Revisione della letteratura: L’obbiettivo di questo studio è quello di individuare differenze significative nella gestione clinica tra chirurgia piezoelettrica e chirurgia con strumenti tradizionali rotanti nelle avulsioni dei terzi molari inferiori.
Secondo una revisione sistematica con metanalisi di AL-Moraissi del 2016 la tecnica chirurgica piezoelettrica applicata nelle estrazioni dei terzi molari mostra una significativa riduzione della sequela post operatoria (edema, dolore, trisma); in accordo con numerosi studi. La bassa incidenza di sequele post operatorie sarebbe da attribuire all’azione di taglio atraumatica e micrometrica dello strumento1-3.
Per quanto riguarda la durata della chirurgia, i tempi operativi risultano più brevi con gli strumenti rotanti convenzionali, in accordo con i precedenti studi, sebbene il tempo necessario diminuisca con l’aumentare dell’esperienza dell’operatore. In accordo con altri studi gli autori mostrano come non ci sia associazione tra la durata dell’intervento ed il discomfort operatorio; inoltre è stato dimostrato che le tecniche chirurgiche piezoelettriche siano preferite dai pazienti poiché producono minore vibrazione e minor rumore, aumentando il comfort del paziente e diminuendo stress e ansia.
Per quanto riguarda il sanguinamento, esso appare correlato maggiormente con le caratteristiche del paziente, piuttosto che con il metodo usato per l’osteotomia; in ogni caso è stato dimostrato che le tecniche piezoelettriche migliorino la visibilità e decrescano la perdita ematica. La tecnica piezoelettrica può inoltre essere utilizzata in pazienti anziani, che presentano maggiori quote di osso corticale e mineralizzato, in modo da evitare la necrosi ossea.
In conclusione i risultati di questa meta analisi hanno dimostrato che la chirurgia piezoelettrica riduce significativamente l’incidenza di sequele post operatorie ed il numero totale di analgesici assunti dal paziente rispetto alle tecniche di osteotomia effettuate con strumenti rotanti tradizionali dopo l’estrazione di terzi molari inferiori.
Secondo la metanalisi di Jiang, i pazienti che hanno ricevuto chirurgia piezoelettrica hanno sviluppato minor edema sebbene i tempi chirurgici si siano dimostrati più lunghi, inoltre i pazienti che hanno ricevuto chirurgia piezo elettrica hanno sviluppato minor dolore intra e post operatorio e minor trisma4-6.
I campioni di osso ottenuti dal taglio piezoelettrico sono caratterizzati da un’integrità della struttura ossea, da un’osteotomia ben definita, senza evidenza di osteonecrosi. Alcuni studi hanno inoltre riportato che il taglio piezoelettrico induce un rapido aumento delle proteine ossee morfogeniche (bmp) portando maggior controllo dei processi flogistici ed uno stimolato rimodellamento osseo.
Secondo uno studio di Vercellotti il dolore postoperatorio, valutato mediante VAS diminuisce significativamente dal primo, terzo e settimo giorno con la piezosurgery rispetto agli strumenti rotanti convenzionali. I valori di VAS diminuiscono gradualmente in entrambe le tecniche ma i valori riportati per la chirurgia tradizionale appaiono significativamente più alti rispetto alla chirurgia piezoelettrica7-9.
Al settimo giorno il dolore era completamente assente nei pazienti con piezosurgery. Secondo Rullo è presente una riduzione del dolore nel piezoelettrico esclusivamente per i casi semplici, mentre nei casi complessi il dolore postoperatorio risulta più alto nel gruppo piezoelettrico; al contrario Mantovani conclude che, nonostante il maggior tempo chirurgico, i valori di VAS appaiono più bassi nel gruppo piezoelettrico. Il numero di analgesici era ridotto nel gruppo piezoelettrico, probabilmente a causa del minimo danno ai tessuti molli dato dal taglio piezoelettrico che riduce la risposta infiammatoria.
Da uno studio di Srivastava emerge che le risposte postoperatorie come dolore, trisma, edema, parestesia e osteite alveolare sono significativamente minori, in seguito a chirurgia piezo elettrica; inoltre il taglio piezoelettrico porta a minor controindicazioni termiche, a una minor area osteotomica, ad una miglior guarigione ossea ed a un disegno osteotomico preciso, con maggior controllo della profondità di taglio e con maggior sicurezza per i tessuti molli.
Secondo Olikarinen la durata dell’intervento correla significativamente con trisma, dolore e assunzione di analgesici; secondo Benediktsdottir il comportamento post operatorio era indipendente dalla durata dell’intervento. Da uno studio di Goyal del 2011 emerge come il VAS, il trisma ed il numero di analgesici assunti era significativamente ridotto nel gruppo piezoelettrico; in questo studio anche il gonfiore e l’edema risulta ridotto nei pazienti sottoposti a chirurgia piezoelettrica. Inoltre sempre nello studio è stata valutata la qualità della vita tramite la scala PoSSe, specifica per l’estrazione dei terzi molari; è stato notato un cambiamento significativo nella percezione dei pazienti della sottoscala 1 (apertura della bocca, movimenti masticatori) nella sottoscala 4 (aspetto clinico) nella sottoscala 5 (dolore) e soprattutto nella sottoscala 7 (interferenza con l’attività quotidiana)10-12.
_Tecnica chirurgica
Protocollo standard
Ai pazienti viene prescritta una profilassi antibiotca con 2 gr di amoxicillina 1 h prima dell’intervento, si esegue quindi un anestesia di tipo tronculare con lidocaina senza vasocostrittore, poi infiltrazione di tipo plessica con adrenalina in corrispondenza del nervo buccinatore. Si scolpisce quindi un lembo a tutto spessore di tipo triangolare con incisione orizzontale alla base delle papille tra sesto e settimo ed incisione di scarico distale con andamento vestibolare (Figg. 1-4). Si procede con l’osteotomia che può essere eseguita con strumenti rotanti montati su manipolo retto oppure con terminale piezoelettrico con gli inserti dedicati. Qualora sia necessario si effettua l’odontotomia e la separazione radicolare con frese al carburo di tungsteno montate su turbina, quindi si esegue la lussazione e l’avulsione dell’elemento dentario. Si procede alla revisione della cavità alveolare con abbondante lavaggio con soluzione fisiologica, riempimento con collagene e sutura a punti staccati in seta 4/0. Il paziente viene dimesso con terapia analgesica ed antibiotica di supporto (Figg. 5-15).
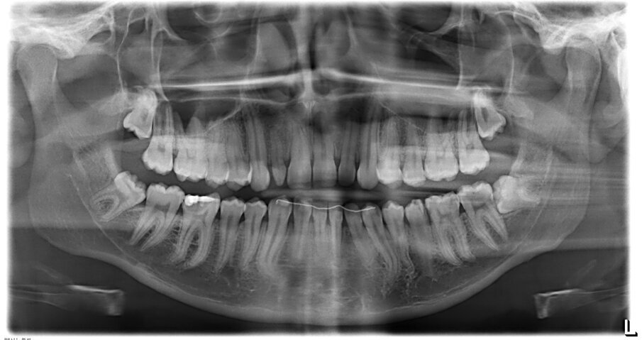
Fig. 1_Ortopanoramica iniziale.
Fig. 2_Situazione clinica iniziale 3.8 in inclusione orizzontale.
Fig. 3_Disegno del lembo triangolare.
Fig. 4_Scheletrizzazione con visione della corone del 3.8.
Fig. 5_Ostectomia con terminale piezoelettrico.
Fig. 6_Terminale piezoelettrico in azione.
Fig. 7_Ostectomia completata.
Fig. 8_Odontotomia. Il taglio si trova fra la zona di massima circonferenza e la giunzione smalto cemento.
Fig. 9_Frattura della corona sezionata mediante leva dritta.
Fig. 10_Cavità alveolare residua.
Fig. 11_Preparazione della membrana di PRP ricavata dal prelievo ematico del paziente.
Fig. 12_Inserimento della membrana di PRP all’interno della cavità alveolare residua.
Fig. 13_Sutura a punti staccati in seta.
Fig. 14_Preprazione del PRF liquido.
Fig. 15_Lavaggio della ferita chirurgica con PRF per migliorare la guarigione della ferita.
_Materiali e metodi
Utilizzo dello strumentario piezoelettrico
L’avulsione degli elementi dentari inclusi o seminclusi è una delle procedure cliniche più frequentemente effettuate dal chirurgo odontostomatologico. Questa pratica può essere relativamente semplice o estremamente ardua in relazione a molte variabili legate all’elemento da estrarre come la localizzazione, anatomia della corona dentale e radicolare, profondità e tipo di inclusione etc.. Se da una parte l’avulsione dentaria può essere considerata un intervento odontoiatrico di routine, l’estrazione di elementi dentari inclusi richiede una notevole preparazione tecnica, un’accurata conoscenza di tutte le strutture nobili anatomiche e una maturata esperienza chirurgica. Risulta fondamentale eseguire una corretta pianificazione del trattamento che consenta, da una parte, di ridurre al minimo il rischio di complicanze post chirurgiche (dolore, edema, trisma, alveoliti…) e, dall’altra, di essere in grado di gestire queste ultime in modo corretto, sempre con il minor costo biologico per il paziente.
Negli ultimi anni la chirurgia odontostomatologica ha risentito fortemente delle innovazioni tecnologiche introdotte in tale ambito. In particolar modo, l’utilizzo degli ultrasuoni applicato alla chirurgia ha cambiato alcune tra le più frequenti procedure cliniche, quali l’estrazione di terzi molari inclusi, diffondendo cosi un concetto innovativo in tutta l’odontoiatria: la chirurgia piezoelettrica o piezosurgery.
I primi atti clinici con l’utilizzo della chirurgia ossea piezoelettrica, risalgono alla fine degli anni ‘80. Si tratta di una metodica chirurgica innovativa incentrata sull’utilizzo di uno strumentario costituito da vari tipi di inserti a ultrasuoni che, sostituendo quello rotante tradizionale, è in grado di raggiungere gli stessi obiettivi per cui quest’ultimo è impiegato.
Uno dei più importanti vantaggi operativi della strumentazione ultrasonica è quello di consentire un taglio selettivo, sfruttando micro vibrazioni, per il tessuto osseo senza ledere il tessuto molle, salvaguardando così quelle strutture anatomiche vascolo-nervose che accidentalmente potrebbero venire a contatto con il terminale durante l’osteotomia. Questa proprietà, oltre a diminuire le complicanze intra e post operatorie negli interventi di rialzo del seno mascellare e in quelli in stretti rapporti con fasci neuro vascolari, permette di migliorare una tecnica chirurgica, di eseguire osteotomie in zone prima inaccessibili e di realizzare un protocollo chirurgico minimamente invasivo, tutto a vantaggio di un postoperatorio più agevole per il paziente.
Gli ultrasuoni permettono un’osteotomia micrometrica e molto precisa in tutte le direzioni, registrando una minima perdita di tessuto osseo. Questa caratteristica del taglio con strumenti ultrasonici risulta molto vantaggiosa quando si effettuano micro-osteotomie per consentire di mobilizzare la parete ossea da espandere. Il manipolo della strumentazione ultrasonica attuale è molto maneggevole e gli inserti consentono di accedere al campo operatorio in modo molto più semplice rispetto alla strumentazione tradizionale. Durante l’azione di taglio viene prodotto un suono che può essere usato come feedback acustico per regolare la forza da utilizzare. La notevole precisione di taglio e il buon controllo della strumentazione ultrasonica si ottengono sia per la diminuzione di pressione necessaria a eseguire l’osteotomia, sia grazie all’assenza del momento dislocante (tipico delle strumentazioni rotanti tradizionali). Grazie all’utilizzo della strumentazione ultrasonica si riesce a ridurre notevolmente lo scollamento del lembo di accesso e, di conseguenza, a diminuire l’edema a seguito di un minor sanguinamento, quindi avremo un decorso postoperatorio nettamente più confortevole per il paziente.
Le frequenze degli ultrasuoni utilizzati (25-29 kHz), non permettono di danneggiare strutture e tessuti molli sottostanti o adiacenti. L’azione di taglio è meno invasiva producendo minori danni ai tessuti circostanti consentendo quindi un miglior processo di guarigione. Grazie all’effetto di cavitazione sulla soluzione fisiologica utilizzata (per esempio, il sangue), il piezosurgery crea un sito chirurgico pulito e privo di contaminazioni. Infine, sembra che l’effetto di cavitazione degli ultrasuoni sull’osso riesca a diminuire il sanguinamento del sito operato.
La massima efficienza di questo strumento si ottiene utilizzandolo alla massima potenza e con la minima pressione dell’operatore, riducendo i rischi di surriscaldamento e i danni alle strutture molli. Una delle limitazioni del piezoelettrico è invece la lentezza con cui lavora lo strumento.
Quali sono i VANTAGGI della strumentazione ultrasonica?
- Taglio selettivo per i tessuti duri;
- Taglio micrometrico e preciso;
- Manipolo maneggevole;
- Migliore accessibilità degli inserti;
- Disponibilità di inserti dalla forma complessa;
- Azione per micro vibrazione;
- Azione per cavitazione (fenomeno di rilascio di energia) che a sua volta facilita il distacco tra tessuto molle e duro;
- Favorisce l’emostasi;
- Rimuove i detriti dal campo chirurgico.
|
Piezosurgery |
Strumento rotante tradizionale |
| Tempo di intervento |
+ |
- |
| Trisma |
- |
+ |
| Dolore |
- |
+ |
| Edema |
- |
+ |
| Aggressività per i tessuti duri |
- |
+ |
Tab. 1_Riepilogo Piezosurgery vs Strumento rotante tradizionale.
_Conclusioni
Possiamo dunque concludere che il piezo è uno strumento che permette di svolgere in sicurezza atti chirurgici molto delicati, grazie alla precisione di taglio e all’inefficacia sui tessuti molli. Molti vantaggi sono offerti anche dalla capacità di mantenere un campo operatorio con il controllo del’emostasi, aspetto clinico di notevole importanza sopratutto quando ci si trova a operare in porzioni ossee profonde con residui radicolari di dimensioni ridotte. Il problema però è sempre stato relativo alla lentezza di taglio, anche se attualmente gli inserti risultano essere sempre più efficienti su diversi tipi di tessuto. Molti autori descrivono i numerosi vantaggi e le qualità di questo strumento, soprattutto se utilizzato in associazione agli strumenti rotanti tradizionali.
_Bibliografia
- Srivastava P. Shetty P. Shetty S.. Comparison of surgical outcome after imparted third molar surgery using piezotome and the conventional rotary handpiece (2018).
- Jiang Q. Qiu Y.. Piezoelectric versus conventional rotary techniques for impacted third molar extraction. A Meta-analysis of Randomized Controlled Trials (2015).
- Al-Moraissi E.A.. Does the piezoelectric surgical technique produce fewer postoperative sequelae after lower third molar surgery than conventional rotary instruments ? A systematic rewiev and meta analysis (2015).
- Goyal M. Marya K.. Comparative evaluation of surgical outcome after removal of impacted mandibular third molars using a Piezotome or a conventional handpiece: a prospective study (2011).
- Benediktsdottir IS., Wenzel A., Petersen JK, Hintze H.. Mandibular third molar removal risk indicators for extended operation time postoperative pain and complications. Oral Surg Oral Med Oral Pathol Oral Radiol Endod 2004; 97:438-46.
- Oikarinen K.. Postoperative pain after mandibular third molar surgery. Acta Odontol Scand 1991; 49:7-13.
- Rullo R., Addabbo F., Papaccio G., D’aquino R., Festa VM. Piezoelectric device vs Conventional rotative instruments in impacted third molar surgery: Relationships between surgical difficulty and postoperative pain with histological evaluations. J Craniomaxillofac Surg 2013;41:e33-8.
- Mantovani E., Arduino PG., Schierano G., Ferrero L., Gallesio G., Mozzati M., et al.. A split-mouth randomized clinical trial to evaluate the performance of piezosurgery compared with traditional technique in lower wisdom tooth removal. J Oral Maxillofac Surg 2014;72:1890-7.
- Vercellotti T., De Paoli S., Nevins M.. The piezoelectric bony window osteotomy and sinus membrane elevation: introduction of a new techniqe for simplification of the sinus augmentation procedure. Int J Periodontics Restorative Dent 2001;21:561-7.
- Vercellotti T.. Technological characteristics clinical indications of piezoelectric bone surgery. Minerva Stomatol.2004;53.
- Di Alberti L., Donnini F., Di Alberti C., et al.. A comparative study of densitometry during osseointegration: piezoelectric surgery versus rotary protocols. Quintessence Int. 2010;41:639-644.
- Beziat JL., Bera JC., Lavandier B., et al.. Ultrasonic osteotomy as a new technique in craniomaxillofacial surgery. Int J Oral Maxillofac Surg.2007;36:493-500.
L'articolo è stato pubblicato per la prima volta su Implants 01/20.
Tag:
CRAWLEY, Australia: l’estrazione del terzo molare è una delle procedure dentali più comuni in tutto il mondo, per evitare problemi ...
Il periodo di guarigione di un intervento chirurgico di estrazione di un terzo molare mandibolare incluso o semi-incluso, è sempre associato a una ...
L’avulsione degli elementi dentari inclusi o seminclusi è una delle procedure cliniche più frequentemente effettuate dal chirurgo odontostomatologico.
L’obiettivo dell’endodonzia è quello di preservare la dentizione naturale. Non vi è miglior impianto del dente naturale, visto che...
La preparazione dei canali radicolari è stata affrontata negli anni con diverse strategie, tecniche e strumenti. Per anni sono stati usati strumenti ...
Las Vegas ‒ Poche scoperte sono così cariche di promesse in singole applicazioni mediche come lasciano invece intravvedere le cellule staminali. La ...
Le craniosinostosi (o craniostenosi) sono delle patologie caratterizzate dalla precoce chiusura di una o più suture della volta cranica. Questa ...
Le craniosinostosi (o craniostenosi) sono delle patologie caratterizzate dalla precoce chiusura di una o più suture della volta cranica. Questa ...
GENOVA, Italia: Grazie al Simposio sulla Chirurgia Ossea Piezoelettrica, tenutosi a Genova il 30 e 31 ottobre, l’organizzazione no-profit Piezosurgery...
La malattia parodontale è una patologia cronica che colpisce i tessuti di supporto dei denti ed è caratterizzata da infiammazione, sanguinamento gengivale...
Live webinar
gio. 30 aprile 2026
1:00 (CET) Rome
Dr. Renato Leonardo D.M.D.
Live webinar
gio. 30 aprile 2026
19:00 (CET) Rome
Live webinar
dom. 3 maggio 2026
18:00 (CET) Rome
Dr. Rickard Brånemark MSc, MD, PhD, Dr. Robert Gottlander DDS
Live webinar
lun. 4 maggio 2026
2:00 (CET) Rome
Live webinar
mar. 5 maggio 2026
16:00 (CET) Rome
Live webinar
mar. 5 maggio 2026
18:00 (CET) Rome
Live webinar
mar. 5 maggio 2026
19:00 (CET) Rome
Dr. Maximilian Dobbertin M.Sc
To post a reply please login or register