L’armonia nel sorriso per proporzioni e cromatismo sono le costanti nelle richieste estetiche dei pazienti. Il clinico deve, dopo un’attenta analisi strutturale e morfologico funzionale, capire quale tipo di restauro implanto-protesico proporre per materiali e tecniche operative. Per realizzare tutto ciò può avvalersi delle tecnologie digitali che supportano il clinico nella pre-visualizzazione del risultato definitivo rendendo predicibile l’esito del trattamento.
Introduzione
Nel tempo abbiamo visto da parte delle case implantari una forte evoluzione nella ricerca della superficie e della struttura di impianti in Titanio. La tipologia implantare è in grado di impattare sulla ricostruzione protesica per componentistica e connessione. Pertanto, al clinico è richiesta una adeguata preparazione sul comportamento chirurgico verso le diverse sistematiche implantari al fine di esprime il massimo risultato. Gli impianti in titanio di grado IV° in uso medicale assumono forme diverse, e in letteratura vi è a supporto del loro utilizzo una considerevole presenza di articoli in cui si evince il successo clinico a medio e lungo termine. Possiamo descrivere due macrostrutture implantari: gli impianti sottomucosi Bone Level (BL) cioè con la chiusura marginale posta a livello osseo e i transmucosi Tissue Level (TL) in cui la chiusura avviene a livello del margine mucoso o poco al di sotto. Per entrambi la connessione interna ed esterna determinerà una variabile protesica per strutture avvitabili o cementabili. Anche la microstruttura di superficie rappresenta una determinante nella scelta, avendo un diverso grip con l’osso e modificandone la stabilità primaria nell’atto di inserimento. Ciò influisce anche nel tempo di guarigione primaria.
Tutti questi aspetti hanno certamente migliorato la predicibilità di risultato a medio e lungo termine agevolando l’inserimento dell’impianto nel piano di trattamento dei casi clinici. Purtroppo restano irrisolti alcune problematiche ancora presenti nell’estetica frontale, nelle infezioni perimplantari e nelle seppur rare intolleranze ai metalli. A tal scopo la ricerca scientifica ha proseguito in parallelo uno sviluppo con materiali diversi proponendo un’alternativa al titanio con la Zirconia stabilizzata con ittrio, in grado di affiancare l’uso del titanio di grado IV°. La Zirconia presenta una risposta biologica tale da ritenersi sovrapponibile in termini di osteointegrazione e una bioinerzia verso i tessuti molli, migliorandone la stabilizzazione per una minor aggressione batterica.
Materiali e metodi
La scelta in casi così complessi è quella di valutare la cronologia operativa relativamente al progetto riabilitativo ripartendolo nelle varie fasi che lo hanno caratterizzato sino alla finalizzazione. Nello specifico possiamo distinguere:
- Fase I - progetto clinico: con lo studio radiologico CBCT l’uso di software progettuali per una chirurgia guidata nel settore frontale con rigenerazione ossea grazie a sostituto osseo a lento riassorbimento come l’osso bovino demineralizzato con l’uso di microgranuli di 0,25-1 mm (Geistlich Bio-Oss), protetto con membrane di pericardio riassorbibili dallo spessore di 0,15 mm (Jason membrane Straumann) stabilizzate con pin da osso in titanio (Automatic Bone Tac - Pro-Fix, De Ore). In zona estetica abbiamo utilizzato degli impianti in Zirconia bifasici di tipo TL (PURE Ceramic, Staumann).
- Fase 2 - pianificazione implantare: sono stati posizionati impianti della medesima casa implantare ma con caratteristiche diverse al fine di esaltare al massimo la loro peculiarità sia in zona estetica che in zona funzionale inferiore con tipologie TL (RN 4.1 e TE 4.1 Straumann) e BL (BLT 4.1 Straumann) per una corretta protesizzazione avvitata e cementata.
- Fase 3 - chirurgia: nel sestante frontale superiore dove era richiesta una maggior attenzione sia per la quantità di osso residuo che per un posizionamento ineccepibile associato a rigenerazione ossea è stata progettata e seguita una chirurgia guidata mediante l’uso di un software (coDiagnostiX, Straumann) dedicato alla chirurgia computer assistita statica.
- Fase 4 - protesizzazione: le impronte sono state rilevate con scanner intraorale (TRIOS, 3Shape) rendendo il flusso digitale integrale. Dopo un’adeguata protesizzazione provvisoria e un’attenta valutazione gnatologica con registrazioni occlusali (Teethan) ripetute nel tempo, valutando sia la stabilità che le ripartizioni delle forze occlusali. Si è proceduto infine a una riabilitazione con elementi in Zirconia multistrato sia per gli elementi cementati che per quelli avvitati sfruttando i connettori in titanio forniti dalla casa produttrice.
Caso clinico
Il caso clinico descrive una situazione complessa di una paziente trattata con radioterapia 5 anni prima per un carcinoma della laringe, in conseguenza del quale era stato rimosso l’intero gruppo incisivo superiore sostituendolo provvisoriamente con una protesi parziale rimovibile stabilizzata con ganci a filo sui canini (Fig. 1). La paziente di 59 aa presentava inoltre delle protesizzazioni fisse nel quadrante I° e III° su elementi naturali, entrambe con vistose infiltrazioni e scheggiature che rendevano i manufatti incongrui. Lo stato parodontale iniziale presentava un sondaggio medio (Tab. 1) spesso associato a mobilità di vario grado e per taluni elementi era presente anche sanguinamento. All’esame obiettivo si evidenzia una complessa situazione clinica riportata di seguito in Tabella 2.
Fig. 1_Foto iniziale con il provvisorio rimovibile in posizione. La presenza di una flangia in resina consente un maggior supporto labiale.
Tab.1_Il casting parodontale è un esame determinante per valutare lo stato di salute di ogni singolo elemento in casi simili è necessario poterlo confrontare nel tempo per valutare i risultati ottenuti e mantenuti.
Tab. 2_Rappresentazione del quadro clinico riferito agli elementi, presenti, mancanti, salvabili e rimovibili.
È auspicabile un’approccio multidisciplinare in casi clinici così complessi, prevedendo un’attenta fase iniziale diagnostica clinico-radiologica ed estetico funzionale. Dopo un primo sondaggio degli elementi residui e una radiografia panoramica abbiamo eseguito un’impronta studio tramite uno scanner intraorale, il cui file estrapolato è stato condiviso con il laboratorio per eseguire un wax-up diagnostico successivamente condiviso con la paziente. La tipologia del restauro da eseguire ha richiesto l’intervento su entrambe le arcate dentarie, escludendo un trattamento intercettivo precluso a priori dalla paziente e lasciando inalterato lo stato del V° sestante.
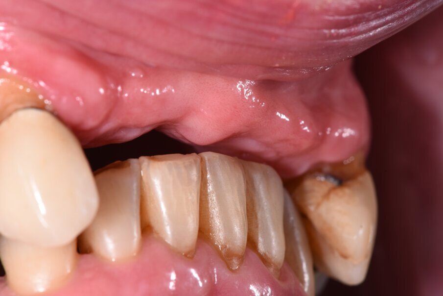
Per un’analisi completa in casi così compromessi è necessario il maggior numero di informazioni che dovranno essere raccolte partendo dal confronto con la paziente per quelle che sono le abitudini alimentari, la sua attività lavorativa, gli interessi sociali. Tutto ciò permette di capire quanto la paziente si aspetti dal nostro intervento ponendo la giusta attenzione all’estetica oltre che alla naturale funzione, è altresì importante rilevare delle immagini con e senza la protesi provvisoria in situ (Fig. 2). Nonostante si evinca la mancanza di congruità del manufatto protesico con la cresta residua la paziente ha mostrato difficoltà nel concepire una sua sostituzione per il timore di un peggioramento estetico. Il supporto di un progetto digitale ha consentito alla paziente di capire quale risultato potesse raggiungere a percorso ultimato. È evidente il collasso che il labbro superiore subisce quando viene rimossa la protesi con la rappresentazione del “codice a barra” dato dalla mancanza dei denti e della struttura ossea sottostante (Figg. 3, 4), a tal scopo è consigliabile poter fotografare la paziente nel profilo in entrambe le situazioni così da far emergere le discrepanze, anche nell’impronta digitale rilevata è importante acquisire il maggior numero di informazioni (Fig. 5). L’informazione diagnostica dettagliata è fornita dalla CBCT, pertanto abbiamo pianificato la sua esecuzione dopo la prima provvisorizzazione dell’arcata superiore evitando lo scattering da metalli presenti. Il file STL del wax-up (Fig. 6) associato al file STL dell’impronta senza provvisorio (Fig. 7) e al file DICOM radiologico (Figg. 8, 9) ha permesso una corretta progettazione chirurgico implantare (Fig. 10) nel rispetto della porzione ossea della cresta residua, ottimizzando la conseguente realizzazione della dima chirurgica (Fig. 11) per il posizionamento degli impianti in sede 1.2 e 2.2 (Figg. 12-14) anche nel rispetto della posizione degli elementi in antagonismo (Fig. 15).
Fig. 2_La mancanza del provvisorio evidenzia parte delle criticità del caso con una dimensione verticale fortemente ridotta.
Fig. 3_Profilo della paziente col provvisorio in sede.
Fig. 4_Profilo della paziente senza provvisorio, si noti il collasso del labbro con il caratteristico “codice a barra” che rende sgradevole l’impatto estetico.
Fig. 5_Impronta digitale in occlusione visione laterale.
Fig. 6_Visione interna del provvisorio eseguito dal wax-up in prematura.
Fig. 7_Visione laterale in posizione centrica dopo la prima preparazione degli elementi naturali.
Fig. 8_Impatto visivo della CBCT nella porzione vestibolare che evidenzia la marcata lacuna ossea che impatta sull’estetica del II° sestante.
Fig. 9_Nel taglio sagittale è possibile verificare la porzione ossea presente sull’intera arcata, si notano le preparazioni degli elementi naturali che faranno da link per la connessione nel progetto elaborato.
Fig. 10_La visione ingrandita del sito implantare esalta alcuni elementi che hanno contribuito nella scelta della posizione, dei materiali e della tecnica chirurgica esecutiva. Si nota Ion bianco il margine della dima chirurgica, in verde il profilo mucoso, in arancio la forma in sezione assiale della corona protesica in blu il contorno dell’impianto in Zirconia pure Ceramic e in giallo in tragitto di connessione che consentirà l’avvitamento della corona finale.
Fig. 11_Il dettaglio descritto dalla visione laterale con in bianco la forma della dima chirurgica in giallo il wax-up in rosso l’impianto in Zirconia e in verde la sleeve, cioè la cannula, che verrà posizionata nella dima per il passaggio delle frese calibrate e supportate da appositi supporti calibrati. È evidente la possibilità di far cadere nella porzione palatale il foro per l’avvitamento delle corone.
Fig. 12_Visione senza dima con l’inclinazione vestibolo-distale sul 1.2.
Fig. 13_Visione senza dima con l’inclinazione vestibolo-mediale sul 2.2.
Fig. 14_Visione palatale del wax-up completo in marrone, sovrapposto alla visione ossea in azzurro con gli elementi sottostanti in viola. L’impianto in posizione 1.5 anche se progettato non è stato inserito preferendo un progetto protesico convenzionale con il collegamento a ponte degli elementi limitrofi.
Fig. 15_Nella visione di centrica è possibile valorizzare il progetto di posizionamento che ha tenuto conto della disponibilità ossea per sfruttare al massimo l’osso nativo, la posizione degli incisivi laterali, il parallelismo implantare il foro di fissaggio all’interno del cingolo coronale per non compromettere la porzione estetica vestibolare.
Il primo provvisorio avrà diverse funzioni tra cui la valutazione dell’inclinazione coronale, l’ingombro volumetrico e il supporto labiale del gruppo frontale per la correzione dell’emergenza del labbro superiore (Fig. 16). Dopo un breve periodo di stabilizzazione funzionale di almeno due mesi, si valutano i movimenti mandibolari, masticatori, il ripristino dei tessuti parodontali e il condizionamento biologico degli elementi intermedi. Nello specifico del caso trattato abbiamo evidenziato subito un collasso della masticazione associato a un morso profondo che non avrebbe consentito alcuna protesizzazione degli elementi mancanti (Fig. 2). Pertanto abbiamo dovuto realizzare un rialzo di masticazione anche per correggere l’emergenza degli elementi sostitutivi. La preparazione degli elementi residui concepita ha eliminato tutti i materiali che avrebbero creato un disturbo nell’indagine radiologica (Fig. 17).
La CBCT ha riscontrato un deficit del volume osseo nella porzione vestibolare (Fig. 8), pur mantenendo la possibilità di alloggiare gli impianti in osso nativo e rigenerando la parte vestibolare nell’intento di dar maggior supporto al labbro, in sostituzione della flangia di resina del precedente provvisorio. La dima chirurgica progettata in previsione di un intervento a lembo aperto viene stabilizzata dai diversi monconi presenti sull’arcata preparati evitando sottosquadri e angoli vivi che renderebbero difficoltosa la stabilità della dima nell’atto chirurgico. È altresì importante che gli elementi residui non presentino mobilità al fine di limitarne la precisione (Fig. 18). Nel caso di appoggio ai denti naturali della dima chirurgica è necessario che abbia dei fori in corrispondenza degli elementi così da valutare il corretto posizionamento stessa durante l’intero intervento (Figg. 19, 20). In caso di zone estetiche siamo soliti dare prevalenza all’uso di impianti in Zirconia bifasici (Fig. 21). Gli impianti in Zirconia rappresentano un vantaggio in zone estetiche per il loro caratteristico colore oltre che per la particolare biocompatibilità, è infatti ormai noto la formazione di un creaping epiteliale che favorisce una maggior adesione emodesmosomiale con una stabilità del tessuto connettivo perimplantare migliore rispetto al titanio. L’impianto scelto è un impianto bifasico tissue level a connessione interna che presenta un trattamento di superficie tale da renderlo idrofilo, cioè aumenta la bagnabilità di superficie e conseguentemente ne aumenta la prestazione riducendo i tempi di guarigione ossea primaria (Fig. 22).
Fig. 16_Il primo provvisorio eseguito in prematura e posizionato sull’intera arcata dentaria escludendo i secondi molari.
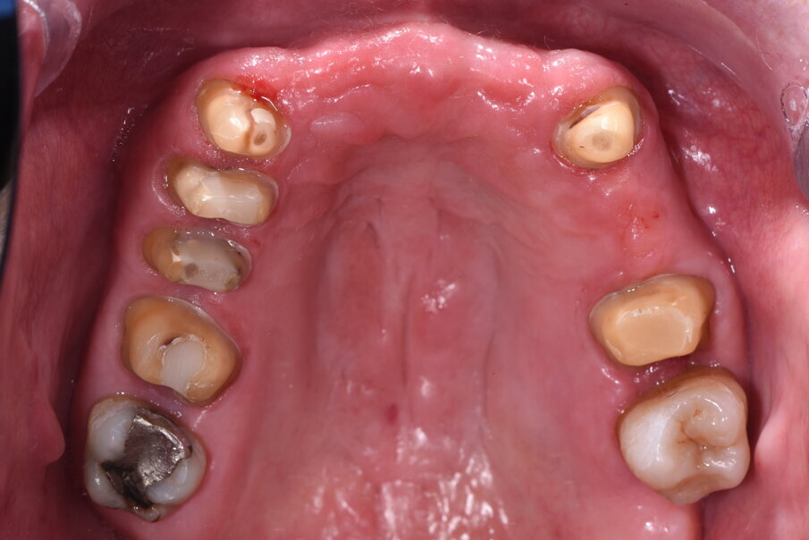
Fig. 17_Visione occlusale a preparazione degli elementi naturali ultimata in preparazione orizzontale a chamfer.
Fig. 18_Nella preparazione si devono rispettare i parametri di parallelismo, rispetto biologico del solco e arrotondamento degli spigoli per ottimizzare anche la stabilizzazione della dima chirurgica.
Fig. 19_La dima chirurgica per essere stabile deve avere il maggior appoggio disponibile evitando l’interferenza con i lembi e lasciando degli opercoli che possano consentire la visione dell’avventata calzata corretta. Visione della prima fresa pilota da 2.2 mm con il posizionatore correlato. Se non fosse raggiunto una adeguata stabilità è possibile dopo questo primo passaggio poter posizionare uno stop che si inserisce nel foro praticato nella porzione ossea.
Fig. 20_Visione del secondo elemento in posizione 2.2.
Fig. 21_Il posizionamento non prevede l’uso della dima e in quest’immagine si evidenzia il livello d’inserimento che ha tenuto presente il livello crestale palatale, i mounter evidenziano il parallelismo ottenuto grazie al meticoloso lavoro sommato alla conoscenza della tecnica chirurgica.
Fig. 22_Questo dettaglio evidenzia la caratteristica della superficie implantare che aumentando l’idrofilia aumenta la bagnabilità dell’intero impianto con una più veloce capacità osseo integrativa.
La rigenerazione ossea è stata ottenuta secondo l’impiego di biomateriale di origine bovina demineralizzato e stabilizzato con una membrana a lento riassorbimento in pericardio nativo fissata con dei chiodini in titanio (Fig. 23). Com’è noto la stabilità dell’innesto è un requisito indispensabile per ottenere una reale rigenerazione ossea stabile nel tempo. Dopo 4-6 mesi si effettua una radiografia di controllo eseguendo successivamente un opercolo perimplantare. In questo caso data la lieve deiscenza presente si è optato per l’impiego di un diatermocoagulatore per limitare il danno biologico ai tessuti limitrofi e mantenere inalterata la rivascolarizzazione della sede, inoltre non essendo un materiale metallico ma bensì ceramico, l’eventuale contatto viene disperso e non assorbito dall’impianto (Fig. 24). Data l’ottima stabilizzazione funzionale e volendo contenere i costi viene realizzata un’impronta digitale dell’arcata col primo provvisorio in situ e alla sua rimozione un’impronta dell’intera arcata con e senza gli scan body implantari (Fig. 25). Per mantenere l’opercolo ottenuto si utilizzano delle cappette di guarigione sempre in Zirconia che serviranno anche per stabilizzare i tessuti perimplantari (Fig. 26).
In laboratorio, l’odontotecnico su nostra indicazione potrà elaborare i file ricevuti, valutando la possibilità di avvitare direttamente il manufatto, solo in caso di forte disparallelismo si opterà per la cementazione. Definita la procedura, verrà realizzato solo il provvisorio su impianti modificando il primo provvisorio che sarà riposizionato dopo il sezionamento dei quadranti (Figg. 27, 28). Dopo il posizionamento del nuovo provvisorio rileviamo una nuova impronta studio (Fig. 29) che analizziamo col software dedicato dello scanner digitale utilizzato.
I dati raccolti sono molti ma la procedura digitale consente di sommarli e confrontarli senza limiti e indicando le possibili migliori e correzioni lungo il percorso. Dopo un breve periodo di condizionamento dei tessuti (Fig. 30) rileviamo l’impronta master per la finalizzazione ultima della riabilitazione protesica. L’impronta degli elementi naturali viene rilevata posizionando dei fili detrattori secondo la tecnica del doppio filo mentre per gli impianti verranno usati gli scan body dedicati (Fig. 31). Le potenzialità digitali consentiranno di avere una stabile lettura della posizione di centrica rilevandola prima della rimozione dei provvisori e sovrapponendola a provvisori rimossi (Fig. 32). In laboratorio l’odontotecnico realizza i modelli (Figg. 33, 34) sovrappone le immagini (Fig. 35) e raccoglie gli elaborati dei vari passaggi che porteranno alla finalizzazione del progetto digitale (Figg. 36, 37).
Gli impianti in Zirconia non offrono molte soluzioni protesiche, è importante che il loro posizionamento tenga conto di quest’aspetto mettendo l’odontotecnico nelle condizioni più favorevoli (Fig. 38). Questa sistematica prevede l’uso di un moncone in titanio cementato nella struttura protesica che permette l’avvitamento all’interno dell’impianto. Nella connessione implantare è presente un’intercapedine dove alloggia il collarino in titanio del T-base totalmente inglobato all’interno della zirconia, evitando comunicazioni coi tessuti adiacenti. Va comunque considerato l’aspetto tecnico importante legato allo spessore della struttura in zirconia che deve avvolgere l’intero moncone in titanio. (Fig. 39, 40).
Fig. 23_Per ottimizzare l’azione chirurgica a quella estetica abbiamo progettato una rigenerazione ossea volta ad aumentare il volume vestibolare, utilizzando un sostituto osseo a lento riassorbimento e delle membrane in periostio sottili e riassorbibili fissate con chiodini non riassorbibili.
Fig. 24_Dopo 4 mesi abbiamo rimosso il provvisorio per capire come si era conformato il tessuto gengivale al di sotto dello stesso. Dopo altri due mesi abbiamo provveduto a opercolarizzare usando un diatermocoagulatore.
Fig. 25_Dopo opercolarizzazione si provvede a rilevare l’impronta con appositi transfer che per le impronte digitali si chiamano scan body e si differenziano per il tipo di impianto e per il tipo di scanner intraorale utilizzato.
Fig. 26_Al termine dell’impronta si posizionano delle cappette di guarigione in zirconia in grado di stabilizzare il tessuto gengivale.
Fig. 27_Visione vestibolare del provvisorio sugli impianti con rispetto vestibolare dell’emergenza coronale nel riguardo del tunnel mucoso.
Fig. 28_Visione palatale con l’emergenza dei fori per l’avvitamento delle corone.
Fig. 29_A provvisorio posizionato abbiamo rilevato le impronte per definire la corretta posizione coronale e l’emergenza estetica.
Fig. 30_Dopo un breve periodo di condizionamento è possibile valutare le fovee mucose ovattate e il supporto pericoronale.
Fig. 31_L’impronta definitiva consente di rilevare in una sola seduta gli entrambe le arcate, gli elementi naturali, la posizione degli impianti, i provvisori in posizione centrica.
Fig. 32_Posizione centrica delle arcate senza provvisori.
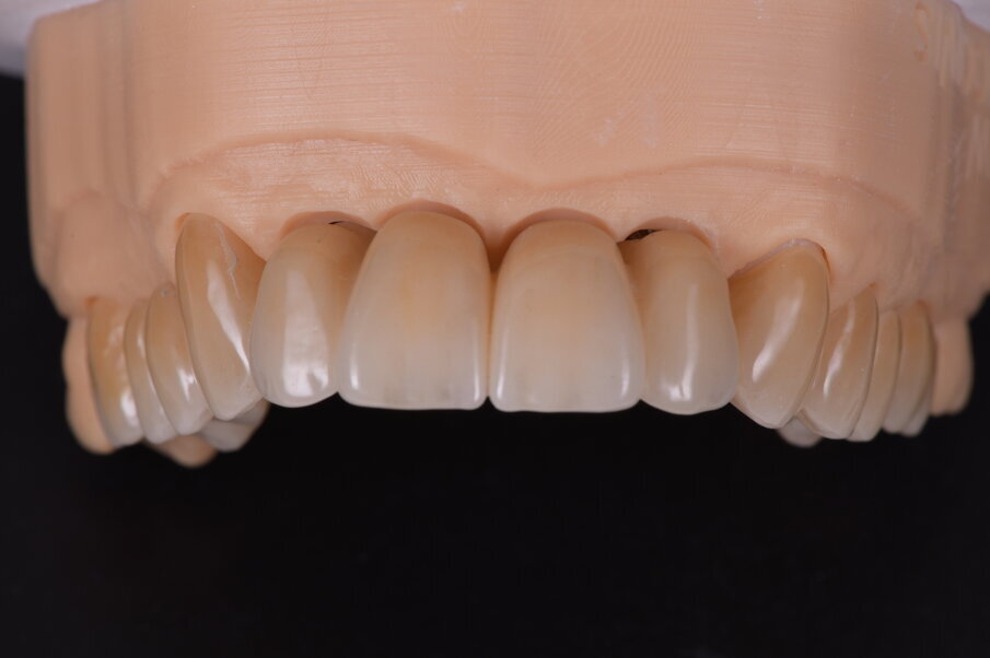
Fig. 33_Modelli realizzati in resina e montati in articolatole a valori medi.
Fig. 34_Dettaglio del modello superiore con la visione palatale, con i monconi t-base da ancoraggio per elementi CAD/CAM.
Fig. 35_Sovrapposizione di un’immagine stilizzata degli elementi realizzabili con un margine muso ricreato.
Fig. 36_Wax-up digitale funzionalizzato per entrambe le arcate in visione frontale.
Fig. 37_La medesima immagine viene sottratta dagli elementi di supporto. Tale visione consente di evidenziare i margini coronali, di valutare i movimenti masticatori, gli svincoli coronali le conformazioni anatomiche ottimizzando le singole funzioni.
Fig. 38_Il ponte tra gli impianti in Zirconia rappresenta un progetto complesso tra il rispetto del tunnel mucoso, l’anatomia vestibolare, gli spazi circolari e il foro per l’avvitamento coronale.
Fig. 39_Il progetto digitale consente all’odontotecnico di definire a livello circolare i limiti e gli spessori di rispetto della Zirconia.
Fig. 40_Anche la scelta dell’altezza del t-base è un’altra determinate al manufatto finale.
Nell’arcata inferiore dopo il trattamento parodontale abbiamo mantenuto inalterato il V° sestante provvedendo alla rimozione del 3.7 mesio-inclinato con sondaggio e mobilità difficilmente recuperabili e sostituendolo con un impianto. La scelta implantare poco convenzionale ha previsto per la sostituzione bilaterale dei diatorici con impianti in titanio di differente forma e connessione, inserendo bone level (BL) sui premolari e tissue level (TL) sui molari con una protesizzazione mista. La scelta del BL o del TL era rivolta a un aspetto estetico sui premolari e di maggior rispetto tessutale sui molari. Durante le fasi di prova (Fig. 41) si valutano le compressioni dei tragitti transmucosi (Fig. 42), gli eventuali precontatti, si finalizzano le forme e si rileva nuovamente il colore secondo la tecnica di depolarizzazione (Fig. 43).
L’appuntamento successivo sancisce l’ottimizzazione dei restauri (Figg. 44, 45). Dopo il posizionamento definitivo dei restauri protesici e l’ottimizzazione dei contatti (Fig. 46) viene nuovamente registrato l’equilibrio di masticazione tramite l’uso del sincronogiografo che registra le forze muscolari confrontando i valori registrati dal momento iniziale pre-trattamento a quello con i provvisori e infine alla stabilizzazione finale, così che nel tempo si possa aver traccia dell’adattamento realizzato (Fig. 47).
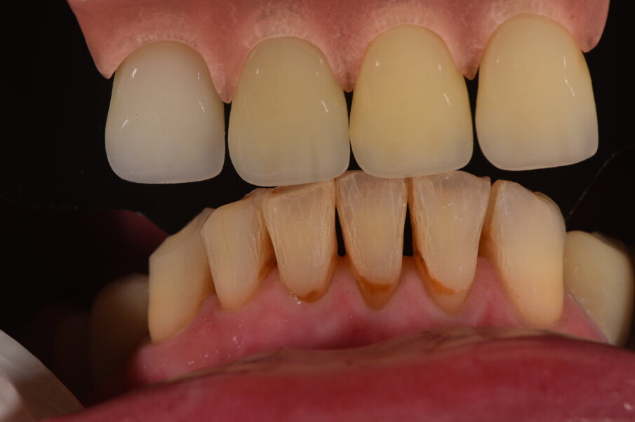
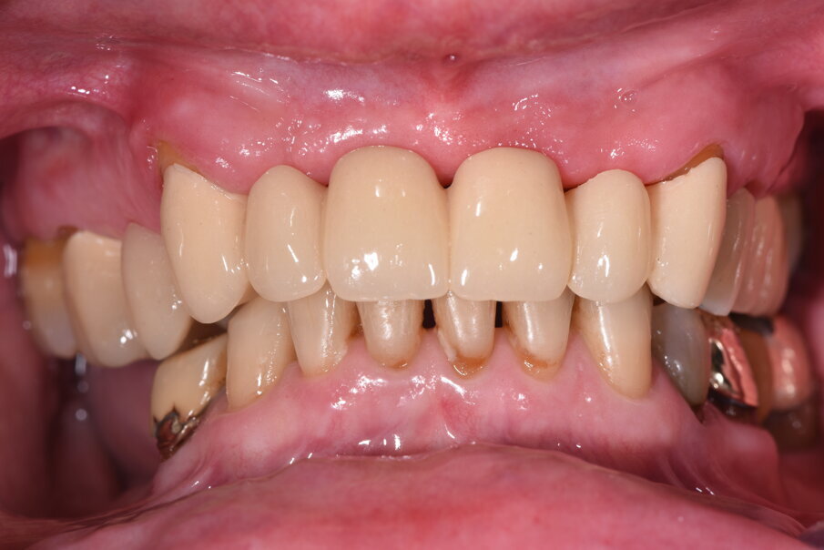
Il recupero funzionale ed estetico (Figg. 48, 49) rappresentano il traguardo dopo un lungo percorso. Il condizionamento della paziente ha rappresentato un ostacolo nelle libere scelte cliniche segnando di conseguenza l’intero percorso. L’aspetto psicologico ha giocato un ruolo importante nella realizzazione del piano di trattamento, la malattia precedente e il lungo periodo di provvisorizzazione ha arrecato nella paziente un forte disagio. Talvolta quest’aspetto induce il clinico a fare dei compromessi procedurali e anche noi abbiamo cercato di ottimizzare una riabilitazione estetico funzionale correndo dei rischi procedurali a fronte di una richiesta conservativa e talvolta riduttiva nelle procedure chirurgiche. A oggi il follow-up e i controlli di igiene e di verifica della funzione è cadenzato e rigorosamente rispettato dalla paziente. A 5 anni non sono stati evidenziati problemi dei materiali impiegati né tantomeno funzionali (Figg. 50, 51).
Fig. 41_Al momento della prova ci sono aspetti tecnici e biologici da valutare, infatti è importante capire se il tessuto si ischemizza, segno di una sofferenza. Data dalla compressione che è da evitare inoltre se sono state create ovettature gengivali capire se sono rispettati gli spazi per il passaggio di scovolini e ausili per il mantenimento e la detersione.
Fig. 42_La passivazione dei monconi è determinante al fine del buon mantenimento strutturale e dell’integrazione osseo-implantare a lungo termine. A tal scopo è richiesta una particolare attenzione tecnica nel confezionamento protesico per tutte le procedure sino al confezionamento ultimo del manufatto protesico. La prova di Sheffield e il controllo radiografico con il centratore consentono di valutare imprecisioni strutturali e di connessione.
Fig. 43_La presa del colore è sempre un aspetto delicato e talvolta impreciso nella comunicazione con l’odontotecnico, siamo soliti fornire fotografie con scale cromatiche con filtri depolarizzanti associati anche all’uso di uno spettrofotometro per correlare i dati avvicinandosi alla mappatura del colore dei denti residui.
Fig. 44_Il momento della consegna rappresenta anche un controllo che deve valutare la cementazione dei monconi l’eventuale presenza di eccessi di cemento, la lucidatura dei punti di contatto e degli spazi interpapillari.
Fig. 45_Il modello digitale rappresenta un mezzo per presentare il restauro nel progetto. È eseguito a computer e solo alcune modifiche vengono fatte, come l’aggiunta di ceramica per enfatizzare l’aspetto estetico. Altro significato è deputato alla precisa posizione degli analoghi implantari.
Fig. 46_Anche la cementazione rappresenta un passaggio importante per l’ancoraggio implantare, il controllo di fissazione dei monconi e la corretta rimozione del cemento.
Fig. 47_Dopo un primo periodo di assestamento si procede al riscontro eseguito con un sincronogiografo per valutare la stabilità e l’equilibrio ricreato nella forza masticatoria. Solitamente eseguiamo tre valutazioni, la prima iniziale, la seconda a provvisorio posizionato e se tutto va bene a fine restauro e a seguire negli anni successivi per stabilire il mantenimento del risultato.
Fig. 48_Eseguendo fotografie laterali dx e sx riusciamo a vedere la naturale posizione del labbro superiore a riposo e nel sorriso, confrontandole (Fig. 3) riscontriamo il successo nella rimozione della flangia in resina con una rigenerazione ossea e con la forma coronale, rimuovendo il codice a barra presente in Figura 4.
Fig. 49_A maggior ingrandimento notiamo la naturalezza delle labbra giustamente umettate segno di una fisiologia ritrovata.
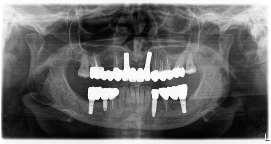
Fig. 50_Radiografia iniziale
Fig. 51_Radiografia a 5 anni dalla consegna del lavoro. Ai follow-up vengono eseguite annualmente delle rx endorali centrate, e alla necessita viene ripetuta un’opt.
Discussione
La complessità dei casi clinici è spesso associata alla complessità della tecnologia applicata per la risoluzione, pur avendone notevoli vantaggi dal loro impiego. Altro dato complesso è quello di avere un paziente accondiscendente al fine di poter affrontare tutte le fasi della complessa realizzazione nella massima serenità. La conoscenza approfondita nell’uso delle diverse sistematiche implantari sfruttandone appieno le caratteristiche e riducendone i limiti ha permesso di mettere l’odontotecnico nelle condizioni favorevoli per la miglior resa in termini di manufatto seppur nei limiti merceologici che gli impianti in Zirconi ancora oggi presentano.
Conclusione
Il trattamento è durato 12 mesi. Non è stata anticipata alcuna procedura e abbiamo atteso i giusti tempi nella guarigione dei tessuti molli e duri attendendo sei mesi dall’inserimento dei due impianti in regione incisiva e dopo debito controllo radiografico. La giusta maturazione delle procedure attuate ha consentito una stabilità che ancora oggi a distanza di 5 anni rimane inalterata con piena soddisfazione personale. Inoltre la scolarizzazione della paziente nel mantenimento domiciliare ha creato un rapporto di benessere e di fiducia che reputiamo indispensabili nel follow-up a lungo termine. Non abbiamo riscontrato alcuna differenza significativa tra gli impianti in Zirconia e quelli in titanio dal punto di vista dei controlli radiografici e della qualità dei tessuti. In regione frontale l’estetica rosa è esaltata dalla trasparenza favorevole di collarini bianchi che non opacizzano la visione in trasparenza. Reputiamo l’approccio digitale come un forte ausilio tecnologico nelle scelte delle procedure e dei materiali oltre che un’eccellente strumento di comunicazione col paziente che contrariamente a noi è spesso disorientato verso le nostre procedure per il dubbio del risultato.
Ringraziamenti
Si ringrazia il Sig.re Dario Viera Odt. Milano per il supporto odontotecnico e la realizzazione protesica.
Bibliografia
- Reveron H., Fornabaio M., Palmero P., Fürderer T., Adolfsson E., Lughi V. et al.Towards long lasting Zirconia based composites for dental implants: transformation induced plasticity and its consequence on ceramic reliability. Acta Biomater 2017:48:423-32.
- Denkena B., Wippermann A., Busemann S., Kuntz M., Gottwik L.. Comparison of residual strength behavior after indentation, scratching and grinding of Zirconia-based ceramics for medical-technical applications. J Eur Ceram Soc 2018;38:1760-8.
- Röhling S., Astasov-Frauenhoffer M., Hauser-Gerspach I., Braissant O., Woelfler H., Waltimo T., Kniha H., Gahlert M.. In Vitro Biofilm Formation on Titanium and Zirconia Implant Surfaces. J Periodontol 2017;88(3):298-307.
- Scaringi R., Nannelli M.,Franchina A., Lizio G.,Stefanelli L.V., Pagliarulo M., DeAngelis F., Pellegrino G. Full Zirconia Implant-Born Prosthetic Rehabilitation with CAD/CAM Technology after Accurate Digital Planning. A Case Report. Int. J. Environ. Res. Public Health 2021.
- Fretwurst T., Müller J., Larsson L., Bronsert P., Hazard D., Castilho RM., Kohal R., Nelson K., Iglhaut G. Immunohistological composition of peri-implantitis affected tissue around ceramic implants-A pilot study. J Periodontol. 2021 Apr;92(4):571-579
- Pettersson M., Pettersson J., Johansson A., Molin Thorén M.Titanium release in peri-implantitis. J Oral Rehabil. 2019 Feb;46(2):179-188. doi: 10.1111/joor.12735. Epub 2018 Nov 16.
- Spies BC., Fross A., Adolfosson E., Begegni A., Doerken S., Kohal RJ. Stability and aging resistance of a zirconia oral implant using a carbon fiber-reinforced screw for implant-abutment connection. Dent.Mater.2018 Oct;34 (10):1585-1595.
- Cionca N., Hashim D., Cancela J., Giannopoulou C., Mombelli A. Pro- inflammatory cytokines at zirconia implants and teeth: a cross-sectional assessment. Clin Oral Investig 2016;20:2285–91.
- Scarano A., Piattelli M., Caputi S., Favero GA., Piattelli A. Bacterial adhesion on commercially pure titanium and zirconium oxide disks: an in vivo human study. J Periodontol 2004;75(2):292–6.
- Spies BC., Maass ME., Adolfsson E., Sergo V., Kiemle T., Berthold C., et al. Long-term stability of an injection-molded zirconia bone-level implant: A testing protocol considering aging kinetics and dynamic fatigue. Dent Mater 2017;33:954-965.
- Stefano Tetê, MD, Filiberto Mastrangelo, Andrea Bianchi, Vincenzo Zizzari, Antonio Scarano. Collagen Fiber Orientation Around Machined Titanium and Zirconia Dental Implant Necks: An Animal Study. JOMI 2009;24-1:52-57.
- Fenner N., Hammerle C.H., Sailer I., et al.. Long-term clinical, technical, and esthetic outcomes of all-ceramic vs. titanium abutments on implant supporting single-tooth reconstructions after at least 5 years. COIR 2016;27: 716–723.
- Nedelcua R., Olssonb P., Nyströmb I., Rydénc J., Thora A.. Accuracy and precision of 3 intraoral scanners and accuracy of conventional T impressions: A novel in vivo analysis method. Journal of Dentistry 69 (2018) 110–118.
- Arisan V., Karabuda ZC., Ozdemir T. Accuracy of two stereolithographic guide systems for computer-aided implant placement: a computed tomography-based clinical comparative study, J Periodontol 2010;81:43-51.
- Renne W., Ludlow M., Fryml J., Schurch Z., Mennito A., Kessler R., Lauer A. Evaluation of the accuracy of 7 digital scanners: an in vitro analysis based on 3-dimensional comparisons. J Prosthet Dent. 2017;118(1):36–42.
- Romeo E, Scaringi R, Lops D, Palazzolo A. Single Crown Restorations Supported by One-Piece Zirconia Dental Implants: Case Series with a Mean Follow-Up of 58 Months. Prosthesis 2023, 5, 1060–1074.
L'articolo è stato pubblicato su CAD/CAM international magazine of digital dentistry italian edition, n. 3/23.
Tag:
L’armonia nel sorriso per proporzioni e cromatismo sono le costanti nelle richieste estetiche dei pazienti. Il clinico deve, dopo un’attenta analisi ...
I mini impianti sono una valida alternativa agli impianti tradizionali per stabilizzare le riabilitazioni di arcate edentule.
Riportiamo alcune considerazioni su un case report descritto da un odontologo forense con oltre trent’anni di esperienza, tacendo, per ovvi motivi di ...
Riportiamo alcune considerazioni su un case report descritto da un odontologo forense con oltre trent’anni di esperienza, tacendo, per ovvi motivi di ...
Le tecniche di Odontoiatria e laboratorio Odontotecnico si sono evolute rapidamente negli ultimi anni, tuttavia è ancora difficile stabilire protocolli ...
La parodontite aggressiva è stata definita come un tipo specifico di parodontite nel 1999, durante l’International Workshop, ed è stata ...
Il presente lavoro descrive la procedura con laser neodimio Nd:YAG 1064 nm per intervento di perimplantite.
Dental Tribune intervista il dott. Mauro Fradeani, sul presente e il futuro del protesista, alla vigilia della presentazione, che avverrà il 16 ...
Lo scopo di questo lavoro è presentare un caso clinico realizzato su 4 impianti con stabilizzazione tramite barra fresata e passivata ...
Lo scopo di questo lavoro è presentare un caso clinico realizzato su 4 impianti con stabilizzazione tramite barra fresata e passivata ...
Live webinar
gio. 30 aprile 2026
1:00 (CET) Rome
Dr. Renato Leonardo D.M.D.
Live webinar
gio. 30 aprile 2026
19:00 (CET) Rome
Live webinar
dom. 3 maggio 2026
18:00 (CET) Rome
Dr. Rickard Brånemark MSc, MD, PhD, Dr. Robert Gottlander DDS
Live webinar
lun. 4 maggio 2026
2:00 (CET) Rome
Live webinar
mar. 5 maggio 2026
16:00 (CET) Rome
Live webinar
mar. 5 maggio 2026
18:00 (CET) Rome
Live webinar
mar. 5 maggio 2026
19:00 (CET) Rome
Dr. Maximilian Dobbertin M.Sc
To post a reply please login or register