Molti sono i fattori che possono essere correlati al riassorbimento apicale delle radici e al loro arrotondamento, tra questi il movimento ortodontico e il trauma occlusale. In casi gravi il dente può anche diventare mobile. In situazioni normali un dente fratturato al di sopra del margine gengivale può essere ripristinato con un trattamento odontoiatrico convenzionale utilizzando un perno endocanalare e una corona protesica.
Tuttavia, nei casi in cui la lunghezza della radice non è così ottimale da poter essere utilizzata come elemento di ritenzione per un perno endocanalare, si devono considerare opzioni alternative, che possono includere una protesi parziale rimovibile, un ponte fisso a tre unità o un impianto dentale.
Uno dei principali vantaggi di un impianto a carico immediato con provvisorio è la possibilità di ottenere un risultato estetico e di preservare la morfologia ossea e l’architettura gengivale esistenti. Per consentire questo tipo di trattamento, il prerequisito è una sufficiente stabilità primaria e la scelta del design dell’impianto che è direttamente legata al risultato atteso. Gli impianti Straumann BLX combinano tutte le proprietà per adattarsi alle diverse situazioni cliniche, dal punto di vista chirurgico fino a quello protesico.
Situazione iniziale
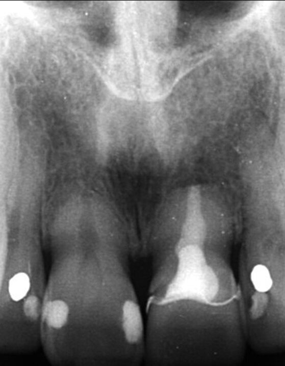
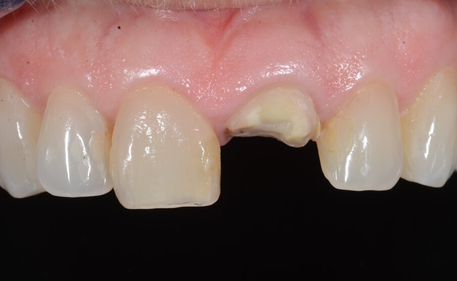
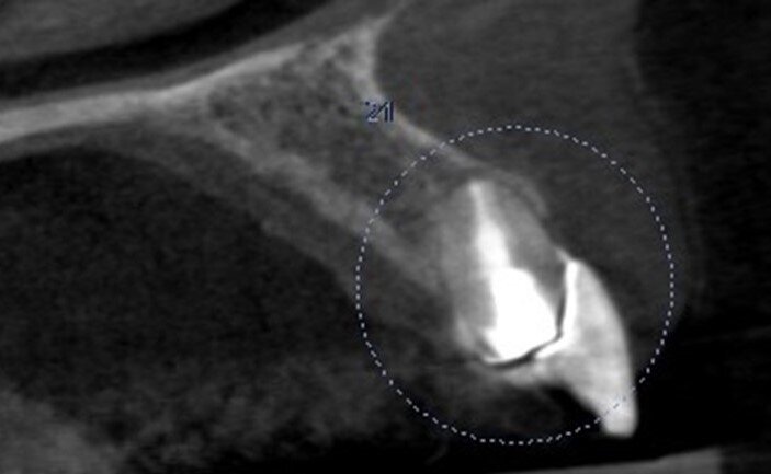
Una paziente di 53 anni si è presentata in studio con un incisivo sinistro fratturato a cui era stata più volte cementata una corona di ceramica (Figg. 1, 2). L’anamnesi e gli esami hanno evidenziato una buona salute sistemica e orale, un’occlusione ben equilibrata e nessuna abitudine al fumo. La tomografia cone beam (CBCT) e la radiografia periapicale hanno mostrato un riassorbimento radicolare esterno con inserimento nell’osso alveolare molto scarso, insufficiente per un adeguato posizionamento di un comune perno endocanalare (Figg. 3, 4). Considerando che il dente fratturato si trovava nella zona estetica, il paziente richiese un restauro nel modo più sicuro e più veloce possibile.
Fig. 1_Situazione iniziale, visione extra-orale.
Fig. 2_Situazione iniziale, visione intra-orale.
Fig. 3_Radiografia periapicale pre-operatoria.
Fig. 4_Scansione CBCT pre-operatoria.
Pianificazione del trattamento
Data la situazione clinica e radiografica con la posizione della radice verso la parete vestibolare e sufficiente osso apicale, si scelse come opzione terapeutica l’estrazione seguita dal posizionamento di impianto a carico immediato (Straumann BLX) e protesi. È stato inserito un abutment provvisorio e utilizzata la tecnica shell pick-up per il restauro provvisorio alla poltrona.
Procedura chirurgica
Sono state eseguite incisioni intrasulculari per liberare le fibre gengivali marginali in modo da consentire un’estrazione minimamente invasiva. L’alveolo è stato accuratamente pulito per rimuovere eventuali residui di legamenti e detriti. Particolare attenzione è stata data alla valutazione dell’integrità della parete alveolare. È stata rispettata una distanza di 3 mm tra il margine gengivale e il margine della parete vestibolare. La preparazione del sito implantare è stata considerata flusso di lavoro osseo di media densità, partendo dalla fresa appuntita in direzione della parete palatale per creare un punto d’ingresso per le frese successive, realizzando un’osteotomia per consentire una più ampia zona di ingresso dell’impianto (Fig. 5).
La fresa preliminare da Ø 2,2 mm è stata utilizzata sulla rispettiva lunghezza prevista dall’impianto, seguita da un perno di allineamento per controllare l’orientamento in 3D (Figg. 6, 7). Le frese da Ø 2,8 mm e Ø 3,2 mm sono state utilizzate per completare l’osteotomia (Fig. 8). Il sito è stato quindi opportunamente sondato per valutare la possibile perforazione della parete. Un impianto 4×14 mm è stato posizionato, a partire dalla maniglia chirurgica che coinvolge la parte apicale dell’impianto, seguendo lo stesso orientamento dell’ago perforatore e correggendo la direzione dell’impianto mentre si spostava all’interno dell’osteotomia (Figg. 9, 10). La stabilità primaria (45 Ncm) è stata raggiunta nella posizione finale.
Fig. 5_Osteotomia iniziale con trapano ad ago.
Fig. 6_Osteotomia con trapano Ø 2,2 mm.
Fig. 7_Conferma 3D con perno di allineamento Ø 2,2 mm.
Fig. 8_Osteotomia con trapano Ø 3,2 mm.
Fig. 10_Posizionamento dell’impianto con strumento chirurgico manuale.
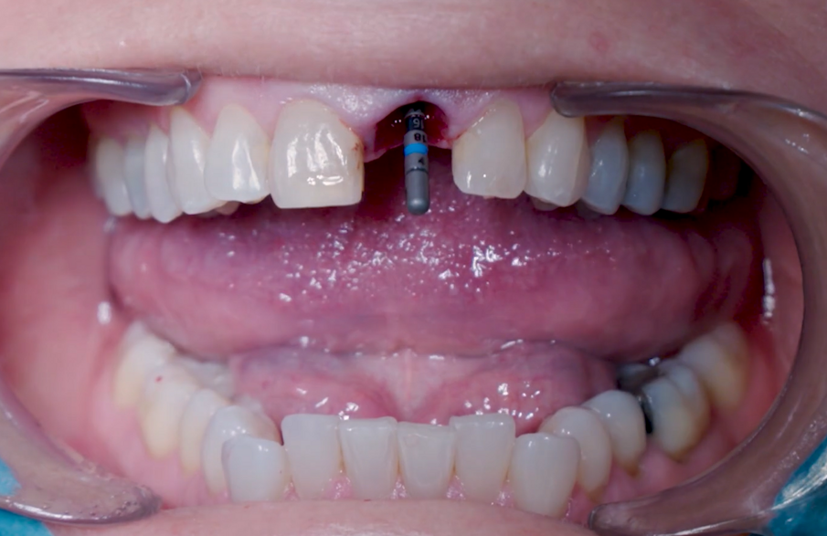
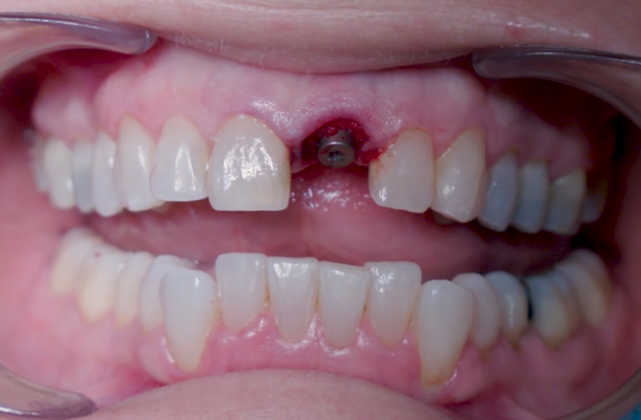
Dopo l’inserimento, la posizione dell’impianto è stata verificata orizzontalmente con uno specchio occlusale e verticalmente con una sonda chirurgica e a questo punto è stata selezionata l’altezza gengivale dell’abutment (Figg. 11, 12). Un abutment di guarigione è stato posizionato sull’impianto (Fig. 13) per proteggere la connessione in modo che l’osseo granulare sostitutivo (Straumann XenoFlex) potesse essere applicato nella fessura tra l’impianto e la parete vestibolare. Questo è stato delicatamente compattato con il lato di 2,8 mm della sonda chirurgica (Figg. 14–16). Il Collacone (biomateriali botiss) è stato utilizzato per tenere i granuli ossei lontano dai margini gengivali, allo scopo di evitare la fenestratura dei tessuti molli e l’infiltrazione fibroblastica (Figg. 17, 18).
Fig. 11_Valutazione finale della posizione dell'impianto.
Fig. 12_Valutazione finale della posizione dell'impianto in relazione ai margini gengivali.
Fig. 13_Vite di guarigione per proteggere l’abutment.
Figg. 14, 15_XenoFlex Straumann applicato sulla cresta vestibolare.
Figg. 14, 15_XenoFlex Straumann applicato sulla cresta vestibolare.
Fig. 16_Condensazione dei granuli con sonda chirurgica.
Fig. 17_ Applicazione del collacone (botiss biomaterials).
Fig. 18_Applicazione biomateriale finalizzata.
Procedura protesica
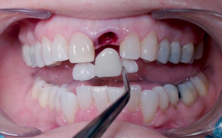
Un abutment provvisorio di Ø 4 mm con un’altezza gengivale di 2,5 mm è stato posizionato sull’impianto e non ha mostrato interferenze sulla cresta ossea, consentendo un adeguato profilo di emergenza (Fig. 19). Il guscio del dente, che è stato progettato e fresato in PMMA prima della procedura (Figg. 20, 21), è stato testato per assicurarsi che i contorni e le ali di ritenzione fossero adeguati e non causassero interferenze (Figg. 22, 23). Il lato palatale, comprendente una piccola porzione del bordo incisale, è stato aperto per consentire l’accesso al canale della vite (Figg. 24, 25). Le ali laterali del guscio del dente permettono alla corona provvisoria di rimanere immobile durante la procedura di prelievo, problema comune che i medici si trovano ad affrontare quando eseguono la tecnica pick-up immediata. Il guscio del dente è stato incollato al moncone provvisorio con composito flow fotopolimerizzabile ed è stato lasciato un sottile profilo di emergenza sulla porzione sottogengivale con lo stesso materiale (Fig. 26). A questo punto, le ali di ritenzione sono state rimosse. Senza compressione sui tessuti molli, la corona provvisoria è stata posizionata e il bordo incisale è stato ritoccato per garantire che il dente antagonista non lo toccasse nei movimenti di escursione. La corona provvisoria è stata cementata con un torque di 25 Ncm e il foro di accesso della vite è stato chiuso e lucidato correttamente (Fig. 27). Il paziente è stato visitato sette giorni dopo per il controllo radiografico postoperatorio e periapicale (Figg. 28, 29).
Fig. 19_ Radiografia periapicale per confermare l'altezza gengivale temporanea del moncone.
Fig. 20_Corona provvisoria realizzata con coDiagnostiX (Dental Wings).
Fig. 21_Corona provvisoria fresata in PMMA.
Figg. 22, 23_Valutazione dell’adeguatezza del guscio provvisorio.
Figg. 22, 23_Valutazione dell’adeguatezza del guscio provvisorio.
Fig. 24_Accesso a vite passante.
Fig. 25_Dente provvisorio in posizione per la rimozione dell’abutment provvisorio.
Fig. 26_Guscio provvisorio del dente dopo la presa dell'impronta e la creazione del profilo di emergenza.
Fig. 27_Corona provvisoria posizionata e lucidata.
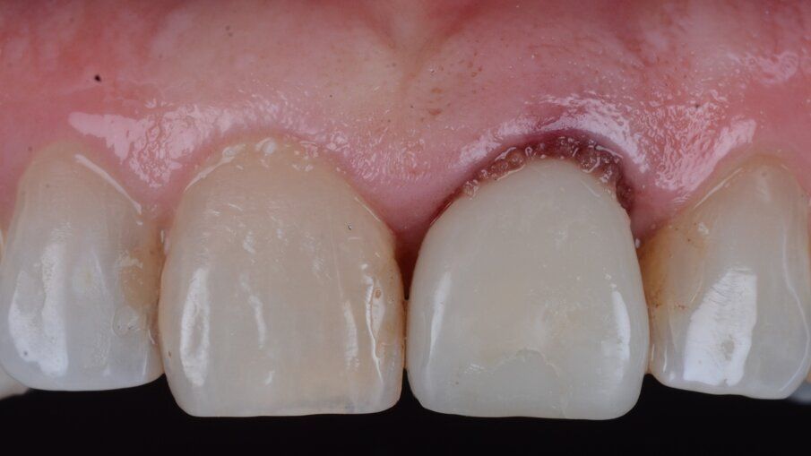
Fig. 28_Corona temporanea una settimana dopo l'operazione.
Fig. 29_Radiografia periapicale una settimana dopo l'intervento.
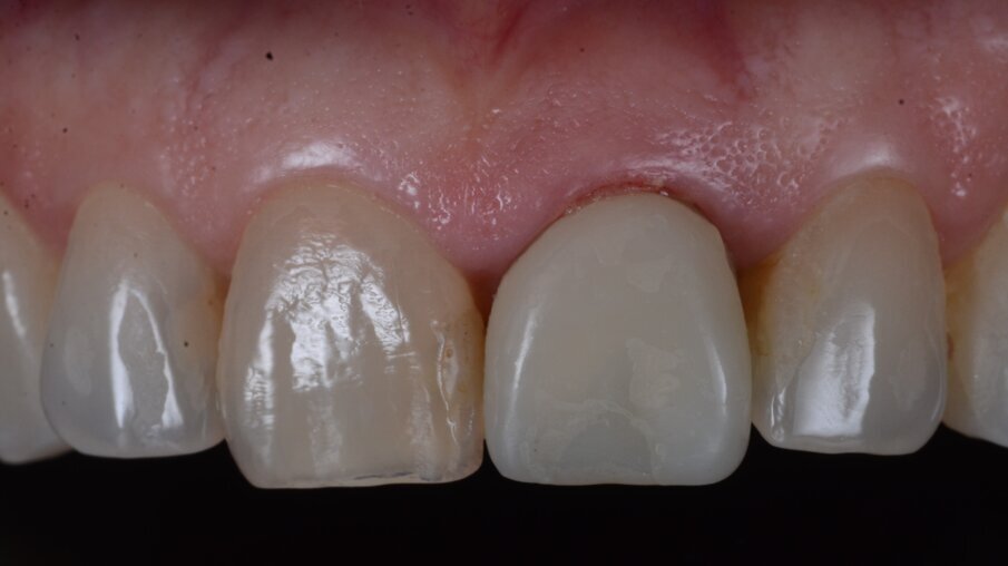
La protesi finale è stata progettata utilizzando Straumann CARES Visual con un workflow digitale. Durante la fase di progettazione è stato possibile vedere che il foro di accesso della vite sarebbe rimasto completamente sul lato palatale senza alcuna interferenza con l’estetica del restauro. Una corona monolitica in ceramica (Prettau Zirconia, Zirkonzahn) è stata fresata e cementata fuori dalla bocca su un’ampia base regolare Variobase (Straumann) con un’altezza gengivale di 1,5 mm, corrispondente al rimodellamento terapeutico dell’architettura ossea (Fig. 30). Dopo il controllo dell’occlusione, dei punti di contatto e dei movimenti di escursione, il restauro è stato inserito e avvitato con un torque di serraggio 25 Ncm (Figg. 31–33).
Fig. 30_Corona monolitica in ceramica cementata su abutment Variobase.
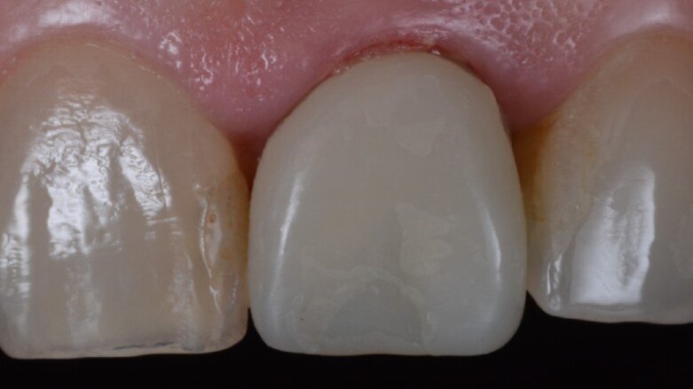
Fig. 31_Risultato finale del sorriso.
Fig. 32_Risultato finale da vicino.
Fig. 33_Radiografia finale.
Esito del trattamento
La paziente era infermiera odontoiatrica in uno studio dentistico e quindi interagiva direttamente con molti pazienti durante i suoi turni di lavoro. Per lei è stato molto gratificante poter lasciare la poltrona sapendo che il dente compromesso era stato estratto e che l’impianto era stato posizionato e immediatamente protesizzato. La corona finale corrispondeva alla struttura e alla tonalità dei denti adiacenti, dando armonia al sorriso. Il paziente valutava la corona finale come “la ciliegina sulla torta”.
Nota editoriale: La bibliografia è disponibile presso l’Editore. Questo articolo è stato pubblicato nella rivista digital―international magazine of digital dentistry Vol. 1, Issue 2/2020.
Tag:
L’implantologia osseointegrata ha raggiunto livelli di affidabilità molto elevati, qualora siano rispettati criteri di pianificazione e di esecuzione ...
I dilemmi che accompagnano gli impianti post-estrattivi immediati spesso implicano la decisione se sarebbe meglio mantenere o meno con chirurgie o manovre ...
Il carico immediato può essere ormai considerato una procedura terapeutica di elevata affidabilità ed efficacia, anche a distanza di tempo. Elemento ...
Il successo clinico in implantologia non può prescindere da un corretto ripristino dell’estetica e dell’anatomia dei tessuti di sostegno ...
Il successo clinico in implantologia non può prescindere da un corretto ripristino dell’estetica e dell’anatomia dei tessuti di sostegno ...
Questo caso clinico ha richiesto un inserimento ottimale di impianti sulla base di un piano di trattamento protesicamente guidato e di chirurgia guidata. ...
Molti pazienti si presentano alla nostra osservazione con quadri clinici orali molto compromessi, con la presenza di un numero ridotto di denti. Questi ...
Lo scanner intraorale è un dispositivo usato per la presa delle impronte dentali e implantari ed è composto da una telecamera, da un computer e da un ...
L’implantologia è diventata una forma consolidata di trattamento con risultati buoni e prevedibili per la ricostruzione funzionale ed estetica ...
L’implantologia è diventata una forma consolidata di trattamento con risultati buoni e prevedibili per la ricostruzione funzionale ed estetica ...
Live webinar
mar. 19 maggio 2026
17:00 (CET) Rome
Live webinar
mar. 19 maggio 2026
19:00 (CET) Rome
Prof. Dr. med. dent. Ivo Krejci
Live webinar
mer. 20 maggio 2026
13:00 (CET) Rome
Dr. Graham Carmichael BDSc (Hons), DClinDent (Pros), FRACDS, Dr. Robert Gottlander DDS
Live webinar
mer. 20 maggio 2026
15:00 (CET) Rome
Live webinar
mer. 20 maggio 2026
17:00 (CET) Rome
Live webinar
mer. 20 maggio 2026
19:00 (CET) Rome
Prof. Dr. med. dent. Tim Joda PhD, MSc, eMBA
Live webinar
gio. 21 maggio 2026
18:00 (CET) Rome
Dr. Leonardo Muniz DDS, MSC
To post a reply please login or register