Anche per quanto riguarda l’implantologia zigomatica si può parlare di “tecnica minimamente invasiva”. Infatti, uno studio attuale dell’autore riguarda proprio l’utilizzo della strumentazione piezoelettrica associato agli impianti zigomatici. Gli strumenti rotanti hanno uno scarso controllo chirurgico e una precisione non ottimale dovuta soprattutto all’elevata lunghezza che ne provoca una continua oscillazione.
Gli strumenti piezoelettrici utilizzati con un corretto protocollo permettono inoltre una maggior visibilità del campo operatorio, data dalla loro nebulizzazione che ne facilita enormemente il lavoro.
La tecnica zigomatica minimamente invasiva ideata dal dott. Andrea Tedesco per l’inserimento di impianti zigomatici in gravi atrofie mascellari si avvale di due concetti fondamentali: l’approccio extrasinusale e la preparazione del sito osteotomico per l’alloggiamento dell’impianto zigomatico realizzato interamente con strumentazione piezoelettrica.
Questo rende la tecnica essenzialmente meno invasiva in quanto il non coinvolgimento del seno mascellare implica una notevole riduzione della morbilità e dei tempi operatori, mentre la strumentalizzazione piezoelettrica, con i vantaggi che ormai tutti conoscono, rende l’intervento chirurgico meno pericoloso e più preciso. Il Dott. Tedesco Andrea ha elaborato con Esacrom una sequenza di inserti dedicati a questa nuova tecnica. Infatti, dopo aver realizzato l’ingresso a livello crestale/palatino, l’impianto si inserirà nell’osso zigomatico senza coinvolgere il seno mascellare.
Chiaramente è obbligo sottolineare la necessità di un adeguato training da parte dell’operatore che voglia avvicinarsi a questa tecnica che, nonostante la semplicità, è pur sempre un atto chirurgico importante.
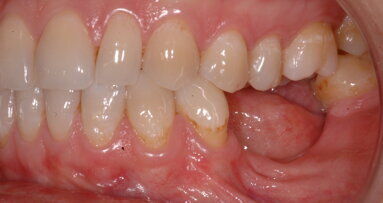
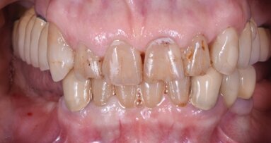
Gli impianti zigomatici rappresentano una valida alternativa alla chirurgia rigenerativa delle gravi atrofie mascellari. Con una corretta indicazione ...
Il fallimento di impianti classici o delle tecniche rigenerative oltre che i gravi casi di atrofia del mascellare, possono oggi essere recuperati attraverso...
Gli autori affrontano la tematica dell’implantologia zigomatica proponendo una metodica completamente guidata. Con l’ausilio di placche metalliche ad ...
I bifosfonati sono un’importante classe di farmaci che agiscono inibendo l’attività osteoclastica e modulando quindi il riassorbimento ...
La chirurgia rigenerativa ossea si occupa da più di vent’anni della soluzione delle atrofie ossee conseguenti alla perdita degli elementi dentali. Molte ...
Una paziente di 65 anni si presentò alla nostra attenzione, riferita dal dentista curante, per risolvere il suo edentulismo posteriore bilaterale. ...
L’atrofia severa uni o bi-mascellare costituisce un importante ostacolo per la riabilitazione con protesi fissa mediante interventi di chirurgia ...
Da qualche tempo l’industria implantare propone corsi, tenuti da chirurghi maxillo facciali, di grande esperienza volti all’addestramento di odontoiatri...
La tecnica di rialzo di seno mascellare è una procedura chirurgica atta a ripristinare la mancanza ossea verticale nella regione posteriore del mascellare ...
HONG KONG, CINA: La sindrome delle apnee ostruttive del sonno (Obstructive Sleep Apnoea Syndrome – OSAS) può produrre ipopnea o apnea durante il sonno. ...
Live webinar
gio. 7 maggio 2026
2:00 (CET) Rome
Ms. Ellen Karlin, Dr. Sara Karlin
Live webinar
gio. 7 maggio 2026
17:00 (CET) Rome
Live webinar
gio. 7 maggio 2026
18:00 (CET) Rome
Live webinar
gio. 7 maggio 2026
18:00 (CET) Rome
Dra. Maria Carolina Erhardt, Dra. Thais Tomé Feldens
Live webinar
gio. 7 maggio 2026
20:30 (CET) Rome
Live webinar
lun. 11 maggio 2026
18:00 (CET) Rome
Live webinar
lun. 11 maggio 2026
19:00 (CET) Rome
To post a reply please login or register