Il mascellare posteriore presenta spesso limitazioni anatomiche al posizionamento di impianti in osso nativo, basato sulla graduale pneumatizzazione del seno mascellare e sul riassorbimento centripeto dell’osso alveolare in seguito all’estrazione degli elementi dentari1,2.
Il rialzo di seno mascellare è una delle tecniche chirurgiche più comuni per incrementare il livello di osso disponibile per il posizionamento di impianti. Approcci crestali per l’elevazione del pavimento del seno sono stati descritti per la prima volta da Tatum nel 19863; successivamente nel 1994 Summers descrisse un approccio crestale differente usando un set di osteotomi conici a diametro crescente4. Questa tecnica veniva considerata più conservativa e meno invasiva dell’approccio convenzionale con antrostomia laterale5. In questo case report descriviamo un’innovativa tecnica di rialzo del pavimento del seno mascellare mediante l’ausilio di frese osteotomiche per implantologia (Densah Bur kit)6.
L’indicazione principale a questo tipo di tecnica è la presenza di una cresta mascellare atrofica con un’altezza residua tra i 4 e i 6 mm circa; altezze di cresta residua inferiori sono da considerarsi una controindicazione per i clinici che non hanno sviluppato un’adeguata curva di apprendimento della metodica. Lo scopo del presente lavoro è quello di illustrare il protocollo operativo di osseodensificazione.
Descrizione del caso
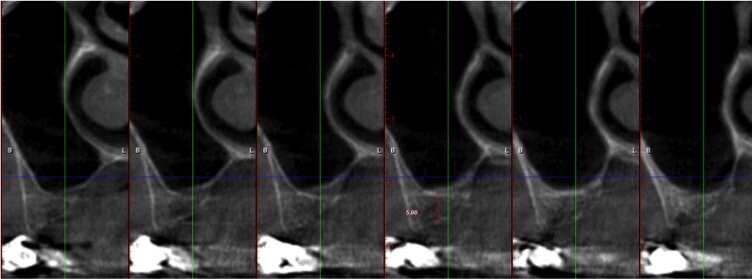
La paziente, di sesso femminile e con anamnesi medica negativa, si presenta in visita lamentando mobilità della protesi fissa presente nel II quadrante. Dopo l’esame obiettivo e strumentale gli elementi 23 e 27 (pilastri di ponte) vengono reputati non mantenibili e si programma l’estrazione degli stessi. Contestualmente all’estrazione si pianifica, con lo studio della CTCB pre-operatoria, l’inserimento di 3 impianti e la futura riabilitazione implanto-protesica fissa con pilastri di ponte 23-24-25. L’altezza di cresta residua è circa di 4/5 mm in altezza per le tre sedi (Figg. 1-4). La paziente riceve una profilassi antibiotica di tipo Short-term (Amoxicillina + Acido Clavulanico 2 g 1 ora prima dell’intervento) e fa uno sciacquo di 1 minuto con CHX 0,2% prima della chirurgia.
Si procede con lo scollamento di un lembo muco periosteo a spessore totale. In seguito all’estrazione degli elementi dentari si esegue una revisione degli alveoli post estrattivi dal tessuto di granulazione presente. Si inizia così la preparazione delle osteotomie nelle zone di interesse con la fresa pilota. Questa prima fresa va utilizzata in senso orario a una velocità che può variare da 800-1500 giri/min, e deve raggiungere una profondità che sia approssimativamente pari a 1 mm dal pavimento del seno mascellare.
Dopo la fresa pilota, le successive frese sono progettate per essere utilizzate in modalità di “osseodensificazione” a piccoli incrementi; in osso poco denso il diametro di preparazione finale della osteotomia deve essere programmato con la fresa Densah di un diametro di 0,5-0,8 mm inferiore al diametro medio dell’impianto. A questo punto viene azionata la fresa da 2 mm nell’osteotomia (800-1500 giri/min in senso antiorario) sotto abbondante irrigazione di soluzione sterile distillata (la soluzione fisiologica deteriora molto più velocemente le frese Densah). Quando si avverte il feedback tattile della fresa che raggiunge il pavimento del seno denso, è opportuno modulare la pressione con un lieve movimento di “pompaggio” per andare oltre il pavimento del seno incrinando così la corticale stessa. L’avanzamento massimo oltre il pavimento del seno, in questo stadio, non deve essere superiore a 1 mm. Si continua in questo modo con le frese di diametro maggiore.
Quando le frese Densah successive avanzano nell’osteotomia, l’osso viene spinto (o densificato) verso l’estremità apicale e comincia a sollevare gradualmente la membrana di Scheneider con l’osso autologo compattato. Utilizzare sempre le frese con movimento di “pompaggio” e abbondante irrigazione, al fine di non surriscaldare l’osso. Per raggiungere una maggiore profondità verticale e il sollevamento graduale della membrana senza perforazioni si consigliano incrementi di 0,5 1,0 mm per fresa, fino ad ottenere la lunghezza e il diametro finale desiderato. Si ricorda che le frese in successione possono raggiungere un sollevamento della membrana di massimo 3 mm. Vista la scarsa qualità e quantità ossea residua del caso in questione, pur usando le frese Densah in modalità di osseodensificazione non si riesce a mantenere una integrità ossea della porzione apicale dei siti osteotomici (Fig. 5). Nei casi di incrementi superiori a 3 mm si può collocare all’interno dell’osteotomia del materiale da innesto, utilizzando l’ultima fresa con velocità di 150-200 giri/min senza irrigazione e in senso antiorario, per compattarlo all’interno dell’osteotomia. In questo caso si posizionano delle membrane di PRF all’interno dei siti osteotomici, così che la membrana di Schneider venga sollevata idrostaticamente con leggere pressioni del PRF (Fig. 6). Finita la fase di preparazione dei siti osteotomici si può procedere all’inserimento implantare a 20 giri/min e 50 Ncm di coppia (Fig. 7). Si esegue a questo punto un innesto di osso eterologo tipo “L-PRF-block”7 per incrementare il volume della zona vestibolare (Fig. 8). Sull’innesto vengono posizionate delle membrane di PRF assottigliate (Fig. 9) e una ulteriore membrana riassorbibile viene posizionata sopra il PRF per assicurare l’immobilità del tutto (Fig. 10). Si procede con l’esecuzione di scarichi di rilascio periostali, per avere un lembo privo di tensioni muscolari (Fig. 11). Infine, viene eseguita una sutura con filo 5 zeri riassorbibile monofilamento (Fig. 12). Nell’immediato post-operatorio viene eseguita alla paziente una CTCB di controllo. Come si può notare dalle sezioni della stessa, la membrana sinusale non risulta perforata, ed è sollevata sugli impianti (Figg 13, 14). Notare la neoformazione ossea apicale agli impianti a 5 mesi dall’intervento (Fig. 15).
Conclusioni
I risultati preliminari di questo protocollo operativo sono promettenti, il protocollo è poco traumatico, semplice una volta appresa la corretta procedura operativa. La validazione della tecnica deve essere effettuata attraverso studi prospettici controllati multicentrici.
Fig. 1 - Sezione panorex CTCB pre-operatoria II quadrante con visione del seno mascellare.
Fig. 2 - Cross section di zona 23.
Fig. 3- Cross section di zona 24.
Fig. 4 - Cross section di zona 25.
Fig. 5 - Visualizzazione macroscopica delle porzioni apicali dei siti osteotomici preparati con Densah kit. Si intravede la membrana di Schneider intatta.
Fig. 6 - Posizionamento membrane di PRF nei siti osteotomici.
Fig. 7 - Impianti posizionati in sede 23, 24, 25.
Fig. 8 - Innesto vestibolare di osso eterologo tipo PRF-block.
Fig. 9 - Membrane di PRF a protezione dell’innesto.
Fig. 10 - Ulteriore membrana riassorbibile a protezione dell’innesto.
Fig. 11 - Incisioni di rilascio periostali.
Fig. 13 - Sezione panorex post-operatoria: si noti il sollevamento della membrana di Schneider sugli impianti.
Fig. 14 - Sezione cross section post-operatia zona 24.
Fig. 15 - Controllo radiografico a distanza di 4 mesi dall’intervento.
Bibliografia
- Cawood, J.I. & Howell, R.A. (1988). A classification of the edentulous jaws. International Journal of Oral and Maxillofacial Surgery. Aug;17(4):232–6.
- Lekholm U, Zarb GA. Patient selection and preparation. In Brånemark PI, Zarb GA, Albrektsson T. editors: Tissue integrated prostheses: osseointegration in clinical dentistry. Quintessence, Chicago 1985; 199- 209.
- Tatum H. (1986) Maxillary and sinus lift implant reconstruction. Dental Clinics of North America. Vol:30 iss:2 pg:207-229.
- Summers, R.B. (1994). A new concept in maxillary implant surgery: the osteotome technique. Compendium; vol:15 iss:2 pg:152-6.
- Bjarni E Pjetursson, Niklaus P. Lang (2014). Sinus floor elevation utilizing the transalveolar approach. Periodontology 2000; vol:66 iss:1 pg:59-71.
- Huwais S, Meyer EG (2017). A Novel Osseous Densification Approach in Implant Osteotomy Preparation to Increase Biomechanical Primary Stability, Bone Mineral Density, and Bone-to-Implant Contact. Int J Oral Maxillofac Implants. Jan/Feb;32(1):27-36.
- Monti, M. Invernizzi, G. Rosano, P. Gilardoni, N. Vercellini, T. Testori. L-PRF Collagen Block e biomateriali collagenati: un innovativo protocollo per ottenere un innesto particolato maneggevole e di facile utilizzo clinico. I&J quintessenza internazionale &JOMI. Numero 3;2017 volume 33:64-67.
*Autori_Sebastiano Gasparone, Riccardo Scaini, Matteo Deflorian, Matteo Capelli, Francesco Zuffetti, Fabio Galli, Tiziano Testori.
Tag:
La tecnica di rialzo di seno mascellare è una procedura chirurgica atta a ripristinare la mancanza ossea verticale nella regione posteriore del mascellare ...
La riabilitazione del mascellare posteriore atrofico spesso richiede l’esecuzione di un rialzo di seno mascellare. Nella sua esecuzione, l’apertura ...
Il composito nelle sue più recenti formulazioni (microibrido, nano particelle, nano ibrido), grazie alle sue proprietà biomeccaniche ed ...
Il composito nelle sue più recenti formulazioni (microibrido, nano particelle, nano ibrido), grazie alle sue proprietà biomeccaniche ed ...
La riabilitazione del mascellare superiore può essere un trattamento difficile perché i clinici devono confrontarsi con alcune limitazioni ...
Il rialzo del seno mascellare (Boyne 1980, Tatum 1986) è attualmente considerato una tecnica altamente predicibile e sicura per consentire ...
L’atrofia severa uni o bi-mascellare costituisce un importante ostacolo per la riabilitazione con protesi fissa mediante interventi di chirurgia ...
L’atrofia del mascellare posteriore come conseguenza della perdita degli elementi dentali è una condizione piuttosto frequente nella pratica clinica. La ...
La perdita dei denti innesca un processo di riassorbimento al livello della cresta alveolare che è diverso da individuo a individuo.
La riabilitazione di pazienti parzialmente o totalmente edentuli con protesi supportate da impianti è diventata una pratica comune negli ultimi ...
Live webinar
mer. 15 aprile 2026
20:00 (CET) Rome
Live webinar
gio. 16 aprile 2026
2:00 (CET) Rome
Linda Hecker MS, BSDH, RDH
Live webinar
gio. 16 aprile 2026
18:00 (CET) Rome
Dr. Pär-Olov Östman, Dr. Robert Gottlander DDS
Live webinar
ven. 17 aprile 2026
18:00 (CET) Rome
Live webinar
ven. 17 aprile 2026
19:00 (CET) Rome
Dr. Stuart Yeaton BDentSc, MOrth
Live webinar
lun. 20 aprile 2026
19:00 (CET) Rome
Dr. Alberto Monje DDS, MS, PhD
Live webinar
mer. 22 aprile 2026
17:00 (CET) Rome
MDT Andreas Chatzimpatzakis
To post a reply please login or register