Il paziente T.M. è giunto nel mio studio a seguito della segnalazione da parte di un endodontista di Auckland. I denti 11 e 21 avevano subito un trauma importante a seguito di una caduta accidentale all’età di 7 anni. Il paziente riportava di essersi sottoposto in passato a diversi trattamenti canalari, con fallimento funzionale attribuito a infiltrazione coronale e ricontaminazione, nonché fallimento estetico associato a pigmentazione scura dovuta a ritenzione di emosiderina e penetrazione di massa batterica.
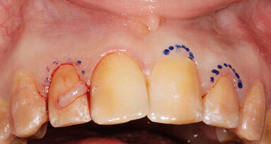
I denti 11 e 21 presentavano vecchi restauri in composito descritti come decolorati, disomogenei e inaccettabili, che causavano ansia al paziente. In aggiunta a questo quadro complesso, era presente una perforazione subgengivale nell’immediata regione medio-buccale subgengivale, che causava irregolarità gengivale con una tasca parodontale risolta di recente. L’aspetto distale del dente 21 era sottocontornato, con un conseguente guscio sublinguale o sottosquadro in questa regione, con un profilo d’emergenza insufficiente. Il paziente desiderava incisivi centrali più regolari, più lunghi ed estetici, ma vi erano limiti legati a fattori economici e alla struttura dentale residua.
- Elenco dei trattamenti (classificazione FDI)
- Dente 11MIB: restauro diretto in composito stratificato con mordenzatura acida (faccetta complessa).
- Dente 21MIDBL: restauro diretto in composito stratificato con mordenzatura acida (corona 3/4).
Materiale da restauro
- Guscio linguale: Amaris (VOCO), tinta TN (Translucent Neutral).
- Strato opaco: Amaris, tinta O3 (dentina profonda e zone cervicali).
- Strato opaco secondario: Amaris, tinta O2 (caratterizzazione dentina sottosuperficie e dentina incisale).
- Effetti incisali: Amaris, tinta HT (High Translucency), flowable.
- Strato di smalto frontale: Amaris, tinta TL (Translucent Light).
Sistema adesivo
- Dente 11MIB: preparazione con mordenzatura acida di 4a generazione (Optibond FL, Kerr).
- Dente 21MIDBL: preparazione con mordenzatura acida di 4a generazione (Optibond FL, Kerr).
Storia medica
Condizioni: non riportate.
Farmaci: nessuno.
Allergie: nessuna.
Diagnosi e piano di trattamento
Diagnosi
La valutazione specifica è iniziata con un esame extraorale dei linfonodi del paziente, delle ghiandole salivari, dei muscoli di masticazione e dell’articolazione temporo-mandibolare. L’escursione di movimento era di 50 mm e giudicata essere nei limiti normali.
Un esame specifico del sestante dentale anteriore superiore rivelava importanti profondità parodontali al sondaggio in questa regione, pari a 4 mm a carico di 21DB. Nelle altre regioni, la profondità massima registrata era di 3 mm, con sanguinamento al sondaggio. L’esame del tessuto duro mostrava una corona clinica più corta sul dente 21 rispetto al dente 11. Il dente 21 era posizionato in buccoversione, o proclinato, rispetto al dente 11. L’aspetto distale del dente 21 era situato dove era presente il sottosquadro, e quindi vi era una mancanza di tessuto duro a livello subgengivale che influenzava il profilo di emergenza dagli aspetti distobuccale e distolinguale. I denti da 13 a 23 rispondevano bene alla percussione o palpazione, e non mostravano alcuna mobilità clinica significativa.
L’esame radiografico consisteva in una sola radiografia periapicale della regione. Si notavano ampie otturazioni, con assenza di perno endocanalare. Era necessaria una preparazione che conservasse al massimo la struttura dentale esistente per l’adesione, e l’assenza di un perno è stata nuovamente valutata con l’endodontista che confermava la sua non necessità prima di procedere.
Con il paziente si è valutato il posizionamento di due faccette dirette in composito con stratificazione complessa, al fine di correggere il problema estetico, con asportazione di una minima quantità di struttura dentale. I rapporti ampiezza-altezza sarebbero stati migliorati fino a portarli a un rapporto pari a 0,8 : 1,0 per le proporzioni ideali. Al paziente è stata prospettata anche l’opzione di restauri adesivi in ceramica, in quanto questi avrebbero avuto un effetto positivo sul rafforzamento coronale. Sebbene il paziente e sua madre fossero interessati a questa opzione, il desiderio del paziente di riparazione in caso di futuri incidenti e le condizioni economiche rappresentavano fattori limitanti. Il paziente ha quindi accettato il consiglio di applicare faccette dirette stratificate in composito sui denti 11 e 21.
Piano di trattamento
- Valutazione generale (tessuti duri e molli): extraorale e intraorale.
- Radiografie periapicali preoperatorie x 1.
- Consenso informato.
- 12 foto preoperatorie secondo le indicazioni dell’American Academy of Cosmetic Dentistry (AACD).
- Mappatura del colore.
- Anestesia, isolamento con diga di gomma e preparazione.
- Microabrasione ad aria (ossido di alluminio da 50 micron).
- Mordenzatura, adesione, restauro diretto stratificato con Amaris TN, O3, O2, HT e TL per i denti 11 e 21.
- Rifinitura dell’anatomia primaria e secondaria nel corso della prima seduta.
- Conferma dell’integrazione del colore, modifica se necessaria, contornatura finale e lucidatura dopo 48 ore (per aspettare l’ottimale polimerizzazione della resina prima della lucidatura finale).
- 12 foto postoperatorie secondo AACD, insieme a una radiografia periapicale postoperatoria.
Descrizione del trattamento e razionale per la scelta del materiale da restauro
Il paziente T.M. era un giovane di 16 anni che si era rivolto al mio studio per un trattamento dentale estetico adesivo a seguito della segnalazione da parte di un endodontista locale di Auckland. L’endodontista aveva eseguito otturazioni su 11 e 21 mediante guttaperca e sigillante Roths. Il moncone era stato restaurato con un rivestimento di Cavit nello strato più profondo, e un composito flowable B1 e B2. Dopo la valutazione specifica, la diagnosi, il piano di trattamento e il consenso informato, il paziente è stato convocato per una seduta successiva per la preparazione e il completamento di due faccette dirette in composito con stratificazione complessa sui denti 11 e 21. Il paziente è stato anestetizzato (1,5 tubofiala di Articaina al 4% (anestetico amidico) con epinefrina 1 : 105). Prima dell’isolamento con la diga di gomma, è stata eseguita la mappatura del colore. È stato notato che in qualunque momento, la valutazione del colore è un’istantanea delle caratteristiche ottiche variabili nel tempo del dente. Questa valutazione è influenzata dalla disidratazione, dal tempo/invecchiamento e dipende da 6 variabili: tonalità, croma, traslucenza, fluorescenza e opalescenza. Irfan Ahmad descrive la corrispondenza di colore in un dato momento più come effimero che non eterno1.
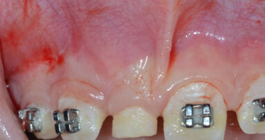
È stata eseguita una gengivectomia mediante laser a diodi (Ezelase 940 nm, Biolase, 1.5 W continuo) per rimuovere il tessuto in eccesso nella regione del sottosquadro subgengivale sulla superficie distoassiale, come descritto in precedenza. L’uso del laser ha facilitato la rimozione del tessuto e la simultanea emostasi, realizzando le condizioni ideali per l’adesione. È stata scelta la lunghezza d’onda di 940 nm in quanto assorbita in modo ottimale dall’emoglobina e dall’ossiemoglobina. La perforazione subgengivale e la riparazione sono visibili in questa immagine, insieme al composito traslucente usato dal dentista per il moncone precedente. È stato deciso che la completa rimozione del composito esistente avrebbe probabilmente causato un danno maggiore alla struttura dentale residua e quindi la preparazione è stata limitata a questo punto. È stato utilizzato un liquido rilevatore di carie (Caries Detector, Kuraray) per visualizzare e rimuovere la massa batterica residua, assicurando una base di dentina dura e pulita.
Dopo l’applicazione di un filo retrattore asciutto #0 (Ultrapak, Ultradent) nel solco gengivale buccale, si è eseguita la microabrasione ad aria con particelle di ossido di alluminio da 50 micron per una maggior ritenzione micromeccanica.
È stata eseguita la mordenzatura con acido ortofosforico al 33%, seguita dall’applicazione di un sistema adesivo total etch 3-step di 4a generazione (Optibond FL, Kerr).
Lo strato iniziale era il guscio linguale, creato a mano libera per i denti 11 e 21 con l’uso di una matrice Mylar. Sarebbe stato più facile creare lo strato iniziale mediante l’uso di una mascherina in putty realizzata da una ceratura diagnostica, ma il paziente ha scelto di omettere questo passaggio a causa di limiti economici. Lo strato iniziale era spesso circa 0,3 mm, ristabiliva la lunghezza e le proporzioni desiderate del dente, ed è stato realizzato con una tinta smalto traslucente bianco latte. Per questa struttura è stato utilizzato Amaris (VOCO) nella tinta TN (translucent neutral).
L’obiettivo dello strato successivo era quello di iniziare a mascherare il più possibile lo sfondo traslucente con tinte dentina opache. L’opacità sarebbe stata applicata in modo da bloccare la visibilità delle linee di giunzione. Il non ottenimento di ciò avrebbe portato a un risultato finale meno estetico. In questo caso, il limite era lo spessore e la traslucenza del nucleo residuo a causa dei materiali usati in passato.
È stato utilizzato Amaris O3 (Opaque #3) nella regione disto-assiale negli strati più profondi per visualizzare se questa tinta fosse adeguata per corrispondere al colore del nucleo del dente. Dopo la polimerizzazione, si è deciso di utilizzare negli strati superficiali una tinta opaca leggermente più chiara (Opaque #2) per meglio ottenere il valore desiderato del dente. Questa modificabilità matematica di Amaris rende soddisfazione eseguire restauri dentali estetici. Questo strato è importante anche perché la dentina crea la tinta base del dente e si pone a complemento della fluorescenza e dell’interpretazione cromatica del restauro finale4.
Lo strato di dentina superficiale è stato modellato e sagomato cervicalmente nelle aree marginali per chiudere la regione della perforazione subgengivale buccale. La metà incisale è stata realizzata mediante un secondo incremento di Amaris O2 e modellata incisalmente. Questo strato è caratterizzato da strisce irregolari dei dentina che formeranno le basi degli effetti incisali visibili nel risultato finale. Anche la formazione del lobo dello strato di dentina viene realizzata in questo strato dentinale superficiale prima della polimerizzazione finale. Lo strato successivo prevede una tinta altamente traslucente utilizzata nelle aree incisali e del lobo dentinale come riempitivo di spazi. L’uso di una tinta traslucente trasparente aumenta la penetrazione, la trasmissione, la riflessione e rifrazione della luce in quest’area del risultato finale.
La tinta viene ora valutata con il colore disidratato dei denti adiacenti. È essenziale che una volta decisa la mappa del colore, vi siano poche modifiche intraoperatorie, se non addirittura nessuna. L’aspetto più chiaro dei denti disidratati è un grande elemento ingannevole, che porta i clinici a creare denti che risulteranno poi troppo bianchi una volta che la dentizione adiacente si sarà reidratata. In questo caso, il paziente aveva richiesto denti leggermente più chiari in quanto in futuro intendeva sottoporsi allo sbiancamento dei denti vitali adiacenti. Dato che gli incisivi centrali in natura sono spesso una frazione più chiara degli incisivi laterali, è stato deciso di applicare una tinta smalto più chiara (TL: translucent light) invece di quella pianificata (TN: translucent neutral). Ancora una volta, questa modificabilità matematica di Amaris permette il controllo del valore del prodotto finale nelle diverse fasi della ricostruzione.
Per quanto riguarda la scala colori intraoperatoria, vi sono due sfere di composito Amaris polimerizzato applicate sul dente 11: quella posizionata più incisale è la tinta TN (translucent neutral), e quella più cervicale è la tinta TL (translucent light). La tinta TL applicata in uno strato spesso aumenterebbe il valore del dente oltre la tinta desiderata, quindi è importante giudicare sempre lo spessore e la morfologia degli strati di dentina dall’aspetto incisale1. In questo caso, uno strato molto sottile di tinta smalto era ciò che serviva a realizzare il profilo di emergenza del dente e gli angoli lineari al profilo completo, e quindi è stato deciso di utilizzare la tinta TL per aumentare leggermente il valore dello strato di dentina.
Dopo la polimerizzazione finale, i contatti sono stati aperti mediane una lieve forza di separazione interdentale (“Mopper Pop”) e rifiniti con strisce in metallo abrasive medie e fini (GC) nonché con strisce abrasive in polimero Epitex (GC). Con una matita sono state eseguite delle marcature sulla superficie labiale per guidare la conservazione degli angoli lineari e del profilo di emergenza. La finitura dell’anatomia primaria e secondaria è stata completata con dischi abrasivi a grana grossa (Soflex, 3M ESPE) e frese diamantate fini (Mani Dia-Burs). La lucidatura è stata completata con il sistema Double Diamond two-step (Clinician’s Choice) a 5000 giri/min per un’elevata brillantezza, seguita dall’applicazione di una pasta all’ossido di alluminio (Enamelize, Cosmedent) mediante feltrino (Flexibuff, Cosmedent). Il paziente è stato dimesso in attesa della guarigione gengivale e la polimerizzazione completa del composito, in vista del successivo richiamo per la lucidatura finale.
embedImagecenter("Imagecenter_1_2001",2001, "large");
Razionale per la scelta del materiale da restauro
Per il paziente T.M., un giovane di 16 anni con compromissione coronale multipla degli incisivi centrali superiori, era importante scegliere un sistema composito con caratteristiche fisiche superiori e un avanzato sistema di tinte che risulta fondamentale per la ricreazione delle sfumature ottiche presenti in natura. L’obiettivo in questo caso è la bioimitazione mediante il restauro del volume originale del dente, con effetti e anatomia propri.
In questo caso, la riduzione necessaria del dente era minima, nell’ordine del 15-20% del volume totale del dente.
Il volume residuo del dente in questo caso era compromesso da una mescolanza tra il materiale del moncone e la struttura dentale irregolare. Si è quindi pensato fosse meglio non disturbare questa matrice in quanto non vi era evidenza di carie più profonde e per non correre il rischio di ridurre ulteriormente la preziosa struttura dentinale. Pascal Magne consiglia restauri adesivi in ceramica nei casi in cui la compromissione della struttura coronale sia maggiore del 60% del volume originario del dente. Questa cifra rappresenta la soglia critica della resistenza coronale minima per prestazioni a lungo termine e una perdita maggiore richiederà un materiale con caratteristiche fisiche superiori. Il composito è un materiale più flessibile della ceramica e quando viene usato per ristabilire la robustezza di un dente indebolito in modo critico è altamente soggetto a frattura3. In questo caso, il dente 21 mostrava una struttura dentale residua inferiore al 40% e sarebbe stato quindi un ottimo candidato per un restauro adesivo in ceramica, se l’aspetto economico non fosse stato un problema. La simmetria estetica sarebbe stata più predicibile applicando un restauro adesivo in ceramica anche sul dente 11, ma ancor una volta questo non era possibile. Prima di iniziare ci si è resi conto che la tinta del nucleo residuo sarebbe stata differente se i denti avessero avuto la dentina intatta e quindi la flessibilità nel poter modificare la tinta durante il trattamento è diventata indispensabile. La soluzione, quindi, era quella di utilizzare un supercomposito moderno con non solo caratteristiche fisiche eccellenti, ma con un concetto di tinte intelligente per avrebbe permesso la modifica del colore in corso d’opera.
Questo caso ha utilizzato la tecnica dello smalto acromatico secondo Newton Fahl2. È stato utilizzato uno strato di smalto in una tinta non-Vita (Amaris TN: translucent neutral) con croma composto da due tinte dentina (Amaris O3 e O2). In questo caso, il valore di O3 è stato giudicato essere troppo basso rispetto al valore desiderato e, quindi, è stato utilizzato l’Intellligent Shade Concept coniato da Voco che ha permesso di arrivare mediante una tinta dentina a un valore più chiaro, O2. Questo valore è stato ulteriormente modificato mediante l’uso di uno strato di smalto di valore superiore rispetto a quello inizialmente proposto (Amaris TL: translucent light). La precisione dello spessore dello strato incrementale è fondamentale per lo sviluppo della corrispondenza di tinta. Uno strato di smalto troppo spesso creerà un risultato con valore inferiore di quello previsto. Uno strato di dentina troppo spesso influenzerà valore, tonalità e croma1. Questo è stato valutato con frequenza e in modo sistematico dal bordo incisale nella ricostruzione del volume.
Nel caso del paziente T.M., la conservazione del volume di dentina intatta residua era fondamentale nella decisione di lasciare intatta la massa del nucleo. L’uso di un sistema di composito intelligente che permetta una modificabilità matematica intraoperatoria con il cambiare del colore del nucleo, in questo caso era fondamentale per il successo finale. La possibilità di ricreare il volume dentale perso, i contorni e le sfumature ottiche mediante un solo sistema che aiuti a superare gli ostacoli estetici intraoperatori imprevisti fa di Amaris un moderno supercomposito e uno strumento fondamentale per la moderna odontoiatra estetica conservativa. Grazie alla caratteristica di superfici tra le più lucidabili con ruvidità superficiale e abrasione 3-body minime, è stato possibile ottenere per questo paziente un risultato funzionale e ultra estetico che durerà nel tempo. Amaris è una formula: una formula per la predicibilità nella difficile estetica anteriore, nonché una semplice equazione che manterrà il sorriso dei nostri pazienti a lungo nel tempo.
Bibliografia
1. Ahmad, I. Chromatically-Crafted Restorations: Shade Matching with Resin-Based Composites. J. Cosmetic Dent. 2013; 29(1): 43-50.
2. Fahl, N. Jr. Step-by-Step Approaches for Anterior Direct Restorative Challenges: Mastering Composite Artistry to Creat Anterior Masterpieces – Part 2. J. Cosmetic Dent. 2010; 26(4): 42-55.
3. Magne, P. and Belser, U. Bonded Porcelain Restorations in the Anterior Dentition: A Biomimetic Approach. (2003) Quintessence Publishing Co, Inc. pp. 50-55.
4. Milnar, F.J. and Wohlberg, J. Direct Resin Veneers: Case Type V for AACD Accreditation. J. Cosmetic Dent. 2013; 29(1): 110-118.
L'articolo è stato pubblicato su Cosmetic Dentistry, ottobre 2015.
Il paziente T.M. è giunto nel mio studio a seguito della segnalazione da parte di un endodontista di Auckland. I denti 11 e 21 avevano subito un ...
Una paziente affetta da amelogenesi imperfetta generalizzata (Figg. 1a, 1b) aveva richiesto in età adulta un trattamento estetico. La paziente ...
Una paziente affetta da amelogenesi imperfetta generalizzata (Figg. 1a, 1b) aveva richiesto in età adulta un trattamento estetico. La paziente ...
Portland (Usa) – I ricercatori della Oregon Health and Science University (OHSU) hanno sviluppato un procedimento rivoluzionario con il quale ...
Orem,Utah, Usa-Biberach an Der Riss, Germania - Aribex, il produttore del sistema radiografico portatile intraorale Nomad, è stato recentemente ...
Le tecniche di Odontoiatria e laboratorio Odontotecnico si sono evolute rapidamente negli ultimi anni, tuttavia è ancora difficile stabilire protocolli ...
L’aumento della vita media della popolazione porta all’osservazione degli odontoiatri un numero crescente di pazienti che presentano detrimento dei ...
L’articolo presenta una case series (10 casi clinici) di trattamento non chirurgico di tasche parodontali. In tutti i casi è stato applicato un nuovo ...
HAIPHONG, Vietnam: un nuovo case report mostra i risultati ottenibili con un approccio protesico conservativo in un paziente con un quadro anteriore ...
Il presente lavoro descrive la procedura con laser neodimio Nd:YAG 1064 nm per intervento di perimplantite.
Live webinar
gio. 30 aprile 2026
1:00 (CET) Rome
Dr. Renato Leonardo D.M.D.
Live webinar
gio. 30 aprile 2026
19:00 (CET) Rome
Live webinar
dom. 3 maggio 2026
18:00 (CET) Rome
Dr. Rickard Brånemark MSc, MD, PhD, Dr. Robert Gottlander DDS
Live webinar
lun. 4 maggio 2026
2:00 (CET) Rome
Live webinar
mar. 5 maggio 2026
16:00 (CET) Rome
Live webinar
mar. 5 maggio 2026
18:00 (CET) Rome
Live webinar
mar. 5 maggio 2026
19:00 (CET) Rome
Dr. Maximilian Dobbertin M.Sc
To post a reply please login or register