Il controllo meccanico del biofilm è considerato lo standard di cura per le patologie peri-implantari. L’applicazione aggiuntiva di antisettici locali per prevenire la formazione del biofilm sembra aumentare la risposta al trattamento. L’obiettivo di questo case report è di descrivere il trattamento della patologia peri-implantare attraverso l’uso di un gel a base di Xantano e Clorexidina (XAN-CHX) e di effettuare una narrative review sulle evidenze più recenti a proposito delle terapie aggiuntive nel management delle patologie peri-implantari.
Metodi: una paziente di 44 anni, non fumatrice, presenta 2 impianti in sito 15 e 25 con un massimo di PPD di 6 mm. Il sanguinamento al sondaggio (FMBS) e l’indice di placca (FMPS) sui siti implantari erano del 100%. La paziente è stata sottoposta a terapia peri-implantare non chirurgica e a un’applicazione aggiuntiva di XAN-CHX gel. L’applicazione di XAN-CHX gel è stata eseguita a 30-60-90 giorni. La rivalutazione è stata eseguita a 6 mesi e a 1 anno.
Risultati: a 90 giorni dal baseline entrambi gli impianti hanno mostrato un miglioramento del FMBS, che si è ridotto del 100% per l’impianto sul 15 e del 83% per l’impianto sul 25. Questo miglioramento è rimasto stabile a 6 mesi e a un anno. Inoltre, 6 articoli su questo argomento sono stati selezionati per la narrative review.
Conclusioni: sulla base della letteratura recente, l’efficacia delle terapie aggiuntive per il trattamento delle patologie peri-implantari necessita di più studi. I risultati clinici di questo case report suggeriscono che l’applicazione di un gel a base di XAN-CHX può essere efficace nel trattamento delle patologie peri-implantari in combinazione alla terapia non chirurgica.
Introduzione Le malattie peri-implantari sono condizioni infiammatorie causate dall’accumulo di biofilm che affliggono i tessuti peri-implantari1, 2. La mucosite peri-implantare è una lesione infiammatoria che circonda la mucosa peri-implantare senza perdita di supporto osseo2, 3, caratterizzata clinicamente da sanguinamento al sondaggio. È possibile, inoltre, riscontrare clinicamente eritema e aumento della profondità di sondaggio. Tale aumento può verificarsi a seguito della presenza di edema o di una riduzione della resistenza dei tessuti al sondaggio2. È stato stimato che la mucosite peri-implantare colpisce circa il 21%-88% dei soggetti e il 9%-51% dei siti implantari, con una prevalenza rispettivamente del 47% e 29%4. In base alla predisposizione individuale e in assenza di un adeguato programma di supporto peri-implantare, la mucosite peri-implantare può evolvere in peri-implantite2, 5, condizione irreversibile biofilm-associata caratterizzata da un quadro clinico infiammatorio e perdita di supporto osseo2. Di conseguenza, il controllo del biofilm eseguito domiciliarmente dal paziente e professionalmente dal professionista sanitario dovrebbero essere considerate le terapie standard per il management delle patologie peri-implantari3.
In accordo con le Linee Guida EFP1, il trattamento delle mucositi peri-implantari dovrebbe includere tools come curettes in titanio, punte ultrasoniche in polietereterchetone o dispositivi di air-polishing con polveri di glicina. Al fine di prevenire la formazione del biofilm alla superficie implantare, l’aggiunta di antibiotici locali o antisettici sembra implementare ulteriormente la risposta al trattamento. La clorexidina è un bisguanide cationico con una attività antibatterica ad ampio spettro, agendo sui batteri G+, G-, virus e lieviti. Le caratteristiche che attualmente permettono di definire la Clorexidina come Gold Standard tra gli agenti antisettici presenti in commercio sono la sua substantività e i suoi prolungati effetti antimicrobici sulle mucose e sulla superficie del dente, oltre che le sue proprietà battericide e batteriostatiche7. Il gel a base di Clorexidina e Xantano (Chlosite, Ghimas) è costituito da Clorexidina (CHX) digluconata (0.5%), Clorexidina (CHX) diidroclorica (1%) in rapporto 1:2 e da gel Xantano (0.5%). Quest’ultimo è un polimero che forma un reticolo tridimensionale pseudo-plastico con l’acqua, un ottimo substrato per la formazione di un gel stabile, permettendo un rilascio prolungato di Clorexidina. Tale gel esplica la propria funzione per circa 30 giorni. La Clorexidina digluconata viene liberata al momento dell’applicazione, raggiungendo una concentrazione > 100 μg/ml, che permane per circa 6-9 giorni (si tenga in considerazione che la concentrazione minima inibente - MIC - per tale antimicrobico è pari a 0.10 μg/ml). La Clorexidina diidroclorica, invece, viene rilasciata nei giorni successivi, permettendo un’azione batteriostatica e battericida per le successive due settimane e prevenendo una possibile ricolonizzazione del sito.
Sebbene l’utilizzo di agenti antimicrobici potrebbe non essere efficace nel trattamento della malattia peri-implantare, l’utilizzo del gel a base di Xantano e Clorexidina (CHX-XAN) in aggiunta al trattamento parodontale non chirurgico ha riportato miglioramenti clinici tali per cui si può giustificare il suo utilizzo nel trattamento della parodontite8-10. Studi suggeriscono come l’utilizzo del gel a base di Xantano e Clorexidina possa migliorare i parametri clinici parodontali: una revisione sistematica11 ha concluso che l’aggiunta di questo gel apporti benefici in termini di riduzione della profondità di sondaggio rispetto alla sola terapia non chirurgica. L’obiettivo del presente studio è descrivere un piano di trattamento efficace nel management delle patologie peri-implantari attraverso l’utilizzo del XAN-CHX gel, in modo da prevenire l’insorgenza della peri-implantite e promuovere la restitutio ad integrum dei tessuti coinvolti.
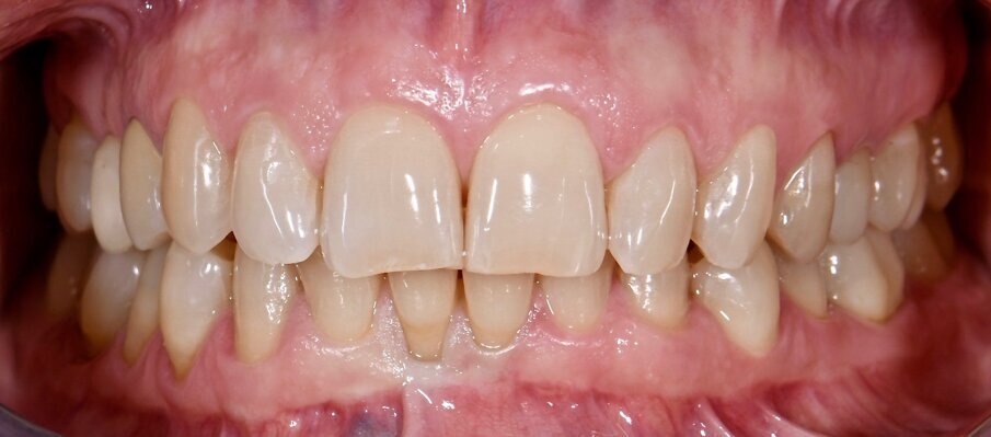
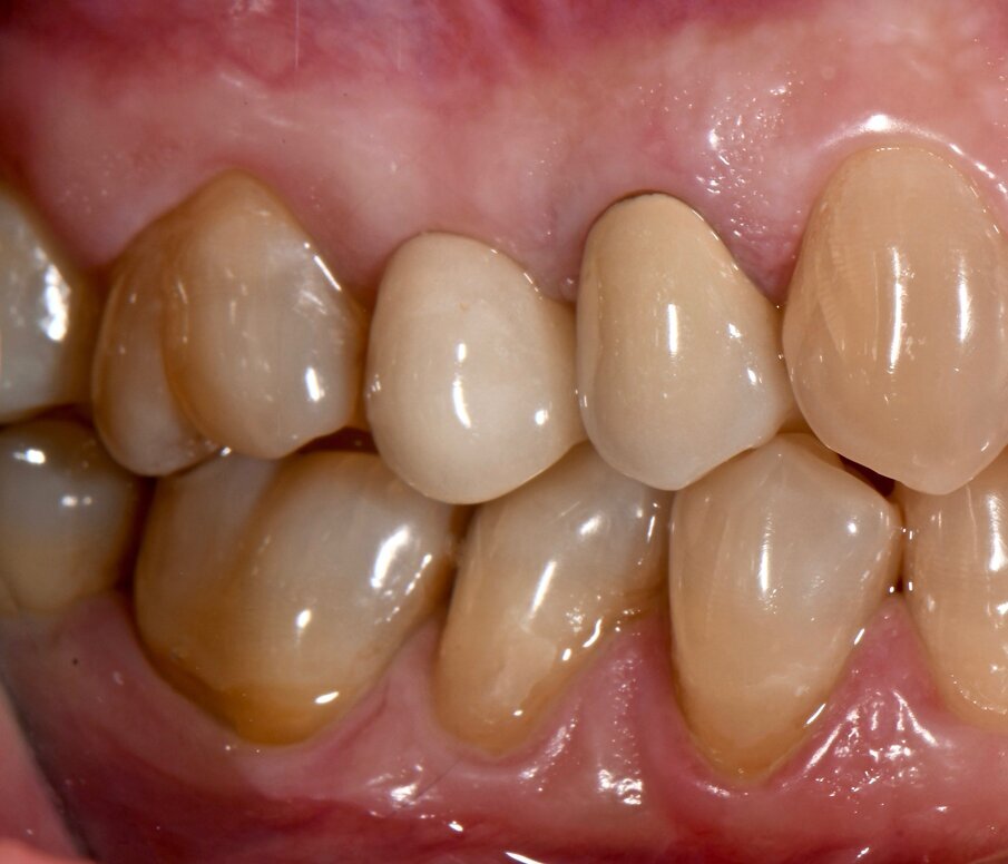
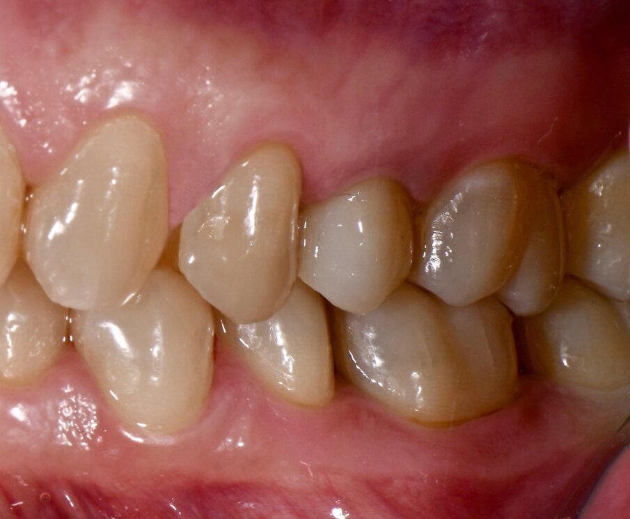
Materiali e metodi Case report Il presente case report è stato redatto in accordo con il CARE checklist (https://www.carestatement.org/checklist, consultato il 29 Gennaio 2024). Una paziente italiana di 44 anni, non fumatrice si è recata alla S.C Riabilitazione Orale Protesi Maxillo-Facciale e Implantologia Dentaria della Dental School dell’Università degli Studi di Torino nel mese di Gennaio 2023, lamentando sanguinamento gengivale durante lo spazzolamento. La paziente ha firmato un consenso informato. L’anamnesi medica della paziente non era rilevante. All’esame intraorale si evidenziava una scarsa igiene orale e la presenza di impianti in sito 15 e 25 (Figg. 1a-1c). I parametri parodontali al baseline sono stati riportati in Figura 2.
Fig. 1a - Condizione clinica al baseline: visione frontale.
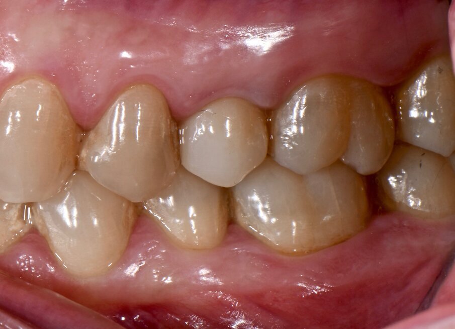
Fig. 1b - Condizione clinica al baseline: I e VI sestante.
Fig. 1c - Condizione clinica al baseline: III e IV sestante.
Fig. 2 - Charting parodontale al baseline.
Il Full Mouth Plaque Score (FMPS) era 71%, il Full Mouth Bleeding Score (FMBS) era 24% ed è stata osservata una profondità di sondaggio ≥ 4 mm nel 9,5% dei siti, localizzata a livello dei molari e premolari di entrambe le arcate. L’impianto in situ 15 (Nobel Replace, diametro 4,3mm, lunghezza 13mm) e l’impianto in situ 25 (Sweden & Martina SYRA, diametro 4,25 mm, lunghezza 1 mm) presentavano placca e una mucosa peri-implantare eritematosa ed edematosa. Per ciò che concerne l’impianto 15, si era riscontrata una moderata (PPD 4-5 mm) e severa (PPD≥ 6 mm) profondità di sondaggio, con una profondità media di 3.33 mm. FMBS e FMPS erano del 100%, così come riportato in Figura 2. La rilevazione dei parametri peri-implantari dell’impianto 25 aveva evidenziato PPD moderati nel 67% dei siti e una PPD severa a livello mesio-vestibolare. FMPS e FMBS erano 100%.
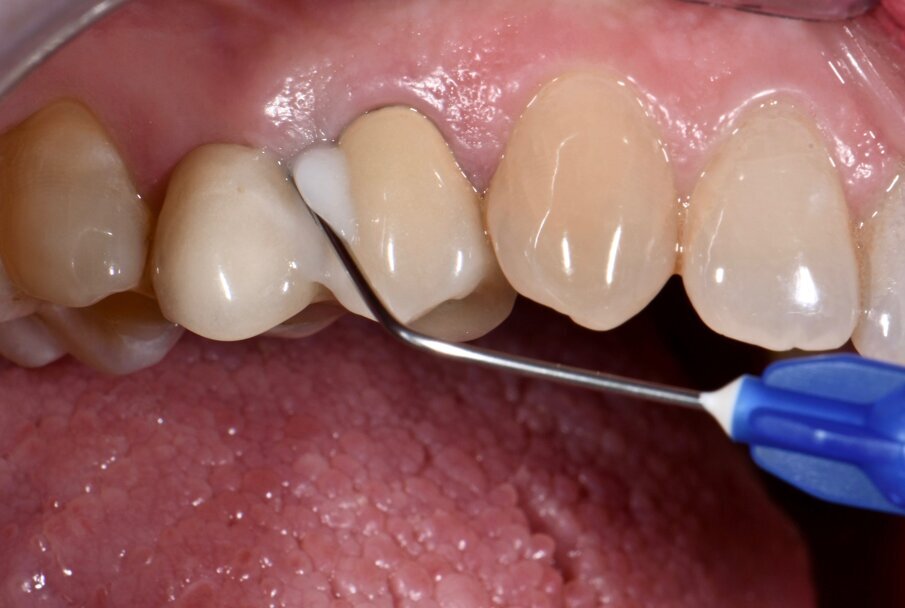
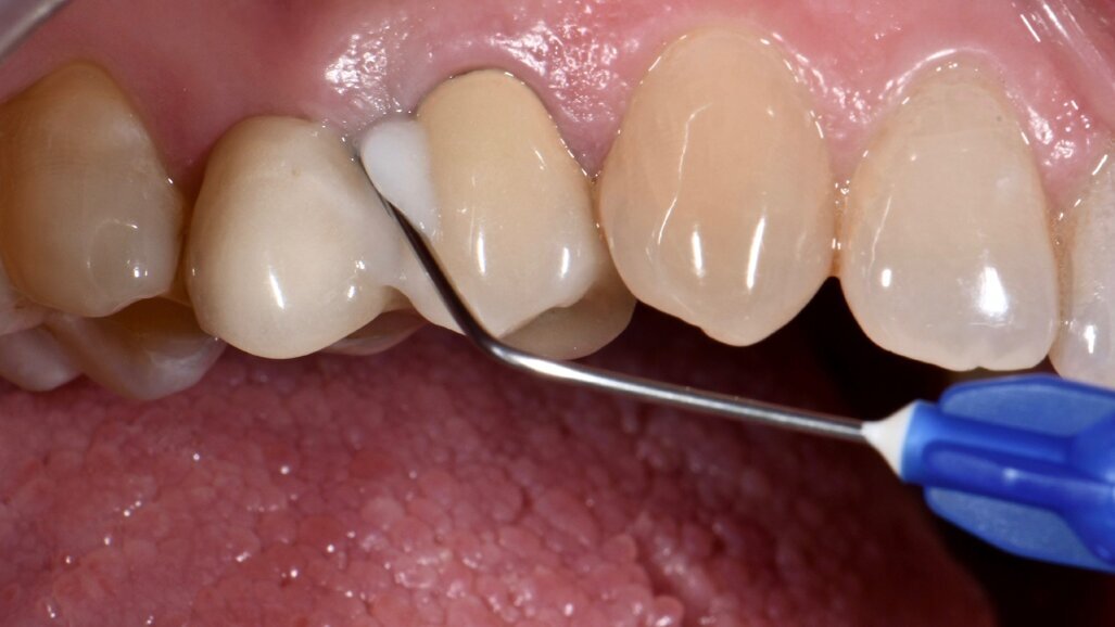
Non si evidenziava trauma occlusale o abitudini parafunzionali. La valutazione radiografica (Fig. 3) aveva rilevato una lieve perdita di osso marginale (MBL) distale dell’impianto 15. L’impianto 25 non era affetto da riassorbimento osseo. In accordo con il World Workshop of Peri-Implant Case Definitions12 del 2017, al paziente era stata fatta una diagnosi di mucosite peri-implantare per l’impianto 25 e di peri-implantite in fase precoce sull’impianto 15. Il difetto osseo a carico dell’impianto 15 può essere classificato come Classe Ia (difetto infraosseo - deiscenza buccale) Grado S (<25% della lunghezza dell’impianto)13. La paziente è stata trattata con una terapia parodontale e peri-implantare non chirurgica con applicazione topica di antimicrobici. Il full mouth debridement comprendeva ablazione del tartaro tramite strumenti a ultrasuoni e strumenti manuali. In particolare, sugli impianti, sono stati utilizzati delle curettes in titanio e un dispositivo air-polishing con polvere di eritritolo (Air-Flow Plus, EMS). Successivamente, è stata eseguita un’applicazione topica di XAN-CHX gel (Chlosite, Ghimas) all’interno dei solchi gengivali di entrambi gli impianti con un ago non traumatico dalla punta smussa (Fig. 4).
Fig. 3 - Condizione radiografica degli impianti 15 e 25 al baseline.
Fig. 4 - Applicazione di gel a base di Xantano e Clorexidina (Chlosite) su impianto #15.
Dopo aver inserito l’ago nella tasca peri-implantare, il prodotto è stato applicato con una leggera pressione, riempiendo la tasca. Infine, è stato consigliato alla paziente di non bere e non sciacquare per un’ora dopo l’applicazione. I parametri peri-implantari sono stati registrati a 30-60-90 giorni. Durante le stesse sedute, dopo la lucidatura delle superfici tramite dispositivo air-polishing, sono state eseguite le applicazione di XAN-CHX gel. I parametri clinici parodontali e peri-implantari sono stati rilevati a 6 mesi e a un anno prima di aver effettuato un debridement sopragengivale.
Narrative review Per indagare l’ultima evidenza sull’applicazione sottogengivale del gel a base di Xantano e Clorexidina nel management della peri-implantite è stata eseguita una ricerca su Pubmed. La seguente stringa di ricerca è stata utilizzata (“Peri-implant disease OR Peri-implantitis OR Peri-implant mucositis) AND (Adjunctive application gel OR Adjunctive subgingival application OR Gradual release gel”).
I criteri di inclusione sono stati:
articoli pubblicati negli ultimi 5 anni (2019-2023);
studi in vivo.
I criteri di esclusione sono stati:
articoli non scritti in lingua inglese;
articoli senza l’abstract o il full-text disponibile;
studi eseguiti su animali;
articoli che hanno valutato l’applicazione sottogengivale di antibiotici topici;
articoli che hanno valutato diversi tipi di applicazione (ad esempio gocce, compresse, toccature).
La selezione degli articoli è stata effettuata in prima battuta attraverso l’anno di pubblicazione, la lingua e il tipo di studio, secondariamente attraverso la valutazione degli abstract e dei full-text sulla base dei criteri di inclusione ed esclusione.
Risultati Case report I parametri peri-implantari sono stati rivalutati a 30-60-90 giorni, 6 mesi e 1 anno dal baseline. Nel primo periodo di osservazione (baseline - 90 giorni) entrambi gli impianti hanno mostrato un miglioramento dell’indice di sanguinamento (FMBS), con una riduzione del 100% per l’impianto 15 e del 83% per l’impianto 25. Tali risultati sono rimasti stabili fino a 6 mesi. Per ciò che concerne l’indice di placca, invece, i primi 90 giorni di osservazione hanno evidenziato un decremento del FMPS pari a 83% per entrambi gli impianti. A 6 mesi, l’indice di placca sull’impianto 15 è ulteriormente migliorato, ottenendo una superficie plaque-free. Dopo i primi 90 giorni di osservazione, il valore medio della profondità di sondaggio (PPD) si è ridotto di 1.17 mm e di 1.5 mm rispettivamente per gli impianti 15 e 25. Questi risultati sono stati ulteriormente confermati a 6 mesi, ottenendo un miglioramento di 0.83 mm per l’impianto 15 e 1.67 mm per l’impianto 25 rispetto al baseline.
Il riscontro a 1 anno ha dimostrato una stabilità clinica per ciò che concerne il FMPS e il FMBS se comparata ai dati presi a 6 mesi. Il valore medio della profondità di sondaggio, invece, è ulteriormente migliorato di 0.34 mm e 0.67 mm rispettivamente per gli impianti 15 e 25. La rivalutazione dei parametri parodontali a 6 mesi e 1 anno è stata riportata nelle Figure 5a-6 e in Tabella 1.
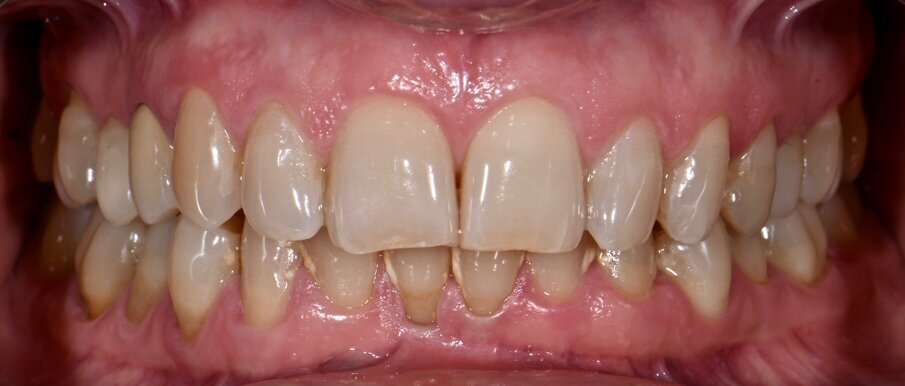
Fig. 5a - Condizione clinica ad 1 anno: visione frontale.
Fig. 5b - Condizione clinica ad 1 anno: I e VI sestante.
Fig. 5c - Condizione clinica ad 1 anno: III e IV sestante.
Fig. 6 - Charting parodontale a 1 anno.
Tabella 1 - Rivalutazione parodontale a 6 mesi e 1 anno.
Narrative review La ricerca iniziale, effettuata su PubMed, ha portato alla selezione di 20 risultati. Di questi sono stati scartati 8 articoli perché pubblicati prima del 2019 e 1 perché era uno studio effettuato su animali. I rimanenti 11 articoli sono stati selezionati sulla base dell’abstract, procedura che ha portato all’esclusione di ulteriori 9 articoli. Gli ultimi 2 articoli rimasti14, 15 sono stati selezionati e inclusi nella narrative review. Altri 4 articoli16-19 sono stati inseriti manualmente basandosi sulle Linee Guida EFP20, in quanto molto inerenti all’argomento trattato. Gli articoli selezionati sono stati riportati in Tabella 2.
Tabella 2 - Articoli che sono stati analizzati per la narrative review.
Sono stati selezionati 4 trial clinici randomizzati (RCT) e 2 revisioni sistematiche (SR). Due16, 17 dei 4 RCTs hanno valutato l’applicazione topica di gel contenente CHX 1%, uno14 un gel a base di ipoclorito di sodio e l’ultimo15 i probiotici. I quattro RCTs hanno valutato una media di 34 soggetti e di 2.7 impianti a paziente, con una media di 56.70 anni. L’efficacia dell’aggiunta dell’antimicrobico topico è stata valutata attraverso indici clinici quali profondità di sondaggio (PPD), sanguinamento al sondaggio (BoP) e indice di placca (PI).
Discussione L’obiettivo del presente case report è di valutare i cambiamenti clinici a 30, 60, 90 giorni degli impianti affetti da malattia peri-implantare a seguito del trattamento non chirurgico, in associazione all’applicazione topica di gel a base di Xantano e Clorexidina. Il trattamento non chirurgico proposto in questo articolo ha dimostrato un miglioramento di più dell’80% dell’indice di placca e di sanguinamento per i due impianti trattati. Questi risultati sono rimasti stabili a 6 mesi e 1 anno dal baseline. Grazie alla procedura effettuata, si sono raggiunti gli obiettivi del trattamento non chirurgico delle malattie peri-implantari20, ovvero 1 singolo spot di sanguinamento e assenza di suppurazione attorno all’impianto.
Per quanto a conoscenza degli autori, esistono pochi studi clinici che valutano l’azione del gel a base di Xantano e Clorexidina e gli effetti che la sua applicazione può avere sulla mucosa peri-implantare. In ogni caso, XAN-CHX gel è stato studiato come terapia aggiuntiva nel trattamento non chirurgico della malattia parodontale. In particolare, nello studio condotto da Manish et al.21, il gel a base di XAN-CHX è stato applicato in 30 siti con malattia parodontale di 5 soggetti dopo la terapia non chirurgica. I 30 siti appartenenti al gruppo controllo sono stati sottoposti solamente alla terapia non chirurgica. Dopo 30 giorni di periodo di applicazione, c’è stata una differenza statisticamente significativa nella riduzione dell’indice di placca nel gruppo test rispetto al gruppo controllo. Per quanto riguarda l’uso di terapie aggiuntive nella gestione delle malattie peri-implantari, sono stati studiati diversi tipi di applicazione.
In particolare, Lombardo et al.16 e Sahrmann e al.17 hanno studiato gli effetti di un gel con CHX al 1%. Entrambi gli studi hanno ottenuto scarsi benefici con questa terapia aggiuntiva in associazione alla strumentazione manuale. Nonostante la CHX, infatti, abbia una buona capacità antibatterica, c’è stata una forte resistenza alla sua azione disinfettante e antimicrobica, specialmente nelle tasche profonde (> 4 mm) e sulle superfici ruvide degli impianti16. Anche i risultati dello studio a 6 mesi di Iorio-Siciliano et al.14 hanno indicato che il trattamento non chirurgico con aggiunta di un’applicazione di gel a base di ipoclorito è efficace come la sola strumentazione meccanica.
Invece, Santana at al.15 hanno dimostrato che il trattamento con probiotici causa una diminuzione significativa del sanguinamento al sondaggio a 12 e 24 settimane rispetto al gruppo controllo. Inoltre, il gruppo test aveva livelli più bassi di IL-1β, IL-6, IL-8 and TNF-α a 24 settimane rispetto al gruppo controllo. L’uso dei probiotici in aggiunta alla terapia non chirurgica potrebbe corrispondere a un miglioramento significativo dell’indice di placca nei siti peri-implantari anche se non sono state riscontrate differenze microbiologiche22.
La revisione di Linares et al.19 conferma che l’uso di antimicrobici locali porta alla riduzione di PPD e BoP anche se in maniera moderata. Gli antisettici a rilascio prolungato o le procedure di disinfezione ripetute possono offrire ulteriori vantaggi rispetto alla singola applicazione18. Entrambe le revisioni18, 19 sottolineano che gli agenti antimicrobici utilizzati non hanno dato effetti indesiderati e che sono stati selezionati pochi studi con un campione ridotto. Inoltre, a differenza degli antibiotici topici a rilascio controllato, la cui somministrazione deve essere attentamente pianificata a causa del rischio di insorgenza di ceppi batterici resistenti agli antibiotici, le terapie antimicrobiche aggiuntive, come il gel XAN-CHX, non presentano questo rischio, e possono essere utilizzate consecutivamente in un breve periodo di tempo16.
Nonostante le linee guida EFP20 sconsiglino l'uso locale di antisettici o probiotici in aggiunta al debridement non chirurgico, sulla base dei risultati discussi in un consensus report23, si può presumere che le terapie aggiuntive trovate in letteratura e utilizzate nella gestione della malattia peri-implantare possano fornire benefici clinici ulteriori al trattamento non chirurgico. In ogni caso, non è corretto discutere l’efficacia generale delle “terapie aggiuntive” perché diversi prodotti possono avere effetti farmacocinetici o farmacodinamici specifici. Il significato di “terapia aggiuntiva” è molto ampio. I composti utilizzati vanno dalle soluzioni antisettiche, alle soluzioni antibiotiche (senza rilascio prolungato) con metodi di attivazione che vanno dalla fotodinamica ai probiotici. È quindi improbabile che tutti gli interventi abbiano effetti simili o comparabili.
Questa eterogeneità tra gli studi che utilizzano terapie aggiuntive per la decontaminazione superficiale degli impianti associati alla terapia non chirurgica è stata considerata significativa da de Waal et al.18 in termini di popolazione dello studio, disegno dello studio, interventi eseguiti e risultati riportati. A causa del piccolo numero di studi selezionati, de Waal conclude sottolineando la necessità di ulteriori studi per trarre una conclusione più forte sui potenziali benefici in termini di miglioramento di PPD e BoP delle terapie aggiuntive nella gestione non chirurgica delle malattie peri-implantari. Le diverse terapie aggiuntive comportano la necessità di progettare studi clinici con una buona metodologia di ricerca18.
Conclusioni In conclusione, sulla base dell’analisi narrativa degli articoli pubblicati di recente, diverse terapie aggiuntive al trattamento non chirurgico delle malattie peri-implantare hanno avuto un impatto diverso in termini di riduzione di PPD e BoP. I risultati di questo case report hanno dimostrato che l’applicazione del gel XAN-CHX ha portato miglioramenti clinici di PPD, FMBS e FMPS. Questi miglioramenti sono rimasti stabili nel corso del follow-up di un anno. Poiché l’evidenza di un singolo caso è scarsa, sono necessari ulteriori studi per valutare l’impatto reale delle terapie aggiuntive e dell’applicazione del gel a base di XAN-CHX nella risoluzione delle malattie peri-implantari, oltre che del loro effetto a lungo termine.
Bibliografia
Herrera D, Berglundh T, Schwarz F, Chapple I, Jepsen S, Sculean A, Kebschull M, Papapanou PN, Tonetti MS, Sanz M; EFP workshop participants and methodological consultant. Prevention and treatment of peri-implant diseases-The EFP S3 level clinical practice guideline. J Clin Periodontol. 2023 Jun;50 Suppl 26:4-76. doi: 10.1111/jcpe.13823. Epub 2023 Jun 4.
Berglundh T, Armitage G, Araujo MG, Avila-Ortiz G, Blanco J, Camargo PM, Chen S, Cochran D, Derks J, Figuero E, Hämmerle CHF, Heitz-Mayfield LJA, Huynh-Ba G, Iacono V, Koo KT, Lambert F, McCauley L, Quirynen M, Renvert S, Salvi GE, Schwarz F, Tarnow D, Tomasi C, Wang HL, Zitzmann N. Peri-implant diseases and conditions: Consensus report of workgroup 4 of the 2017 World Workshop on the Classification of Periodontal and Peri-Implant Diseases and Conditions. J Periodontol. 2018 Jun;89 Suppl 1:S313-S318. doi: 10.1002/JPER.17-0739.
Lee CT, Huang YW, Zhu L, Weltman R. Prevalences of peri-implantitis and peri-implant mucositis: systematic review and meta-analysis. J Dent. 2017 Jul;62:1-12. doi: 10.1016/j.jdent.2017.04.011. Epub 2017 May 3.
Schwarz F, Derks J, Monje A, Wang HL. Peri-implantitis. J Periodontol. 2018 Jun;89 Suppl 1:S267-S290. doi: 10.1002/JPER.16-0350.
Ramanauskaite A, Fretwurst T, Schwarz F. Efficacy of alternative or adjunctive measures to conventional non-surgical and surgical treatment of peri-implant mucositis and peri-implantitis: a systematic review and meta-analysis. Int J Implant Dent. 2021 Nov 15;7(1):112. doi: 10.1186/s40729-021-00388-x.
Jones CG. Chlorhexidine: is it still the gold standard? Periodontol 2000. 1997 Oct;15:55-62. doi: 10.1111/j.1600-0757.1997.tb00105.x.
Paolantonio M, D’Ercole S, Pilloni A, D’Archivio D, Lisanti L, Graziani F, Femminella B, Sammartino G, Perillo L, Tetè S, Perfetti G, Spoto G, Piccolomini R, Perinetti G. Clinical, microbiologic, and biochemical effects of subgingival administration of a Xanthan-based chlorhexidine gel in the treatment of periodontitis: a randomized multicenter trial. J Periodontol. 2009 Sep;80(9):1479-92. doi: 10.1902/jop.2009.090050.
Mummolo S, Severino M, Campanella V, Barlattani A Jr, Quinzi V, Marchetti E. Chlorhexidine gel used as antiseptic in periodontal pockets. J Biol Regul Homeost Agents. 2019 May-Jun;33(3 Suppl. 1):83-88. DENTAL SUPPLEMENT.
Gautam A, Manish K, Kumar R. Treatment of periodontal disease using xanthan based chlorhexidine gel. Bioinformation. 2021 Feb 28;17(2):326-330. doi: 10.6026/97320630017326.
Zhao H, Hu J, Zhao L. Adjunctive subgingival application of Chlorhexidine gel in nonsurgical periodontal treatment for chronic periodontitis: a systematic review and meta-analysis. BMC Oral Health. 2020 Jan 31;20(1):34. doi: 10.1186/s12903-020-1021-0.
Berglundh T, Armitage G, Araujo MG, Avila-Ortiz G, Blanco J, Camargo PM, Chen S, Cochran D, Derks J, Figuero E, Hämmerle CHF, Heitz-Mayfield LJA, Huynh-Ba G, Iacono V, Koo KT, Lambert F, McCauley L, Quirynen M, Renvert S, Salvi GE, Schwarz F, Tarnow D, Tomasi C, Wang HL, Zitzmann N. Peri-implant diseases and conditions: Consensus report of workgroup 4 of the 2017 World Workshop on the Classification of Periodontal and Peri-Implant Diseases and Conditions. J Clin Periodontol. 2018 Jun;45 Suppl 20:S286-S291. doi: 10.1111/jcpe.12957.
Monje A, Pons R, Insua A, Nart J, Wang HL, Schwarz F. Morphology and severity of peri-implantitis bone defects. Clin Implant Dent Relat Res. 2019 Aug;21(4):635-643. doi: 10.1111/cid.12791. Epub 2019 May 14.
Iorio-Siciliano V, Blasi A, Stratul SI, Ramaglia L, Sculean A, Salvi GE, Rusu D. Anti-infective therapy of peri-implant mucositis with adjunctive delivery of a sodium hypochlorite gel: a 6-month randomized triple-blind controlled clinical trial. Clin Oral Investig. 2020 Jun;24(6):1971-1979. doi: 10.1007/s00784-019-03060-2. Epub 2019 Aug 21.
Santana SI, Silva PHF, Salvador SL, Casarin RCV, Furlaneto FAC, Messora MR. Adjuvant use of multispecies probiotic in the treatment of peri-implant mucositis: A randomized controlled trial. J Clin Periodontol. 2022 Aug;49(8):828-839. doi: 10.1111/jcpe.13663. Epub 2022 Jun 10.
Lombardo G, Signoretto C, Corrocher G, Pardo A, Pighi J, Rovera A, Caccuri F, Nocini PF. A topical desiccant agent in association with ultrasonic debridement in the initial treatment of chronic periodontitis: a clinical and microbiological study. New Microbiol. 2015 Jul;38(3):393-407. Epub 2015 Jul 6.
Sahrmann P, Bettschart C, Wiedemeier DB, Al-Majid A, Attin T, Schmidlin PR. Treatment of Peri-Implant Mucositis with Repeated Application of Chlorhexidine Chips or Gel during Supportive Therapy - A Randomized Clinical Trial. Dent J (Basel). 2019 Dec 11;7(4):115. doi: 10.3390/dj7040115.
de Waal YCM, Winning L, Stavropoulos A, Polyzois I. Efficacy of chemical approaches for implant surface decontamination in conjunction with sub-marginal instrumentation, in the non-surgical treatment of peri-implantitis: A systematic review. J Clin Periodontol. 2023 Jun;50 Suppl 26:212-223. doi: 10.1111/jcpe.13749. Epub 2022 Nov 25.
Liñares A, Sanz-Sánchez I, Dopico J, Molina A, Blanco J, Montero E. Efficacy of adjunctive measures in the non-surgical treatment of peri-implantitis: A systematic review. J Clin Periodontol. 2023 Jun;50 Suppl 26:224-243. doi: 10.1111/jcpe.13821. Epub 2023 May 4.
Herrera D, Berglundh T, Schwarz F, Chapple I, Jepsen S, Sculean A, Kebschull M, Papapanou PN, Tonetti MS, Sanz M; EFP workshop participants and methodological consultant. Prevention and treatment of peri-implant diseases-The EFP S3 level clinical practice guideline. J Clin Periodontol. 2023 Jun;50 Suppl 26:4-76. doi: 10.1111/jcpe.13823. Epub 2023 Jun 4.
Gautam A, Manish K, Kumar R. Treatment of periodontal disease using xanthan based chlorhexidine gel. Bioinformation. 2021 Feb 28;17(2):326-330. doi: 10.6026/97320630017326.
Laleman I, Pauwels M, Quirynen M, Teughels W. The usage of a lactobacilli probiotic in the non-surgical therapy of peri-implantitis: A randomized pilot study. Clin Oral Implants Res. 2020 Jan;31(1):84-92. doi: 10.1111/clr.13555. Epub 2019 Nov 25.
Amodeo AA, Butera A, Lattari M, Stablum G, Abbinante A, Agneta MT, Lanzetti J, Tomassi D, Piscicelli S, Luperini M, Colavito A, Chiavistelli L, Politangeli R, Castaldi M, Nardi GM. Consensus Report of the Technical-Scientific Associations of Italian Dental Hygienists and the Academy of Advanced Technologies in Oral Hygiene Sciences on the Non-Surgical Treatment of Peri-Implant Disease. Int J Environ Res Public Health. 2023 Jan 27;20(3):2268. doi: 10.3390/ijerph20032268.
È stata effettuata una revisione di protocolli clinici basati su ricerche, dal 2010 ad oggi, sull’identificazione e trattamento della demineralizzazione ...
Paziente di sesso femminile di anni 27 con anamnesi generale negativa e senza storia di malattia parodontale, si presenta in prima visita lamentando ...
H42 è un hydrogel collagenico in siringa creato da Bioteck che possiede funzione coadiuvante nel trattamento di tasche parodontali e peri-implantari. La ...
OSLO, Norvegia: Il tumore della testa e del collo è il settimo gruppo di tumori più diagnosticati a livello globale, e tra le sue modalità di trattamento...
La parodontite è una patologia infiammatoria cronica il cui sviluppo dipende dalla presenza di biofilm batterici disbiotici ed è caratterizzata dalla ...
Obiettivi: comparazione tra la tecnica chirurgica tradizionale e quella laser analizzando parametri clinici (anestesia, sutura, discomfort, dolore, ...
Trials clinici hanno dimostrato che il fallimento implantare non è ascrivibile solamente a un sovraccarico funzionale. Nella maggior parte dei casi ...
COLLEGE STATION, Texas, USA: Un nuovo biosensore intraorale sviluppato negli Stati Uniti potrebbe trasformare il modo in cui la malattia parodontale viene ...
To post a reply please login or register