Search Dental Tribune

Articoli

Filtro

Roma, successo scientifico e di pubblico all’VIII congresso nazionale SILO

A Roma al Dipartimento di Scienze Odontostomatologiche e Maxillo-Facciali della Sapienza si è tenuto Il 12 e 13 giugno, l’VIII Congresso della ...

salvare

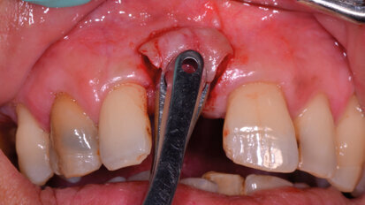
L’adherence al trattamento chirurgico, dopo l’igiene orale professionale. Case report

Nella pratica clinica l’esigenza estetica del paziente è comunque il primum movens dei trattamenti odontoiatrici. Il ruolo ...

salvare

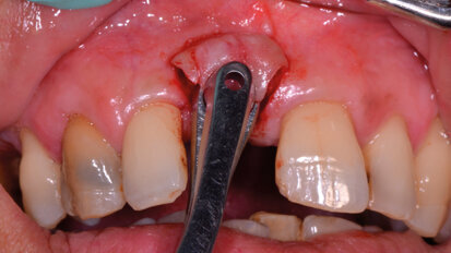
L’adherence al trattamento chirurgico, dopo l’igiene orale professionale. Case report

Nella pratica clinica l’esigenza estetica del paziente è comunque il primum movens dei trattamenti odontoiatrici. Il ruolo ...

salvare

In Israele sulle ali del tempo

“Alpha-Bio Tec, a world to discover”: 4a edizione del viaggio incentive tra origini e futuro dell’implantologia.

salvare

In Israele sulle ali del tempo

“Alpha-Bio Tec, a world to discover”: 4a edizione del viaggio incentive tra origini e futuro dell’implantologia.

salvare

Rhein83 Days, un congresso che porta l’Italia nel mondo

Si fa presto a scrivere su una locandina “congresso internazionale”, ma Rhein83, azienda bolognese del settore dentale da 32 anni sul mercato, ...

salvare
advertisement

Roma: specialisti “di confine” nelle due giornate Camlog al top della scienza e della clinica

A Roma si è tenuto il 19 e 20 giugno il III convegno della Accademia Italiana Camlog, costola nazionale della International Camlog Foundation per lo ...

salvare

Materiali antibatterici

Spesso in commercio si sente parlare di materiali con proprietà antibatteriche, ma che cosa significa realmente? Non ci si riferisce tanto al senso ...

salvare

Passaggio generazionale: necessità e opportunità

Secondo le statistiche, da anni la professione medica soffre di un progressivo invecchiamento. Questa situazione è una sfida per il sistema ...

salvare

“Parte” bene a Roma il 1st Middle East Mediterranean Dental Congress

Un momento di condivisione scientifica tra Paesi mediterranei e medio orientali è coinciso a Roma dal 18 al 20 giugno col 1st Middle East ...

salvare

Una ricerca USA ha messo a fuoco il ruolo cruciale degli igienisti dentali nello screening del diabete

POCATELLO, Idaho USA – Alcune ricerche dimostrano un collegamento tra la malattia parodontale e il diabete. Una ricerca pilota valuta ora ...

salvare

Dal Congresso AIO di Chia (Cagliari) medicina estetica e prevenzione le nuove frontiere dell'Odontoiatra

«Di recente una nota del Ministero della Salute ha messo in dubbio la possibilità per i laureati in odontoiatria di praticare la medicina ...

salvare
advertisement

Meno paura dal dentista con le giuste luci, una musica soft e una morbida poltrona?

Da una notizia diffusa dall’Ansa, sembra che ci voglia poco per rendere meno traumatiche le visite dei bambini dal dentista. Basta «spegnere le ...

salvare

Tessera professionale europea dal 18 gennaio 2016 per muoversi liberamente nel mercato europeo

«Dal 18 gennaio 2016 i liberi professionisti europei potranno utilizzare la tessera professionale europea per muoversi liberamente all'interno del ...

salvare

EXEA presenta Genotechnology 1: la medicina estetica del futuro è personalizzata e passa attraverso l’analisi del DNA

EXEA, brand italiano di riferimento nella produzione e commercializzazione di dispositivi elettro-medicali all’avanguardia per trattamenti di medicina...

salvare

EXEA presenta Genotechnology 1: la medicina estetica del futuro è personalizzata e passa attraverso l’analisi del DNA

EXEA, brand italiano di riferimento nella produzione e commercializzazione di dispositivi elettro-medicali all’avanguardia per trattamenti di medicina...

salvare
advertisement

Per un’Odontoiatria dall’alto, le iniziative FDI commentate dallo “Speaker” (Presidente) dell’Assemblea, Gerhard Seeberger

Abbiamo approfittato del Congresso AIO 27 edizione per porre alcune domande di “ispirazione internazionale” al portavoce più prestigioso ...

salvare

La “giungla” delle società medico scientifiche in Italia, nessun registro le certifica

Promuovono la ricerca e la divulgazione della medicina, organizzano congressi ed eventi e possono esprimere pareri o emanare linee guida nel proprio ambito ...

salvare

Con il 13th Premium Day Sweden & Martina ha superato sé stessa!

C’erano aspettative molto elevate per il 13th Premium Day della Sweden & Martina: con un parterre di relatori invidiabile, una location unica al ...

salvare

Con il 13th Premium Day Sweden & Martina ha superato sé stessa!

C’erano aspettative molto elevate per il 13th Premium Day della Sweden & Martina: con un parterre di relatori invidiabile, una location unica al ...

salvare
advertisement

Le infezioni post-operatorie nella chirurgia odontoiatrica

Il rischio di infezioni post-operatorie dopo procedure di chirurgia orale e la loro gestione è stato ampiamente considerato e discusso in ...

salvare

Le infezioni post-operatorie nella chirurgia odontoiatrica

Il rischio di infezioni post-operatorie dopo procedure di chirurgia orale e la loro gestione è stato ampiamente considerato e discusso in ...

salvare
advertisement

Accresciuta in Europa tra i giovani la sana abitudine di lavarsi i denti almeno due volte al giorno

GAND (Belgio), JYVÄSKYLÄ (Finlandia), COPENHAGEN (Danimarca): Un team internazionale di ricercatori ha studiato la frequenza giornaliera del ...

salvare

Dall’Enpam cento milioni per mutui casa per medici e odontoiatri

ROMA ‒ L’Enpam ha pubblicato un bando per concedere 100 milioni di euro in mutui agevolati ai medici e ai dentisti. Era dagli anni '70 che ...

salvare

Il cordoglio della Cao (Giuseppe Renzo) per la scomparsa del gen. Cosimo Piccinno «sempre in prima linea per la tutela della salute dei cittadini e nella repressione dell’abusivismo»

Quale Presidente della Commissione Nazionale per gli Iscritti all’Albo degli Odontoiatri della FNOMCeO, il presidente della Cao esprimo il ...

salvare

Elezioni Enpam 2015: i rappresentanti dei dentisti per l'Assemblea Nazionale

ROMA ‒ Sono stati eletti gli 11 membri in rappresentanza della componente odontoiatrica che siederanno nella Assemblea Nazionale dell’Enpam, ...

salvare
advertisement

È ufficiale: la laserevolution è cominciata!

Dopo il successo della presentazione internazionale dei nuovi laser Doctor Smile a IDS 2015, ora il nuovo laser a diodo Wiser è finalmente ...

salvare

È ufficiale: la laserevolution è cominciata!

Dopo il successo della presentazione internazionale dei nuovi laser Doctor Smile a IDS 2015, ora il nuovo laser a diodo Wiser è finalmente ...

salvare

Aperto a Chia (Cagliari) il 27esimo Congresso AIO, all’insegna di un ampia internazionalità

Lo spirito si coglie innanzitutto dal titolo “Dentistry Beyond the Borders” ossia una Odontoiatria oltre i confini, ma anche dalla presenza ...

salvare

Oggi l’inaugurazione del “13th Premium Day Sweden&Martina” presso il Palazzo della Regione di Padova

Prende il via oggi, venerdì 12 giugno, il “13th Premium Day International Congress on Implant Prosthodontics” Sweden&Martina. Una ...

salvare
advertisement