Case report di un paziente diabetico.
La riabilitazione protesica di un paziente parzialmente o completamente edentulo ha come obiettivo fondamentale il miglioramento della qualità di vita dell’individuo. Per ristabilire la forma e la funzione fisiologica della dentatura, la protesi dovrebbe essere quanto più semplice e conservativa possibile, in grado di soddisfare specifici requisiti fisici, meccanici e funzionali.
Gli obiettivi primari sono la reintegrazione della dentatura mancante e la preservazione della dentatura residua.
Il management terapeutico prevede:
- Ristabilire un’occlusione fisiologica;
- Controllare le abitudini viziate;
- Ottenere e mantenere la salute delle strutture parodontali;
- Sostituire gli elementi dentari mancanti;
- Ristabilire un’adeguata dimensione verticale;
- Ottenere le condizioni ottimali di estetica e fonetica.
Un paziente affetto da diabete che si sottopone a un intervento implanto-protesico deve avere un management terapeutico particolarmente attento poiché incorre nel rischio di avere un decorso operatorio aumentato nei tempi, con problemi di coagulazione ed eventuali emorragie. Il professionista deve controllare che il livello di glicemia nel sangue venga tenuto costantemente sotto controllo attraverso un’adeguata terapia farmaceutica e uno stile di vita sano ed equilibrato, condizione essenziale che viene definita diabete compensato.
La ricerca ha ampiamente dimostrato che la riabilitazione tramite protesi rimovibile stabilizzata da impianti assicura un’opportuna stabilità e ritenzione del manufatto protesico, assicurando ai pazienti un miglioramento delle funzioni della masticazione e del linguaggio. La connessione diretta, strutturale e funzionale, tra l’osso vivente e organizzato e la superficie di un impianto sottoposto a carico è stata definita “osteointegrazione” (Branemark e coll. 1969). Diversi gli studi scientifici che hanno evidenziato la bassa percentuale di insuccesso degli impianti osteointegrati, rendendo questa metodica estremamente affidabile. I livelli di attenzione cambiano se il paziente è affetto da diabete poiché sarà necessario concordare l’adherence ai protocolli operativi personalizzati dello stesso e fare attenzione che il diabete sia quindi compensato.
L’approccio di “concordance” con il paziente sul controllo efficace del biofilm batterico domiciliare è una fase clinica del trattamento implantare molto importante, poiché un management domiciliare poco attento ha un alto rischio di provocare reazioni infiammatorie della mucosa perimplantare, creando lesione reversibile denominata mucosite, che possono evolvere in alcuni casi in perimplantite, con la conseguente distruzione del tessuto osseo attorno all’impianto. Il biofilm batterico che si forma sul titanio non differisce da quella che si crea sui denti naturali (Pontoriero e coll. 1994) mentre l’infiltrato infiammatorio risulta essere particolarmente aggressivo rispetto alla parodontite (Lindhe e coll. 1992).
Per prevenire la perimplantite, è necessario un efficace mantenimento di igiene orale domiciliare e professionale prevedendo follow-up con un timing valutato in base alla presenza di altri fattori di rischio presenti, clinici e sistemici come nel caso di diabete.
L’igiene orale attorno ad un impianto deve essere accurata, e per favorire ciò, il posizionamento delle viti, la scelta dei pilastri e la riabilitazione protesica devono seguire alcuni principi che agevolino il controllo del biofilm batterico domiciliare. È opportuna una terapia antibiotica per prevenire le infezioni e la pianificazioni di visite di controllo costanti nel post-intervento con verifica costante del livello di glicemia prima e dopo l’intervento. Il professionista deve argomentare le scelte terapeutiche e “condividere” con il paziente in trattamento implantare la responsabilità per il successo stesso, specificando in maniera efficace gli opportuni protocolli operativi professionali e domiciliari, per ottenere la firma del consenso informato “consapevole”.
Il management di un paziente riabilitato tramite overdenture a supporto implantare, in cui sono stati impiegati attacchi a basso profilo per ancorare la barra e il dispositivo protesico, richiede, oltre un piano di trattamento efficace e personalizzato in base alla situazione clinica ed extra clinica del paziente, un follow-up costante, per permettere un mantenimento di igiene orale ideale.
Case report
Materiali e metodi
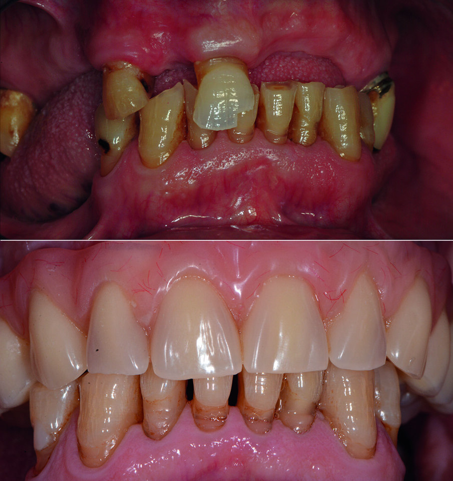
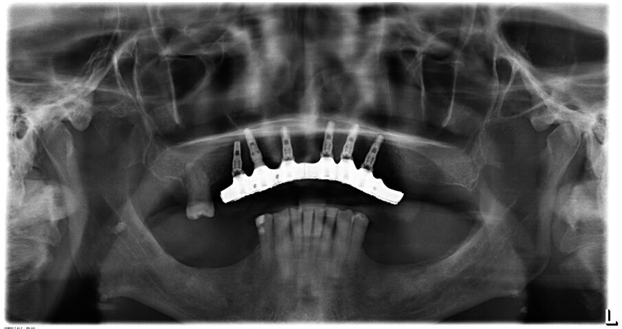
Si presenta alla nostra osservazione un paziente di anni 75, pensionato, con una richiesta di riabilitazione orale. Il paziente presenta edentulia parziale con distruzione dei tavolati occlusali e diminuzione della dimensione verticale (Fig. 1). In sede mandibolare sono conservati gli elementi dentali dal 35 al 45, mentre a livello mascellare residuano 4 elementi dentali con gravi problemi endodontici, di carie e parodontali. All’anamnesi si evidenzia la presenza di un diabete di tipo 2. Nessun problema è stato rilevato a livello ematico e pressorio.
Condividiamo con il paziente la scelta terapeutica di riabilitazione implantoprotesica che nella 1 fase consisterà in riabilitazione occlusale mediante l’applicazione di protesi provvisoria, e successivamente inserimento di 6 impianti nel mascellare a carico ritardato e seguente applicazione di barra per una overdenture. Il paziente necessita di una riabilitazione oro-implantare protesica, in quanto sia all’esame obiettivo che all’esame radiografico presenta una ridotta dimensione verticale che negli anni ha portato alla distruzione degli elementi inferiori dal 34 al 44, e persistenza di 11, 13, 17, 25 che presentano abrasioni e abfrazioni sulla superficie coronale (Fig. 2). Dopo aver condiviso con il paziente le problematiche terapeutiche dovute anche alla sua condizione di patologia sistemica, si decise, di procedere con avulsione dei denti dell’arcata superiore e contestuale inserzione di 6 impianti, per un una riabilitazione implantoprotesica overdenture su barra, a carico ritardato a 6 mesi.
Dopo la precisa spiegazione della terapia, il controllo del bilancio biologico, e degli esami pre operatori consueti, l’intervento viene fissato in prima mattinata, con indicazione al paziente di fare colazione normalmente e di sottoporsi a trattamento antibiotico al fine di avere una copertura pre operatoria che proseguirà per 5 giorni. Un momento importante è la successiva firma del consenso informato: si condivide con il paziente la scelta del timing e delle opportune sedute di igiene professionale e lo si motiva ai corretti stili di vita di igiene domiciliare, per passare all’appuntamento dell’intervento chirurgico.
Debridment parodontale
Prima dell’intervento chirurgico si sottopone il paziente alla terapia parodontale non chirurgica degli elementi residui mandibolari. La scelta della tecnologia idonea per ogni quadro clinico è il primo obiettivo dell’approccio tailor-made anche in terapia parodontale non chirurgica (Nardi et al. 2014) che porta il professionista all’attenta osservazione delle caratteristiche anatomiche e tissutali, della presenza di eventuali patologie e delle caratteristiche delle superfici da trattare, permettendo delle operatività efficaci e minimamente invasive.
Terapia chirurgica
La tecnica chirurgica scelta permetterà di ridurre la durata dell’intervento e il rischio operatorio: sanguinamento, calo di glicemia, rischio di infezioni. È stato utilizzato un anestetico con una bassa concentrazione di adrenalina al fine di evitare un effetto iperglicemizzante ed è stata eseguita una terapia preventiva della sepsi per evitare qualsiasi rischio al paziente diabetico (Figg. 3a, 3b).
Fototerapia Bioptron
La terapia chirurgica è stata implementata con sedute di foto-terapia Bioptron (Zepter) una apparecchiatura che emana una luce simile a una parte dello spettro elettromagnetico prodotto naturalmente dal sole, ma senza radiazioni UV. La luce Bioptron è:
- Policromatica: con una lunghezza d’onda compresa tra 480 e 3.400 nm;
- Polarizzata: fino al 95%. Le onde luminose di Bioptron si muovono su piani paralleli, ciò facilita la penetrazione della luce permettendo di raggiungere efficacemente i tessuti infiammati o lesi;
- Incoerente: luce delicata e a bassa intensità a penetrazione dinamica;
- A Bassa energia: il dosaggio è continuo e costante (2,4 J/cm2 al minuto).
La fototerapia Bioptron consente una penetrazione ottimale della luce nei diversi strati cutanei, assicurando la massima biostimolazione cellulare e accelerando i processi di guarigione tissutale (Aragona S.E., Grassi F.R., Nardi G., Lotti J., Mereghetti G., Canavesi E., Equizi E., Puccio A.M., Lotti T.. Photobiomodulation with polarized light in the treatment of cutaneous and mucosal ulcerative lesions. J. Biol Regular Agents, 2017 Apr-Ju;31(2 Suppl. 2):213-218). Il paziente è stato sottoposto a 3 sedute di 15 minuti con il raggio a 10 cm di distanza dal cavo orale (Fig. 4a), con un divaricatore Directa.
Protesizzazione
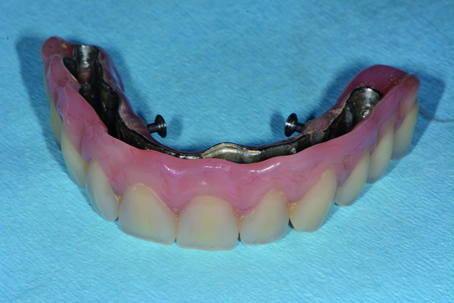
Dopo la terapia chirurgica, si inserisce una protesi totale provvisoria, che il paziente porterà per 6 mesi (Fig. 4b). Dopo i 6 mesi si monta la barra e la protesi totale superiore (Figg. 5, 6), che oltre a migliorare la masticazione e la fonetica del paziente, supporterà anche i tessuti molli, labbro, guancia, ridando al paziente un aspetto del sorriso giovanile e un supporto dei tessuti molli orali delle labbra, delle guance e delle rughe geniene (Figg. 7, 8). Il paziente viene inserito in un piano di mantenimento con un follow-up ogni 3 mesi (Fig. 9).
Per il trattamento di igiene orale domiciliare e professionale è importante prevenire mucosite e perimplantite, Si è rimotivato il paziente a corretti stili di vita di igiene orale secondo l’approccio tailor-made, personalizzato e condiviso con il paziente, sia per l’igiene domiciliare che per la terapia parodontale non chirurgica, implementandola con sedute di fototerapia Bioptron (Zepter).
Follow-up e igiene domiciliare
Documentiamo fotograficamente il cavo orale. Abbiamo mostrato al paziente, in real time, al fine di motivarlo a un più efficace controllo di placca domiciliare, i siti maggiormente interessati dall’accumulo di placca nel cavo orale, compresi, il dorso della lingua e gli spazi interprossimali e la barra implantare con l’aiuto del rilevatore di placca alla fluorescina Plac-o-Tect (Directa) (Fig. 10). Scegliamo per il paziente l’utilizzo corretto degli strumenti di igiene orale domiciliare – spazzolino e scovolino – più idonei alle sue esigenze strutturali, tissutali e anatomiche, alla manualità e alla predisposizione caratteriale alle differenti tecnologie manuali o meccaniche, come da tailored brushing method (Nardi et al., J Biomed, 2016).
Abbiamo condiviso con il paziente la scelta dell’utilizzo dello spazzolino manuale GUM® Technique®PRO Medium per il manico ergonomico e setole multilivello inclinate che garantiscono l’efficacia disorganizzazione del biofilm delle superfici interdentali. Abbiamo indicato di controllare chimicamente il biofilm batterico con l’aiuto di un dentifricio contenente ossigeno attivo a uso specifico per l’igiene domiciliare, non invasivo per i materiali implantari con azione di disinfezione (12 ore attiva) e simultanea azione di guarigione delle ferite (Implaclean®, Dyna Dental Engineering BV, Halsteren, NL).
Per implementare l’igiene nelle zone interdentali abbiamo indicato l’uso scovolino in gomma GUM® Soft-Picks® Advanced (Fig.11a), imbibito di dentifricio Implaclean (Fig. 11b). Il paziente riferisce di avere difficoltà con l’igiene della lingua, e quindi condividiamo la necessità di implementare l’igiene domiciliare con l’uso di un nettalingua (Fig. 12a) e 5 ml per qualche minuto 2-3 volte die di Riocol collutorio a base di soli estratti naturali (Fig. 12b), per le diverse azioni benefiche a vantaggio della mucosa orale. Abbiamo riferito al paziente che non pigmenta le superfici dentali grazie alla metodica di pura estrazione naturale dei componenti (lapacho, malva, piantaggine, camomilla) e acido ialuronico, efficace per le infiammazioni.
Igiene professionale
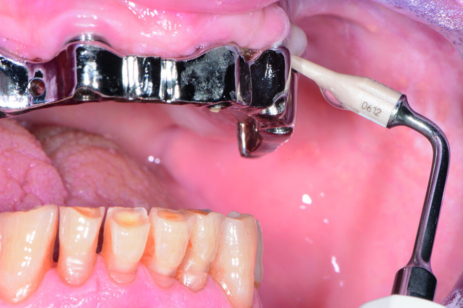
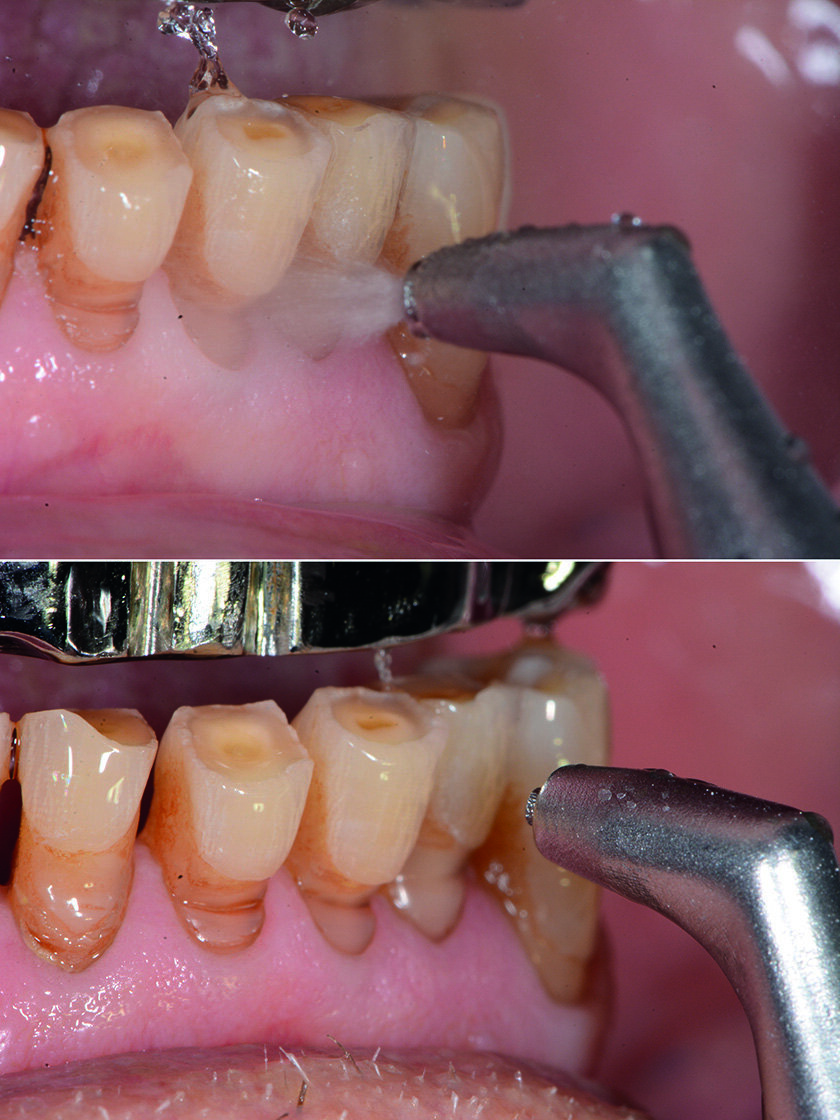
Viene eseguito il deplaquing con approccio clinico D-Biotech (Dental Biofilm Detection Topographic Technique). L’operatore, dopo aver passato sulle superfici del cavo orale la spugnetta già intrisa di rivelatore di placca alla fluorescina Plac-o-Tect (Directa) osserva la topografia del biofilm batterico presente condividendola visivamente con il paziente in modo da avere un rinforzo motivazionale anche durante la seduta di igiene orale professionale. Questo approccio clinico permette di eseguire un lavoro efficace e minimamente invasivo, poiché consente all’operatore di strumentare con polishing selettivo, airpolishing o debridment con gli ablatori, esclusivamente seguendo la topografia del biofilm batterico con meno dispersione di glicina ed un timing ridotto dell’operatività (Fig. 13).
Usiamo airpolishing e polvere di glicina con il sistema di air-polishing Combi-touch (Mectron) in prossimità dei tessuti molli, mentre utilizziamo la polvere di carbonato di calcio Smooth (Mectron) a granulometria tra 45/75 µm a forma sferica con il vantaggio di arrivare nei siti ritentivi di biofilm batterico più adeso come a esempio per le zone interprossimali e per i margini gengivali (Fig. 14). Questa nuova tecnologia di polvere dà l’opportunità di lasciare le superfici trattate con un effetto brillante e non richiede il polishing successivo. Eseguiamo il debridement con il Combi-touch e la punta S1S e la punta in Peek (Fig. 15) ideale per i manufatti implantari. Il vantaggio ergonomico di eseguire il debridment con un ablatore multifunzionale piezoelettrico e un air-polisher con l’uso di polveri di carbonato di calcio e glicina sopra e sottogengivale permette una operatività clinica più agevole e meno fastidiosa per il paziente. L’opportunità di poter usare i manipoli orientati a 90° o 120° permette di poter essere efficaci nel rispetto della delicatezza dei tessuti e del manufatto implantare, erogando il getto in maniera personalizzata e mirata, con un’operatività clinica minimamente invasiva.
Usando la polvere “perio” non si corrono rischi di danneggiare né il manufatto protesico né il collo dell’impianto, unendo a queste caratteristiche anche la praticità d’uso e la velocità di esecuzione, potendo tranquillamente dirigere il getto sia sulla protesi sia sull’impianto, senza limitazione di inclinazione del fascio erogato e senza rischio alcuno per entrambe le strutture. Solo successivamente al deplaquing, si procede con il sondaggio, evitando così la trasmigrazione batterica, con una sonda implantare in materiale plastico Wingrove™ (PDT). La polvere di glicina si è dimostrata una vera e propria rivelazione nel trattamento delle mucositi e perimplantiti. Dopo la detartrasi dalla superficie esposta degli impianti, effettuabile con i metodi classici (curettes in teflon o titanio) o utilizzando punte a ultrasuoni specifiche, un’ulteriore detossificazione della superficie degli impianti con il perio-polishing garantisce – in 8 casi su 10 – la completa guarigione della patologia (Sarri et al., 2006) per tasche non superiori a 5 mm. Nel caso non ci fosse tartaro sul titanio del collo implantare, ma l’infiammazione fosse indotta da placca batterica, l’utilizzo del perio-polishing è efficace per migliorare la guarigione del sito attivo.
Nei casi clinici di gengivite intorno ai tessuti implantari, causata da scorretta igiene orale domiciliare, l’uso della glicina per la rimozione del biofilm batterico e la detossificazione dei tessuti ipertrofici si rivela eccellente per rapidità e profondità di azione.
Igienizzazione del manufatto protesico
Dopo aver condiviso con il paziente la presenza del biofilm batterico sul manufatto protesico, immergiamo la protesi nel pulitore ad aghi Sympro, dopo aver riempito l’apparecchio con 200 ml di Fluid Sympro Universal, chiudiamo e scegliamo la modalità di 2000 giri/minuti per 15 minuti. Un campo magnetico rotante mette in movimento gli aghi di pulizia che asportano i depositi dalla superficie con una delicata azione meccanica. Al termine con la pinzetta preleviamo il manufatto protesico e sciacquiamo ripetutamente. L’azione sinergica del fluido detergente e dell’apparecchio ad aghi ha rimosso in modo rapido ed efficace il biofilm batterico e i depositi di tartaro. Sui siti con una ritenzione di biofilm batterico maggiore viene eseguita la remineralizzazione dei tessuti a rischio (Figg. 16a-16c).
Conclusioni
Le evidenze scientifiche hanno dimostrato che l’igiene orale è essenziale per il successo e la durata della terapia implantare. Il paziente deve essere consapevole che la sua collaborazione nell’eseguire le procedure di igiene con gli strumenti appropriati è fondamentale per il buon esito del trattamento. Il paziente diabetico presenta una minore capacità di resistere alle infezioni, associata ad una maggiore disponibilità di zuccheri nelle secrezioni salivari, sostenendo un ambiente che favorisce la proliferazione dei microrganismi. È importante intervenire con protocolli operativi attenti, usando tecnologie d’elezione considerate mini-invasive ed efficaci, condividendo i percorsi terapeutici chirurgici con il medico di base e il diabetologo onde evitare le possibilità di complicazioni ed eseguire le terapie in condizioni di sicurezza. La fototerapia Bioptron si è rilevata efficace poiché ha accelerato i tempi di guarigione delle ferite e ha favorito il processo di osteointegrazione dell’impianto. È da considerare necessario un team-work preparato che possa seguire questo paziente con special-needs, poiché nelle forme più gravi di diabete i problemi di coagulazione possono favorire emorragie e/o shock iperglicemico, procurato in alcuni casi dal banale stress emotivo pre intervento chirurgico.
Tag:
L’edentulia totale è una patologia ancora molto diffusa nel mondo. Nonostante i progressi nella prevenzione delle patologie cariose e parodontali, ...
Dental Tribune intervista il dott. Gian Battista Greco e il prof. Danilo Alessio Di Stefano, su un caso clinico complesso, risolto con una soluzione di ...
Dental Tribune Italia raccoglie l’opinione del presidente dell’AIOP, Fabio Carboncini, sull’argomento.
L’estetica del sorriso è diventata un punto di riferimento importante nella gestione dei nostri pazienti. La società moderna impone dei ...
L’estetica del sorriso è diventata un punto di riferimento importante nella gestione dei nostri pazienti. La società moderna impone dei ...
Negli ultimi anni si è assistito a una continua evoluzione delle tecnologie digitali in ambito implanto-protesico. In particolare allo sviluppo della...
Cos’è il Risk Management? Si può definire come il sistema fondato su una metodologia logico-sistematica che attraverso step successivi ...
La paziente è giunta alla mia osservazione per insoddisfazione funzionale della riabilitazione protesica esistente. Nell’anamnesi patologica ...
La paziente è giunta alla mia osservazione per insoddisfazione funzionale della riabilitazione protesica esistente. Nell’anamnesi patologica ...
Negli ultimi anni è notevolmente aumentata la complessità del processo diagnostico e terapeutico in campo odontoiatrico. Di volta in volta, ...
Live webinar
gio. 30 aprile 2026
1:00 (CET) Rome
Dr. Renato Leonardo D.M.D.
Live webinar
gio. 30 aprile 2026
19:00 (CET) Rome
Live webinar
dom. 3 maggio 2026
18:00 (CET) Rome
Dr. Rickard Brånemark MSc, MD, PhD, Dr. Robert Gottlander DDS
Live webinar
lun. 4 maggio 2026
2:00 (CET) Rome
Live webinar
mar. 5 maggio 2026
16:00 (CET) Rome
Live webinar
mar. 5 maggio 2026
18:00 (CET) Rome
Live webinar
mar. 5 maggio 2026
19:00 (CET) Rome
Dr. Maximilian Dobbertin M.Sc