La salute del cavo orale è condizionata dall’equilibrio dinamico tra ospite e microbiota. Esso risente degli stili di vita in grado di inficiare l’eubiosi, primo fra tutti l’inefficace controllo del biofilm batterico domiciliare, che deve essere inteso dal professionista e soprattutto dal paziente come vera e propria terapia.
L’approccio T.B.M.1 (Tailored Brushing Method) (Nardi et al.) permette la personalizzazione della scelta della tecnologia, dopo un’attenta valutazione dell’anatomia del cavo orale, del biotipo tissutale, dell’eventuale presenza di diastemi o elementi protesizzati, di elementi dentali mancanti e delle preferenze del paziente verso strumenti manuali o meccanici.
Altra differenza significativa dalle tecniche di spazzolamento tradizionali è l’obbligatorietà di aggiungere allo spazzolamento il controllo del biofilm batterico per l’igiene interprossimale. Quindi non è fondamentale indicare un movimento per disorganizzare il biofilm batterico, ma è importante che la scelta delle tecnologie più efficaci, personalizzate in funzione della situazione clinica presente, venga condivisa con il paziente. Ogni paziente ha infatti preferenze differenti che è opportuno assecondare se si vogliono ottenere una maggiore aderenza alla terapia di igiene orale domiciliare e un vero cambiamento nelle abitudini, le quali necessitano di tempo e di particolare attenzione per esser metabolizzate.
Case report
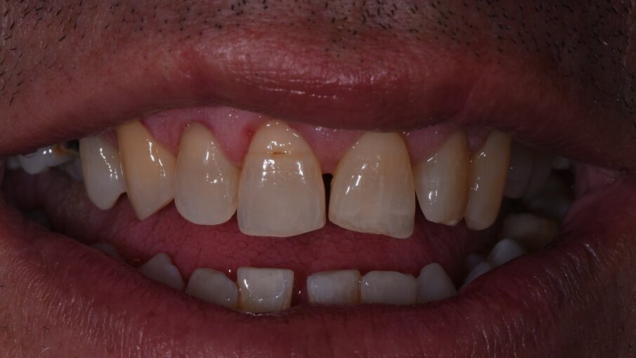
Si presenta alla nostra attenzione un paziente in apparente salute sistemica, che lamenta difficoltà nel gestire l’igiene orale domiciliare poiché svolge un’attività lavorativa che non gli permette di gestire tranquillamente a casa lo spazzolamento; riferisce inoltre di avere il problema di spazi interprossimali che spesso trattengono il cibo. Il paziente riporta anche di non riuscire a utilizzare il filo interdentale e di aver rinunciato ai controlli periodici odontoiatrici per evitare l’umiliazione derivante dal fatto di dover comunicare la sua mancanza di destrezza.
Materiali e metodi impiegati
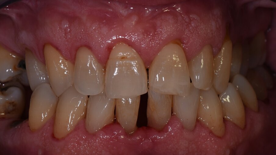
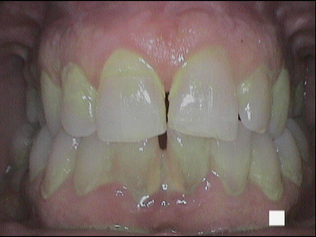
Vengono rilevati gli indici clinici e vengono condivise con il paziente le immagini raccolte con la videocamera intraorale, così da motivarlo di fronte alla presenza di tartaro e infiammazione gengivale e mostrargli le aree critiche. Viene apposto il rilevatore di placca alla fluorescina ed illuminato da una lampada fotopolimeralizzante, che permette di visualizzare la topografia del biofilm batterico (D-BIOTEK-TECNICHE)2, in modo da condividere con il paziente i siti più a rischio del cavo orale (Figg. 1a-2f).
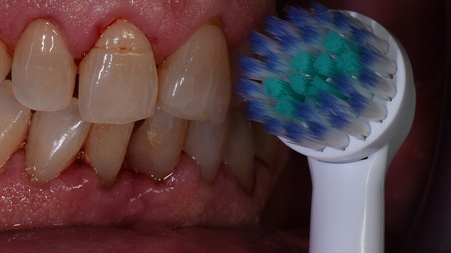
Viene chiesto poi al paziente di provare l’utilizzo dello spazzolino GUM Technique PRO, che grazie alle setole angolate e bi-livello estremamente sottili, permette un efficace controllo del biofilm batterico anche negli spazi interprossimali. Il paziente manifesta la volontà di migliorare l’efficacia della sua routine di igiene orale domiciliare e richiede di provare uno spazzolino elettrico, proprio perché convinto di poter disorganizzare la placca con il maggior tempo a disposizione durante la sera. Effettuiamo una prova con lo spazzolino elettrico GUM PowerCAR ed il paziente dichiara di apprezzare la sensazione di sollievo data dal massaggio gengivale delicato operato dalle setole, anch’esse ultra-sottili (Figg. 3a-3d). Chiediamo al paziente di passare allo spazzolamento interprossimale con lo scovolino in gomma GUM SOFT-PICKS COMFORT FLEX e il paziente rimane favorevolmente colpito dalla facilità di utilizzo di questo strumento, grazie alle setole in gomma morbida che ritiene utili anche per il controllo del food-impaction (Figg. 4a-4f).
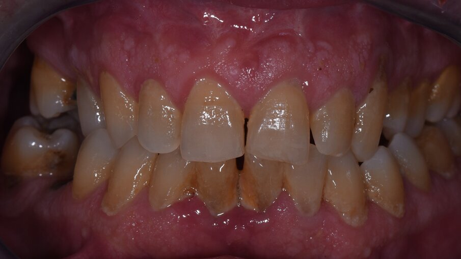
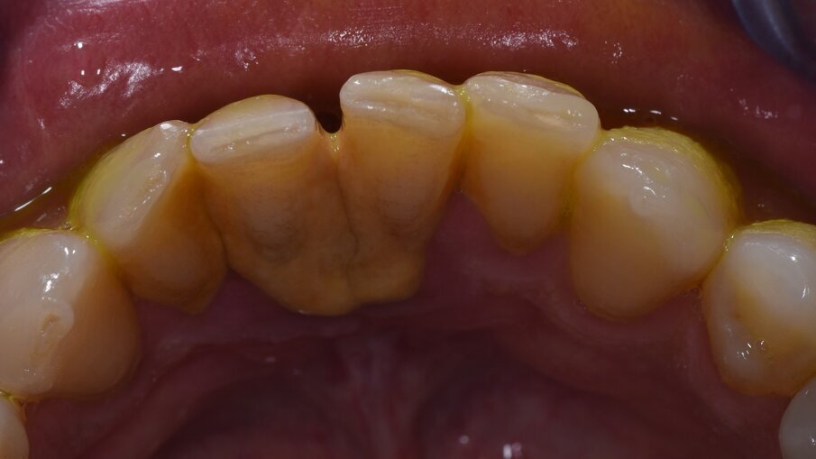
Passiamo poi al debridment parodontale con ablatore pizoelettrico Comby Touch Mectron e successivamente facciamo visualizzare al paziente le grosse concrezioni di tartaro presenti nell’area linguale e facciamo osservare la considerevole ampiezza biologica dello spazio interprossimale dato dalla recessione della papilla interdentale (Figg. 5a-5c). Mostriamo quindi la necessità di utilizzare lo scovolino professionale GUM TRAV-LER (Fig. 5d) con ampiezze diverse per essere efficaci nel controllo del biofilm batterico a livello interincisivo. Al follow-up il paziente presenta indici clinici sensibilmente migliorati e riferisce di sentirsi soddisfatto perché dotato finalmente di strumenti in grado di agevolarlo nel difficile compito di tenere sotto controllo l’efficacia della sua igiene orale domiciliare (Figg. 6a-6c).
Conclusioni
Il ruolo fondamentale giocato dal professionista consiste nell’aiutare il paziente a eseguire efficacemente le terapie di igiene orale domiciliare, condividendo con lui la scelta delle tecnologie - spazzolini da denti e scovolini interdentali ergonomici e facili da usare - da impiegare. Esse devono esser personalizzate in base all’ampiezza biologica degli spazi interdentali e meno invasive possibili, in modo da permettere al paziente di avere successo nel mantenimento in salute dei tessuti del cavo orale.
Bibliografia
- Nardi GM, Sabatini S, Guerra F, Tatullo M, Ottolenghi L. Tailored brushing method (TBM): an innovative simple protocol to improve the oral care. J Biomed 2016; 1:26-31.
- Nardi GM, Grassi R, Di Giorgio R. La terapia di mantenimento e l’approccio clinico D-BIOTECH (Dental BIOfilm Detection Topographic Technique): case report. Hygiene Tribune Italian Edition n. 2 Luglio+Agosto 2017.
L'articolo è stato pubblicato su Hygiene Tribune Italian Edition n. 1/2021
Tag:
Il Consensus Report dell’Accademia Tecnologie Avanzate nelle Scienze di Igiene Orale (ATASIO) ha fornito raccomandazioni sull’efficacia per il ...
La presenza protratta nel tempo di dispositivi ortodontici fissi è un alto rischio per la salute dei tessuti parodontali e dentali in quanto viene a ...
La presenza protratta nel tempo di dispositivi ortodontici fissi è un alto rischio per la salute dei tessuti parodontali e dentali in quanto viene a ...
La salute del cavo orale è fortemente condizionata dalla responsabilità che percepisce il paziente nel continuare il piano terapeutico di prevenzione ...
Gli impianti dentali rappresentano una alternativa scientificamente consolidata in sostituzione di uno o più denti mancanti. Il ripristino della funzione ...
L’estetica del sorriso riveste un ruolo importante nelle relazioni sociali. Le crescenti esigenze estetiche della popolazione hanno favorito lo ...
Il glucagone è un ormone prodotto dalle cellule alfa pancreatiche con il compito di far alzare rapidamente la glicemia per mantenerne costanti i valori ...
Il tema di quest’articolo, scritto a quattro mani, è stato trattato da Giampietro Farronato nel corso di una “lectio magistralis” ...
WEST LAFAYETTE, Indiana, USA: La xerostomia è una condizione frequentemente riscontrata nei pazienti sottoposti a emodialisi, chemioterapia o radioterapia ...
Ritrovare un bel sorriso! Una terapia che fa recuperare la gioia di vivere a chi l’ha persa per cause diverse: dai traumi, alla carie, alla malattia ...
Dr. Bruce McFarlane Certified Specialist in Orthodontics Fellow: Royal College of Dentists of Canada Diplomate: American Board of Orthodontics
Live webinar
mer. 15 aprile 2026
20:00 (CET) Rome
Live webinar
gio. 16 aprile 2026
2:00 (CET) Rome
Linda Hecker MS, BSDH, RDH
Live webinar
gio. 16 aprile 2026
18:00 (CET) Rome
Dr. Pär-Olov Östman, Dr. Robert Gottlander DDS
Live webinar
ven. 17 aprile 2026
18:00 (CET) Rome
Live webinar
ven. 17 aprile 2026
19:00 (CET) Rome
Dr. Stuart Yeaton BDentSc, MOrth
Live webinar
lun. 20 aprile 2026
19:00 (CET) Rome
Dr. Alberto Monje DDS, MS, PhD
To post a reply please login or register