Search Dental Tribune

Problemi trasversali: espansione rapida oppure lenta del mascellare?

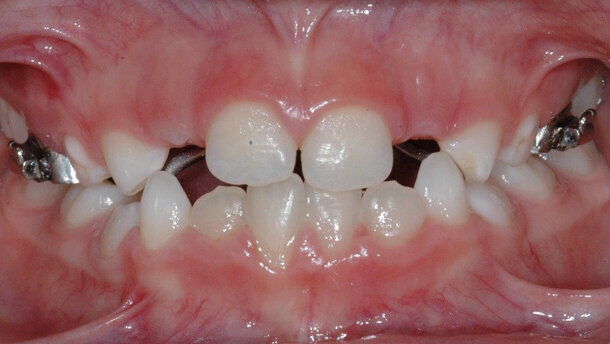
Vista frontale di inizio caso.
Chardey Elia Kodjo

Chardey Elia Kodjo

ven. 4 aprile 2014

salvare

L’ipoplasia trasversale del mascellare superiore è una delle anomalie di interesse ortognatodontico più frequenti da osservare, spesso associata al morso crociato posteriore mono o bilaterale e/o all’affollamento dentario a livello della stessa arcata mascellare superiore (Harvold et al., 1972; Bishara and Staley, 1987). Questa tipologia di malocclusione è frequente in particolare in dentizione decidua e mista precoce: studi precedenti ci suggeriscono che essa coinvolge l’8-20% dei pazienti in età infantile1.

Le determinanti eziologiche delle discrepanze buccolinguali possono essere genetiche o ambientali. Harvold e collaboratori (1972) asserirono che la ristrettezza dell’arcata mascellare superiore era generalmente legata ad abitudini viziate del soggetto.

Nell’eziologia del deficit trasverso del mascellare superiore, il fattore ereditario ha un ruolo di primaria importanza. A questo vanno aggiunti fattori estrinseci, quali abitudini viziate, respirazione orale, deglutizione atipica, deviazioni del setto. L’insieme di questi fattori determina l’instaurarsi di una disgnazia che si manifesta clinicamente con una riduzione del diametro trasversale del mascellare superiore spesso associata a un crossbite mono o bilaterale.

L’attuale trend in ortodonzia è orientato verso i principi dell’ortopedia dento-facciale e verso le modalità di trattamento non estrattive. I dispositivi ortodontici che permettono l’espansione mascellare sono in grado di aumentare il perimetro disponibile di arcata e questo risulta in una correzione del morso crociato posteriore (Adkins et al., 1990): l’obiettivo del trattamento di espansione mascellare è quello di ottenere un effetto minimo a livello dentale e massimo a livello scheletrico (Haas, 1961).

Sono diversi i quadri disgnatici che, essendo caratterizzati da un deficit trasversale del mascellare superiore, possono trarre beneficio da un trattamento intercettivo di espansione ortopedica. In particolare, è indicato in caso di3:

  • crossbite mono o bilaterale;
  • discrepanza dento-basale dell’arcata superiore;
  • malocclusioni di II classe in cui l’espansione trasversale dell’arcata superiore permette un riposizionamento anteriore mandibolare;
  • correzione spontanea delle deviazioni posturali della mandibola (asimmetrie posturali e pseudo III classi);
  • malocclusioni di III classe, sostenute da iposviluppo del mascellare superiore, in cui l’espansione del palato è associata alla protrazione ortopedica del mascellare mediante maschera facciale;
  • correzione dell’affollamento degli incisivi superiori (prima dell’eruzione degli incisivi laterali);
  • miglioramento spontaneo dell’indice di irregolarità degli incisivi permanenti superiori affollati.

Inoltre, è stato dimostrato che beneficiano di un trattamento intercettivo di espansione del palato tutti quei pazienti che manifestano respirazione orale, in quanto l’espansione del mascellare (soprattutto quella rapida) ha delle ripercussioni anche sulla funzione respiratoria attraverso la diminuzione delle resistenze lungo le vie aeree nasali e il ripristino di un pattern fisiologico di respirazione nasale (Caprioglio A. et al., 2014).

Espansione mascellare rapida (RME) vs. espansione mascellare lenta (SME)
In letteratura sono indicate tre tipologie di protocollo per ottenere l’espansione maxillare nei pazienti in crescita: espansione mascellare rapida (RME), espansione mascellare lenta (SME) ed espansione mascellare semi-rapida. Quest’ultima e i suoi risultati hanno generato un minore interesse in campo ortodontico rispetto ai primi due, che sono stati studiati e analizzati con maggiore frequenza2. Nonostante il vastissimo consenso sull’opportunità di correggere precocemente i morsi incrociati posteriori, la controversia su quale sia l’approccio terapeutico ottimale e il timing ideale, è ancora accesa. Esistono infatti molte opinioni, talvolta confuse e contrastanti tra loro. L’introduzione del concetto di espansione mascellare rapida ha avuto un importante impatto sulla capacità del clinico di trattare le discrepanze trasversali. In teoria, la RME applica forze dirette sui denti posteriori senza dare tempo a sufficienza per lo sviluppo di movimenti dentali collaterali, in modo tale che la forza applicata sia trasferita alla sutura palatina, il tutto risultante in una maggiore apertura della sutura che un’espansione dentale. Con l’utilizzo di forze maggiori, gli obiettivi del trattamento includono la massimizzazione dell’espansione ortopedica e la minimizzazione di quella dentale, dal momento che quest’ultima è determinata da un movimento di tipping in senso buccale e quindi tendente alla recidiva1. Al contrario, l’espansione mascellare lenta si avvale dell’utilizzo di forze più leggere e il tempo per il raggiungimento della stessa quota di espansione è nell’ordine dei mesi invece che di settimane. Tuttavia è altresì vero che alcuni esperimenti su animali hanno mostrato come la SME permetta adattamenti alla separazione suturale più fisiologici con un potenziale di recidiva inferiore. Il principio biologico alla base di questa strategia terapeutica è che la resistenza principale da vincere per ottenere l’apertura della sutura medio-palatina non sia rappresentata dalla sutura stessa ma dai tessuti circostanti quali le strutture circummaxillari e le suture del terzo medio facciale2.

embedImagecenter("Imagecenter_2_1142",1142,"small");

Ma quale delle due strategie terapeutiche risulta la più efficace?
I vantaggi e gli svantaggi di ciascun protocollo sono stati analizzati per molti anni, tuttavia l’argomento rimane ancora controverso e non del tutto chiaro, dal momento che differenti dispositivi e metodologie interferiscono con le comparazioni.

Nonostante la disputa ancora in atto, la letteratura scientifica è concorde nell’affermare che entrambi i protocolli terapeutici garantiscono l’espansione mascellare, sebbene l’espansione lenta sembri essere correlata a effetti più fisiologici sui tessuti suturali, un maggiore movimento dentale, e minori effetti ortopedici se comparati a quelli dell’espansione rapida. Inoltre, sia la RME sia la SME causano una flessione laterale del processo alveolare e un dislocamento buccale dei denti che fungono da ancoraggio (con gradi di inclinazione variabili).

Il dislocamento degli elementi dentali al di fuori dei limiti alveolari anatomici può danneggiare il parodonto compromettendo la longevità del dente2. Entrambe le modalità di espansione producono un aumento del diametro trasverso a livello molare, valutabile nei tre piani dello spazio. Pertanto, mancando una buona evidenza scientifica, la scelta tra un’espansione mascellare rapida piuttosto di un’espansione mascellare lenta si deve basare in primo luogo su una corretta diagnosi e una corretta progettazione del trattamento. La programmazione terapeutica per la risoluzione di un deficit trasversale dovrà inoltre tener conto dei vari momenti eziologici, dell’entità della discrepanza tra mascellare superiore e mandibola e dei diametri trasversi delle strutture dento-scheletriche1.

Botta e risposta: la gestione del trattamento del deficit trasversale nel soggetto in crescita
Qual è il timing ideale per iniziare il trattamento?
Nella risoluzione del deficit trasversale il timing di intervento rappresenta uno degli aspetti fondamentali dello stesso e sicuramente uno degli aspetti in grado di garantire il raggiungimento di un risultato ottimale.
Il momento migliore per espandere l’arcata superiore è durante l’eruzione degli incisivi laterali superiori3. Espansione massimamente efficace poiché crea lo spazio adeguato nel preciso momento in cui lo spazio serve3. Se possibile e se si ha la possibilità di monitorare il paziente, è preferibile cominciare l’espansione appena prima che i sesti tocchino in occlusione, così da permettere loro di espandersi senza interferenze occlusali e di intercuspidare correttamente sin dal primo contatto specifico (in molti pazienti questo momento coincide proprio con l’eruzione dei laterali superiori permanenti).

In accordo con quanto visto prima, espandere in dentizione mista con un disgiuntore rapido ancorato ai denti decidui (come proposto da Rosa e collaboratori dal 1994) rappresenta un metodo ottimale?
Sì, l’utilizzo di un RPE ancorato ai secondi molari decidui e ai canini decidui rappresenta una procedura ottimale, specie se applicata con il timing corretto. Si tratta di un’apparecchiatura semplice da usare e l’utilizzo della vite consente un ottimo controllo della necessità di espansione. La vite può essere attivata “rapidamente” o “lentamente”, in modo continuo o intermittente, a seconda delle necessità. Un disgiuntore così progettato consente inoltre la prevenzione assoluta del compenso dento-alveolare, intesa come inclinazione vestibolare dei primi molari permanenti, in quanto non si agisce direttamente su di essi, e questo si riflette in una maggior preservazione dei tessuti parodontali e in una significativa riduzione del rischio di recidiva. Il non coinvolgimento di elementi permanenti nell’ancoraggio elimina il rischio di danni iatrogeni3.

In generale, i primi molari permanenti, liberi da vincoli con l’apparecchiatura, possono intercuspidarsi in modo ottimale nelle settimane successive alla fase attiva dell’espansione, garantendo da un lato una efficiente funzione masticatoria e dall’altro la stabilità della correzione ottenuta (senza che sia necessaria una contenzione).

Nota bene: l’espansione rapida del palato ancorata in dentatura mista esclusivamente ai canini e ai secondi molari decidui produce anche una contemporanea e prevedibile autoespansione dell’arcata inferiore (Adkins et al., 1990) soprattutto nei casi senza crossbite posteriore, ma è limitata a 2-3 mm e clinicamente poco rilevante.

Qual è il momento migliore per togliere l’apparecchio?
Il nostro timore peggiore nel momento in cui rimuoviamo un disgiuntore a correzione ottenuta ha un nome ben preciso: recidiva. È per questo che anche il timing di rimozione di un espansore è fondamentale. Se l’espansione viene eseguita su denti decidui, dopo la fase attiva e il bloccaggio della vite, l’espansore deve essere lasciato in situ, come se fungesse da contenzione passiva, almeno per 10 mesi fino ad anche 2 anni, allo scopo di contrastare la recidiva dell’osso basale3 (Krebs A., 1964). Se l’espansione viene eseguita sui molari permanenti, il disgiuntore può essere mantenuto per 6-8 mesi3. Il razionale che sta alla base di queste considerazioni è dato dalla dimostrazione della necessità di attendere la completa eruzione degli incisivi laterali poiché, subito dopo la rimozione dell’apparecchiatura, i canini decidui recidivano significativamente e possono ostacolare gli incisivi laterali durante il loro percorso eruttivo, costringendoli a ruotarsi o a inclinarsi fuori dalla cresta alveolare3.

Bibliografia
1. Martina R, Cioffi I, Farella M, Leone P, Manzo P, Matarese G, Portelli M, Nucera R, Cordasco G. Transverse changes determined by rapid and slow maxillary expansion – a low-dose CT-based randomized controlled trial. Orthod Craniofac Res 2012; 15:159-168.
2. Huynh T, Kennedy DB, Joondeph DR, Bollen AM. Treatment response and stability of slow maxillary expansion using Haas, hyrax and quad-helix appliances: a retrospective study. AJODO 2009; 136(3):331-339.
3. Rosa M. Maxillary expansion in mixed dentition without compliance and without touching permanent teeth: indications and timing. Ortognatodonzia Italiana 2006; 13:1.

L'articolo  stato pubblicato sul numero 1 di Ortho Tribune Italy 2014

To post a reply please login or register
advertisement