprile 2026
1:00 (CET) Rome
Dr. Renato Leonardo D.M.D.
Live webinar
gio. 30 aprile 2026
19:00 (CET) Rome
Live webinar
dom. 3 maggio 2026
18:00 (CET) Rome
Dr. Rickard Brånemark MSc, MD, PhD, Dr. Robert Gottlander DDS
Live webinar
lun. 4 maggio 2026
2:00 (CET) Rome
Live webinar
mar. 5 maggio 2026
16:00 (CET) Rome
Live webinar
mar. 5 maggio 2026
18:00 (CET) Rome
Live webinar
mar. 5 maggio 2026
19:00 (CET) Rome
Dr. Maximilian Dobbertin M.Sc