Search Dental Tribune

La rilevazione ecografica nella programmazione, nell’esecuzione e nel follow up dei piani terapeutici di medicina estetica del volto

Fig. 9 - L’arteria angolare in Color Doppler.
Dott. V. Ippolito, Dott. F. Bartoli

Dott. V. Ippolito, Dott. F. Bartoli

ven. 20 marzo 2026

salvare

Abstract

La medicina estetica del volto, nell’ultimo quinquennio, sta subendo una metamorfosi radicale. Se un tempo l’obiettivo primario era la semplice eliminazione della ruga, intesa come segno statico di senescenza, oggi la pratica clinica si è spostata verso una raffinata modulazione della dinamica cutanea, non soltanto limitata all’attività contrattile dei muscoli mimici ma finalizzata al ripristino dell’armonia espressiva e alla prevenzione dell’invecchiamento di tutte le strutture che costituiscono il viso.

Da aggiungere anche che la staticità del volto a riposo è oggi differente dal congelamento espressivo conseguente a metodiche che, fino ieri, non tenevano in alcun conto gli strati dei tessuti molli del volto sottostanti la cute – derma, tessuto adiposo superficiale, muscoli – mentre oggi invece sono altamente valorizzabili attraverso la tecnologia ultrasonica.

Questa evoluzione non è stata guidata solo da un mutamento nella reologia dei materiali utilizzati per correggere gli inestetismi nel divenire dell’aging – che oggi, quando bene selezionati, premiano la naturalezza e il movimento rispetto alla staticità del passato – ma soprattutto da una comprensione sempre più profonda dell’anatomia individuale della faccia (che comprende le sue strutture nei diversi piani che la costituiscono) e le sue funzioni. Il volto umano non ha una mappa anatomo-topografica universale: le strutture di superficie, gli strati sottocutanei, le interconnessioni tra i muscoli mimici, la profondità e lo spessore dei muscoli e la disposizione dei vasi variano significativamente tra i pazienti, rendendo obsoleti i protocolli di iniezione standardizzati.

In questo contesto la visita medica non è più un mero atto preliminare al piano di trattamento ma il fulcro di una strategia terapeutica che deve portarci a promettere alla persona un risultato che poi – per contratto fra le parti – saremo obbligati a mantenere.

Il momento operatorio non è soltanto il periodo in cui il clinico deve “firmare” il viso del paziente con la correttezza del proprio operato e in base alla propria perizia, ma è anche una tappa che deve condurre il caso clinico all’eccellenza dei risultati in assoluta sicurezza e prevenendo i rischi del caso con l’ausilio di una tecnologia innocua ed affidabile – quale quella ecografica – che non solo contribuiscono a evitare gli eventi avversi più temibili, ma anche consentono di trattare con successo i vari distretti del volto.

Il periodo di follow up (che fino a ieri era un momento da tenere in considerazione solo per controllare l’assenza di eventi avversi e prevedere i nuovi interventi terapeutici di richiamo sulla base presuntiva del tempo trascorso o della evidenza clinica della diminuzione del risultato terapeutico) oggi assume un ruolo determinante perché consente all’operatore non solo di valutare il corretto andamento del periodo postoperatorio ma anche di considerare con precisione il momento in cui effettuare un nuovo richiamo terapeutico sulla base dell’effettiva presenza del dispositivo medico o sulla base della evidenza della ripresa dell’attività contrattile muscolare valutati attraverso l’evidenza ultrasonica.

L’ecografia ad alta frequenza è pertanto una vera e propria rivoluzione tecnologica e l’integrazione della diagnostica e della guida ultrasonica hanno trasformato l’iniezione di tossina botulinica, l’infiltrazione di filler e l’impianto di fili di biostimolazione o di trazione/sospensione da procedure da effettuare “alla cieca”, basate empiricamente sulla sensibilità tattile e sui repere clinici, a procedure di precisione ultrasuono-verificate e/o ultrasuono-guidate.

Nel caso dei protocolli diagnostico/terapeutici di tutta la medicina estetica oro-facciale, l’esame ecografico consente:

  • la possibilità di visualizzare e misurare in tempo reale lo spessore dei tessuti molli;
  • di valutare in tempo reale l’effettiva posizione del dispositivo medico durante il suo posizionamento ed eventualmente di correggerlo;
  • di localizzare con esattezza millimetrica il derma o il muscolo;
  • di operare con una sicurezza senza precedenti, minimizzando i rischi di un’errata iniezione del farmaco o di non ottimale infiltrazione del filler o errato impianto dei fili, ottimizzando i risultati clinici.

Il presente elaborato si propone di analizzare l’intero percorso clinico dei trattamenti di medicina estetica mininvasiva del volto con l’ausilio ecografico: dalla programmazione personalizzata alla scelta fra le metodiche di iniezione, infiltrazione, impianto fino all’integrazione sinergica fra le metodiche mininvasive.

Attraverso l’analisi dei dati anatomo-sonografici e sulle basi della letteratura più recente, verrà delineato come l’ecografia stia ridefinendo i confini della medicina estetica moderna, garantendo trattamenti che siano, allo stesso tempo, efficaci, sicuri e biologicamente rispettosi dell’unicità di ogni volto.

I .La visita del paziente e la programmazione del piano terapeutico
L’approccio moderno alla medicina estetica mininvasiva è evoluto da una tecnica pressoché totalmente correttiva a una strategia di modulazione dinamica del volto che prevede anche un protocollo preventivo di contrasto all’aging. La visita iniziale rappresenta il momento critico in cui l’analisi estetica del viso della persona si fonde con la valutazione funzionale e anatomica. È – la visita – il momento in cui l’operatore opterà per una scelta fra le quattro metodiche di medicina estetica da proporre al paziente: medicina estetica di superficie, medicina estetica iniettiva, infiltrativa, implantare.

Prendiamo in esame le procedure medicoestetiche di superficie
La cute che ha subìto il photoaging e il chronoaging presenta all’osservatore aspetti fisiopatologici poliedrici cui – al suo aspetto esteriore modificato – corrisponde sempre una alterazione degli strati sottostanti (Figg. 1, 2).

Fig. 1 - L’aspetto esteriore della cute nei vari distretti del volto nel divenire dell’aging.

Fig. 1 - L’aspetto esteriore della cute nei vari distretti del volto nel divenire dell’aging.

Fig. 2 - Una visita che si fermi solo all’aspetto esteriore del volto è una visita incompleta.

Fig. 2 - Una visita che si fermi solo all’aspetto esteriore del volto è una visita incompleta.

Anche nella medicina estetica di superficie sono gli strati sottostanti la cute del volto che necessitano di indagini ulteriori che permettano di esaminare in tempo reale (Fig. 3; video 1):

  • lo spessore dell’epidermide;
  • lo spessore del derma;
  • l’eventuale presenza di SLEB (Subepidermal Low Echogenity Band);
  • lo spessore del tessuto adiposo superficiale;
  • la struttura dello SMAS ove presente.

Sono queste le indagini relative a strutture anatomiche che è indispensabile valutare prima di proporre e intraprendere qualsiasi terapia che cerchi di migliorare la texture cutanea e l’aspetto esteriore della pelle in quanto un miglioramento esteriore deve necessariamente essere sorretto da solide fondamenta sottostanti.

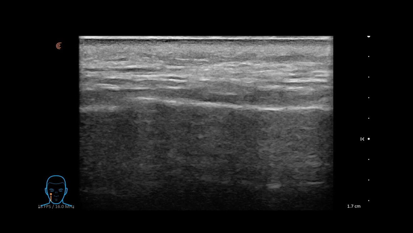
Fig. 3 - Immagine statica della cute e dei tessuti molli della zona infraorbitaria di un soggetto di sesso femminile di 60 aa. Si nota una SLEB (Subepidermal Low Echogenity Band/Banda subepidermica a bassa ecogenicità) e un tessuto adiposo superficiale molto rappresentato (circa 4 mm).

Fig. 3 - Immagine statica della cute e dei tessuti molli della zona infraorbitaria di un soggetto di sesso femminile di 60 aa. Si nota una SLEB (Subepidermal Low Echogenity Band/Banda subepidermica a bassa ecogenicità) e un tessuto adiposo superficiale molto rappresentato (circa 4 mm).

Sono queste le indagini relative a strutture anatomiche che è indispensabile valutare prima di proporre e intraprendere qualsiasi terapia che cerchi di migliorare la texture cutanea e l’aspetto esteriore della pelle in quanto un miglioramento esteriore deve necessariamente essere sorretto da solide fondamenta sottostanti. L’analisi ecografica, incominciando a esaminare la struttura dell’epidermide e del derma e misurandone gli spessori, è ad oggi l’ausilio perfetto per la ricerca di aspetti qualitativi e quantitativi che permettano di programmare un piano terapeutico ad hoc (Fig. 4, video 2). L’analisi ecografica in medicina estetica di superficie è anche una metodica affidabile e priva di effetti collaterali per il paziente e può essere utilizzata per verificare i risultati terapeutici a distanza (Tab. 1).

Tab. 1 - Ecogenicità e spessori al termine di ogni trattamento di medicina estetica di superficie.

Tab. 1 - Ecogenicità e spessori al termine di ogni trattamento di medicina estetica di superficie.

La personalizzazione del piano terapeutico iniettivo per mezzo dell’esame ultrasonico offre anche un vantaggio inestimabile: permette di calibrare il dosaggio di tossina botulinica distinguendo tra un paziente “cinetico” (rughe solo in movimento) e uno “ipercinetico” (rughe statiche), garantendo un risultato che preservi l’espressività naturale senza sfociare nell’effetto artificiale della cosiddetta “frozen face”.

D’altro canto, la personalizzazione serve a identificare anche i limiti individuali di ogni piano terapeutico. È fondamentale, ad esempio, documentare asimmetrie pre-esistenti o valutare il grado di lassità cutanea: in pazienti con grave elastosi, un rilassamento muscolare eccessivo potrebbe paradossalmente accentuare la ptosi dei tessuti invece di distenderli.

Anche il genere gioca un ruolo chiave: i pazienti di sesso maschile, presentano segmenti muscolari voluminosi e con maggiori forze di contrazione e pertanto richiedono dosaggi e profondità d’iniezione significativamente superiori rispetto agli standard femminili (Video 3).

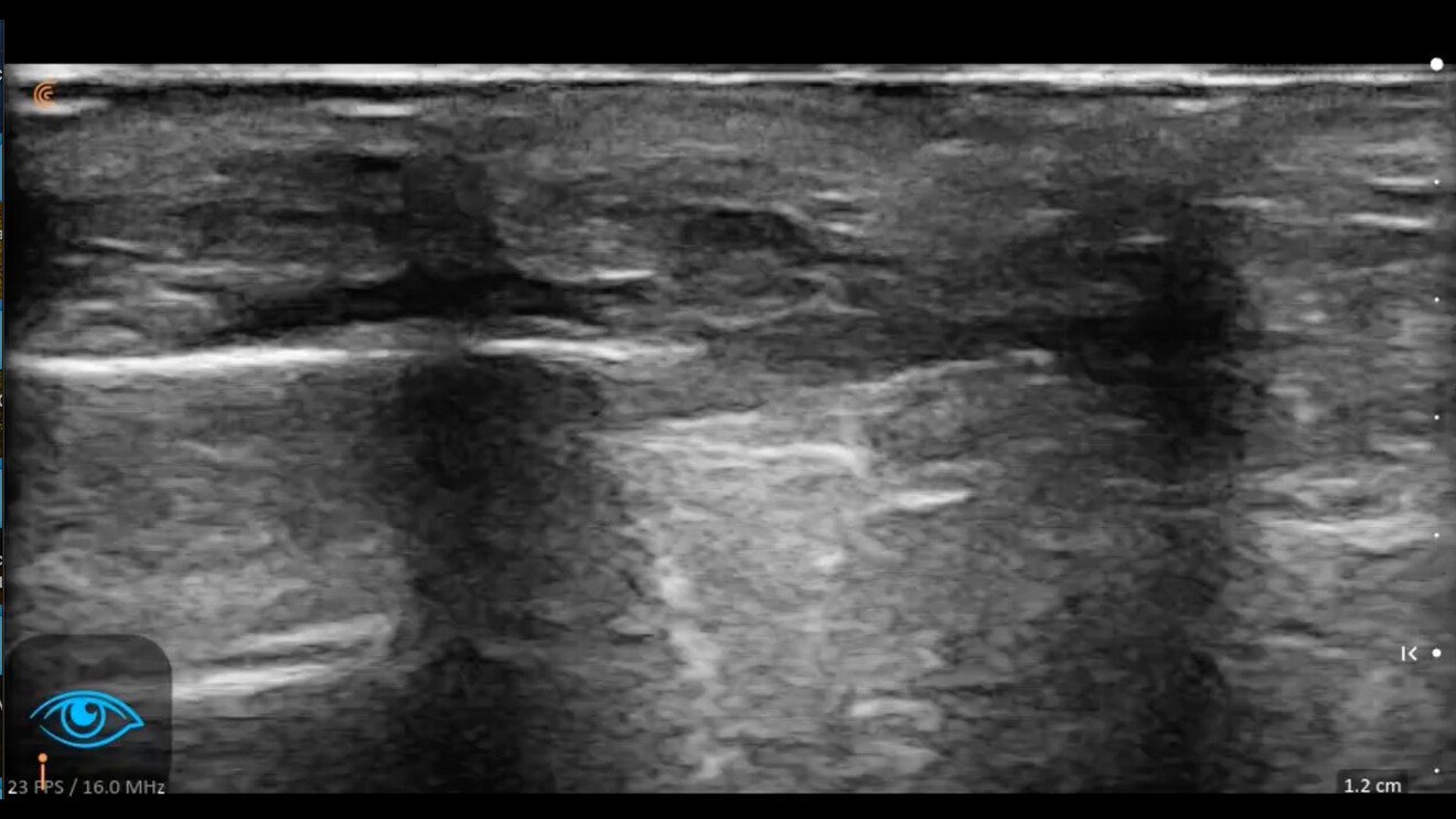
Le procedure infiltrative con i filler a base di acido ialuronico sono giustificate certamente dall’evidenza della diminuzione dei volumi e dalla dislocazione dei fat pad facciali, ma devono essere confermate anche dalla creazione di spazi facciali nei distretti del volto interessati da queste modifiche estetiche determinate dal divenire dell’aging: conferme che solo l’esame ultrasonico può dare. È ancora una volta la necessità di personalizzare il piano terapeutico che spinge l’operatore ad utilizzare gli ultrasuoni per localizzare con precisione i punti del volto ove infiltrare il filler selezionato proprio in base all’anatomia del volto ove è destinato (Fig. 6, video 4).

Fig. 6 - Lo spazio prezigomatico.

Fig. 6 - Lo spazio prezigomatico.

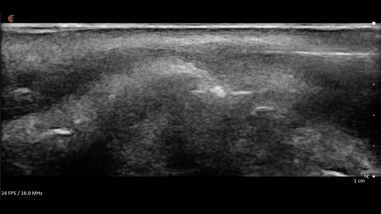
Gli ultrasuoni sono indispensabili anche per riconoscere e localizzare precedenti trattamenti cui il paziente si è sottoposto in precedenza e per correggere risultati clinici di cui il paziente o l’operatore non sono soddisfatti oltre che gestire i casi clinici sui punti del viso colpiti da eventi avversi di natura vascolare o edemigena cronica determinati dalla presenza di acido ialuronico (Fig. 7, video 5).

Fig.7 - Iniezione ecoguidata di ialuronidasi in un bolo di filler a base di acido ialuronico.

Fig.7 - Iniezione ecoguidata di ialuronidasi in un bolo di filler a base di acido ialuronico.

L’impianto di fili di biostimolazione e dei fili di trazione/sospensione può essere programmato dall’operatore con una prudenza giustificata sia dalla sicurezza sia dall’efficacia di un risultato clinico che necessitano di conoscere i tessuti adiposi del volto sia per quanto riguarda la loro estensione sia per quanto riguarda la loro esatta localizzazione, ancora più utile in fase esecutiva. Per questi motivi l’ecografia è l’esame più idoneo nella fase programmatica dei casi in cui l’operatore ritenga la biostimolazione o il riposizionamento dei tessuti molli del viso il trattamento d’elezione (Fig. 8, video 6).

Fig. 8 - La guida ecografica consente di seguire il percorso del filo di biostimolazione o del filo di trazione.

Fig. 8 - La guida ecografica consente di seguire il percorso del filo di biostimolazione o del filo di trazione.

In definitiva, la programmazione terapeutica moderna non può essere standardizzata bensì personalizzata sul volto di ciascun paziente sia per considerare la variabilità individuale sia per evitare risultati artificiali e inespressivi e trasforma il medico in un “architetto della dinamica facciale”. Ogni punto di iniezione, infiltrazione, impianto deve essere stabilito sulla base di una valutazione morfologica e anatomo-topografica che trova nell’ecografia lo strumento più efficace.

II Le metodiche di esecuzione del piano di trattamento
L’introduzione dell’ecografia ad alta frequenza nella pratica clinica della medicina estetica di superficie, iniettiva, infiltrativa, implantare, ha segnato il passaggio definitivo da una procedura eseguita “alla cieca” a un intervento di precisione ecoguidata. La possibilità di visualizzare in tempo reale l’architettura stratigrafica dei tessuti molli permette al clinico di non basarsi più su medie statistiche o sensazioni semeiotiche, certamente utili ma oggi non più sufficienti, bensì di navigare con certezza tra le strutture anatomiche, che variano profondamente per spessore e composizione a seconda del distretto facciale, dell’età e delle caratteristiche individuali del paziente.

Distingueremo:

  1. L’ausilio ecografico;
  2. La guida ecografica.

L’ausilio ecografico e la guida ecografica sono situazioni sinergiche a tal punto da essere considerate propedeutiche l’una all’altra. È fondamentale comprendere che l’anatomia sonografica non è una fotografia statica, ma un sistema dinamico di importanza determinante che utilizza il tempo reale e la costituzione strutturale dei distretti del volto della persona per raggiungere l’eccellenza dei risultati terapeutici in sicurezza.

Nel giovane e nell’uomo: tutti i piani sottocutanei sono di spessore ragguardevole e tonici e richiedono modalità di esecuzione più decise e dosaggi proporzionalmente più elevati per superare la resistenza dei tessuti.

Nel paziente anziano: l’assottigliamento del derma e la progressiva atrofia e il dislocamento dei tessuti adiposi pongono all’operatore la necessità di analisi delle strutture anatomiche del volto strettamente individuali. L’ecografia evita di traumatizzare strutture profonde ormai fragili e permette di identificare con precisione ed evitare di compromettere l’integrità strutturale e la funzione trofica dei vasi arteriosi e venosi.

La mappatura dei vasi del volto e delle strutture anatomiche sensibili consente di seguire percorsi terapeutici più sicuri nelle categorie della medicina estetica in cui l’integrità della barriera cutanea è interrotta inizialmente da un ago e successivamente la prosecuzione del piano terapeutico è affidata ad un ago che inietti tossina botulinica o infiltri filler a base di acido ialuronico di diverse caratteristiche reologiche o a una cannula che produca una subcisione nello strato adiposo superficiale e diffonda acido ialuronico o veicoli fili di biostimolazione o di trazione.

Con l’ausilio e la guida dell’ecografia l’operatore avrà un occhio su tutti gli strati sottocutanei e in particolare concentrerà il suo sguardo e guiderà la propria mano sullo strato che è il suo obiettivo e potrà:

  • Monitorare un “ponfo: l’epidermide appare sonograficamente come uno strato superficiale iperecogeno e uniforme. La guida ultrasonica permette di visualizzare in tempo reale la formazione di un ponfo (il piccolo deposito di liquido) subito sotto l’epidermide, confermando che il farmaco iniettato o il gel infiltrato sta agendo solo nello strato più superficiale del derma e/o sulle ghiandole sudoripare e sebacee, senza scendere nei piani sottostanti.
  • Monitorare l’accesso, il posizionamento e la prosecuzione dello strumento nel contesto tissutale desiderato: il tessuto adiposo superficiale si presenta come uno strato tissutale ipoecogeno a lobuli determinati da molteplici sottilissimi setti fibrosi iperecogeni che li contornano. Lo strumento – evidenziato dalla funzione di magnificazione dell’ago – è una linea iperecogena che conferma la wellpractice dell’operatore o distingue un errore iatrogeno.
  • Delimitare il tessuto da non superare o da raggiungere: lo SMAS si presenta come uno strato iperecogeno a struttura che varia da uniforme a frammentato, il tessuto muscolare dei muscoli mimici del volto, ipoecogeno a strie iperecogene… sono nello stesso tempo limiti per alcune procedure infiltrative e implantari mentre sono obiettivi da raggiungere e da non superare nelle procedure di iniezione intramuscolare della tossina botulinica. Gli spazi facciali quasi sempre ipoecogeni – laddove esistenti – e il tessuto osseo, curvilineo, iperecogeno, divengono aree ove infiltrare il filler in sicurezza evitando anche indesiderate migrazioni.
  • La sicurezza nelle aree di intervento: la guida ecografica è vitale nelle cosiddette “aree a rischio”. Nel trattamento delle rughe nasali, ad esempio, la consapevolezza dell’anatomia sonografica dell’individuo in tempo reale garantisce che l’iniezione, l’infiltrazione, l’impianto permangano nello strato tissutale previsto. Queste precauzioni evitano che il farmaco non raggiunga o superi il target muscolare previsto o il dispositivo medico coinvolga accidentalmente i vasi di calibro tale da determinare complicanze di natura ischemica o l’impianto del filo sia troppo superficiale o troppo profondo rispetto al piano ottimale.
  • Mappatura vascolare dinamica: l’integrazione di B Mode, Color Doppler e del Power Doppler rappresentano la frontiera della sicurezza. Vasi critici posti in posizioni anatomiche critiche come l’arteria angolare possono avere decorsi variabili. L’esame ecografico permette di mappare questi vasi prima di inserire l’ago, scegliendo il piano di correzione (superficiale o profondo) che garantisca l’assenza totale di rischio vascolare occlusivo intravascolare o compressivo extravascolare (Fig. 9).
Fig. 9 - L’arteria angolare in Color Doppler.

Fig. 9 - L’arteria angolare in Color Doppler.

In medicina estetica, la precisione millimetrica nella scelta del piano di iniezione, infiltrazione, impianto, è d’importanza determinante: sbagliare di pochi millimetri significa non solo rischiare l’inefficacia del trattamento, ma anche innescare la diffusione indesiderata del farmaco, del medical device verso strutture anatomiche adiacenti con i rischi che ne derivano. È importante considerare anche che non effettuare un’analisi ecografica precedente il trattamento, durante la sua esecuzione o nelle gestioni degli eventi avversi costituisce – da un punto di vista medicolegale – una colpa per l’operatore.

Per ottenere un risultato armonico, il clinico deve padroneggiare varie metodiche fondamentali, spesso utilizzate in sequenze sinergiche nello stesso paziente.

  • Una metodica intradermica: tipica delle procedure di biorivitalizzazione e del microbotox che prevede l’iniezione o l’infiltrazione con l’ago con la massima angolazione rispetto al piano dell’epidermide e risultando un caratteristico ponfo. La valutazione ecografica preventiva permette di guidare l’operatore nel percorso iniettivo che seguirà. L’evidenza del ponfo rende superflua la guida ecografica intraoperatoria. Diverso è il caso in cui l’operatore infiltri il derma con acido ialuronico di reologia più complessa rispetto alle procedure di biorivitalizzazione: la guida ecografica permetterà di seguire l’andamento del filler durante la sua deposizione per via anterograda o retrograda nello strato dermico o appena subepidermico e anche la sua distribuzione lineare conseguenza della distensione del bolo per mezzo del massaggio subito seguente la deposizione.
  • Una metodica intradiposa: in cui il ruolo dell’ecografia è fondamentale sia nella fase programmatica sia nella fase esecutiva delle metodiche implantari relative ai fili di biostimolazione e di trazione/sospensione. Il corretto posizionamento del filo è seguito dal momento del suo accesso nel tessuto adiposo sottocutaneo, nelle fasi intermedie relative al progredire del vettore contenente il filo, fino al suo rilascio. È così che una metodica complessa riduce gli eventi avversi ad essa correlati.
  • La metodica intramuscolare: Questa metodica iniettiva, propria della tossina botulinica, prevede che l’ago penetri il muscolo mimico del volto con un’angolazione prevista fino a raggiungere la sua parte più attiva. Per questo si preferisce iniettare il muscolo alla massima contrazione. Questo accorgimento dinamico, a causa della sottigliezza dei muscoli facciali (alcuni come il nasalis, meno di 2 mm a riposo e intorno a 3 mm in massima contrazione, oppure il m. frontalis ca 3 mm a riposo e in alcuni punti anche in massima contrazione, il m. procerus fra i più spessi, misura 1,5-3 mm a riposo e in massima contrazione non supera i 5 mm), spesso non è sufficiente. Si rende pertanto indispensabile una guida ecografica in B mode con la funzione di magnificazione dell’ago.
  • Una metodica sovraperiostea: l’ecografia sia in quanto ausilio diagnostico preventivo, sia come guida operativa, in questa metodica assume un ruolo di importanza fondamentale sia per individuare con gli ultrasuoni l’eventuale presenza di vasi sia per individuare gli spazi facciali che consentono all’operatore di infiltrare i filler a base di acido ialuronico riducendo l’incidenza di problematiche vascolari e di migrazione dei filler verso aree dove la loro presenza non è né prevista né desiderata ( 2).
Tab. 2 - Comparazione dell’approccio ecografico.

Tab. 2 - Comparazione dell’approccio ecografico.

III Fase di follow-up: validazione e gestione del periodo post-operatorio

Il valore aggiunto dell’ecografia si manifesta pienamente nella fase successiva al trattamento trasformando il controllo in un momento di validazione scientifica.

  • Misurazione del risultato terapeutico: l’efficacia della metodica utilizzata può essere quantificata misurando gli obiettivi del piano di trattamento. L’ecografia permette di documentare oggettivamente il successo terapeutico attraverso il confronto dei volumi dermici, delle attività muscolari, dei livelli di rigenerazione precedenti e successivi al trattamento.
  • Il “Rescue Treatment” (ritocco di precisione): qualora persistesse un inestetismo l’ecografia permette un ritocco mirato. Invece di iniettare, infiltrare, impiantare in modo diffuso tossina botulinica, filler o fili, il clinico individua l’esatta localizzazione del problema e la corregge sotto visione diretta, riducendo il carico farmacologico e infiltrativo o implantare totale.
  • Prevenzione e gestione di problematiche: nel caso dell’iniezione di tossina botulinica, ottimizzando e riducendo le dosi grazie alla precisione millimetrica, si minimizza l’esposizione del sistema immunitario alla proteina botulinica, riducendo nel lungo periodo il rischio di formazione di anticorpi neutralizzanti. Nel caso di infiltrazioni di filler l’evidenza di edemi a distanza permette di evidenziarne la sede e di intervenire miratamente dissolvendo l’acido ialuronico con la ialuronidasi. Qualora il filo di biostimolazione o di trazione/sospensione determini complicanze di tipo infettivo o si esteriorizzi è possibile in intervento di rimozione mirata dopo averlo localizzato ecograficamente.

 

Conclusioni
L’integrazione dell’esame ecografico nelle metodiche di superficie, iniettive (intradermica e intramuscolare) infiltrative e implantari segna il confine tra una medicina estetica tradizionale e un approccio d’avanguardia basato sull’evidenza della anatomica sonografica. Se la tecnica classica si affida alla sensibilità clinica e alla conoscenza semeiotica dei tessuti del volto, l’ecografia agisce come un vero e proprio “navigatore” intraoperatorio. Essa permette di trasformare l’inoculazione in un atto visivo diretto, confermando in tempo reale la corretta posizione dello strumento e monitora la reale diffusione della tossina botulinica, dei filler, dei fili all’interno dei tessuti.

In conclusione, l’integrazione sistematica dell’ecografia trasforma le metodiche di iniezione da procedure “probabilistiche”, basate sulla speranza di aver centrato il piano corretto, a procedure “deterministiche”: il medico/odontoiatra opera con la certezza visiva dell’iniezione mirata del farmaco o dell’infiltrazione del filler o dell’impianto del filo, offrendo al paziente un trattamento che raggiunge il massimo livello possibile di personalizzazione e sicurezza biologica.

Bibliografia

  • Ippolito V, Zangari F. L’ecografia del volto in medicina estetica: applicazioni cliniche, implicazioni medico-legali e proposta di modulistica. Dental Cadmos. 2025;93(5).
  • Ippolito V, Zangari F. Qualità e sicurezza in medicina estetica del volto: il ruolo dell’ecografia ambulatoriale. Facial Aesthetics. 2025 May.
  • Ippolito V. Gli ultrasuoni e l’esame ecografico nella medicina estetica del volto. Dental Tribune Italian Edition. 2024 Sep.
  • Cassetta M, Ippolito V. Medicina estetica odontoiatrica: manuale operativo nell’esecuzione dei piani di trattamento del volto e del sorriso. Milano: EDRA; 2025.
  • Moon HJ, Lee W, Kim HD, Lee IH, Kim SW. Doppler ultrasonographic anatomy of the midline nasal dorsum. Aesthetic Plast Surg. 2021;45(3):1178-1183. doi:10.1007/s00266-020-02025-1. PMID:33140196.
  • Popescu MN, Beiu C, Iliescu CA, Racoviță A, Berteanu M, Iliescu MG, et al. Ultrasound-guided botulinum toxin-A injections into the masseter muscle for both medical and aesthetic purposes. Toxins (Basel). 2024;16(10):413. doi:10.3390/toxins16100413. PMID:39453189.
  • Park HJ, Hur MS. The extended fibers of the alar part of the nasalis connect to the levator labii superioris, zygomaticus minor, and skin adjacent to the nasal ala. Surg Radiol Anat. 2024;46(10):1653-1657. doi:10.1007/s00276-024-03456-0.
  • Ismailoglu AV, Ismailoglu P, Aktekin M. Mapping the vascular and muscular topography of the glabellar region: implication for improving safety and efficacy of the glabellar injections. Aesthetic Plast Surg. 2024;48:1628-1634. doi:10.1007/s00266-023-03708-1.
  • Cho Y, Lee HJ, Lee KW, Lee KL, Kang JS, Kim HJ. Ultrasonographic and three-dimensional analyses at the glabella and radix of the nose for botulinum neurotoxin injection procedures into the procerus muscle. Toxins (Basel). 2019;11(10):560. doi:10.3390/toxins11100560.
  • Yi KH, Lee JH, Kim SO, Hu H, Lee HJ, Choi YJ, et al. Botulinum neurotoxin injection for treating plunged nose and post-rhinoplasty: anatomical perspectives. Anat Cell Biol. 2023;56(4):409-414. doi:10.5115/acb.23.054.
  • Hur MS, Lee S, Jung HS, Schneider RA. Anatomical connections among the depressor supercilii, levator labii superioris alaeque nasi, and inferior fibers of orbicularis oculi. PLoS One. 2022;17(3):e0264148. doi:10.1371/journal.pone.0264148.
  • Redaelli A, Battistella M. Masseter treatment with botulinum toxin A for parafunctions and quadralized patients. Med Res Arch. 2017;5(7).
  • Tansatit T, Apinuntrum P, Phetudom T. A typical pattern of the labial arteries with implication for lip augmentation with injectable fillers. Aesthetic Plast Surg. 2014;38(6):1083-1089. doi:10.1007/s00266-014-0401-8.
  • Hur MS. Anatomical relationships of the procerus with the nasal ala and nasal muscles. Surg Radiol Anat. 2017;39(8):865-869. doi:10.1007/s00276-017-1817-z.
  • Park JH, Jeong JW, Park JU. Advanced facial rejuvenation: synergistic effects of lower blepharoplasty and ultrasound-guided mid-face lift using PDO threads. Aesthetic Plast Surg. 2024;48(9):1706-1714. doi:10.1007/s00266-024-03975-6.
  • Urdiales-Gálvez F, Braz A, Cavallini M. Facial rejuvenation with the hybrid filler HArmonyCa™: clinical and aesthetic outcomes assessed by imaging techniques. J Cosmet Dermatol. 2023;22(8):2186-2197. doi:10.1111/jocd.15706.
  • Yi KH, Park SY. Facial thread lifting complications. J Cosmet Dermatol. 2025;24(1):e16745. doi:10.1111/jocd.16745.
  • Hong GW, Kim SB, Park SY, Wan J, Yi KH. Why do marionette lines appear? Skin Res Technol. 2024;30(4):e13676. doi:10.1111/srt.13676.
  • Kim JS, Yang EJ, Kim WR, Lee W, Kim HJ, Yi KH. Ultrasound-guided thread lifting for prevention of parotid complications. Skin Res Technol. 2023;29(12):e13535. doi:10.1111/srt.13535.
  • Munia MA, Munia CG, Parada MB, Ben-Hurferraz Parente J, Wolosker N. Doppler ultrasound in the management of vascular complications associated with hyaluronic acid fillers. J Clin Aesthet Dermatol. 2022;15(2):40-43.
  • Kroumpouzos G, Treacy P. Hyaluronidase for dermal filler complications: review of applications and dosage recommendations. JMIR Dermatol. 2024;7:e50403. doi:10.2196/50403.
  • Rauso R, Zerbinati N, Fragola R, Nicoletti GF, Tartaro G. Transvascular hydrolysis of hyaluronic acid filler with hyaluronidase: an ex vivo study. Dermatol Surg. 2021;47(3):370-372. doi:10.1097/DSS.0000000000002773.
  • DeLorenzi C. Transarterial degradation of hyaluronic acid filler by hyaluronidase. Dermatol Surg. 2014;40(8):832-841. doi:10.1097/DSS.0000000000000062.
  • DeLorenzi C. Complications of injectable fillers, part I. Aesthet Surg J. 2013;33(4):561-575. doi:10.1177/1090820X13484492.
  • DeLorenzi C. Complications of injectable fillers, part 2: vascular complications. Aesthet Surg J. 2014;34(4):584-600. doi:10.1177/1090820X14525035.
  • Cotofana S, Pretterklieber B, Lucius R, Frank K, Haas M, Schenck TL, et al. Distribution pattern of the superior and inferior labial arteries. Plast Reconstr Surg. 2017;139(5):1075-1082. doi:10.1097/PRS.0000000000003244.
  • Vergilio MM, Vasques LI, Leonardi GR. Characterization of skin aging through high-frequency ultrasound imaging. Skin Res Technol. 2021;27(5):966-973. doi:10.1111/srt.13033.
Tag:
To post a reply please login or register
advertisement
advertisement