Le perforazioni sono comunicazioni iatrogene tra il sistema dei canali radicolari e l’apparato di sostegno del dente. Il clinico deve stare particolarmente attento per evitare di commettere tale danno nel corso della terapia endodontica, in quanto la perforazione richiede un trattamento addizionale non richiesto.
Se è stata eseguita una perforazione, il dente non necessariamente richiede la chirurgia, o l’estrazione, o il reimpianto intenzionale. Infatti, può essere trattato con successo per via ortograda e continuare così a funzionare in arcata come se la perforazione non fosse mai stata eseguita. Oggi non c’è alcun motivo per pensare che il dente possa essere perduto prematuramente a causa di questa spiacevole complicazione1.
Nel parodonto circostante la sede della perforazione s’instaura una reazione infiammatoria, dovuta sia al trauma meccanico, sia all’introduzione di sostanze di derivazione batterica che inevitabilmente si accompagnano alla perforazione stessa. La perforazione crea una porta di uscita “addizionale” nel sistema dei canali radicolari che richiede di essere sigillata prima possibile, perché una compromissione parodontale insorgente dalla perforazione può col tempo diventare irreversibile e compromettere seriamente la prognosi.
La terapia della perforazione richiede spesso un approccio multi-disciplinare, allo scopo di stabilire il più corretto piano di trattamento. Si deve cioè decidere se è il caso di estrarre il dente o rivolgere i nostri sforzi al ritrattamento ortogrado o chirurgico o a entrambi. Quando si valuta un dente che ha subito una perforazione, si devono considerare quattro variabili: il livello, la sede, le dimensioni e la forma e infine il tempo2.
- Livello. Le perforazioni possono essere state eseguite a livello del terzo coronale, medio o apicale del dente. La prognosi delle perforazioni radicolari del terzo apicale e del terzo medio è sicuramente migliore rispetto alle perforazioni del terzo coronale o del pavimento della camera pulpare di un pluriradicolato3-8.
- Sede. Le perforazioni possono essere sul lato vestibolare, linguale, mesiale o distale della superficie radicolare. Questo ha importanza nel caso si prenda in considerazione l’approccio chirurgico, mentre non ha importanza nel caso del ritrattamento ortogrado.
Forma e dimensioni. L’ottenimento di un buon sigillo dipende innanzitutto dalle dimensioni e dalla forma della perforazione. Più grande è la fresa che esegue la perforazione, maggiore sarà l’area da sigillare. Inoltre, le perforazioni laterali non sono mai rotonde, ma hanno una forma ellittica, in quanto la fresa incontra la parete canalare con un angolo di 45°. Inoltre, la cavità della perforazione non ha conicità, e questo rende più difficile l’ottenimento di un buon sigillo senza disturbare i tessuti parodontali circostanti.
- Tempo. Come è già stato detto, le perforazioni creano una reazione infiammatoria nei tessuti circostanti e di conseguenza una perdita di attacco. Pertanto, per impedire un’ulteriore perdita di attacco e di supporto parodontale, le perforazioni devono essere sigillate prima possibile, possibilmente nel corso dello stesso appuntamento in cui si sono verificate.
Oltre alle perforazioni iatrogene, si possono trovare anche le perforazioni spontanee o patologiche dovute a carie o a riassorbimenti interni o esterni.
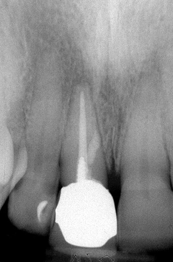
Perforazioni del terzo apicale
Queste perforazioni possono avvenire nel corso della strumentazione di canali curvi, per l’esecuzione del cosiddetto “trasporto esterno” del forame apicale. Una volta eseguita la perforazione, se l’operatore riesce a ritrovare e preparare il canale originale (con l’utilizzo di strumenti sottili e precurvati, molta irrigazione e soprattutto molta pazienza), il danno provocato dalla perforazione sarà minimo in quanto, soprattutto se la perforazione è piccola, si comporterà come un piccolo canale laterale che sarà facilmente otturato. Se invece il canale originale è rimasto intasato dai detriti di fango dentinale e gli strumenti ogni volta ripercorrono il cammino della perforazione, in tale caso il canale deve essere otturato con le metodiche tradizionali e successivamente l’apice contenente la porzione non trattata del canale radicolare deve essere rimosso per via chirurgica, soprattutto se stiamo trattando un dente necrotico o se siamo di fronte ad un ritrattamento (Figg. 1a-1e).
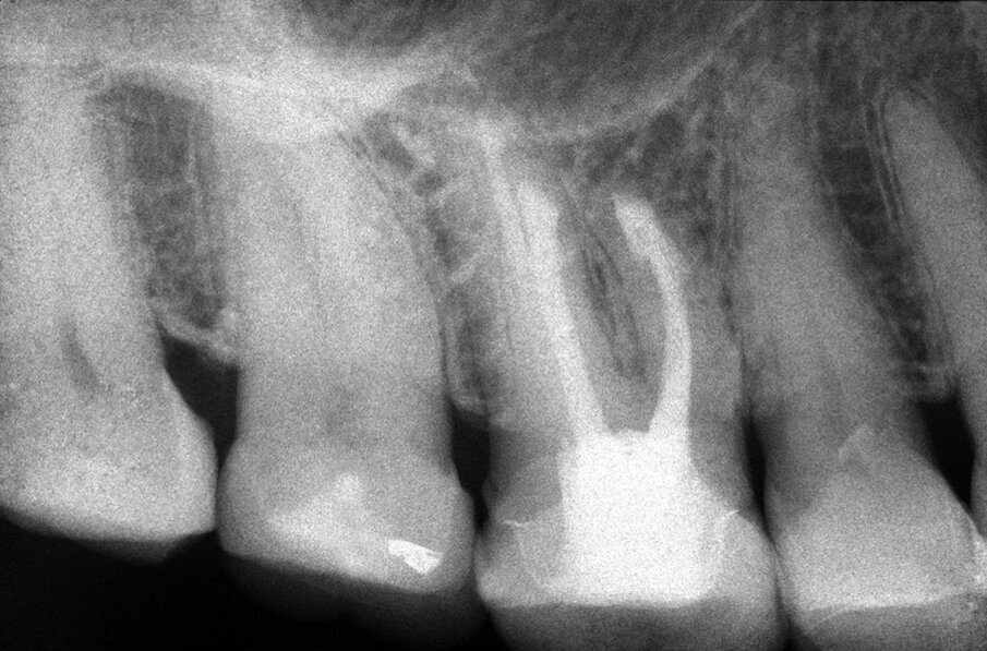
Perforazioni del terzo medio
Le perforazioni del terzo medio avvengono nella maggior parte dei casi durante la preparazione della cavità d’accesso o, più spesso, durante le fasi di detersione e sagomatura o infine durante la preparazione dello spazio per un perno con l’utilizzo di frese tipo Largo, Peeso, Gates Glidden o simili (Figg. 2a-2f).
Perforazioni del terzo coronale e delle biforcazioni
Tali perforazioni sono piuttosto frequenti a livello degli incisivi superiori, dove l’errore che più spesso viene commesso è rappresentato dall’utilizzo della fresa con eccessiva angolazione vestibolare. Perforazioni del terzo coronale possono anche accadere sul pavimento dei molari quando gli orifizi canalari vengono cercati in posti sbagliati. Tipiche sono le perforazioni nei molari superiori o inferiori, che avvengono per lo sfondamento del pavimento della camera pulpare (Figg. 3a-3i). Come conseguenza del trauma meccanico, si ha una rapida distruzione del legamento parodontale. L’osso alveolare immediatamente adiacente alla perforazione si riassorbe con conseguente perdita verticale di osso. Il processo infiammatorio quindi si estende coronalmente lungo le fibre del legamento parodontale, con distruzione del legamento, dell’osso alveolare e delle fibre gengivali sopracrestali. Come conseguenza di ciò, si ha la migrazione apicale dell’attacco epiteliale e le formazione di un grave difetto parodontale9.
Prognosi
La prognosi delle perforazioni dipende da molti fattori, tra cui il loro livello (terzo coronale, medio o apicale), la loro sede (vestibolare, linguale, mesiale o distale), la forma e le dimensioni (piccola o grande) e infine il tempo trascorso tra l’esecuzione della perforazione e la sua riparazione. Inoltre la prognosi dipende dal materiale usato per la riparazione del difetto, dalla presenza o meno dell’infezione batterica e infine dalla presenza o meno di fuoriuscita del materiale utilizzato.
- Livello. Come già accennato, la letteratura è concorde nell’affermare che le perforazioni del terzo coronale e del pavimento camerale hanno la prognosi più sfavorevole, a causa della loro vicinanza al solco gengivale5, 9-13. Se coronalmente al difetto rimane una buona quantità di tessuto connettivale ed osso, ci sono minori possibilità che si instauri un danno parodontale permanente e la guarigione è facilitata. Per questo motivo la prognosi è migliore se la perforazione avviene nel pavimento della camera pulpare di un molare dal tronco lungo (per tronco lungo si intende la distanza tra la giunzione cemento-dentinale e l’altezza della biforcazione).
- Sede. La sede della perforazione non ha importanza se la riparazione avviene per via ortograda. D’altra parte, diventa d’importanza fondamentale se viene scelto l’approccio chirurgico. Sarà cioè facile trattare chirurgicamente una perforazione vestibolare, mentre sarà ben più difficile se non impossibile trattare la stessa perforazione nelle altre sedi, mesiale, distale o palatina o linguale.
- Forma e dimensioni. Come già accennato in precedenza, una perforazione ampia, priva di conicità e con un’apertura ellittica rende la sua riparazione particolarmente difficoltosa, in quanto diventa difficile ottenere un buon sigillo senza un sovrariempimento. Per questo motivo, tali perforazioni richiedono più spesso un approccio chirurgico.
- Tempo. Le perforazioni danno luogo ad una reazione infiammatoria con conseguente perdita di attacco. Questo può portare allo sviluppo di una lesione combinata endo/parodontale che spesso richiede un intervento chirurgico con conseguente peggioramento della prognosi. Pertanto, l’intervallo di tempo tra l’esecuzione della perforazione e la sua riparazione deve essere il più breve possibile. Per questo motivo è caldamente raccomandato che questi difetti vengano otturati immediatamente13, nel corso dello stesso appuntamento nel quale la perforazione è stata eseguita. Questo serve a prevenire la contaminazione batterica e quindi lo svilupparsi della lesione delle strutture adiacenti (attacco epiteliale, legamento parodontale e osso). Inoltre, se queste strutture sono ancora intatte, possono agire da matrice e impedire grossolani sovrariempimenti al momento dell’otturazione.
Riparazione delle perforazioni mediante l’uso di MTA
La prognosi delle perforazioni è enormemente migliorata dopo l’introduzione dell’utilizzo del microscopio operatorio14 e del materiale biocompatibile MTA15, messo a punto da Torabinejad e coll.16 circa a metà degli anni ’90. Si tratta di un cemento endodontico estremamente biocompatibile, idrofilo e capace di stimolare processi di guarigione e osteogenesi17, 18. È una polvere di fini triossidi e altre particelle idrofile che induriscono in presenza di umidità. L’idratazione della polvere, infatti, dà luogo ad un gel colloidale che solidifica in una struttura dura in circa 3/4 ore. Tale cemento è diverso da tutti gli altri materiali usati per la sua biocompatibilità, per la sua attività antibatterica, per il suo adattamento marginale, per le sue capacità sigillanti ma soprattutto perché è idrofilo e quindi è resistente all’umidità.
Come già accennato prima, la caratteristica che contraddistingue l’MTA da tutti gli altri materiali usati per riparare le perforazioni iatrogene è rappresentata dal fatto che è idrofilo. I materiali usati per riparare le perforazioni, per sigillare la cavità retrograda in endodonzia chirurgica, per otturare gli apici immaturi o per proteggere il tessuto pulpare negli incappucciamenti pulpari diretti, sono tutti inevitabilmente in contatto col sangue o con altri fluidi tissutali. L’MTA è l’unico materiale che non è influenzato dall’umidità né dalla contaminazione da parte del sangue19. D’altra parte, l’MTA indurisce solamente a contatto con l’umido. Pertanto, per le suddette caratteristiche e soprattutto per la sua idrofilia, l’MTA può oggi essere considerato il materiale di elezione per sigillare le perforazioni iatrogene o patologiche20-23.
La sequenza operativa per sigillare una perforazione della radice o del pavimento di una camera pulpare è la seguente:
Prima visita
- Isolare il campo operatorio con la diga di gomma;
- Detergere la sede della perforazione con le comuni irrigazioni a base di ipoclorito di sodio e, se i margini della perforazione sono raggiungibili, con le punte da ultrasuoni;
- Nel caso di una contaminazione batterica, fare una medicazione con idrossido di calcio per una settimana;
- Applicare 2-3 mm di spessore di MTA;
- Controllare radiograficamente il corretto posizionamento del materiale;
- Applicare una piccola pallina di cotone bagnato a contatto con l’MTA;
- Posizionare il cemento provvisorio.
Seconda visita
- Isolare nuovamente il campo con la diga di gomma;
- Rimuovere il cemento provvisorio;
- Accertarsi dell’avvenuto indurimento dell’MTA;
- Completare la terapia.
Conclusioni
Le perforazioni sono comunicazioni iatrogene tra il sistema dei canali radicolari e l’apparato di sostegno del dente che creano una porta di uscita “addizionale” nel sistema dei canali radicolari che richiedono di essere sigillate prima possibile. Una compromissione parodontale, infatti, insorgente dalla perforazione può col tempo diventare irreversibile e compromettere seriamente la prognosi. Oggi, grazie all’ingrandimento fornito dal microscopio operatorio e ai materiali biocompatibili disponibili la prognosi delle perforazioni è notevolmente migliorata e le percentuali di successo a lungo termine sono altissime, tanto da giustificare ogni nostro sforzo per salvare i denti interessati anziché sostituirli con impianti.
Bibliografia
- Stromberg T., Hasselgran G., Bergstedt H.: Endodontic treatment of traumatic root perforations in man: a clinical and roentgenological follow-up study. Sven. Tandlak. Tidslcr. 65:457, 1972.
- Ruddle C.J.: Microendodontic nonsurgical retreatment. In Microscopes in Endodontics, Dental Clin. North Am. WE Saunders, Philadelphia, 41(3):429, July 1997.
- Abou-Rass, M., Frank, Al., Glick, D.H.: The anticurvature filing method to prepare the curved root canal. J. Am. Dent. Assoc. 101 (5): 793, 1980.
- Adamo H.L., Buruiana R., Schertzer L., Boylan R.J.: A comparison of MTA, SuperEBA, composite and amalgam as root-end filling materials using a bacterial microleakage model. Int. Endod. J. 32:197, 1999.
- Al-Hezaimi K., Naghshbandi J., Oglesby S., Simon J.S.H., Rotstein I.: Human saliva penetration of root canals obturated with two types of mineral trioxide aggregate cements. J. Endod. 31:453, 2005.
- Al-Hezaimi K., Al-Shalan T.A., Naghshbandi J., Oglesby S., Simon J.S.H., Rotstein I.: Antibacterial effect of two minerai trioxide aggregate (MTA) preparations against Enterococcus faecalis and Streptococcus sanguis in vitto. J. Endod. 32: 1053, 2006.
- Al-Kahtani A., Shostad S., Schifferle R., Bhambhani S.: In-vitro evaluation of microleakage of an ortograde apical plug of minerai trioxide aggregate in permanent teeth with simulated immature apices. J. Endod. 31:117, 2005.
- Andreasen Hjorting-Hansen E.: Intraalveolar root fractures: radiographic and histologic study of 50 cases. Oral Surg. 25:414, 1967.
- Jew Rc. K., Weine F.S., Keene J.J.Jr., Smulson M.H.: A histologic evaluation of periodontal tissues adiacent to root perforations filled with cavit. Oral Surg. 54:124, 1982.
- Eldeeb M.E., Eldeeb M., Tabibi, A., Jensen J.R: An evaluation of the use of amalgam, Cavit, and calcium hydroxide in the repair of fourcation perforations. J. Endod. 8:460, 1982.
- Himel Vt., Brady J.Jr., Weir J.Jr.: Evaluation of repair of mechanical perforations of the pulp chamber floor using biodegradable tricalcium phosphate or calcium hydroxide. J. Endod. 11:161, 1985.
- Martin L.R., Gilbert B., Dickerson A.W.: Management of endodontic perforations. Oral Surg. 54:668, 1982.
- Seltzer S., Sinai I., August D.: Periodontal effects of root perforations before and during endodontic procedures. J. Dent. Res. 49:333, 1970.
- Ruddle C.J.: Endodontic perforation repair: using the surgical operating microscope. Dentisizy Today, 13:48, 1994.
- Cantatore G., Castellucci A., Dell’Agnola A., Malagnino Va: Applicazioni cliniche dell’MTA. G. It. Endod. 16:29, 2002.
- Torabinejad M., Hong G.U., Mcdonald F., Pitt Ford T.R.: Physical and chemical properties of a new root- end filling material. J. Endod. 21:349, 1995.
- Sarkar N.K., Caicedo R., Ritwik P., Moiseyeva R., Kawashima I.: Physicochemical basis of the biologic properties of minerai trioxide aggregate. J. Endod. 31:97, 2005.
- Thomson T.S., Berry, Somerman M.J., Kirkwood K.L.: Cementoblasts maintain expression of osteocalcin in the presenceof Minerai Trioxide Aggregate. J. Endod, 29:407, 2003. Sarkar N.K., Caicedo R., Ritwik P., Moiseyeva R., Kawashima I.: Physicochemical basis of the biologic properties of mineral trioxide aggregate. J. Endod. 31:97, 2005.
- Torabinejad M., Riga R.K., Mckendry D.J., Pitt Ford T.R.: Dye leakage of four root-end filling materials: effects of blood contamination. J. Endod. 20:159, 1994.
- Bargholz C.: Perforation repair with mineral trioxide aggregate: a modified matrix concept. Int. Endod. J. 38:59, 2005.
- De-Deus G., Petruccelli V., Gurgel-Filho E., Coutinho-Filho T.: MTA versus Portland cement as repair material for turca’ perforations: a laboratory study using a polymicrobial leakage model. Int. Endod. J. 39:293, 2006.
- Main C., Mirzayan N., Shabahang S., Torabinejad M.: Repair of root perforations using Mineral Trioxide Aggregate: a long-tema study. J. Endod. 30:80, 2004.
- Yildirim T., Gencoglu N., Firat I., Perk C., Guzel O.: Histologic study of furcation perforations treated with MTA or SuperEBA in dogs’ teeth. Oral Surg. 100:120, 2005.
Tag:
La strumentazione parodontale non chirurgica è necessaria come trattamento iniziale, e come terapia di mantenimento, di qualsiasi patologia ...
La malattia parodontale è una patologia cronica che colpisce i tessuti di supporto dei denti ed è caratterizzata da infiammazione, sanguinamento gengivale...
I rapporti tra le patologie che interessano la polpa dentaria e quelle riguardanti il parodonto marginale si verificano attraverso le connessioni anatomiche...
Il Centro Corsi ProEd di Torino ospiterà anche nel 2015 il consolidato percorso formativo teorico-pratico “La terapia parodontale: Chirurgia ...
Da anni gli esami radiografici bidimensionali (2D), le panoramiche dentali e le radiografie periapicali sono usati correntemente per una corretta diagnosi ...
Sono un’igienista dentale e lavoro nell’ambito della prevenzione orale fin dagli anni ‘80. Mi occupo anche di formazione e organizzo corsi rivolti ai ...
La considerazione che molti disturbi del distretto cranio-cervicale possano dipendere dagli atteggiamenti posturali conseguenti a una occlusione non ...
La considerazione che molti disturbi del distretto cranio-cervicale possano dipendere dagli atteggiamenti posturali conseguenti a una occlusione non ...
La parodontite è la prima causa di perdita di denti nella popolazione adulta nei Paesi industrializzati e presenta molteplici ripercussioni sulle ...
Paziente di sesso femminile, 30 anni, non fumatrice, con anamnesi sistemica silente, assenza di allergie a farmaci e sostanze alimentari, familiarità ...
Live webinar
gio. 30 aprile 2026
1:00 (CET) Rome
Dr. Renato Leonardo D.M.D.
Live webinar
gio. 30 aprile 2026
19:00 (CET) Rome
Live webinar
dom. 3 maggio 2026
18:00 (CET) Rome
Dr. Rickard Brånemark MSc, MD, PhD, Dr. Robert Gottlander DDS
Live webinar
lun. 4 maggio 2026
2:00 (CET) Rome
Live webinar
mar. 5 maggio 2026
16:00 (CET) Rome
Live webinar
mar. 5 maggio 2026
18:00 (CET) Rome
Live webinar
mar. 5 maggio 2026
19:00 (CET) Rome
Dr. Maximilian Dobbertin M.Sc
To post a reply please login or register