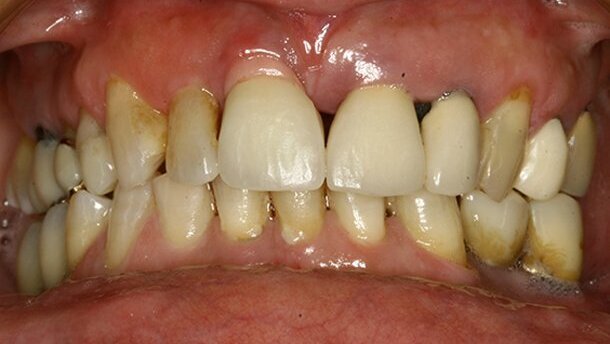
L’implantologia osteointegrata è diventata oggi la tecnica elettiva per la sostituzione dei denti mancanti o dei pilastri naturali non più recuperabili1. Appurato questo dato, la sfida attuale dell’implantologo è la ricerca di un risultato estetico ottimale, particolarmente impegnativa nei casi di implantologia in siti post-estrattivi, soprattutto in zona frontale.
Lindhe e Araujo hanno dimostrato che i cambiamenti che l’osso subisce dopo un’estrazione, a seguito della perdita di vascolarizzazione del legamento parodontale, sono per lo più a carico della corticale vestibolare, che va incontro a un maggior riassorbimento rispetto alla porzione palatina2. Come emerge dagli studi di Tarnow e collaboratori, per conseguire una migliore estetica è necessario che la distanza interimplantare sia di almeno 3 mm, al fine di rendere possibile l’ottenimento di una papilla interdentale stabile nel tempo3.
Nella pratica clinica non sempre però queste linee guida sono di facile applicazione, spesso anche a causa di un biotipo gengivale sottile, che difficilmente consente di nascondere le strutture protesiche tradizionali.
Nei casi in cui l’esigenza estetica è predominante si rende quindi indispensabile l’utilizzo di strutture metal-free, dotate di una translucenza simile a quella del dente naturale, garantendo un adeguato mimetismo estetico.
Leggi l'articolo completo nella sezione CLINICAL.
L’implantologia osteointegrata è diventata oggi la tecnica elettiva per la sostituzione dei denti mancanti o dei pilastri naturali non ...
ANDI Catanzaro ha organizzato il 7 marzo il corso di aggiornamento “Odontoiatria in rosa per il sociale”, giornata che ha riassunto due temi ...
L’osso umano omologo, distribuito dalle Banche del Tessuto italiano, ha negli ultimi anni incontrato sempre di più il favore dei dentisti italiani, ...
L’integrazione delle protesi supportate da impianti con i tessuti duri e molli ne misura il successo in termini di funzione, salute ed estetica1.
Londra, UK: mentre l’odontoiatria diventa sempre più tecnologicamente avanzata, continua a crescere l’importanza di avere un paziente informato. Con ...
SILVER SPRING (USA) - La Food and Drug Administration (FDA) ha emesso una norma, entrata in vigore il 18 gennaio, per vietare l'uso della maggior parte dei ...
HONG KONG, CINA: La sindrome delle apnee ostruttive del sonno (Obstructive Sleep Apnoea Syndrome – OSAS) può produrre ipopnea o apnea durante il sonno. ...
MILANO, Italia: Straumann ha sviluppato un nuovo e più resistente materiale metallico con proprietà superiori di osteointegrazione: ...
Il 23 novembre 2024, Milano si trasformerà nel centro dell’innovazione odontoiatrica ospitando il CLEARFIL DAY che si terrà nella prestigiosa cornice ...
Il 23 novembre 2024, Milano si trasformerà nel centro dell’innovazione odontoiatrica ospitando il CLEARFIL DAY che si terrà nella prestigiosa cornice ...
Live webinar
mar. 17 marzo 2026
18:00 (CET) Rome
Prof. Dr. Nadine Schlüter
Live webinar
mar. 17 marzo 2026
18:00 (CET) Rome
Dr. Giuseppe Luongo MD, DDS, Dr. Fabrizia Luongo DMD, MS, Dr. Robert Gottlander DDS
Live webinar
gio. 19 marzo 2026
0:00 (CET) Rome
Live webinar
gio. 19 marzo 2026
18:00 (CET) Rome
Live webinar
ven. 20 marzo 2026
10:00 (CET) Rome
Mr. Andrew Terry Cert.DT. GradDipDH. Med, Cat Edney
Live webinar
lun. 23 marzo 2026
14:30 (CET) Rome
Prof. Gianluca Gambarini MD, DDS
Live webinar
mar. 24 marzo 2026
18:00 (CET) Rome
To post a reply please login or register