Nel 1945 Kesling introdusse la possibilità di spostare gli elementi dentari con apparecchi termoplastici1 , ma tale alternativa terapeutica all’ortodonzia tradizionale ha trovato la sua diffusione solo negli ultimi 15-20 anni, contemporaneamente all’introduzione dei sistemi digitali per la produzione di allineatori trasparenti.
Generalmente, la terapia mediante allineatori offre alcuni vantaggi significativi rispetto alla terapia ortodontica fissa2 , come la migliore estetica, il maggior comfort e la possibilità di compiere in maniera più facile le manovre di igiene orale, il che comporta una maggiore salute dei tessuti parodontali durante la terapia3-4 e un rischio ridotto di sviluppare lesioni cariose o demineralizzazioni durante il trattamento. Alcuni studi mostrano anche una riduzione della mobilità dentale durante la terapia e un rischio ridotto di sviluppare riassorbimenti radicolari5. Le mascherine di concezione attuale sono indicate nel trattamento delle principali disgnazie, per cui oggi è possibile trattare una vasta serie di problematiche ortodontiche sia nel paziente adulto sia nel paziente in crescita. L’utilizzo degli allineatori è indicato anche durante la fase prerestaurativa in trattamenti multidisciplinari, specialmente quando con un ridotto numero di mascherine e uno sforzo relativamente piccolo per il paziente è possibile ottimizzare il risultato del trattamento. La possibilità di effettuare contestualmente lo sbiancamento dentale6, usando gli allineatori come “carrier” per il gel sbiancante e la migliore accettazione da parte del paziente in termini estetici si coniugano in maniera soddisfacente con una riduzione dei tempi necessari alla poltrona7.
Materiali e metodi
La paziente di 38 anni è giunta alla nostra osservazione con la richiesta di sostituire l’elemento 4.6 e di schiarire il colore della propria dentatura, non essendone soddisfatta. La donna godeva di un buono stato di salute generale e l’esame clinico extraorale non ha rivelato anomalie morfologiche a carico del viso o del cranio. La paziente aveva affrontato all’età di 12 anni una terapia ortodontica, con estrazione dei primi premolari superiori e inferiori, per correggere l’affollamento del settore anteriore. Da allora era presente un retainer fisso nell’arcata inferiore, da canino a canino, staccato in corrispondenza dell’elemento dentario 3.1
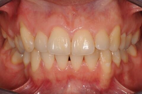
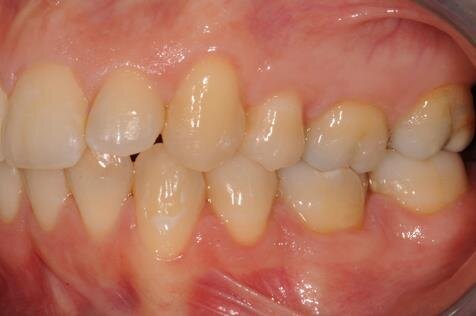
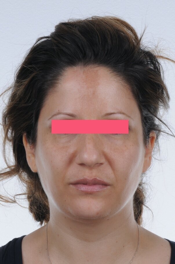
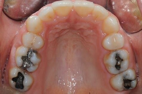
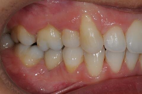
All’esame clinico del viso si osservava una sostanziale simmetria bilaterale e corrette proporzioni facciali verticali frontali e laterali (Figg. 1a-1c). Il sorriso presentava un’adeguata esposizione degli incisivi superiori e dei corridoi buccali e la centratura della linea mediana superiore rispetto al volto. All’ispezione del cavo orale, invece, si riscontrava una lieve deviazione della linea mediana inferiore verso destra di circa 1 mm, con contestuale II Classe canina a destra (Figg. 2a-2c). La mancanza del primo molare inferiore di destra aveva prodotto lo spostamento mesiale, la mesio-inclinazione del secondo e terzo molare inferiore e l’estrusione del primo molare superiore. A sinistra, invece, era riscontrabile una I Classe canina e molare. Erano presenti un moderato affollamento nell’arcata superiore ed un lieve disallineamento degli incisivi inferiori. L’overjet era lievemente aumentato e l’arcata superiore appariva lievemente contratta, soprattutto a destra. Erano presenti recessioni gengivali multiple.
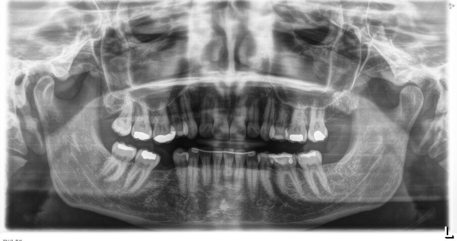
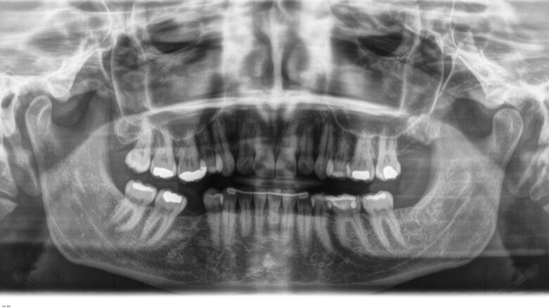
L’esame ortopantomografico (Fig. 3) non ha evidenziato patologie in atto e confermava l’aumentato tipping del secondo e del terzo molare inferiori di destra. La paziente non riferiva alcun disturbo a carico delle articolazioni temporomandibolari. Nella pianificazione del trattamento la paziente è stata informata della presenza di una malocclusione di seconda classe monolaterale per la quale è stata proposta una risoluzione mediante distalizzazione dell’emiarcata superiore di sinistra e uprighting degli elementi 4.7 e 4.8. È stata inoltre informata che la sovraeruzione dell’elemento 1.6 non consentiva di riabilitare l’edentulia in maniera ottimale. La durata del trattamento ortodontico proposto era stimata in 18- 24 mesi. La paziente ha preferito non procedere con un trattamento ortodontico onnicomprensivo, ma ha accettato la proposta alternativa di un trattamento breve con allineatori trasparenti al fine di effettuare l’intrusione dell’elemento 1.6 per ottimizzare la terapia implantoprotesica. Sono stati utilizzati allineatori in poliuretano caratterizzati da una linea di taglio non festonata, ma dritta passante circa 2 mm apicale ai margini gengivali degli elementi dentari (ClearCorrect, Round Rock, Texas, USA).
Figg. 1a-1c - Foto extraorali pre-trattamento: visioni frontale, frontale del sorriso e laterale.
Figg. 1a-1c - Foto extraorali pre-trattamento: visioni frontale, frontale del sorriso e laterale.
Figg. 1a-1c - Foto extraorali pre-trattamento: visioni frontale, frontale del sorriso e laterale.
Figg. 2a-2c - Foto intraorali pretrattamento: visioni frontale (a), laterali (b).
Figg. 2a-2c - Foto intraorali pretrattamento: visioni frontale (a), laterali (b).
Figg. 2a-2c - Foto intraorali pretrattamento: visioni frontale (a), laterali (b).
Fig. 3 - Ortopantomografia pre-trattamento.
Risultati
La scelta terapeutica di correggere la malocclusione mediante allineatori trasparenti è stata realizzata con lo scopo principale di creare lo spazio protesico sufficiente alla sostituzione dell’elemento mancante, mediante intrusione dell’elemento 1.6, ma ha anche consentito di migliorare l’allineamento in entrambe le arcate. Al momento dell’invio del caso, la prescrizione medica ha previsto di non muovere i molari ad eccezione dell’elemento 1.6 che doveva essere intruso e di allineare l’arcata superiore ottenendo lo spazio mancante mediante riduzione interprossimale.
La simulazione del setup iniziale inviato da ClearCorrect® ha previsto un trattamento con 10 allineatori per arcata da sostituire ogni 14 giorni per un totale di quasi 20 settimane, poco meno di 5 mesi di terapia (Figg. 4a, 4b). La quantità totale di riduzione interprossimale richiesta è stata pari a 1.8 mm localizzata nell’emiarcata superiore destra e suddivisa nelle zone interprossimali tra il primo molare e il premolare, tra il premolare e il canino, tra il canino e l’incisivo laterale ed infine tra l’incisivo laterale e l’incisivo centrale. Sono stati, inoltre, posizionati 3 engagers su tre elementi dell’arcata superiore: canino e incisivo laterale di destra e incisivo laterale di sinistra per favorire i movimenti di modifica di tip e torque degli elementi anteriori superiori (Fig. 5).
Il trattamento è iniziato a maggio 2018 e si è concluso a novembre 2018, rispettando i tempi e gli obiettivi previsti nel setup iniziale grazie all’ottima collaborazione della paziente e a un’efficace progettazione del caso. Non è stata necessaria alcuna procedura di rifinitura. Dopo circa due mesi dall’inizio della terapia ortodontica, è stato posizionato un impianto in zona 4.6. Si è scelto un impianto tissue level con superficie SLA (Tissue Level RN, Institut Straumann AG, Basel CH) con porzione transmucosa liscia, particolarmente indicato per la sostituzione degli elementi dentari posteriori. Il periodo di guarigione raccomandato per questo tipo di impianti è di 8 settimane.
In questo modo è stato possibile ottimizzare i tempi, impiegando il periodo dell’ossointegrazione per completare la terapia ortodontica. Ulteriore ottimizzazione dei tempi è stata possibile rimuovendo, un mese prima del termine della terapia ortodontica, gli “engagers” ed utilizzando gli allineatori come “carriers” per un gel sbiancante (Opalescence PF 10% - Ultradent Products Inc – South Jordan, Utah, USA) applicato dalla paziente nelle ore notturne (circa 8 ore al giorno) per 12 notti consecutive, al termine delle quali il risultato è apparso soddisfacente. Al termine della terapia ortodontica sono state rilevate le impronte in polivinilsilossano per la realizzazione della corona in posizione 4.6. Dato lo spazio mesiodistale ridotto, si è proceduto con la realizzazione di una corona di dimensioni corrispondenti ad un premolare (Figg. 6a-7). Al termine delle procedure protesiche sono state realizzate due mascherine di contenzione ed è stato prescritto il loro impiego solo per le ore notturne.
Discussione
La terapia mediante allineatori trasparenti consente un buon controllo verticale e dell’ancoraggio5, grazie alle caratteristiche biomeccaniche delle mascherine. L’intrusione del primo molare superiore è avvenuta con successo, in modo predicibile rispetto al progetto iniziale. L’utilizzo di mascherine con una linea di taglio alta, 2 mm apicale ai margini gengivali ha fornito un eccellente ancoraggio dell’apparecchiatura8 e ha permesso di intrudere l’elemento 1.6 senza necessità dei sistemi di ancoraggio temporaneo (TADs) che vengono generalmente impiegati nei casi di intrusione molare9.
L’utilizzo dell’apparecchiatura con soli 10 allineatori ha permesso di ottimizzare il trattamento implanto-protesico, impiegando il periodo di osseointegrazione per eseguire gli spostamenti dentari. Nello stesso arco di tempo è stato eseguito uno sbiancamento domiciliare per 12 notti (Fig. 8), avendo la letteratura evidenziato la compatibilità tra il gel utilizzato a base di perossido di carbamide e il poliuretano, materiale di cui sono composti gli allineatori utilizzati in questo caso clinico6.
Figg. 4a, 4b - Pianificazione dei momenti. Si noti l’intrusione dell’elemento 1.6.
Figg. 4a, 4b - Pianificazione dei momenti. Si noti l’intrusione dell’elemento 1.6.
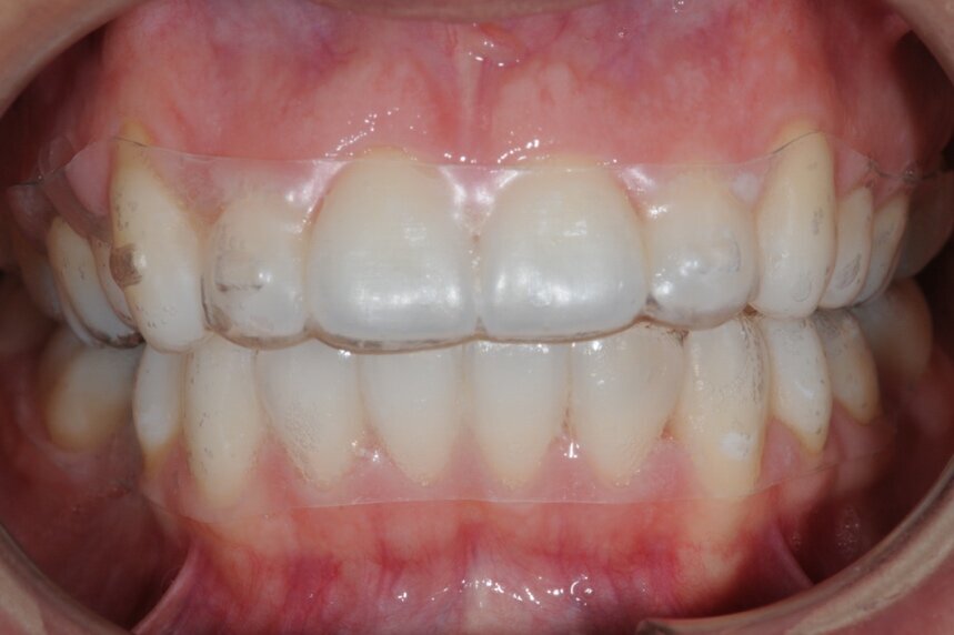
Fig. 5 - Fotografia intraorale con allineatori indossati.
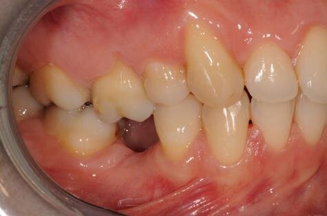
Figg. 6a-6d - Foto intraorali post-trattamento: visioni frontale (a), laterali (b), occlusali (c, d).
Figg. 6a-6d - Foto intraorali post-trattamento: visioni frontale (a), laterali (b), occlusali (c, d).
Figg. 6a-6d - Foto intraorali post-trattamento: visioni frontale (a), laterali (b), occlusali (c, d).
Figg. 6a-6d - Foto intraorali post-trattamento: visioni frontale (a), laterali (b), occlusali (c, d).
Fig. 7 - Radiografia post-operatoria a conclusione della riabilitazione protesica dell’impianto in posizione 4.6.
Fig. 8 - Fotografia del sorriso al termine della terapia.
Conclusioni
La terapia con allineatori a scopo preprotesico, grazie alla flessibilità di gestione, può rappresentare un’opzione vantaggiosa al fine di ottimizzare la durata ed il risultato delle terapie protesiche o implanto-protesiche routinariamente eseguite nella pratica clinica.
La bibliografia è disponibile presso l’editore.
L'articolo è stato pubblicato su Ortho Tribune 1/2020.
Tag:
NEW YORK, USA: I vantaggi della terapia con allineatori per i pazienti sono chiari, ma i diversi modelli di trattamento offerti dai produttori hanno già ...
In ortodonzia la gestione degli spazi interprossimali è fondamentale per ottenere un risultato predicibile. Questo caso presentava affollamento dentale ...
A un ortodontista italiano è stato assegnato uno dei tre premi internazionali di diecimila dollari per la ricerca che Align Technology ha deciso di ...
La sistematica degli allineatori, grazie al supporto delle più avanzate tecnologie digitali, rappresenta una grande risorsa nella pratica clinica ...
Cercando di colmare una lacuna nella letteratura, i ricercatori hanno analizzato la perdita di ancoraggio di premolari e canini che si verifica durante la ...
In occasione del primo congresso dedicato all’ortodonzia precoce con allineatori traspartenti, che si terrà a Torino il 29/30 novembre, vi proponiamo un ...
CHICAGO, USA: La terapia con allineatori ha rivoluzionato il trattamento delle malocclusioni, ma le autorità di regolamentazione non sono riuscite a tenere...
Henry Schein Krugg lancia la gamma di allineatori trasparenti Reveal (Reveal), soluzione adatta ai pazienti che desiderano migliorare il proprio sorriso, ...
Kit expander la vera rivoluzione degli allineatori.
Dental Tribune intervista il dott. Mauro Fradeani, sul presente e il futuro del protesista, alla vigilia della presentazione, che avverrà il 16 ...
Dr. Bruce McFarlane Certified Specialist in Orthodontics Fellow: Royal College of Dentists of Canada Diplomate: American Board of Orthodontics
Live webinar
mer. 15 aprile 2026
20:00 (CET) Rome
Live webinar
gio. 16 aprile 2026
2:00 (CET) Rome
Linda Hecker MS, BSDH, RDH
Live webinar
gio. 16 aprile 2026
18:00 (CET) Rome
Dr. Pär-Olov Östman, Dr. Robert Gottlander DDS
Live webinar
ven. 17 aprile 2026
18:00 (CET) Rome
Live webinar
ven. 17 aprile 2026
19:00 (CET) Rome
Dr. Stuart Yeaton BDentSc, MOrth
Live webinar
lun. 20 aprile 2026
19:00 (CET) Rome
Dr. Alberto Monje DDS, MS, PhD
To post a reply please login or register