L’implantologia osteointegrata è diventata oggi la tecnica elettiva per la sostituzione dei denti mancanti o dei pilastri naturali non più recuperabili1. Appurato questo dato, la sfida attuale dell’implantologo è la ricerca di un risultato estetico ottimale, particolarmente impegnativa nei casi di implantologia in siti post-estrattivi, soprattutto in zona frontale.
Lindhe e Araujo hanno dimostrato che i cambiamenti che l’osso subisce dopo un’estrazione, a seguito della perdita di vascolarizzazione del legamento parodontale, sono per lo più a carico della corticale vestibolare, che va incontro a un maggior riassorbimento rispetto alla porzione palatina2. Come emerge dagli studi di Tarnow e collaboratori, per conseguire una migliore estetica è necessario che la distanza interimplantare sia di almeno 3 mm, al fine di rendere possibile l’ottenimento di una papilla interdentale stabile nel tempo3.
Nella pratica clinica non sempre però queste linee guida sono di facile applicazione, spesso anche a causa di un biotipo gengivale sottile, che difficilmente consente di nascondere le strutture protesiche tradizionali.
Nei casi in cui l’esigenza estetica è predominante si rende quindi indispensabile l’utilizzo di strutture metal-free, dotate di una translucenza simile a quella del dente naturale, garantendo un adeguato mimetismo estetico.
Caso clinico
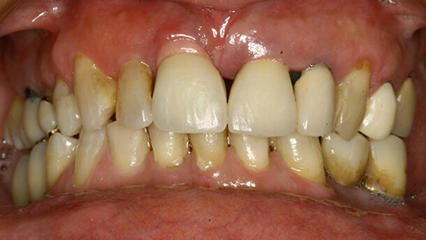
La paziente di 59 anni si presenta alla nostra attenzione lamentando problemi a livello di 2.1 e 2.2 già protesizzati anni addietro, che continuano a decementarsi (Figg. 1, 2a, 2b). Si procede quindi alla valutazione clinica dei pilastri (Fig. 3), che vengono ritenuti non più idonei per il rifacimento di due corone tradizionali (mancanza di effetto ferula e quindi prognosi a lungo termine incerta)4. Dopo aver effettuato una CBCT (Fig. 4) per la valutazione ossea preimplantare, si programma l’intervento di inserimento di impianti post-estrattivi a carico immediato. Si prescrive una terapia antibiotica con Klacid cpr 500 mg 48 ore prima dell’intervento per 6 giorni, due sciacqui al giorno di clorexidina 0,2% 48 ore prima e per le due settimane successive all’intervento, e arcoxia 90 mg una cpr al giorno per 3 giorni dopo l’intervento. Si eseguono, quindi, le estrazioni atraumatiche degli elementi e si verifica l’integrità della corticale vestibolare (condizione necessaria all’inserimento contestuale degli impianti)5 (Fig. 5). Si procede all’osteotomia preimplantare, dapprima correggendo l’asse di inserzione con tecnica piezoelettrica6 (Figg. 6a, 6b) (Surgybone, Silfradent, Italia), poi effettuando la sequenza di frese necessarie per il raggiungimento del corretto diametro. Si inseriscono due impianti (SPI, Alpha-Bio Tec, Israele) del diametro di 3,3 x 16 mm nel sito 2.2 e 3.75 x 13 mm nel sito 2.1, verificando meccanicamente il raggiungimento del torque adeguato per il carico immediato (Figg. 7-11).
embedImagecenter("Imagecenter_2_1065",1065,"small");
Considerata la scarsa densità ossea presente nel sito 2.2, per ottenere una buona stabilità primaria si rende necessario l’inserimento dell’impianto con un asse più vestibolarizzato7. Gli impianti vengono posizionati 2 mm sottocrestali, per prevenire il riassorbimento osseo intorno al collare dell’impianto, a una distanza interimplantare di circa 2,5 mm (Figg. 12a, 12b), per evitare di posizionare l’impianto in 2.1 troppo vicino a quello preesistente in posizione 1.1. Successivamente vengono inseriti due monconi provvisori in titanio e ribasate due corone in resina per realizzare un provvisorio di tipo cementato (un provvisorio avvitato, infatti, non avrebbe consentito un adeguato risultato estetico, data l’emergenza della vite sulla superficie vestibolare del laterale) (Fig. 13). Controllata l’occlusione sia in centrica che in eccentrica, vengono eliminati tutti i contatti dai due provvisori per garantire una guarigione senza microtraumi8. Trascorsi 3 mesi, si verifica l’avvenuta osteointegrazione degli impianti e si procede alla finalizzazione delle due corone in ceramica (Figg. 14a-14c, 15). Si rileva che a carico del laterale si è verificata una modesta retrazione dei tessuti gengivali (dovuta sia al biotipo gengivale sottile della paziente sia alla posizione più vestibolare dell’emergenza dell’impianto), che complica l’ottenimento di una buona estetica.
Lo spessore dei tessuti, inoltre, lascerebbe intravedere in trasparenza il colore nero del moncone in titanio. Per questo motivo si è optato per il posizionamento di due monconi in zirconio (Alpha-Bio Tec, Israele) e due corone in disilicato di litio, idonei al raggiungimento di un risultato estetico ottimale (Figg. 16a-19b).
Conclusioni
Le linee guida per l’ottenimento e il mantenimento dell’estetica nel lungo termine trovano oramai un’ampia descrizione in letteratura.
La difficoltà oggettiva topica è rappresentata dalle caratteristiche anatomiche del paziente, ad esempio un biotipo gengivale sottile.
Tuttavia, sia per il fastidio legato alla terapia, sia per il conseguente aumento dei costi e dei tempi di riabilitazione, l’odontoiatra incontra spesso difficoltà nel far accettare ai pazienti stessi tutte quelle terapie che prevedano interventi chirurgici multipli (ad esempio innesti connettivali, GBR, estrusioni ortodontiche9-10).
In queste situazioni, e più in generale nei casi dove il risultato estetico è prioritario, l’utilizzo di strutture metal-free semplifica sicuramente il raggiungimento dell’obiettivo.
Garantendo la stessa biocompatibilità tissutale dei monconi in titanio, grazie al fatto che i fenomeni che coinvolgono la trasmissione della luce interessano non più una struttura metallica con un basso valore bensì una struttura bianca con un alto valore simile al dente naturale, essi consentono di ridurre drasticamente i difetti estetici mal tollerati dai pazienti.
I monconi in zirconio11 offerti oggi dal mercato, siano essi preformati oppure realizzati tramite i più moderni sistemi CAD, risultano pertanto oggettivamente preferibili rispetto ai tradizionali monconi in titanio (scelta elettiva in zona estetica centrale, con cautela in zona distale al canino)
Bibliografia
1. Hämmerle CH. Success and failure of fixed bridgework. Periodontol 2000. 1994 Feb;4:41-51.
2. Araújo MG, Lindhe J. Dimensional ridge alterations following tooth extraction. An experimental study in the dog. J Clin Periodontol. 2005 Feb;32(2):212-8.
3. Elian N, Bloom M, Dard M, Cho SC, Trushkowsky RD, Tarnow D. Effect of interimplant distance (2 and 3 mm) on the height of interimplant bone crest: a histomorphometric evaluation. J Periodontol. 2011 Dec;82(12):1749-56.
4. Stern, N., & Hirshfeld, Z. (1973). Principles of preparing endodontically treated teeth for dowel and core restorations. The Journal of Prosthetic Dentistry, 30 (2), 162–165.
5. Elian N, Cho SC, Froum S, Smith RB, Tarnow DP. A simplified socket classification and repair technique.Pract Proced Aesthet Dent. 2007 Mar;19(2):99-104.
6. Stacchi C, Vercellotti T, Torelli L, Furlan F, Di Lenarda R. Changes in implant stability using different site preparation techniques: twist drills versus piezosurgery. A single-blinded, randomized, controlled clinical trial. Clin Implant Dent Relat Res. 2013 Apr;15(2):188-97.
7. Greenstein G, Cavallaro J, Greenstein B, Tarnow D. Treatment planning implant dentistry with a 2-mm twist drill. Compend Contin Educ Dent. 2010 Mar;31(2):126-8, 130, 132.
8. Sakka S, Baroudi K, Nassani MZ. Factors associated with early and late failure of dental implants. J Investig Clin Dent. 2012 Nov;3(4):258-61.
9. Rasner SL. Orthodontic extrusion: an adjunct to implant treatment. Dent Today. 2011 Mar;30(3):104, 106, 108-9.
10. Brindis MA, Block MS. Orthodontic tooth extrusion to enhance soft tissue implant esthetics. J Oral Maxillofac Surg. 2009 Nov;67(11 Suppl):49-59.
11. Gomes A, Montero. Zirconia implant abutments: a review. Med Oral Patol Chir Bucal 2011; 16(1): 50-55.
L'articolo è stato pubblicato sul numero 1 di Implants Italy 2014
L’implantologia osteointegrata è diventata oggi la tecnica elettiva per la sostituzione dei denti mancanti o dei pilastri naturali non ...
ANDI Catanzaro ha organizzato il 7 marzo il corso di aggiornamento “Odontoiatria in rosa per il sociale”, giornata che ha riassunto due temi ...
L’osso umano omologo, distribuito dalle Banche del Tessuto italiano, ha negli ultimi anni incontrato sempre di più il favore dei dentisti italiani, ...
L’integrazione delle protesi supportate da impianti con i tessuti duri e molli ne misura il successo in termini di funzione, salute ed estetica1.
Londra, UK: mentre l’odontoiatria diventa sempre più tecnologicamente avanzata, continua a crescere l’importanza di avere un paziente informato. Con ...
SILVER SPRING (USA) - La Food and Drug Administration (FDA) ha emesso una norma, entrata in vigore il 18 gennaio, per vietare l'uso della maggior parte dei ...
HONG KONG, CINA: La sindrome delle apnee ostruttive del sonno (Obstructive Sleep Apnoea Syndrome – OSAS) può produrre ipopnea o apnea durante il sonno. ...
MILANO, Italia: Straumann ha sviluppato un nuovo e più resistente materiale metallico con proprietà superiori di osteointegrazione: ...
Il 23 novembre 2024, Milano si trasformerà nel centro dell’innovazione odontoiatrica ospitando il CLEARFIL DAY che si terrà nella prestigiosa cornice ...
Il 23 novembre 2024, Milano si trasformerà nel centro dell’innovazione odontoiatrica ospitando il CLEARFIL DAY che si terrà nella prestigiosa cornice ...
Live webinar
mar. 17 marzo 2026
18:00 (CET) Rome
Prof. Dr. Nadine Schlüter
Live webinar
mar. 17 marzo 2026
18:00 (CET) Rome
Dr. Giuseppe Luongo MD, DDS, Dr. Fabrizia Luongo DMD, MS, Dr. Robert Gottlander DDS
Live webinar
gio. 19 marzo 2026
0:00 (CET) Rome
Live webinar
gio. 19 marzo 2026
18:00 (CET) Rome
Live webinar
ven. 20 marzo 2026
10:00 (CET) Rome
Mr. Andrew Terry Cert.DT. GradDipDH. Med, Cat Edney
Live webinar
lun. 23 marzo 2026
14:30 (CET) Rome
Prof. Gianluca Gambarini MD, DDS
Live webinar
mar. 24 marzo 2026
18:00 (CET) Rome
To post a reply please login or register