Search Dental Tribune

Articoli

Filtro

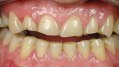
Rigenerazione parodontale in zona estetica

La rigenerazione parodontale (RP) costituisce per il professionista una strategia terapeutica più conservativa per il trattamento di difetti ...

salvare

Sirona inaugura la filiale di Milano: cosa faremo insieme a voi

Con l’apertura della filiale di Milano, Sirona rinnova il suo impegno ad affiancare sul territorio il professionista, supportandolo in quelle che sono...

salvare

Congresso Aidi: al “question time” confronto acceso tra igienisti e odontoiatri

Il titolo del Congresso Aidi, 23a edizione, in programma il 27 e 28 settembre all’Hotel Melià di Milano, suonava “Oltre l’igiene ...

salvare

La Cooperazione Odontoiatrica Internazionale festeggia 20 anni di attività con un convegno dedicato

Domani, venerdì 4 ottobre, si terrà un convegno presso l’aula magna del Lingotto celebrati i 20 anni della Cooperazione Odontoiatrica ...

salvare

Diabete, salute orale e nutrizione: interrelazioni, innovazioni e interazioni

Lo scorso 20 settembre, per il secondo anno consecutivo, un simposio internazionale, nell’ambito della Joslin Sunstar Diabetes Education Intiative ...

salvare

Tornando da Montesilvano...

Sabato 28 settembre si è concluso a Montesilvano la trentesima edizione del congresso dell'Antlo. Di seguito riportiamo un commento dell'azienda...

salvare
advertisement

Impianti post-estrattivi immediati

L’inserimento di impianti postestrattivi immediati comporta vantaggi e svantaggi, ma in generale è considerata una terapia chirurgica ...

salvare

Primo congresso della Fondazione “Istituto Stomatologico Toscano” a Viareggio

Cari Amici, lasciate che vi racconti come è nato questo Convegno, quali sono i suoi obiettivi e quale la sua struttura. La giornata del ...

salvare

Spazio ai giovani studenti di odontotecnica al 1st International Meeting di Viareggio

Venerdì 13 dicembre, presso il Centro Congressi Principi di Piemonte, gli studenti potranno seguire gli interventi di due relatori di fama ...

salvare

Contributo culturale di Amici di Brugg all'International Expodental 2013

Amici di Brugg, come da tradizione, darà il suo significativo contributo culturale ad Expodental Forum nella giornata di venerdì 18 ottobre ...

salvare

Antlo chiama e centinaia di odontotecnici rispondono

Oggi 27 settembre è stato inaugurato a Montesilvano il 30° Congresso Nazionale Antlo, associazione nazionale titolari laboratorio odontotecnico.

salvare

Dall’osteointegrazione alle perimplantiti: quale scenario per il futuro?

Professor Simion, con la stessa forza con cui si è diffusa la moderna implantologia osteointegrata, adesso si parla di diffusione della ...

salvare
advertisement

A Roma il XII Congresso Nazionale Sipmo

La Società italiana di Patologia e Medicina orale (Sipmo), presieduta per il biennio 2011/2013 dalla prof.ssa Giuseppina Campisi (Palermo) ha ...

salvare

Delegazione ANTLO incontra il Ministro Lorenzin

Il Ministro della salute, on.le Beatrice Lorenzin, ha incontrato presso il Ministero martedì 24 settembre u.s. una delegazione ANTLO composta dal ...

salvare

30 anni di futuro, così si riparte tra pochi giorni a Montesilvano

L’Associazione nazionale titolari di laboratorio odontontotecnico (Antlo) il 27 e 28 settembre riprenderà la sua attività culturale dopo...

salvare

Antonella Polimeni, neo consigliera nel CdA della Sapienza di Roma

Antonella Polimeni è stata nominata per il triennio accademico 2013-2016 membro del Consiglio d’Amministrazione dell’Università ...

salvare
advertisement

A ottobre il dentale si incontra a Milano

International Expodental riapre i battenti giovedì 17 ottobre, nel grande ed unico padiglione 3a FieraMilanoCity.

salvare

La validazione clinica dei prototipi in protesi fissa in ambiente digitale CAD/CAM

L’avvento nel panorama odontotecnico e clinico di nuovi materiali e nuove tecnologie ha prodotto e indotto cambiamenti assolutamente innovativi nelle ...

salvare

Il discorso tenuto dal Re d'Olanda Willem-Alexander sul fallimento dello Stato Sociale

“Il classico welfare-state del ventesimo secolo ha portato ad accordi che sono insostenibili nella loro forma attuale. Inoltre le persone al giorno ...

salvare

Il 23° Congresso Aidi riafferma a Milano il protagonismo dell’igienista

In prima battuta sembra una questione semplicemente terminologica. Il 23° congresso Aidi che si svolge il 27/28 settembre a Milano sostituisce alla ...

salvare
advertisement

Uno studente riceve il premio per la ricerca grazie a un colluttorio eco-friendly

Bangkok, Thailandia / Yangon, Myanmar – L’Associazione Internazionale per la Ricerca Dentale (IADR) ha premiato uno studente di odontoiatria per...

salvare

I dentisti stranieri dovranno affrontare test di lingua nel Regno Unito

Londra, UK - La scorsa settimana, il Ministero della Sanità britannico ha annunciato i propri programmi per introdurre test linguistici per i medici...

salvare
advertisement

Riabilitazioni full arch con preparazioni microinvasive

Il paziente si rivolge presso lo studio con una situazione gravemente compromessa dall’usura di tutti gli elementi dentari (Fig. 1). La richiesta ...

salvare

II° Simposio di implantologia osteointegrata, dove la scienza incontra la formazione

Mancano ormai pochi giorni all'apertura del congresso di Milano e il Coordinatore scientifico, Carlo Maiorana, invita gli specialisti a partecipare a questo...

salvare

Preparazione di incisivo centrale con Laser Erbium Litetouch (Syneron)

Il laser Erbium:YAG (o Er:YAG) ha un mezzo attivo di granato-ittrioalluminio drogato con ioni erbio ed emette un raggio laser di lunghezza d’onda di ...

salvare

Le riflessioni di un odontotecnico alla soglia della 41° International Expodental

Alla richiesta fatta a più voci dai dirigenti Unidi di entrare direttamente nell’organizzazione dell’Expodental Forum io e la mia ...

salvare
advertisement

Mission of Mercy e le Keystone Industries contribuiscono a ritrovare il sorriso nel Michigan

CHERRY HILL, N.J., USA: Nei primi giorni di giugno, più di 1000 pazienti hanno colmato il Ryder Center dell’Università del Saginaw ...

salvare

Il Ministro della Salute incontra l’Andi

La Delegazione Andi (Gianfranco Prada, Massimo Gaggero e Aldemiro Andreoni), ha incontrato il Ministro della Salute, Beatrice Lorenzin, al quale il ...

salvare

Ipersensibilità dentinale, salute orale e qualità di vita, quale relazione?

In occasione del 46° meeting del Continental European Division of the International Association for Dental Research (CED-IADR), che ha avuto luogo a ...

salvare

Il laser nella pratica quotidiana: intervista a Gilles Chaumanet

Gilles Chaumanet – presidente per la Francia della Società per l’applicazione del laser orale (SOLAFr) e dell’Accademia di Laser ...

salvare
advertisement
advertisement