La parodontite è una patologia infiammatoria cronica il cui sviluppo dipende dalla presenza di biofilm batterici disbiotici ed è caratterizzata dalla progressiva perdita di supporto parodontale. Clinicamente si manifesta con perdita di attacco clinico, formazione di tasche parodontali e sanguinamento al sondaggio, mentre radiograficamente si rileva un riassorbimento osseo1.
Di conseguenza, l’obiettivo principale della terapia parodontale è quello di eliminare l’infiammazione e arrestare la progressione della patologia controllando i fattori di rischio ed eliminando il biofilm batterico sopra e sotto gengivale2. Tuttavia, in alcune situazioni cliniche, la presenza di tasche profonde, il coinvolgimento di forcazioni e la presenza di concavità radicolari rendono difficile la completa rimozione del biofilm. Recentemente, l’utilizzo di mini e micro-strumenti associati a sistemi ingrandenti, hanno migliorato la performance della strumentazione non chirurgica garantendo al clinico la possibilità di trattare anche queste aree di difficile accesso3-5. Per rendere la strumentazione sotto gengivale più efficace alcuni autori hanno proposto dei presidi aggiuntivi come l’uso di antisettici e antibiotici applicati topicamente, oppure associando la strumentazione meccanica a terapia aggiuntive come la terapia fotodinamica o il laser. Tuttavia, tutti questi presidi aggiuntivi non hanno mostrato risultati superiori alla sola terapia non chirurgica6.
Negli ultimi anni l’utilizzo dell’ipoclorito di sodio stabilizzato con amminoacidi (0.5%), Perisolv, associato alla strumentazione non chirurgica ha riportato eccellenti risultati nel trattamento delle tasche parodontali con una completa chiusura delle tasche parodontali (PD ≤ 4 mm con BOP negativo) del 74.3%7. Negli ultimi anni, lo scenario della parodontologia ha visto l’applicazione di nuovi prodotti, tra cui l’acido ialuronico reticolato ad alto peso molecolare, hyaDENT BG, che promuove la guarigione della ferita, stabilizza il coagulo, migliora l’angiogenesi e supporta la rigenerazione del parodonto con risultati clinici incoraggianti8-10. Lo scopo di questo case report è quello di descrivere un caso clinico trattato mediante un nuovo protocollo Clean & Seal basato sulla strumentazione non chirurgica in combinazione con l’applicazione di ipoclorito di sodio stabilizzato con amminoacidi e acido ialuronico ad alto peso molecolare11-13.
Caso clinico
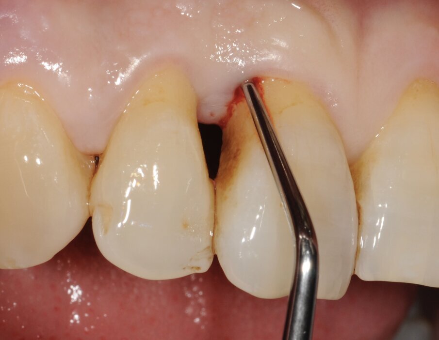
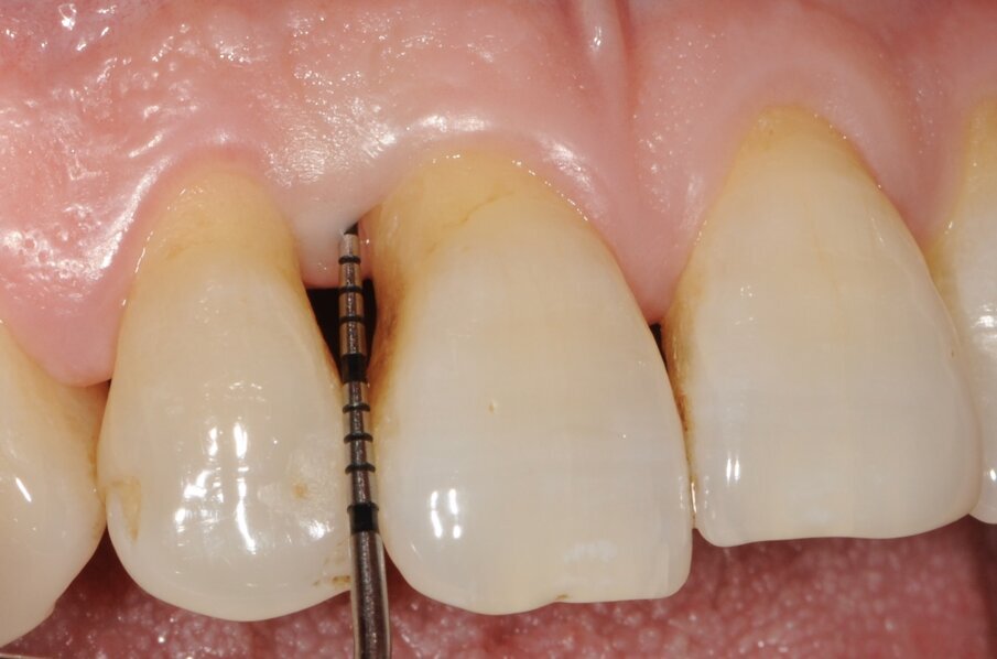
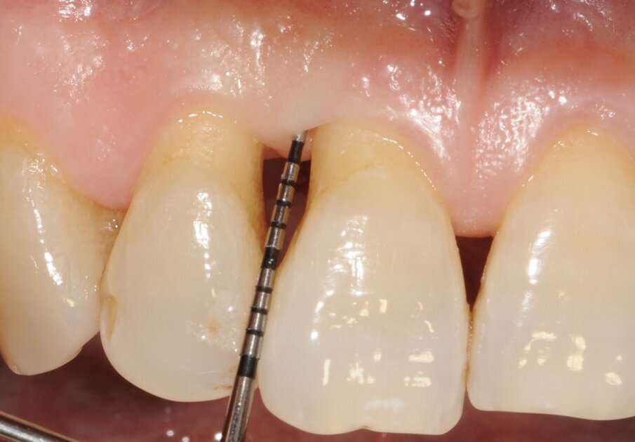
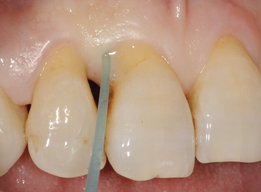
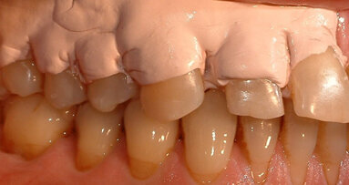
Un paziente di 56 anni non fumatore viene riferito alla nostra osservazione per il trattamento della parodontite. Dopo aver effettuato la diagnosi (parodontite generalizzata Stadio III, Grado C) il paziente è sottoposto a due sedute di scaling sopra gengivale (step 1) e successivamente a 4 sedute di debridement sotto gengivale effettuato con strumenti ultrasonici e manuali (step 2). Al momento della rivalutazione si registra un miglioramento degli indici di placca e di sanguinamento (FMPS e FMBS ≤ 20%) e una riduzione di tutte le tasche parodontali (PD<4 mm) in ciascun sestante a eccezione del secondo sestante. In questa regione si registra una tasca residua con PD = 6 mm a carico dell’elemento 1.1, associata a un riassorbimento osseo radiografico prevalentemente orizzontale (Figg. 1, 2). Considerando il miglioramento di tutti i parametri e degli indici parodontali e la presenza di una tasca con PD = 6 mm a carico di un solo elemento dentario si decide di ritrattare l’elemento 1.1 con terapia non chirurgica (step 3). La nuova ristrumentazione è stata effettuata seguendo il protocollo Clean&Seal che prevede l’associazione di ipoclorito di sodio stabilizzato con amminoacidi e acido ialuronico reticolato ad alto peso molecolare in combinazione con il debridement sotto gengivale. Dopo anestesia locale, è stato applicato all’interno della tasca l’ipoclorito di sodio stabilizzato con amminoacidi e lasciato agire per circa 60 secondi (Fig. 3). Successivamente è stata effettuata la strumentazione sotto gengivale mediante l’utilizzo di strumenti ultrasonici e manuali (Figg. 4, 5). Alla fine della procedura di strumentazione, nella tasca è stata effettuata un’irrigazione con soluzione salina sterile e la procedura di applicazione di ipoclorito di sodio e di strumentazione meccanica è stata ripetuta per 4 volte. Un fattore critico per garantire un risultato migliore è di evitare di instillare qualsiasi soluzione a base di clorexidina nella tasca, in quanto inibisce l’adesione cellulare. Alla fine del trattamento meccanico è stato inserito l’acido ialuronico reticolato ad alto peso molecolare all’interno della tasca per stabilizzare il coagulo e accelerare la guarigione (Fig. 6). Il controllo clinico è stato effettuato dopo 6 settimane dal trattamento con completa chiusura della tasca (Fig. 7).
Conclusioni
Il trattamento con il protocollo Clean&Seal ha permesso di ridurre, con una singola applicazione, la tasca dopo un periodo di guarigione di 6 settimane. I recenti studi confermano il risultato clinico ottenuto e validano questa procedura dal punto di vista scientifico10-13.
Bibliografia
- Papapanou P. N., Sanz M., Buduneli N., Dietrich T., Feres M., Fine D. H., Flemmig T. F., Garcia R., Giannobile W. V., Graziani F., Greenwell H., Herrera D., Kao R. T., Kebschull M., Kinane D. F., Kirkwood K. L., Kocher T., Kornman K. S., Kumar P. S., Tonetti M. S. Periodontitis: Consensus report of workgroup 2 of the 2017 world workshop on the classification of periodontal and Peri-implant diseases and conditions. Journal of Clinical Periodontology; 45(Suppl 20): S162–S170. doi.org/10.1111/jcpe.12946.
- Lang N. P, Salvi G. E, Sculean A. (2019) Nonsurgical therapy for teeth and implants-When and Why? Periodontol 2000 79:15-21. https://doi.org / 10.1111./prd.12240.
- Barbato L., Selvaggi F., Kalemaj Z., Buti J., Bendinelli E., La Marca M., Cairo F. (2020) Clinical efficacy of minimally invasive surgical (MIS) and non-surgical (MINST) treatments of periodontal intrabony defect. A systematic review and network meta-analysis of RCT’s. Clin Oral Investig 24: 1125-1134. https://doi.org / 10.1007/s00784-020-03229-0.
- Riberio F.V., Casarin R.C., Palma M.A., Junior F.H., Sallum E.A., Casati M.Z. (2013) Clinical and microbiological changes after minimally invasive therapeutic approaches in intrabony defects: a 12-months follow-up. Clin Oral Investig 17:1635-1644. https://doi.org / 10.1007/s00784-012-0855-5.
- Wilson T.G. Jr, Carnio J., Schenk R., Myers G. (2008) Absence of histologic signs of chronic inflammation following closed subgingival scaling and root planning using the dental endoscope: human biopsies – a pilot study. J Periodontol 79:2036-2041. https://doi.org/10.1902/jop.2008.080190.
- Tan O.L., Safii S.H., Razali M. (2019) Commercial local pharmacotherapeutics and adjunctive agents for nonsurgical treatment of periodontitis: a contemporary review of clinical efficacies and challenges. Antibiotics (Basel) 9(1):11. https://doi.org/10.3390/antibiotics9010011
- Iorio-Siciliano V., Ramaglia L., Isola G., Blasi A., Salvi G.E., Scuelan A. (2021) Changes in clinical parameters following adjunctive local sodium hypochlorite gel in minimally invasive nonsurgical therapy (MINST) of periodontal pockets: a 6-month randomized controlled clinical trial. Clin Oral Investig 25:5331-5340.
- Rajan P., Baramappa R., Rao N.M., Pavaluri A.K., P I, Rahaman S.M.. Hyaluronic (2014) Acid as an adjunct to scaling and root planing in chronic periodontitis. A randomized clinical trial. J Clin Diagn Res. 8(12):ZC11-4. https://doi.org/10.7860/jcdr/2014/8848.5237.
- Polepalle T., Srinivas M., Swamy N., Aluru S., Chakrapani S., Chowdary B.A. (2015) Local delivery of hyaluronan 0.8% as an adjunct to scaling and root planing in the treatment of chronic periodontitis: A clinical and microbiological study. J Indian Soc Periodontol 19(1):37-42. https://doi.org/10.4103/0972-124x.145807.
- Diehl D., Friedmann A., Liedloff P., Jung R.M., Sculean A., Bilhan H. Adjunctive Application of Hyaluronic Acid in Combination with a Sodium Hypochlorite Gel for Non-Surgical Treatment of Residual Pockets Reduces the Need for Periodontal Surgery—Retrospective Analysis of a Clinical Case Series. Materials 2022, 15, 6508. https://doi.org/10.3390/ma15196508.
- Ramanauskaite E., Machiulskiene V., Dvyliene U.M., Eliezer M., Sculean A. Clinical evaluation of a novel combination of sodium hypochlorite/amino acid and cross-linked hyaluronic acid adjunctive to non-surgical periodontal treatment: a case series. Oral Health Prev Dent 2023;21:279-284.
- Ramanauskaite E., Machiulskiene V., Shirakata Y. et al. Clinical evaluation of sodium hypochlorite/amino acids and cross-linked hyaluronic acid adjunctive to non-surgical periodontal treatment: a randomized controlled clinical trial. Clin Oral Invest (2023). https://doi.org/10.1007/s00784-023-05271-0.
- ShirakataY., Imafuji T., Nakamura T., Kawakami Y., Shinohara Y., Noguchi K., Pilloni A., Sculean A. Periodontal wound healing/regeneration of two-wall intrabony defects following reconstructive surgery with cross-linked hyaluronic acid-gel with or without a collagen matrix: a preclinical study in dogs. An experimental study in dogs. Quintessence Int 2021;52:2-10.
L'articolo è stato pubblicato su Perio Tribune italian edition n. 1/24.
Tag:
L’articolo presenta una case series (10 casi clinici) di trattamento non chirurgico di tasche parodontali. In tutti i casi è stato applicato un nuovo ...
L’aumento della cultura della prevenzione odontoiatrica ha portato un maggior numero di persone a sottoporsi a trattamento ortodontico in età ...
L’aumento della cultura della prevenzione odontoiatrica ha portato un maggior numero di persone a sottoporsi a trattamento ortodontico in età ...
Trials clinici hanno dimostrato che il fallimento implantare non è ascrivibile solamente a un sovraccarico funzionale. Nella maggior parte dei casi ...
Paziente di sesso femminile di anni 27 con anamnesi generale negativa e senza storia di malattia parodontale, si presenta in prima visita lamentando ...
H42 è un hydrogel collagenico in siringa creato da Bioteck che possiede funzione coadiuvante nel trattamento di tasche parodontali e peri-implantari. La ...
Il trattamento Clean&Seal è stato sviluppato come guida e supporto per la terapia non chirurgica delle parodontiti e perimplantiti, con l’obbiettivo ...
La presenza protratta nel tempo di dispositivi ortodontici fissi è un alto rischio per la salute dei tessuti parodontali e dentali in quanto viene a ...
La presenza protratta nel tempo di dispositivi ortodontici fissi è un alto rischio per la salute dei tessuti parodontali e dentali in quanto viene a ...
Introduzione
La parodontite è una malattia infettiva caratterizzata dalla perdita di strutture di supporto del dente quali il tessuto connettivo e ...
Dr. Bruce McFarlane Certified Specialist in Orthodontics Fellow: Royal College of Dentists of Canada Diplomate: American Board of Orthodontics
Live webinar
mer. 15 aprile 2026
20:00 (CET) Rome
Live webinar
gio. 16 aprile 2026
2:00 (CET) Rome
Linda Hecker MS, BSDH, RDH
Live webinar
gio. 16 aprile 2026
18:00 (CET) Rome
Dr. Pär-Olov Östman, Dr. Robert Gottlander DDS
Live webinar
ven. 17 aprile 2026
18:00 (CET) Rome
Live webinar
ven. 17 aprile 2026
19:00 (CET) Rome
Dr. Stuart Yeaton BDentSc, MOrth
Live webinar
lun. 20 aprile 2026
19:00 (CET) Rome
Dr. Alberto Monje DDS, MS, PhD
To post a reply please login or register