Search Dental Tribune

Impianti in Zirconia: una diversa risposta biologica al biofilm batterico

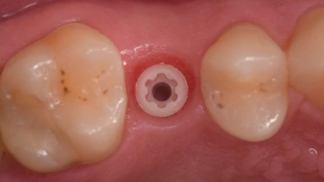
Fig. 3 - Impianto in ceramica in sede 1.5.
M Brignoli, G Bontà, L De Marco, R Scaringi

M Brignoli, G Bontà, L De Marco, R Scaringi

lun. 12 gennaio 2026

salvare

Gli impianti dentali rappresentano una alternativa scientificamente consolidata in sostituzione di uno o più denti mancanti. Il ripristino della funzione masticatoria associata a un’adeguata estetica, consente di preservare i tessuti orali circostanti. Nel corso degli ultimi decenni si è affinata la conoscenza che consente agli impianti in titanio di garantire un’adeguata guarigione ossea e un’ottima interazione con i tessuti muco-gengivali garantendo nel tempo il ripristino estetico e funzionale. Per questo motivo gli impianti in titanio ricoprono una vasta area di applicazioni nell’ambito dentale 1.

Il titanio è stato ampiamente impiegato ed è tuttora la prima scelta in implantologia dentale anche grazie ai tassi di sopravvivenza a lungo termine degli impianti in titanio che sono del 95% – 97%, tuttavia, possono verificarsi complicanze biologiche che attualmente sono oggetto di ampie discussioni.

Recentemente è stato infatti sollevato il possibile ruolo delle particelle di titanio come fattore scatenante nello sviluppo della peri-implantite, tale dispersione metallica è meglio conosciuta come tribocorrosione e coinvolge la mappatura del DNA modificandone la struttura. Per le corone singole su impianti in titanio, sono stati calcolati un tasso cumulativo di complicanze ai tessuti molli a 5 anni del 7%, un tasso cumulativo di complicanze per perdita ossea >2 mm del 5% e un tasso cumulativo di complicanze estetiche del 7%. La prevalenza della perimplantite nei 5-10 anni successivi al posizionamento dell’impianto è stimata tra il 10% e il 20%2. Tuttavia, una delle più importanti sfide della medicina corrente e delle varie discipline a essa correlate, è quella di progettare e sviluppare modelli in grado di riprodurre efficientemente l’architettura, la morfologia e le caratteristiche meccaniche degli elementi naturali favorendo contemporaneamente la rigenerazione dei tessuti viventi3. Negli ultimi anni sono stati effettuati numerosi studi al fine di introdurre un materiale alternativo al titanio come la zirconia stabilizzata con ittrio. Questo materiale è altamente estetico, biocompatibile, ha un’ottima osteointegrazione e presenta una scarsa adesione batterica specie in situazioni di superficie lucidata, diminuendo di conseguenza la possibilità di sviluppo di casi di peri-implantite. Gli studi hanno posto l’attenzione sulla realizzazione di diversi tipi di materiali: vetri e vetroceramici bioattivi per applicazioni nel settore della medicina orale, grazie alla loro abilità di instaurare legami chimici con l’osso e stabilire reazioni biologiche positive nell’interfaccia tra la materia e i tessuti biologici⁴.

Questi materiali sono considerati particolarmente indicati nel campo dell’ingegneria tissutale grazie alla loro versatilità e alle proprietà fisiche e morfologiche, tali da consentire il verificarsi di specifici fenomeni di adesione cellulare, rivascolarizzazione, differenziamento di cellule staminali mesenchimali e attività enzimatica⁵. Lo zirconio è stato originariamente scoperto come minerale nel 1892 ed è stato ampiamente utilizzato come materiale refrattario grazie al suo elevato punto di fusione di 2.715°C. In odontoiatria viene ampiamente utilizzato l’ossido di zirconio (o zirconia), come materiale protesico e implantare, per le sue proprietà estetiche.

La zirconia presenta una struttura molecolare reticolare e cristallina, che a temperatura ambiente è in forma monoclina e dopo un riscaldamento di oltre mille gradi, si trasforma in forma tetragonale per poi passare a quella cubica oltre i duemila gradi (Fig. 1). Il passaggio da una fase all’altra, in particolare la trasformazione dalla fase tetragonale a quella monoclina, è rilevante perché attiva il meccanismo di tenacizzazione dei ceramici, il quale comporta un incremento delle proprietà meccaniche del materiale. Se ci sono tensioni esterne, ovvero stress che dilatano la matrice, il materiale diventa più resistente. Per questo motivo non appena una cricca inizia a formarsi, i grani di zirconia adiacenti iniziano a espandersi, trasformandosi nella forma monoclina più stabile. Questa espansione adiacente la cricca la comprime arrestando la propagazione. In questo modo il materiale risulta resistente alla frattura. In odontoiatria vi sono tre tipi di ceramica all’ossido di zirconio: zirconia tetragonale stabilizzata allo ione ittrio (Y-TZP), la zirconia tetragonale parzialmente stabilizzata al magnesio (Mg-PSZ) e la zirconia tetragonale stabilizzata con allumina (ZTA). Questi tre tipi di zirconia sono parzialmente stabilizzati grazie all’aggiunta di ossidi ittrio, di magnesio e di allumina. Alcune ceramiche a base di ossido di zirconio vengono stabilizzate con ossido di calcio utilizzando una tecnica a microonde e aggiungendo CaO 8% molare con ottimi risultati in ambito implantologico. La zirconia parzialmente stabilizzata con ossido di magnesio mostra un’ottima biocompatibilità con i tessuti molli. La zirconia stabilizzata con ittrio presenta diverse caratteristiche positive, tra cui alta densità, bassa porosità, elevata duttilità e resistenza alla compressione, dimostrando così la sua idoneità all’uso in ambito biomedico e, in particolare, nell’implantologia dentale⁶. L’introduzione in implantologia di nuovi materiali ha come fine quello di facilitare l’osteointegrazione ostacolando la colonizzazione batterica e prevenendo così le peri-implantiti. I risultati ottenuti sembrano indirizzati verso la realizzazione di impianti a base di materiali ceramici, in quanto questi facilitano l’osteointegrazione e minimizzano l’accumulo di placca; quindi permettono una gestione ottimale dei tessuti molli, con conseguenti vantaggi estetici.

Gli studi in vivo di Sanon C. Et al. sulla colonizzazione microbica su dischi in titanio e zirconio hanno mostrato che l’ossido di zirconio raccoglie meno placca sulla superficie rispetto al titanio7. Tutte le superfici in ossido di zirconio devono essere lucidate per rimuovere graffi di lavorazione. I processi di lucidatura influenzano il degrado a bassa temperatura dell’ossido di zirconio compromettendo alcune proprietà come per esempio la degradazione meccanica, perdita di resistenza alla flessione o alla fatica8. Le proprietà superficiali microstrutturali di un biomateriale svolgono un ruolo fondamentale nel garantire una buona adesione cellulare, un’eccellente risposta da parte dei tessuti e un alto grado di biocompatibilità con l’osso circostante favorendo il processo di osteointegrazione. La topografia superficiale ruvida influisce positivamente sull’osteointegrazione; infatti studi condotti su colture cellulari hanno dimostrato che la zirconia con una superficie moderatamente ruvida, è ben tollerata dagli osteoblasti e si integra in maniera ottimale nel tessuto osseo9. Pertanto sono stati proposti numerosi metodi di modifica della superficie attraverso la microrugosità superficiale (sabbiatura o mordenzatura con acido), l’applicazione dei rivestimenti bioattivi (fosfato di calcio, bisfosfonato e collagene), la sinterizzazione di particelle sulla superficie dell’impianto, la nanotecnologia e la tecnologia laser. In particolare gli impianti in zirconia mordenzati per infiltrazione selettiva hanno mostrato una BIC (Bone to implant contact) maggiore (75%) rispetto alla zirconia sinterizzata (62%)10 (Fig. 2).

Grazie allo studio di Tokunaga et al., volto a chiarire l’influenza che ha la composizione chimica della superficie implantare sull’osteointegrazione, possiamo osservare, dal punto di vista istologico la connessione impianto/osso. In questo studio sono stati utilizzati dischi in titanio e dischi in titanio irruviditi dove è stato depositato un sottile strato di ossido di zirconio sulla superficie irruvidita. Questi dischi sono stati inseriti nel femore dei ratti; successivamente si è analizzato il rapporto osso-impianto dopo 2 settimane e dopo 4 settimane. Si è visto che in entrambi i casi vi sono alcuni spazi vuoti tra superficie implantare e osso ma gli impianti in titanio hanno mostrato maggiori divari tra osso e superficie implantare11. Anche la revisione condotta da Sivaraman et al. ha mostrato che l’osteointegrazione tra impianti in zirconia e impianti in titanio presenta differenze minime dal punto di vista del BIC osservando che la crescita e la proliferazione cellulare erano significativamente più elevate sulle superfici in zirconia rispetto a quelle in titanio.

Oltre alle ottime proprietà di osteointegrazione, questo materiale gode di un’ottima compatibilità con i tessuti molli. Le proprietà bio-inerti della zirconia contribuiscono alla rapida proliferazione dei fibroblasti gengivali sulla superficie implantare creando così il sigillo gengivale attorno l’impianto. Anche in questo caso le caratteristiche, il design implantare, il materiale ed il grado di ruvidità hanno un ruolo fondamentale nella buona riuscita del sigillo mucoso. Una superficie implantare liscia favorisce una buona tenuta dei tessuti molli e l’espressione dei mediatori chimici risulta essere maggiormente regolata sugli impianti in zirconia liscia rispetto al titanio10. Numerosi studi hanno confrontato i due materiali dimostrando che la zirconia sia una valida alternativa al titanio. Infatti, è stato dimostrato che la zirconia è biocompatibile sia in vitro sia in vivo. È stata inoltre osservata una buona conservazione dell’osso marginale, con una ridotta perdita ossea, a differenza degli impianti in titanio che hanno mostrato un maggiore riassorbimento osseo peri-implantare. Ciò è attribuibile alla biocompatibilità della zirconia, che comporta una scarsa adesione della placca batterica e un’ottima guarigione e stabilità nel tempo dei tessuti duri e molli.

La capacità della zirconia di ridurre l’adesione batterica, la minore risposta infiammatoria rispetto al titanio, il significativo aumento della microcircolazione nei tessuti molli e la formazione più rapida dell’attacco epiteliale – con conseguente miglior salute della mucosa – sono confermati anche dallo studio di Bienz et al., il quale, tramite esame clinico peri-implantare, ha evidenziato una minore profondità di sondaggio e un indice di sanguinamento inferiore rispetto agli impianti in titanio¹².

Per quanto riguarda la decontaminazione professionale è emerso, analizzando diversi studi in vitro, che la strumentazione manuale con curette in plastica, in acciaio o in titanio hanno aumentato significativamente la rugosità superficiale della zirconia, creando adesione batterica, mentre in altri studi la differenza di rugosità superficiale è trascurabile. Questa discrepanza nei risultati può essere spiegata dall’angolazione della strumentazione e dall’entità della forza impressa dall’operatore. I sistemi di lucidatura come la coppetta da profilassi e l’utilizzo di air polishing con polvere di glicina o eritritolo non hanno causato alcun danno all’ossido di zirconio. Gli ablatori a ultrasuoni con punte in metallo devono essere usati con cautela, poiché alcuni studi hanno rilevato graffi o micro-fossette dopo il loro utilizzo. Inoltre l’utilizzo degli ablatori con punta in metallo causano l’invecchiamento del materiale, cioè influiscono sull’integrità microstrutturale riducendo la resistenza meccanica. Gli ablatori a ultrasuoni con punte non metalliche non hanno causato alterazioni superficiali. Quindi l’uso di una punta in PEEK non causa alcun danno, ma sono stati rilevati detriti della punta abrasa. I sistemi al laser a diodi sono promettenti per la decontaminazione, in quanto il loro utilizzo non crea alterazioni superficiali13. Come risultato dallo studio di Romeo et al., attraverso il posizionamento di impianti dentali in zirconia, possiamo ottenere risultati soddisfacenti dal punto di vista clinico e radiografico. Nessun impianto ha mostrato livelli ossei inadeguati o perdita ossea progressiva. Non sono stati osservati né segni d’infezione associati a suppurazione né complicanze da parte dei pazienti14 (Fig. 3). Tutte queste proprietà rendono l’ossido di zirconio stabilizzato con ittrio un materiale diffuso nell’odontoiatria moderna. Questo materiale è molto utilizzato anche per la realizzazione di manufatti protesici grazie alla sua tecnica di produzione estremamente semplificata CAD/CAM. Attraverso questa tecnica è possibile ottenere manufatti di elevata qualità estetica e funzionale. Studi effettuati sia in vitro che in vivo hanno confermato l’elevata resistenza alla frattura, che ne permette l’utilizzo anche nelle aree masticatorie più sollecitate.

Conclusioni
Gli ottimi risultati ottenuti dagli impianti in zirconia, sia in termini di osteointegrazione sia di risposta dei tessuti molli, ampiamente documentati nella letteratura scientifica degli ultimi dieci anni, ne giustificano l’introduzione nella pratica clinica quotidiana. I dati disponibili mostrano come lo stato di salute dei tessuti molli attorno agli impianti in zirconia risulti migliore rispetto a quello osservato negli impianti in titanio, con una minore presenza di placca e un ridotto sanguinamento al sondaggio. Grazie al loro colore, gli impianti in zirconia sono particolarmente indicati nelle zone ad alta valenza estetica, soprattutto in presenza di un fenotipo gengivale sottile. Inoltre, alla luce delle evidenze relative al minor accumulo di placca, essi possono rappresentare una valida opzione nei soggetti predisposti a malattia parodontale o con difficoltà nel mantenimento quotidiano dell’igiene orale.

Bibliografia

  1. Oshida Y, Tuna EB, Aktören O, Gençay K. Dental implant systems. Int. J. Mol.
  2. Cionca N, Müller N, Mombelli A. Two-piece zirconia implants supporting all-ceramic crowns: a prospective clinical study. Clin Oral Implants Res. 2015 Apr;26(4):413-418.
  3. Baino F, Vitale-Brovarone C. Bioactive glass and glass-ceramic foam scaffolds for bone tissue restoration. Woodhead Publishing Limited, 2014.
  4. Montazerian M, Zanotto ED. Bioactive and inert dental glass-ceramics. J. Biomed. 97 Mater. Res. – Part A, vol. 105, no. 2, pp. 619–639, 2017.
  5. Kaur G, Pandey OP, Singh K, Homa D, Scott B, Pickrell G. A review of bioactive glasses: Their structure, properties, fabrication and apatite formation. J. Biomed. Mater. Res. – Part A, vol. 102, no. 1, pp. 254–274, 2014.
  6. Hanawa T. Zirconia versus titanium in dentistry: A review. Dent Mater J. 2020 Jan 31;39(1):24-36.
  7. Sanon C, Chevalier J, Douillard T, Kohal RJ, Coelho PG, Hjerppe J, Silva NR. Low temperature degradation and reliability of one-piece ceramic oral implants with a porous surface. Dent Mater. 2013 Apr;29(4):389-97.
  8. Yin L, Nakanishi Y, Alao AR, Song XF, Abduo J, Zhang Y. A review of engineered zirconia surfaces in biomedical applications. Procedia CIRP. 2017;65:284-2 90.
  9. Hafezeqoran A, Koodaryan R. Effect of Zirconia Dental Implant Surfaces on Bone Integration: A Systematic Review and Meta-Analysis. Biomed Res Int. 2017;2017:9246721.
  10. Sivaraman K, Chopra A, Narayan AI, Balakrishnan D. Is zirconia a visable alternative to titanium for oral implant? A critical review. J Prosthodont Res. 2018 Apr;62(2):121-133.
  11. Tokunaga Y, Hirota M, Hayakawa T. Influence of the Surface Chemical Composition Differences between Zirconia and Titanium with the Similar Surface Structure and Roughness on Bone Formation. Nanomaterials (Basel). 2022 Jul 19;12(14):2478.
  12. Bienz SP, Hilbe M, Hüsler J, Thoma DS, Hämmerle CHF, Jung RE. Clinical and histological comparison of the soft tissue morphology between zirconia and titanium dental implants under healthy and experimental mucositis conditions-A randomized controlled clinical trial. J Clin Periodontol. 2021 May;48(5):721-733.
  13. Tan NCP, Khan A, Antunes E, Miller CM, Sharma D. The effects of physical decontamination methods on zirconia implant surfaces: a systematic review. J Periodontal Implant Sci. 2021 Oct;51(5):298-315.
  14. Romeo E, Scaringi R, Lops D, Palazzolo A. – Single Crown Restorations Supported by One-Piece Zirconia Dental Implants: Case Series with a Mean Follow-Up of 58 Months.

Nota editoriale:

Scopri le nuove iniziative DI&RA  per gli igienisti dentali
Da anni DI&RA promuove cultura, ricerca e formazione nel settore odontoiatrico, con un’attenzione particolare allo sviluppo professionale delle diverse figure cliniche. Con il nuovo biennio sotto la presidenza del Dott. Riccardo Scaringi, il progetto culturale si orienta verso una proposta formativa basata su tre priorità principali:

  • Integrare digitale e analogico: superare la contrapposizione tra “nuovo” e “tradizionale”, mostrando come le nuove tecnologie possano valorizzare – e non sostituire – le competenze cliniche e tecniche già acquisite.
  • Mantenere un approccio evidence-based: sviluppare programmi fondati su linee guida, letteratura scientifica e casi clinici documentati, evitando mode o semplificazioni eccessive.
  • Valorizzare la comunità DI&RA: creare format che favoriscano il confronto paritario tra relatori, soci attivi, giovani colleghi, igienisti e odontotecnici, perché un dialogo interdisciplinare reale è la chiave per una crescita collettiva.

Questo approccio sarà declinato anche per la professione dell’igienista dentale, con un programma che ne enfatizza il ruolo centrale nella prevenzione, nel monitoraggio dei risultati nel tempo e nella comunicazione con il paziente, sfruttando strumenti digitali come registrazioni fotografiche sistematiche, scanner intraorali per il follow-up e report digitali.

Per maggiori informazioni e conoscere le iniziative rivolte agli igienisti dentali visita il sito: www.diracademy.it

Tag:
To post a reply please login or register
advertisement