Il composito nelle sue più recenti formulazioni (microibrido, nano particelle, nano ibrido), grazie alle sue proprietà biomeccaniche ed estetiche, è diventato il materiale più largamente usato per il restauro dei denti posteriori. Le problematiche non ancora completamente risolte sono invece legate alla contrazione da polimerizzazione e all’adesione dentinale, soprattutto nelle grandi ricostruzioni con tecnica diretta.
Questo ha portato allo sviluppo di tecniche semidirette e indirette, che prevedono la completa polimerizzazione del manufatto in composito prima della cementazione in cavità1-3.
In cavità di ampie dimensioni con coperture cuspidali, infatti, trovano indicazione i restauri cementati adesivamente realizzati con tecnica indiretta.
Il vantaggio fondamentale di tali tecniche adesive risiede nella possibilità di ridurre al massimo la contrazione da polimerizzazione del materiale, che avviene al di fuori della cavità, con conseguente beneficio sull’adattamento marginale; l’unica contrazione da polimerizzazione residua, per altro scarsamente influente, sarà a carico del sottile strato di cemento resinoso utilizzato per la cementazione4.
Scopo del presente articolo è la scelta di un piano di trattamento misto, diretto e indiretto, e la relativa realizzazione clinica dello stesso.
Caso clinico
Il paziente C.F., di anni 16, giunge alla nostra osservazione richiedendo una visita odontoiatrica di controllo. L’anamnesi negativa per patologie sistemiche importanti presenti e pregresse; non fumatore, riferisce un’igiene orale abbastanza accurata.
All’esame obiettivo si reperta la presenza di evidenti lesioni cariose interessanti gli elementi 4.7, 4.6, 3.7, 1.7, 2.7, 2.6. Gli elementi 3.7 e 4.7 sono parzialmente erotti con presenza di ipertrofia distale (Figg. 1a, 1b). Considerata l’età, viene posto il dubbio sulla possibile disodontiasi degli ottavi inferiori.
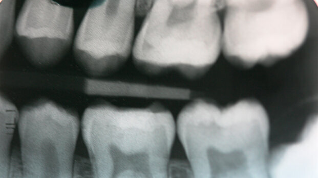
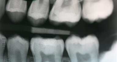
Vengono effettuate due radiografie bite-wing per osservare radiograficamente l’entità dell’estensione delle patologie cariose in atto: si evince ampia lesione cariosa a carico di 1.6, 1.7 e 4.6, lesioni cariose di medie entità a carico di 1.7, 1.5, 4.7, 4.5, 4.4, 3.7, 3.5 (Figg. 2a, 2b). La disodontiasi degli ottavi inferiori viene confermata attraverso esame ortopantomografico (Fig. 2c). Il piano di trattamento di questo caso clinico potrebbe essere basato o su ricostruzioni dirette su tutti gli elementi affetti da lesione cariosa o, come da noi effettuato, su ricostruzioni indirette sugli elementi 1.7, 1.6, 4.6 e da ricostruzioni dirette sulle restanti.
Si è optato per questa soluzione in quanto la sostanza sana residua dentale degli elementi 1.6, 1.7, 4.6 risultava scarsa già all’indagine radiografica: l’adattamento marginale, l’occlusione e la modellazione anatomica sarebbero stati più predicibili con un manufatto realizzato per via indiretta rispetto a quello effettuato per via diretta. Si procede con l’isolamento del campo operatorio per settori. All’esame obiettivo del primo quadrante, previo isolamento sotto diga di gomma, si nota come l’anatomia dentale degli elementi sia perfettamente mantenuta nonostante le destruenti lesioni cariose evidenti solo tramite radiografie endorali (Figg. 3a, 3b). Dopo aver aperto la cavità si prosegue con la toilette completa della cavità, si valutano gli spessori delle pareti vestibolari e linguali che devono essere di almeno 1,5 mm. Le pareti con uno spessore inferiore vengono tagliate abbassandole di 2 mm (Figg. 3a, 3b, 4). Si eseguono quindi le procedure adesive e si applica una base di composito; la dentina è meglio ricoprirla con un leggero strato di composito fluido di circa 0,5 mm e quindi si prosegue con il composito di normale viscosità (Fig. 4a). Per ogni piccolo incremento si effettua la polimerizzazione, infine, si prepara la cavità: la preparazione dei margini è netta e assolutamente priva di biselli (Fig. 4b). Si procede, poi, con l’impronta intraoperatoria in materiale polietere, applicazione di materiale provvisorio al di sopra degli elementi trattati.
Dopo circa 3 giorni, sempre sotto isolamento del campo operatorio, si effettua la cementazione con materiale composito (Fig. 5):
- pulizia della cavità con paste da profilassi senza fluoro, oppure con l’uso di bicarbonato diffuso a pressione con acqua e aria con apposito diffusore;
- l’intarsio viene provato valutandone la passività, la precisione e il punto di contatto;
- la superficie interna dell’intarsio viene sabbiata con allumina a 50 micron al fine di assicurare una buona adesione del cemento; viene poi silanizzata e ricoperta di uno strato di bonding non polimerizzato;
- la superficie dentale viene trattata con mordenzante, adesivo e bonding non polimerizzato;
- il cemento che può essere chimico, duale o composito da otturazione foto polimerizzabile (quello da noi utilizzato) viene inserito nella superficie dell’intarsio; si rimuovono gli eccessi e si polimerizza; in questo caso si utilizza lo stesso composito utilizzato nella realizzazione dei manufatti diretti previo riscaldamento all’interno dell’apposito fornelletto al fine di renderlo fluido (Figg. 6a, 6b);
- si lucida l’intarsio.
Nel settore 2, invece, si procede con la rimozione della patologia cariosa, estremamente destruente nel caso dell’elemento 2.6 a tal punto da rischiare di compromettere la vitalità pulpare (si noti l’esposizione del cornetto pulpare). Siccome non vi era sanguinamento pulpare si è optato per una ricostruzione indiretta senza ricorrere alla terapia canalare (Figg. 6a, 6b, 8, 9a, 9b). A distanza di due mesi l’elemento dentale ha perso la sua vitalità pulpare e si è ricorsi alla terapia endodontica mediante una cavità di accesso occlusale minimamente invasiva, senza effettuare il rifacimento del restauro indiretto (Figg. 17a, 17b, 18a, 18b).
Si è preparato l’elemento dentario con una cavità adeguata di configurazione e geometria: pareti divergenti, lisce e ben definite, angoli interni arrotondati, finitura dello smalto e margini sopragengivali7.
Anche in questo caso è stato necessario effettuare il build-up. Gli elementi 2.4 e 2.5 vengono ricostruiti con tecnica diretta (Figg. 7a, 7b). Più compromessa a livello dei margini interprossimali è stata la situazione nel settore 4, in particolar modo dell’elemento 4.6: a livello distale ci trovavamo border line, ovvero a rischio di dover effettuare interventi parodontali per ottenere margini sopragengivali. L’elemento 4.6 è stato prepara rato per un manufatto indiretto; il 4.7, che preservava le cuspidi e aveva una lesione interprossimale mesiale è stato ricostruito con tecnica diretta (Figg. 10-12). Gli elementi 4.4 e 4.5 sono stati ricostruiti direttamente in quanto la sostanza residua presente è sufficiente per un restauro diretto (Fig. 13a, 13b).
Nel settore 3, invece, si sono realizzati dei restauri diretti sugli elementi 3.7, 3.6, 3.5 e 3.4.
I materiali utilizzati per realizzare questo caso clinico sono gli ENAMEL HRi Function, sistema smalto-composito per ripristinare la funzione in modo micro invasivo rispettando il sistema neuromuscolare e ottenendo un’ottima integrazione estetica. Sono masse soggette a bassa abrasione che si avvicinano a quella degli smalti naturali (Fig. 16).
Discussione
embedImagecenter("Imagecenter_1_2084",2084, "large");
L’odontoiatria ricostruttiva ha come compito il raggiungimento di alcuni obiettivi fondamentali quali: diagnosi della o delle lesioni; eliminazione della o delle lesioni; ripristino anatomico e funzionale dei tessuti asportati o mancanti; protezione della polpa; garanzia di un risultato esteticamente conveniente; mantenimento del risultato ottenuto con manovre di igiene domiciliari semplici; e prevenzione della malattia cariosa e parodontale5.
I restauri di seconda classe con margini cervicali profondi e ampia perdita di sostanza, in genere implicano, nella fase restaurativa, tre differenti problematiche1:
- importante perdita di sostanza dentale;
- chiusure marginali cervicali parzialmente o totalmente in assenza di smalto;
- margini cervicali subgengivali.
Secondo la classificazione proposta dalla scuola di Ginevra nel 1994, le resine composite possono essere utilizzate nei settori posteriori con differenti tecniche: diretta, semidiretta e indiretta1,5.
La scelta della tecnica è dettata da differenti parametri:
- generali (igiene orale, cario recettività, parafunzioni, età, esigenze estetiche);
- locali (dimensione e disegno della cavità, numero dei restauri, posizione dei margini, quantità di smalto residuo a livello cervicale, posizione del dente in arcata).
Le tecniche dirette sono indicate in caso di restauri di prima e seconda classe di piccole e media dimensioni con presenza di smalto a livello cervicale1.
È evidente che suddette condizioni raramente si riscontrano nelle lesioni cariose che si estendono a livello subgengivale. Mediamente, questi ultimi casi sono associati a cavità di ampie dimensioni, spesso con necessità di ricoprimento cuspidale con conseguenti problemi relativi a stress da contrazione.
Gli effetti dello stress da polimerizzazione sono evidenti a due livelli:
- a_ in corrispondenza delle cavità, con possibilità di distorsioni o microfratture delle pareti stesse;
- b_ a livello dell’interfaccia adesiva marginale o interna6.
Inoltre, il trattamento foto-termico a cui viene sottoposto il manufatto, migliora il grado di conversione e, di conseguenza, le proprietà fisico-meccaniche del restauro (resistenza all’usura7 e stabilità dimensionale8). Altri vantaggi di tali tecniche riguardano la possibilità di modellazioni anatomiche ideali e riabilitazioni occlusali verificate in articolatore.
Risulta evidente l’importanza di valutare la resistenza all’usura e la durata media dei restauri al fine di poterli utilizzare per restauri estesi degli elementi dentali con ricoprimenti di una o più cuspidi.
Il miglioramento degli adesivi smalto-dentinali, insieme a una minore contrazione da polimerizzazione, consente di ottenere una buona qualità marginale stabile nel tempo limitando in maniera significativa la microinfiltrazione9,10. Il miglioramento delle proprietà chimico-fisiche e una migliore polimerizzazione hanno aumentato in maniera netta la resistenza all’usura11 e almeno nel caso di restauri di media dimensione il problema sembra definitivamente risolto12.
Alla fine degli anni Ottanta, si pensava che la tecnica indiretta fosse migliore della tecnica diretta in quanto favoriva un migliore adattamento marginale e una riduzione della microinfiltrazione in qualsiasi situazione clinica: dalla cavità media alla cavità più complessa e grande. Iida e collaboratori13 hanno dimostrato che il comportamento a lungo termine di restauri diretti e intarsi è sovrapponibile. Spreafico e collaboratori14 dimostrarono che nel caso di cavità medie non esiste differenza per quanto riguarda la durata e la qualità marginale fra restauri diretti e inlay.
Van Dijken15 afferma che quando a livello del gradino cervicale lo smalto è completamente assente gli intarsi prevengono l’infiltrazione marginale meglio delle otturazioni anche nei pazienti ad alto rischio di carie. Il risultato di questi miglioramenti è una longevità dei restauri davvero soddisfacente a lungo termine15-17.
Conclusione
- I restauri diretti sono indicati per il restauro di cavità piccole e medie18;
- i restauri indiretti sono indicati per il restauro di cavità molto ampie e soprattutto se una o più cuspidi sono mancanti;
- nel caso in cui lo smalto a livello cervicale sia ridotto o completamente assente i restauri indiretti sono da preferire a quelli diretti;
- nel caso in cui nello stesso quadrante vi fossero cavità medio-grandi e multiple la tecnica indiretta è più appropriata per ottenere un’anatomia adeguata.
Bibliografia
1. M. Veneziani Restauri adesivi dei settori posteriori con margini cervicali sub gengivali: nuova classificazione e approccio terapeutico differenziato Il Dentista Moderno 2008, anno XXVI, numero 10, ottobre 2008: 44-86.
2. D’Arcangelo C., Vanini L., Casinelli M. Adhesive cementation of indirect composite inlays anf onlays: a literature review. Compend Contin Educ Dent 2015 sep; 36 (8):570-8.
3. Dietschi D., Spreafico R., Adhesive metal-free restorations: current concepts for the aesthetics treatment of posterior teeth. Berlin: Quintessence Publishing Co Inc, 1997.
4. Wendt SL., Leinfelder KF., The clinical evaluation of heat treated composite resin inlay J Am Dent Assoc 1990;120:177-181.
5. Odontoiatria Restaurativa procedure di trattamento e prospettive future Masson 2009, capitolo 10, pagina 533.
6. Opdam NJM, Roeters JM., Burgersdisk RCW Microleakage of class II box-type composite restorations Am J Dent 1998;11:160-164.
7. De Gee AJ., Palla VP., Werner A., Davidson CL., Annealing as a mechanism of increasing wear resistance of composite Dent Mater 1990;6:266-70.
8. Ferracane JL., Mitchem JC., Condon JR., Todd R., Wear and marginal break down of composites with various degrees of cure J Dent Res 1997;76:1508-16.
9. Perdigao J, Frankenberger R., Rosa BT., Breschi L., New trends in dentin/esame adhesion. Am J Dent 2000Nov; 13 (special issue): 25D-30D.
10. Lopes GC., Baratieri LN., de Andrada MA., Vieria LC., Dental adhesion: present state of the art and future perspectives Quintessence Int 2002 Mar; 33(3):213-224.
11. Spreafico RC., Roulet JF., Posterior composite restorations: direct or indirect technique In Roulet JF., Kappert HF, eds. Statements: diagnostics and therapy in dental medicine today and in the future. Quintessence, London 2009:69-80.
12. Ferracane JL. Is the wear of dental composites still a clinical concern? Is there still a need for in vitro wear simulating devices? Dent Mater 2006 Aug; 22(8):689-692. Epub 2006 Mar 24.
13. Iida K., Inokoshi S., Kurosaki N., Interfacial gaps following ceramic inlay cementation vs direct composites. Oper Dent 2003 jul-aug;28 (4):445-452.
14. Spreafico RC., Roulet JF., Composite Layering. In Roulet JF., Vanherle G, eds. Adhesive technology for restorative dentistry. Quintessence, London 2005;11-26.
15. van Dijken JW., Direct resin composite inlay/onlays: an 11 year follow up. J Dent 2000 jul; 28(5): 299-306.
16. Pallesen U., Qvist V., Composite resin fillings and inlays. An 11-year evaluation. Clin Oral Investing 2003 jun; 7(2):71-79, Epub 2003 may 10.
17. Opdam NJ., Bronkhorst EM., Roeters JM., Loomans BA., A retrospective clinical study on longevity of posterior composite and amalgam restorations. Dent Mater 2007 jan; 23(1):2-8. Epub 2006 jan 18.
18. AIC – Accademia Italiana di Conservativa-Odontoiatria Restaurativa. Procedure di trattamento e prospettive future, Masson, Coordinamento Scientifico Franco Brenna, autori: F. Brenna, L. Breschi, G. Cavalli, W. Devoto, G. Dondi dall’Orologio, P. Ferrari, A. Fiorini, M. Gagliani, F. Manfrini, G. Manfrini, P.A. Marcoli, L. Massai, A. Monari, M. Nuvina, M. Oddena, M. Palazzo, D. Pansecchi, S. Patroni, G. Prando, C. Robello, R. Spreafico, C. Tinti, M. Veneziani.
L'articolo è stato pubblicato su Cosmetic Dentistry Italian Edition, dicembre 2015
Il composito nelle sue più recenti formulazioni (microibrido, nano particelle, nano ibrido), grazie alle sue proprietà biomeccaniche ed ...
Introduzione
Ogniqualvolta dobbiamo affrontare un caso clinico le nostre scelte procedurali devono sempre basarsi su un’attenta diagnosi. Il termine ...
Dalla metà degli anni Novanta fino ai giorni nostri, l’evoluzione dei materiali e delle tecniche adesive ha notevolmente modificato ...
Dalla metà degli anni Novanta fino ai giorni nostri, l’evoluzione dei materiali e delle tecniche adesive ha notevolmente modificato ...
Eseguita dal dott. Arturo Imbelloni e dall’Odt. Roberto Iafrate.
L’intervento inter-disciplinare combinato ortodontico-protesico può ...
Nella pratica odontoiatrica comune il clinico è chiamato a trattare anomalie strutturali dello smalto e dentina con esigenze estetiche importanti da parte ...
A oltre quarant’anni dallo sviluppo della scienza dei materiali e di studi sia in vivo che in vitro, le resine composite sono state confermate come ...
Gli autori presentano una metodologia implantoprotesica usando degli impianti a vite emergenti che vengono saldati a un ago di titanio per garantire la ...
Gli autori presentano una metodologia implantoprotesica usando degli impianti a vite emergenti che vengono saldati a un ago di titanio per garantire la ...
La perimplantite è un processo infiammatorio che colpisce i tessuti che circondano un impianto dentale osteointegrato. È caratterizzata da infiammazione ...
Dr. Bruce McFarlane Certified Specialist in Orthodontics Fellow: Royal College of Dentists of Canada Diplomate: American Board of Orthodontics
Live webinar
mer. 15 aprile 2026
20:00 (CET) Rome
Live webinar
gio. 16 aprile 2026
2:00 (CET) Rome
Linda Hecker MS, BSDH, RDH
Live webinar
gio. 16 aprile 2026
18:00 (CET) Rome
Dr. Pär-Olov Östman, Dr. Robert Gottlander DDS
Live webinar
ven. 17 aprile 2026
18:00 (CET) Rome
Live webinar
ven. 17 aprile 2026
19:00 (CET) Rome
Dr. Stuart Yeaton BDentSc, MOrth
Live webinar
lun. 20 aprile 2026
19:00 (CET) Rome
Dr. Alberto Monje DDS, MS, PhD
To post a reply please login or register