Luca Levrini – presidente del Corso di Laurea in Igiene Dentale presso l'Università degli Studi dell'Insubria (Varese e Como)e direttore del Corso di perfezionamento di dismissione da fumo di sigaretta presso lo stesso ateneo – chiarisce alcuni aspetti legati al recente e dilagante fenomeno della sigaretta elettronica
In una occasione lei ha affermato che i medici con il fenomeno delle sigarette elettroniche hanno perso una grande occasione. Che cosa intendeva dire?
Analizzando gli impressionanti dati di vendita, la diffusione dei negozi di e-cigarette, aperti magari da personaggi famosi, ci si rende conto che qualcuno ci ha anticipato, avendo compreso la necessità di proporre strumenti che andassero incontro alle esigenze della gente. Il fenomeno dimostra che milioni di italiani desiderano smettere di fumare e aspettano solo che qualcuno li orienti verso una corretta dismissione. Oltre la metà dei fumatori desidera smettere e sono tutte persone pronte a ricevere un aiuto. Abbiamo spesso sottolineato la nostra miopia nei confronti del paziente-fumatore, la nostra scarsa attitudine nel considerare il fumo una malattia da combattere per il bene complessivo del paziente. Oggi, quando vedo qualcuno che fuma una e-cigarette, che poteva essere aiutato in modo diverso, mi viene spontaneo chiedermi: e noi dove eravamo? Non critico a priori il fenomeno, anzi lo ritengo importante, anche e solo perché se ne parla. Un fenomeno positivo che spinge il fumatore a utilizzare strumenti di dismissione.
Da quanto tempo (e come) lei segue le problematiche del fumo?
Il nostro corso, svolto in collaborazione con l'Istituto dei Tumori di Milano e aperto a tutti le componenti sanitarie e nasce in collaborazione con l’Istituto dei Tumori di Milano, è in vigore ormai da 5 anni. Nostro obiettivo è formare operatori sanitari che, indipendentemente dalle loro competenze e specialità, portino i loro pazienti a smettere di fumare. Durante il corso di quest’anno dovremo necessariamente occuparci anche delle sigarette elettroniche e della loro gestione: molti pazienti infatti iniziano a chiedere informazioni sul loro utilizzo, efficacia o danni. Ho lavorato agli strumenti da utilizzare per fare fronte a questo dilagante problema; per esempio la nostra Clinica odontoiatrica è no smoking, nel senso che tutti i pazienti vengono sollecitati (e con discreto successo) a smettere di fumare. Quest'anno dovremo necessariamente occuparci anche delle sigarette elettroniche e della loro gestione, perchè molti pazienti iniziano a chiedere informazioni sull'utilizzo, efficacia e i danni.
Stiamo lavorando agli strumenti da utilizzare per far fronte a questo dilagante problema.
La sigaretta elettronica è indubbiamente di moda. Secondo lei, perché?
Rappresenta un modello estetico da seguire. Siamo soliti ritenere l’estetica come “il bello”. In realtà è un complesso di fattori che si riassume in un modello più complesso. Il bello oggi non è solo “patinato” (quello offerto dai media), ma anche la salute (mangiare bene, andare in palestra), l’efficienza (deve funzionare) e soprattutto la tecnologia (tablet, computer, televisori). Le e-sigarette riassumono e soddisfano questa esigenza. Sono uno strumento per eccellenza “estetico”. Hanno fornito lo stimolo che manca a molti tra coloro che desiderano smettere di fumare.
Conosce i dati relativi al fenomeno?
Le proiezioni indicano in un milione gli “svampatori” (consumatori di sigarette elettroniche) presenti in Italia entro la fine dell’anno, cui si associa un mercato di circa 150 milioni di euro con quasi mille negozi, per un totale di circa 10 milioni. La legge Sirchia in 10 anni ha indotto una riduzione del 7%, mentre si calcola che il fenomeno delle e-cigaratte coinvolgerà il dieci per cento dei fumatori! Il mercato delle e-cigarette ha anche un alto valore economico. Interessa gli attori coinvolti nel mondo del tabacco, a riprova che, drammaticamente, il fumo spesso non è problema di salute, ma piuttosto economico. L’introduzione delle e-cigarette è recente. Quindi mancando evidenze scientifiche l’OMS dice che non è possibile stabilirne efficacia, danni e uso corretto. A parte i danni fisici, potrebbe portare a comportamenti dannosi in particolare sui giovani, quindi il Ministero ne ha limitato l’uso ai maggiorenni. Dal momento che l’e-cigarette è stata bandita in alcuni Paesi, i trafficanti di merce contraffatta hanno già iniziato la distribuzione in mercati illeciti. Anche per questi motivi mi sento di proporre ancora sistemi classici di dismissione, ovvero lavorare sulla la motivazione e con i sostituti nicotinici. Attendo ulteriori dati per suggerire le sigarette elettroniche e magari avvalermi di esse.
Ci illustri come favorite la dismissione.
A prescindere dal fenomeno, ritengo importate ricordare che il nostro compito consiste non solo nel fare smettere ma anche nel non fare iniziare. Si pensi solamente che quasi il 70% dei fumatori inizia a fumare prima dei 17 anni. Tutti i nostri pazienti fumatori vengono sollecitati a recarsi presso un centro antifumo. Oppure interveniamo direttamente con “minimal advise” e prescrivendo sostituti nicotinici dosati secondo il grado di dipendenza (Test di Fagerstorm). Un intervento quindi su due livelli: il primo che motiva sollecitando la coscienza, il secondo che lavora sulla dipendenza. Impartante enfatizzare costantemente che la cessazione non solo riduce il rischio di carcinoma al polmone, ma determina benefici rapidi e percepibili immediatamente: un battito cardiaco regolare, corretta temperatura di mani e piedi, incremento delle perfomance fisiche e miglioramento della funzione polmonare.
L'articolo è stato pubblicato sul Dental Tribune 5 del 2013 (maggio).
TOKYO. La patina linguale e l’insufficiente igiene orale, come l’irregolare raschiatura della lingua, sono tra le ragioni principali ...
Creato un dente biotecnologico completo da cellule staminali
Nell’ambito dell’informatica e della medicina a distanza (telemedicina) scopriamo che all’Università di Palermo c’è ...
Torna per tutto il mese di marzo 2014, per la XIV edizione, il Mese della Salute Orale. Dopo il successo dello scorso anno che ha visto più di 9.200 ...
Valentina Borgia, laureata con lode in Odontoiatria e Protesi dentaria conseguita presso l’Università degli Studi di Siena, negli ultimi due ...
Il Ministero della Salute ha risposto ai quesiti che la Direzione Generale delle Professioni Sanitarie e delle Risorse Umane del Servizio Sanitario ...
Il consiglio (che di solito si sente e si mette in pratica) di non guardare semplicemente quanto il medico fa l’iniezione, viene confermato da una ...
«Oltre 600 laureati in odontoiatria italiani provenienti da paesi dell’Unione Europea o da corsi di laurea extra Ue “parificati” si ...
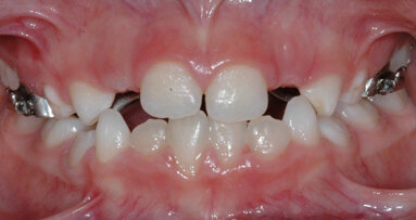
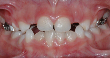
L’ipoplasia trasversale del mascellare superiore è una delle anomalie di interesse ortognatodontico più frequenti da osservare, spesso ...
L’ipoplasia trasversale del mascellare superiore è una delle anomalie di interesse ortognatodontico più frequenti da osservare, spesso ...
Live webinar
gio. 7 maggio 2026
2:00 (CET) Rome
Ms. Ellen Karlin, Dr. Sara Karlin
Live webinar
gio. 7 maggio 2026
17:00 (CET) Rome
Live webinar
gio. 7 maggio 2026
18:00 (CET) Rome
Live webinar
gio. 7 maggio 2026
18:00 (CET) Rome
Dra. Maria Carolina Erhardt, Dra. Thais Tomé Feldens
Live webinar
gio. 7 maggio 2026
20:30 (CET) Rome
Live webinar
lun. 11 maggio 2026
18:00 (CET) Rome
Live webinar
lun. 11 maggio 2026
19:00 (CET) Rome
To post a reply please login or register