Introduzione
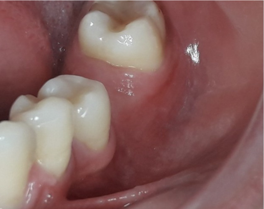
La perdita di un elemento dentario esita spesso in un deficit volumetrico dei tessuti duri e molli del mascellare, in particolare sul suo versante buccale. Le conseguenze oltre che di carattere estetico sono spesso di carattere funzionale (ristagno di cibo e placca al di sotto della protesi) che in alcuni casi possono compromettere il successo a lungo termine delle riabilitazioni impianto protesiche.
Le più recenti evidenze scientifiche mostrano infatti come il volume dei tessuti molli nella loro porzione sovracrestale siano strettamente correlate alla progressione nel tempo del riassorbimento peri implantare. In questo senso l’innesto connettivale o epitelio connettivale viene considerato il gold standard al fine di ottenere il ripristino sia estetico che funzionale della cresta ossea residua alla perdita dell’elemento dentario, sia che esso avvenga contestualmente all’inserimento implantare sia che avvenga in un secondo momento chirurgico ritardato. Oltremisura numerose e autorevoli sono le ricerche validate che evidenziano come le matrici dermiche, opportunamente utilizzate in selezionate procedure riabilitative, possano svolgere un’azione sovrapponibile a quella dell’innesto connettivale. Questo lavoro ha lo scopo di mostrare, attraverso casi clinici completi e corredati di documentazione di follow up, come una matrice dermica riassorbibile di origine suina ad elevata consistenza possa essere considerata una valida soluzione nel ripristino morfo funzionale dei tessuti.
La tecnica denominata M.T.G. (Matrix Tissue Graft) si basa sull’utilizzo di una particolare matrice dermica acellulare riassorbibile di origine suina caratterizzata da un elevata consistenza e stabilità volumetrica che viene posizionata al di sotto del lembo muco periostale eseguito a spessore totale, in contatto con la cresta ossea. La stabilizzazione della matrice avviene senza mezzi di fissazione o in casi limitati mediante l’ausilio di una sutura riassorbibile con cui ancorare la matrice al lembo mucoperiosteo.
Descrizione
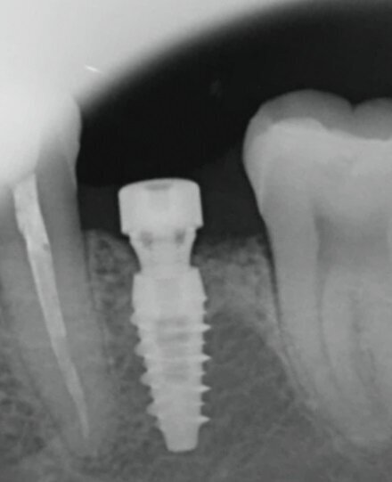
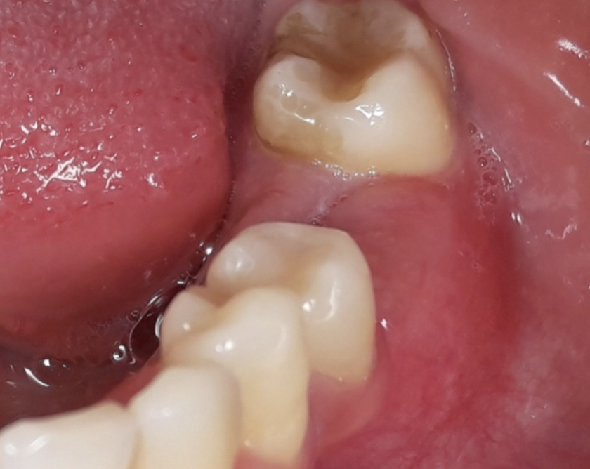
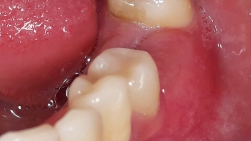
Nello studio sono stati inclusi 20 pazienti (12 donne e 8 uomini) di età compresa tra i 28 e i 65 anni, con edentulia singola e conseguente deficit vestibolare dei tessuti molli. La matrice dermica a elevata consistenza è stata opportunamente ritagliata mediante forbici e lama ed è stata posizionata al di sotto del lembo muco periostale allestito con approccio a spessore totale, vestibolarmente alla cresta ossea in cui è stato posizionato contestualmente un impianto endosseo osteointegrabile. Non si è utilizzato alcun ausilio di fissazione per la matrice dermica che è stata stabilizzata dal solo lembo di accesso ribaltato su di essa e suturato, mediante punti staccati semplici, al lembo linguale.
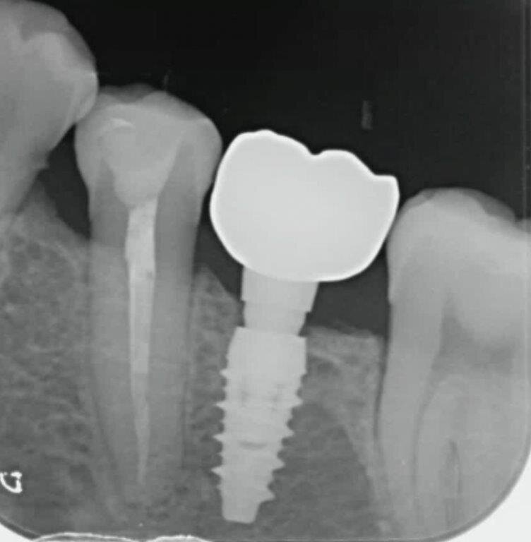
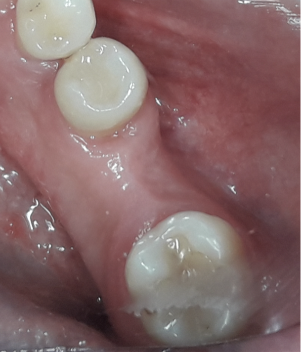
Le rilevazioni eseguite a distanza di 18 mesi di tempo medio, hanno mostrato un netto miglioramento del PES (Pink Esthetic Score) con un punteggio medio superiore a 9 (eccellente) e in due casi un punteggio tra 6 e 8 (buono). La sovrapposizione dei file .stl provenienti dalla scansione della arcata dentaria interessata prima dell’intervento e a distanza di 18 mesi ha permesso di rilevare un incremento medio in senso orizzontale di 2 mm in media.
Conclusioni
La tecnica M.T.G. può considerarsi una tecnica predicibile nell’aumento dei volumetrico dei tessuti molli perimplantari al pari dell’innesto connettivale o epitelio connettivale. L’utilizzo di una matrice dermica a elevata consistenza applicata con questa tecnica offre ulteriori vantaggi rispetto alla tecnica di innesto connettivale. Oltre a ridursi l’invasività per il paziente non richiedendo un sito donatore, la matrice può essere disponibile in quantità difficilmente reperibili con un innesto connettivale. La matrice dermica utilizzata inoltre può essere lasciata parzialmente esposta nel cavo orale ed è facilmente modellabile addirittura in una fase preparatoria di progettazione dell’intervento chirurgico.
Bibliografia
- De Marco P., Zara S., De Colli M., Radunovic M., Lazovic V., Ettorre V., Di Crescenzo A., Piattelli A., Cataldi A. Fontana a graphene oxide improves the biocompatibility of collagen membranes in an in vitro model of human primary gingival fibroblasts. Biomed Mater, 2017 sep 13;12(5):055005.
- Fickl S., Nannmark U., Schlagenhauf U., Hürzeler M., Kebschull M. Porcine dermal matrix in the treatment of dehiscence-type defects – an experimental split-mouth animal trial. Clin Oral Implants Res, 2015 jul;26(7):799-805.
- Tallarico M., Xhanari E., Pisano M., De Riu G., Tullio A., Meloni SM. Single post-extractive ultra-wide 7 mm-diameter implants versus implants placed in molar healed sites after socket preservation for molar replacement: 6-month post-loading results from a randomised controlled trial. European Journal of Oral Implantology, 2016;9(3):263-275.
- Fischer KR., FIckl S., Mardas N., Bozec L., Donos N. Stage-two surgery using collagen soft tissue grafts: clinical cases and ultrastructural analysis. Quintessence int, 2014 nov-dec;45(10):853-60.
- Fischer KR., Testori T., Wachtel H., Mühlemann S., Happe A., Del Fabbro M. Soft tissue augmentation applying a collagenated porcine dermal matrix during second stage surgery: a prospective multicenter case series. Clinical Implant Dentistry relat res., 2019;1–8.
- Fickl S., Jockel-Schneider Y., Lincke T., Bechtold M., Fischer KR, Schlagenhauf U. Porcine dermal matrix for covering of recession type defects: a case series. Quintessence int, 2013;44(3):243-6.
- Matoh U., Petelin M., Gaspersic R. Split-mouth comparison of coronally advanced flap with connective tissue graft or collagen matrix for treatment of isolated gingival recessions. Int J Periodontics Restorative Dent., 2019;39(3):439-446.
- Verardi S, Orsini M., Lombardi T., Ausenda F., Testori T., Pulici A., Oreglia F., Valente NA., Stacchi C. Comparison between two different techniques for peri-implant soft tissue augmentation: porcine dermal matrix graft vs. Tenting screw. J Periodontol. 2020; accepted, in publication.
Tag:
La malattia parodontale è una malattia multifattoriale causata da un fattore eziologico, la placca batterica, che in presenza di una ...
Lo scopo di questo lavoro è proporre, attraverso la presentazione di un caso clinico, una nuova tecnica rigenerativa di tessuti molli contestualmente...
Il dr. Giovanni Zucchelli è professore all’Università di Bologna in Italia e presidente eletto dell’Accademia Italiana di Osteointegrazione. È ...
L’inserimento d’impianti dentali è oramai una pratica quotidiana per la riabilitazione delle edentulie, parziali o totali, dei ...
Da un punto di vista estetico, un impianto malposizionato specialmente nella regione anteriore, porta inevitabilmente alla realizzazione di un lavoro ...
BRISBANE, Australia: Garantire la formazione di un solido sigillo di tessuto molle sulla superficie dell’abutment è fondamentale per proteggere il ...
Inizia con il 58° Corso Gratuito del 7-8 Marzo 2014 unitamente al 34° Memorial Biaggi la collaborazione di Sweden & Martina con la Fondazione ...
Con questo articolo desidero mostrare un caso clinico di gestione dei tessuti molli periimplantari mediante l’associazione di matrice in collagene ...
La tecnica MTG è una tecnica di rigenerazione tissutale a basso impatto biologico che si basa su tre pilastri fondamentali: la dominante implantare, ...
Ogni volta che si deve decidere quale materiale acquistare per l’abbigliamento, è necessario fare delle scelte. Queste decisioni vanno oltre il semplice ...
Intervista al dott. Gianni Barbuti.
Live webinar
mer. 22 aprile 2026
17:00 (CET) Rome
MDT Andreas Chatzimpatzakis
Live webinar
mer. 22 aprile 2026
17:00 (CET) Rome
Live webinar
mer. 22 aprile 2026
18:00 (CET) Rome
Live webinar
gio. 23 aprile 2026
17:00 (CET) Rome
Live webinar
gio. 23 aprile 2026
18:30 (CET) Rome
Live webinar
gio. 23 aprile 2026
19:00 (CET) Rome
Live webinar
gio. 30 aprile 2026
1:00 (CET) Rome
Dr. Renato Leonardo D.M.D.
To post a reply please login or register