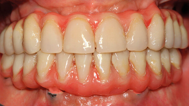
L’estetica del sorriso è diventata un punto di riferimento importante nella gestione dei nostri pazienti. La società moderna impone dei ritmi di lavoro sempre più frenetici e il tutto condiziona anche la scelta dei nostri protocolli riabilitativi.
Per questo motivo i trattamenti implantari tradizionali, che prevedevano la riabilitazione protesica con carico funzionale differito (a 3/4 mesi dal primo tempo chirurgico), quando possibile devono essere sostituiti da protocolli a carico immediato che tutt’oggi garantiscono al paziente le stesse predicibilità di risultato. Inoltre presentano un notevole vantaggio per il paziente: limitare il numero degli interventi chirurgici e il tempo trascorso con scomode protesi rimovibili provvisorie. Queste nuove metodiche sono sempre ben accettate dal paziente in quanto gli si garantisce sì una masticazione contenuta per alcuni mesi, ma un’estetica ottimale fin da subito.
Gli impianti a funzionalizzazione protesica immediata sono un’ottima soluzione non solo per il comfort, in quanto garantiscono al paziente di avere i denti subito, ma anche da un punto di vista biologico. Iniziano ad essere presenti in letteratura pubblicazioni che associano alle sollecitazioni meccaniche profonde che arrivano all’osso attraverso gli impianti un beneficio nella guarigione di tessuti perimplantari.
Infatti le sollecitazioni controllate del tessuto osseo stimolano tutta una serie di risposte riparative che si riflettono sul paziente con una riduzione degli effetti collaterali negativi chirurgici quali il gonfiore, il dolore e l’edema post-chirurgico. Anche le guarigioni dei tessuti molli appaiono clinicamente più rapide. Questo lo si evince controllando il paziente a pochi giorni dall’intervento ed evidenziando in tutti i casi una riduzione delle complicanze soprattutto se rapportati a interventi implantari similari senza funzionalizzazione immediata.
Il caso clinico che vi presentiamo è significativo non solo per validare la procedura implanto-protesica a carico immediato, ma soprattutto per dimostrare come questo protocollo possa avere enormi benefici anche sulla componente psicologica dei nostri pazienti, a cui si riesce a trasferire una ritrovata fiducia in se stessi modificando in meglio e in brevissimo tempo la morfologia dentale e il relativo sorriso.
Leggi l'articolo completo nella sezione CLINICAL > IMPLANTOLOGY
L’estetica del sorriso è diventata un punto di riferimento importante nella gestione dei nostri pazienti. La società moderna impone dei ...
I piani di trattamenti clinici che prevedono il carico immediato o il posizionamento post-estrattivo immediato dell’impianto, rappresentano una procedura ...
Case report di un paziente diabetico.
Implantologia protesicamente guidata e provvisorio immediato
Nei casi di carico immediato è richiesta una pianificazione accurata sia della fase ...
Scarsa igiene orale, carie destruenti, malattia parodontale rendono spesso gli elementi dentari non congrui ad alcuna riabilitazione protesica efficace1.
...
L’osteointegrazione è un fenomeno biologico che si basa sui processi di rigenerazione e rimodellamento osseo. Il tessuto osseo risponde ai ...
L’osteointegrazione è un fenomeno biologico che si basa sui processi di rigenerazione e rimodellamento osseo. Il tessuto osseo risponde ai ...
La tecnica dell’air polishing (AP) è sempre più utilizzata in odontoiatria e nell’ambito dei trattamenti igienici orali. Nata per ...
La tecnica dell’air polishing (AP) è sempre più utilizzata in odontoiatria e nell’ambito dei trattamenti igienici orali. Nata per ...
Come da tradizione, dal 4 al 6 ottobre, a Verona nel prestigioso Palazzo della Gran Guardia, si è svolto il 21° Congresso Internazionale di Terapia ...
Live webinar
gio. 23 aprile 2026
17:00 (CET) Rome
Live webinar
gio. 23 aprile 2026
18:30 (CET) Rome
Live webinar
gio. 23 aprile 2026
19:00 (CET) Rome
Live webinar
gio. 30 aprile 2026
1:00 (CET) Rome
Dr. Renato Leonardo D.M.D.
Live webinar
gio. 30 aprile 2026
19:00 (CET) Rome
Live webinar
dom. 3 maggio 2026
18:00 (CET) Rome
Dr. Rickard Brånemark MSc, MD, PhD, Dr. Robert Gottlander DDS
Live webinar
lun. 4 maggio 2026
2:00 (CET) Rome
To post a reply please login or register