Da anni gli esami radiografici bidimensionali (2D), le panoramiche dentali e le radiografie periapicali sono usati correntemente per una corretta diagnosi dei processi patologici odontogeni e non odontogeni, per la valutazione della strumentazione biomeccanica e dell’otturazione canalare e per la valutazione degli esiti terapeutici in endodonzia1-3.
In particolare la radiologia periapicale, la cui utilità è ben nota fino dalla fine del 19° secolo, è stata considerata il “gold standard” per circa un secolo4-6. Dal 1980, l’introduzione della radiologia bidimensionale digitale ha portato notevoli vantaggi, quali la notevole riduzione delle dosi di radiazioni per i pazienti, dei tempi di sviluppo, la facilità dell’archiviazione e trasmissione dei dati. Ciononostante, a parte i vantaggi e la grande diffusione della radiologia digitale, i limiti delle immagini bidimensionali sono ben noti e sono rimasti invariati1, 3, 7.
L’interpretazione di un’immagine bidimensionale può dare informazioni errate per una serie di fattori comprendenti la zona anatomica esaminata, la sovrapposizione di strutture vicine sia dentali che dento-alveolari circostanti8. A causa delle sovrapposizioni, le radiografie periapicali mostrano solo aspetti limitati, dovuti ad una visione bi-dimensionale della vera anatomia tri-dimensionale (Figg. 1a-2e)9, 10. Inoltre nelle radiografie tradizionali si hanno spesso delle distorsioni geometriche delle strutture anatomiche esaminate11. Tutti questi problemi possono essere superati utilizzando immagini ottenute con volumi piccoli o comunque limitati di Cone Beam Computed Tomography, che fornisce immagini accurate tri-dimensionali dei denti e delle strutture dento-alveolari circostanti9-11.
I dentisti e gli specialisti delle varie discipline odontoiatriche continuano a meravigliarsi delle profonde e precise informazioni prodotte dalle scansioni CBCT, e si sono resi conto che i dati che essi ricevono da questi esami influenzeranno le loro decisioni e i loro piani di trattamento come mai nessun altro metodo di acquisizione d’immagini ha potuto fare negli ultimi 100 anni. La CBCT rende più precise, più facili e più accurate le decisioni da prendere quando si compila un piano di trattamento per un paziente e la visualizzazione dei dati radiografici è notevolmente più ricca di significato. L’odontoiatria sta abbandonando “l’interpretazione radiografica” per abbracciare “la visualizzazione della patologia”13.
Detto questo, non c’è da meravigliarsi se negli ultimi anni la più rapida diffusione della CBCT è avvenuta nella comunità endodontica. Un numero sempre maggiore di clinici si sta rendendo conto che la CBCT comporta una grandissima quantità di vantaggi rispetto alle radiografie tradizionali grazie alle sottili “sezioni” che compongono le immagini endodontiche e grazie al fatto che è possibile esaminare le strutture anatomiche su piani impossibili prima di ora. D’altra parte, prima di sottoporre un paziente a un esame CBCT è necessario utilizzare tutti i test clinici finora disponibili e le modalità di acquisizione di immagini usate fino ad ora, per rispettare il principio di recare meno danni possibile al paziente. Al giorno d’oggi non è giustificabile eseguire esami CBCT di routine in ogni caso che necessita di un ritrattamento o di una chirurgia14.
Principi base della CBCT
Il metodo di ottenimento dei dati volumetrici del paziente con la CBCT differisce notevolmente dalla Tomografia Computerizzata comunemente utilizzata in medicina. Nelle scansioni usate in medicina, precedentemente chiamate TAC, Tomografia Assiale Computerizzata, la zona interessata del paziente, la testa o qualsiasi altra parte del corpo, viene scelta e la sorgente radiogena le ruota attorno 60 volte al minuto, mentre molteplici sensori ricevono il fascio radiogeno. Questo tipo di acquisizione di immagini è molto preciso, ma i dati acquisiti sono voluminosi e il paziente assorbe una abbondante dose di raggi X13.
Una tipica TAC per un sito implantare mascellare comporta una dose di radiazione di 2.100 µSV, equivalente alla dose di circa 130 panoramiche o immagini digitali15. Paragonata alla TAC, la CBCT comporta dei dosaggi molto inferiori, di circa 10-500 µSV in base alle dimensioni dei voxel e alla quantità di immagini impressionate15. Diversamente dalla TAC, la CBCT utilizza un sottile raggio di forma conica che ruota, in base alle caratteristiche dello strumento utilizzato, da 180 a 360 gradi attorno al paziente (Fig. 3).
La CBCT è ottenuta utilizzando una piattaforma rotante alla quale sono fissati una sorgente radiogena e un rivelatore. Una sorgente di radiazioni ionizzanti di forma conica viene diretta attraverso il centro della zona interessata e la radiazione trasmessa ed attenuata viene proiettata entro una area del rivelatore dei raggi X situata al lato opposto. La sorgente radiogena e il rivelatore ruotano attorno ad un fulcro fisso situato all’interno della regione interessata. Durante la sequenza dell’esposizione, vengono acquisite centinaia di immagini di proiezioni piane della zona esaminata (FOV, Field Of View), in un arco di almeno 180°. Le immagini delle proiezioni vengono quindi integrate da un software per costruire una immagine volumetrica. Con questa singola rotazione, la CBCT fornisce immagini tridimensionali precise, immediate e accurate8. Le risultanti informazioni vengono digitalmente ricostruite ed interpretate fino a creare una interfaccia, dalla quale il clinico può interpretare nelle tre dimensioni le “sezioni” dei tessuti del paziente su molteplici piani: assiale, sagittale e coronale (Fig. 4). Al giorno d’oggi la CBCT è considerata una metodica complementare per applicazioni specifiche ma non in sostituzioni delle radiografie bi-dimensionali12.
Fig. 1a - Il paziente è stato inviato per la terapia chirurgica della radice mesiovestibolare del primo molare superiore di destra.
Fig. 1b - Una radiografia presa con diversa angolazione sembra confermare che l’unica radice coinvolta nella lesione periapicale è la mesiovestibolare.
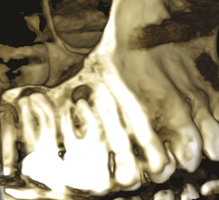
Fig. 1c - La CBCT mostra il riassorbimento dell’osso corticale adiacente la radice distovestibolare.
Figg. 1d, 1e - Un’altra lesione periapicale sta interessando il secondo molare.
Figg. 1d, 1e - Un’altra lesione periapicale sta interessando il secondo molare.
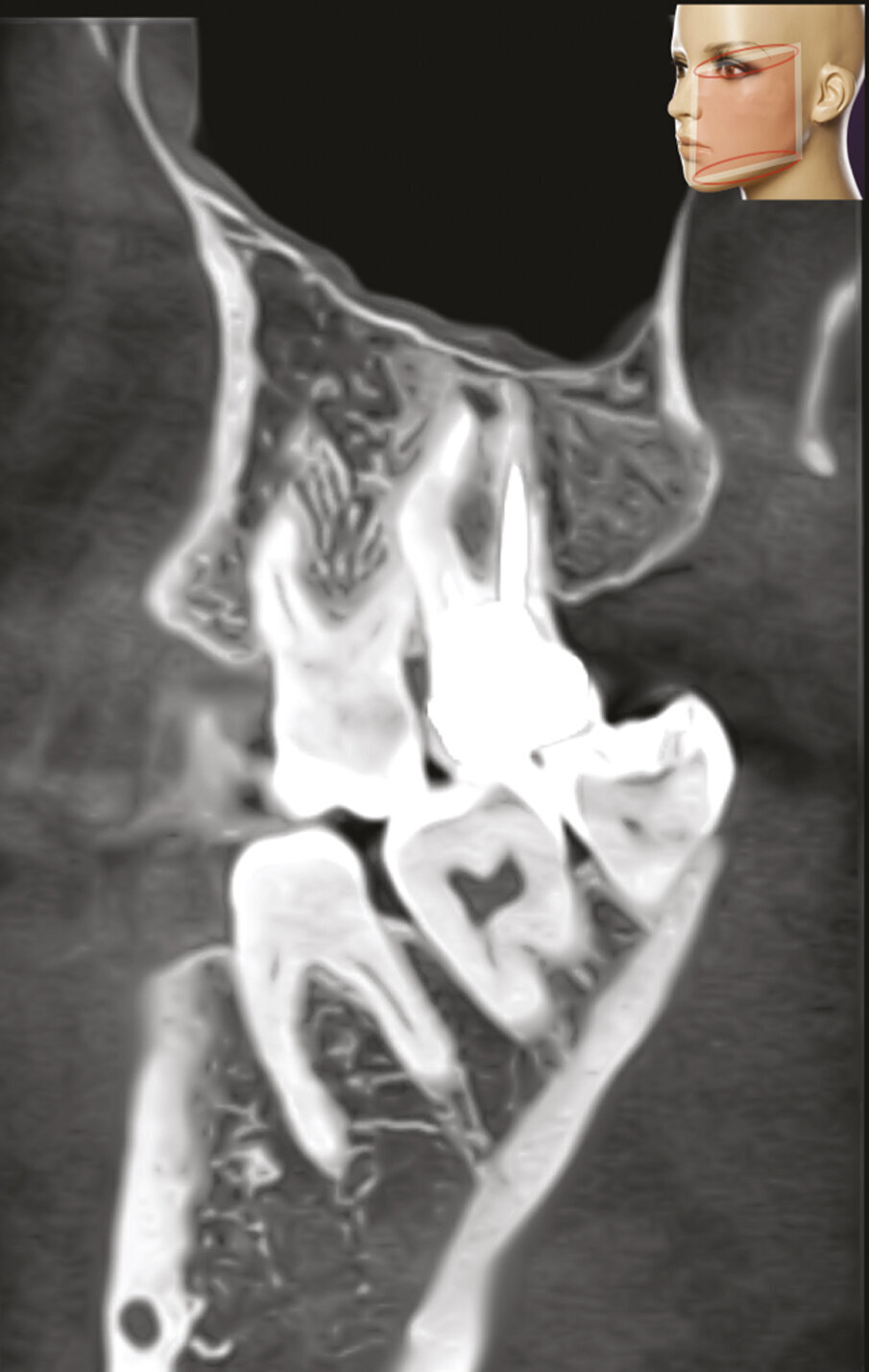
Fig. 1f, 1g - La sezione sagittale mostra ancora meglio le lesioni a carico del primo molare su entrambe le radici vestibolari e le lesioni a carico di entrambe le radici vestibolari del secondo molare, il cui canale MB1 appare completamente vuoto.
Fig. 1f, 1g - La sezione sagittale mostra ancora meglio le lesioni a carico del primo molare su entrambe le radici vestibolari e le lesioni a carico di entrambe le radici vestibolari del secondo molare, il cui canale MB1 appare completamente vuoto.
Fig. 1h - La sezione assiale mostra le lesioni del primo e del secondo molare, interessanti queste ultime per l’aspetto palatino delle due radici. È ovvio il motivo per cui tali lesioni non erano apprezzabili nella radiografia periapicale.
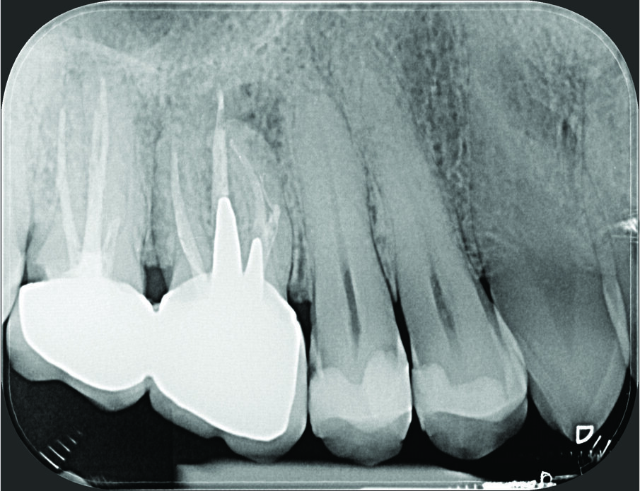
Fig. 1i - Radiografia postoperatoria.
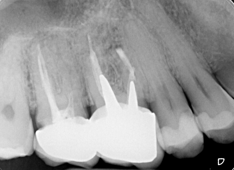
Fig. 1j - Radiografia di controllo dopo due anni.
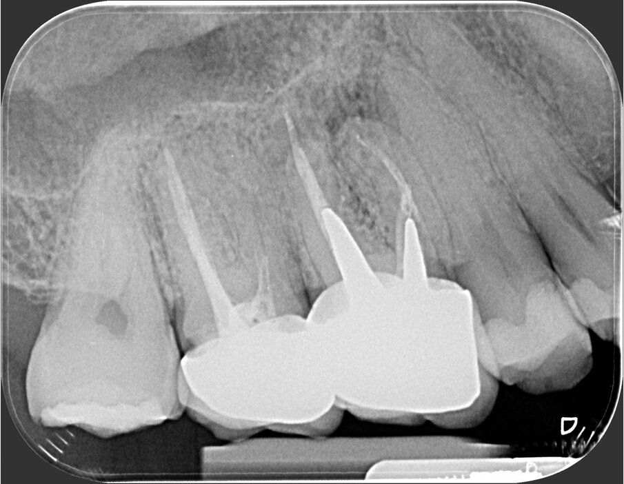
Fig. 2a - Radiografia preoperatoria del secondo molare superiore di sinistra. La paziente lamenta dolore alla masticazione su questo dente, trattato endodonticamente pochi mesi prima. La stessa viene indirizzata con la specifica richiesta di eseguire la terapia chirurgica e di non aprire una cavità d’accesso, allo scopo di non sciupare la “nuova” corona ceramica da poco cementata.
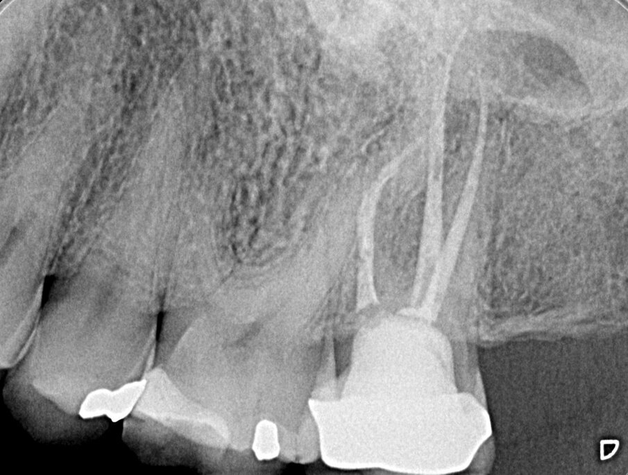
Fig. 2b - Una piccola lesione è evidente all’apice della radice mesiovestibolare.
Fig. 2c - La CBCT mostra l’inclinazione distale della radice distovestibolare del primo molare.
Fig. 2d - La sezione coronale mette in evidenza il fatto che la radice distovestibolare del primo molare è vestibolare alla radice mesiovestibolare del secondo molare.
Fig. 2e - Le quattro sezioni assiali mostrano come la radice distovestibolare del primo molare sia vestibolare rispetto alla radice mesiovestibolare del secondo molare. Questa particolare situazione anatomica rappresenta una ovvia controindicazione all’approccio chirurgico.
Fig. 3 - (Sinistra). La tradizionale TAC ha la sorgente di raggi X che ruota di 360° attorno al paziente circa 60 volte al minuto. Lo spessore di ogni sezione di immagine è determinata dalla distanza (di solito da 1,00 a 100,0 mm) in cui il paziente scorre sotto l’apparecchio. Questo espone il paziente a una massiva dose di radiazioni X. L’immagine digitale appare sul monitor in “pixel” che rappresentano un’immagine bidimensionale. (Destra). Una struttura conica che utilizza un fascio di raggi conico, ruota attorno alla testa del paziente. L’esposizione è simile a quella utilizzata per le radiografia dentali tradizionali, pertanto la dose alla quale il paziente è esposto viene ad essere notevolmente ridotta. L’immagine digitale appare sul monitor composta di “voxel” che mostrano una immagine tridimensionale.
Figg. 4a-4c - - La CBCT offre la possibilità di fornire e immagazzinare immagini radiografiche leggibili su vari piani sia orizzontali che verticali: assiale, sagittale e coronale.
Figg. 4a-4c - La CBCT offre la possibilità di fornire e immagazzinare immagini radiografiche leggibili su vari piani sia orizzontali che verticali: assiale, sagittale e coronale.
Figg. 4a-4c - La CBCT offre la possibilità di fornire e immagazzinare immagini radiografiche leggibili su vari piani sia orizzontali che verticali: assiale, sagittale e coronale.
Dosi di radiazioni
La letteratura indica che l’effettiva dose di radiazioni della CBCT è ridotta fino del 98% rispetto alla tradizionale TAC16. Ciò significa che la dose effettiva ricevuta dal paziente equivale alla dose assorbita per una indagine fatta con pellicole periapicali endorali (2-5 µSV) o a 4-7 volte la dose di una singola radiografia panoramica (15-20 µSV)17, 18. In conclusione, sebbene la dose data dai moderni apparecchi per CBCT sia significativa, è di gran lunga inferiore alla dose somministrata dalle tradizionali TAC usate in medicina. Secondo Ludlow et al.15 la dose assorbita in corso di esame CBCT per un sito implantare varia dal 1% al 25% rispetto alla dose assorbita dopo una scansione fatta con la TAC medicale. Questo significa che molte valutazioni specifiche possono essere eseguite in campo odontoiatrico con maggiore sicurezza usando la CBCT rispetto alla tradizionale TAC. Pertanto, quando si decide di eseguire accurati esami diagnostici per motivi endodontici, non è più giustificato prescrivere una TAC, in quanto le dosi di radiazioni superano di gran lunga quelle derivanti dall’utilizzo della CBCT13.
Bibliografia
- Peters C., Peters OA.. Cone beam computed tomography and other imaging techniques in the determination of periapical healing. Endodontic Topics 2012;26(1):57.
- Vandenberghe B., Jacobs R., Bosmans H.. Modern dental imaging: a review of the current technology and clinical applications in dental practice. Eur Radiol. 2010;20:2637.
- Todd R.. Dental Imaging-2D to 3D: a historic, current, and future view of projection rediography. Endodontic Topics 2014;31:36.
- Grossman LI.. Endodontics 1776–1976: a bicentennial history against the background of general dentistry. J Am Dent Assoc. 1976;93:78.
- Langland OE., Langlais RP.. Early pioneers of oral and maxillofacial radiology. Oral Surg Oral Med Oral Patho Oral Radiol Endod, 1995;80:496.
- Jacobsohn PH., Fedran RJ.. Making darkness visible: the discovery of X-ray and its introduction to dentistry. J. Am Dent Assoc. 1995;126(10):1359.
- Tyndall DA., Rathore S.. Cone-beam CT diagnostic applications: caries, periodontal bone assessment, and endodontic applications. Dent Clin North Am. 2008;52(4):825.
- American Association of Endodontists, Colleagues for excellence. Cone beam computed tomography in endodontics. 2011.
- Patel S., Dawood A., Pitt Ford T., Whaites E.. The potential applications of cone beam computed tomography in the management of endodontic problems. Int Endod J. 2007;40:818.
- Cotton TP., Geisler TM., Holden DTY., Schwartz SA., Schindler WG.. Endodontic applications of cone beam volumetric tomography. J Endod. 2007;33:11.
- Grondahl HG., Huumonen S.. Radiographic manifestations of periapical inflammatory lesions. Endod Topics 2004;8:55.
- Scarfe WC., Levin MD., Gane D., Farman AG.. Use of cone beam computed tomography in endodontics. Int J Dent. 2009;63:45.
- Miles DA.. Atlas of Cone Beam Imaging for Dental Applications. 2nd ed. Quintessence Publishing Co. 2013;2-14.
- American Association of Endodontists; American Academy of Oral and Maxillofacial Radiology. Use of cone-beam computed tomography in endodontics. Joint Position Statement of the American Association of Endodontists and the American Academy of Oral and Maxillofacial Radiology. Oral Surg Oral Med Oral Pathol Oral Radiol Endod. 2011;111:234.
- Ludlow JB., Davies-Ludlow LE., Brooks SL.. Dosimetry of two extraoral direct digital imaging devices: NewTom cone beam CT and Orthophos Plus DS panoramic unit. Dentomaxillofac Radiol. 2003;32:229.
- Suvarna P.. Need of Cone Beam Ciomputed Tomography in Dentistry. In Jaju P. Cone Beam Computed Tomography. A Clinician’s Guide to 3D Imaging. The Health Science Publisher. 2015;17.
- Cohnen M., Kemper J., Mobes O., et al. Radiation dose in dental radiology. Eur Radiol. 2002;12(3):634.
- Mah JK., Danforth RA., Bumann A.. Radiation absorbed in maxillofacial imaging with a new dental computed tomography device. Oral Surg Oral Med Oral Pathol Radiol Endod. 2003;96(4):508.
Tag:
To post a reply please login or register