In ciascun individuo si riscontra una lieve asimmetria che è legata al tipo di malocclusione scheletrica e pertanto varia in base alle caratteristiche morfologiche e strutturali. L’analisi cefalometrica viene tradizionalmente utilizzata per misurare la forma, la grandezza, la posizione e l’orientamento delle differenti unità facciali. Gioca pertanto un ruolo determinante nella diagnosi dell’asimmetria del distretto maxillo-mandibolare.
La teleradiografia in proiezione latero-laterale del cranio può essere utilizzata per la misurazione degli angoli goniaci, dell’altezza e lunghezza del ramo mandibolare, ma l’immagine radiografica di destra sarà differente da quella di sinistra a causa dell’ingrandimento dovuto alla differente distanza dei due lati dal tubo radiogeno e quindi alla differente distanza tra tubo radiogeno e pellicola radiografica.
La radiografia in proiezione postero-anteriore del cranio risulta poco utile nella comparazione tra lato destro e sinistro delle strutture facciali. Infatti, una radiografia frontale del cranio tende a causare una sovrapposizione delle strutture anatomiche; pertanto, i punti cefalometrici d’interesse possono non essere facilmente individuati e fedelmente riprodotti.
Tuttavia, queste analisi effettuate su radiografie bidimensionali portano le strutture facciali ad essere proiettate su un unico piano e, pertanto, come afferma Hwang e Gateno, le informazioni che si possono ricavare da uno studio cefalometrico di questo tipo presentano numerose limitazioni. Esse sono:
- Le strutture tridimensionali vengono rappresentate su una superficie bidimensionale, con possibile distorsione dell’immagine stessa per sovrapposizione di strutture anatomiche;
- L’informazione che si ricava è limitata alla dimensione verticale e antero-posteriore;
- L’informazione è altresì influenzata dal grado di inclinazione dei piani e delle strutture anatomiche esaminate, nonché dalla loro lunghezza e altezza;
- La forma anatomica è limitata alla proiezione sul piano sagittale.
Per tutti questi motivi è facile che ci possano essere degli errori di valutazione, legati pertanto non solo all’operatore, ma anche e soprattutto all’impossibilità di avere una visione tridimensionale delle strutture anatomiche.
La cone-beam computed tomography (CBCT) ha notevolmente ridotto la possibilità di incorrere in questi errori e attraverso una ricostruzione tridimensionale delle strutture del complesso maxillo-mandibolare permette di poter localizzare la sede e la causa dell’asimmetria, programmando al meglio un corretto piano di trattamento. In particolare la CBCT offre numerosi vantaggi rispetto alla TC tradizionale in ordine di riduzione di costi ridotti e di dose radiante, di incremento di accuratezza e praticità di esecuzione, offrendo la possibilità di visualizzare ricostruzioni tridimensionali e sezioni multiplanari delle strutture.
L’utilizzo di immagini 3D consente più semplicemente di analizzare con precisione la posizione e la morfologia di intere ossa nello spazio rispetto a un asse di simmetria virtuale e individuale per ogni paziente quantificando la differenza esistente tra il lato destro e sinistro delle strutture anatomiche esaminate. Entra quindi in gioco l’analisi cefalometrica tridimensionale. Essa è basata su misurazioni effettive e reali eseguite su ricostruzioni volumetriche che forniscono grandezze reali e non prospettiche.
Pertanto, un protocollo cefalometrico tridimensionale può risultare preciso e affidabile almeno quanto quelli tradizionalmente utilizzati su radiografie bidimensionali. Offre però numerosi vantaggi e benefici in termini di tempo e di precisione, poiché grazie alla semplificazione nell’individuazione dei reperi anatomici in un sistema tridimensionale si gestisce un volume d’informazioni infinitamente superiore per ogni punto acquisito. È possibile quindi valutare la reale posizione di un punto nello spazio, riuscendo così a individuare i range di valori a cui ogni punto deve appartenere per essere considerato in posizione eugnatica.
Viene utilizzato come software per la cefalometria tridimensionale Simplant O&O (Leuven, Belgio). Per ciascuna CBCT è stata eseguita un’analisi tridimensionale 3D denominata TFA (Total Face Approach). Il sistema cefalometrico 3D si avvale di punti cefalometrici (Landmark), piani di riferimento e piani di costruzione ed è perciò un sistema cosiddetto multiplanare. I Landmark utilizzati nell’analisi 3D sono identificati grazie al sistema MPR (Multiplanar Recostruction). Essi sono:
- Nasion (N) - Punto mediano della sutura fronto-nasale;
- Gnathion (GN) - Incontro del margine anteriore della sinfisi mentoniera con la bisettrice dell’angolo formato da due rette: una passante per i punti N-Pog, l’altra per il punto Me e tangente aL margine inferiore del corpo mandibolare;
- Orbitale dx (OrR) - Punto più declive del profilo orbitario inferiore destro;
- Orbitale sn (OrL) - Punto più declive del profilo orbitario inferiore sinistro;
- Condilare dx (CondR) - Punto più alto e centrale del condilo destro;
- Condilare sn (CondL) - Punto più alto e centrale del condilo sinistro;
- Punto corticale (CortD) tra i molari destri;
- Punto interprossimale tra primo e secondo molare di destra, a livello della cresta alveolare;
- Punto corticale (CortL) tra i molari sinistri;
- Punto interprossimale tra primo e secondo molare di sinistra, a livello della cresta alveolare;
- Gonion dx (GoR) - Incontro del margine postero-inferiore dell’angolo mandibolare con la bisettrice dell’angolo formato da due rette: una tangente al margine posteriore della branca montante della mandibola, l’altra tangente al margine inferiore del corpo mandibolare;
- Jugale dx (JR) - Punto dell’apice solido sul bordo posteriore del processo zigomatico dell’osso zigomatico destro;
- Jugale sn (JL) - Punto dell’apice solido sul bordo posteriore del processo zigomatico dell’osso zigomatico sinistro;
- Chin dx (ChD) - Punto più laterale della sinfisi mentoniera destra;
- Chin sn (ChL) - Punto più laterale della sinfisi mentoniera sinistra.
I tre piani di riferimento sono:
- Piano coronale: piano definito tra i punti COR1, COR2, COR3 inserito manualmente nella finestra sagittale primo immagine «0» ottenuto da dati TC;
- Piano sagittale: piano definito tra i punti SAG1, SAG2, SAG3 inserito manualmente nella finestra sagittale primo immagine »0» ottenuto da dati TC;
- Piano assiale: piano definito tra i punti AX1, AX2, AX3 inserito manualmente nella finestra sagittale.
Questi piani sono indipendenti dalla postura della testa con cui è acquisito l’esame tomografico. Ogni punto di questi piani viene individuato sulla slice 0.00 del rispettivo piano coronale, sagittale e assiale, così che questi risultino esterni alla struttura cranica e si evitino problematiche connesse per esempio a locali rimodellamenti ossei.
I piani di costruzione utilizzati sono:
- Piano facciale superiore: piano passante per il punto N e parallelo al piano assiale;
- Piano maxillare: piano passante per il punto JM (punto medio tra i JR e JL) e ANS e ortogonale al piano coronale.
In particolare sono state prese in considerazioni le seguenti misurazioni:
- Differenza dell’altezza mascellare: distanza in millimetri tra il punto Jugale destro e sinistro e il Piano Mascellare (MxPi);
- Differenza ramo mandibolare: distanza in millimetri tra il punto Gonion destro e sinistro e il punto Condilion destro e sinistro;
- Differenza corpo mandibolare: distanza in millimetri tra il punto Gonion destro e sinistro e il punto Gnathion;
- Differenze orbitali: distanza in millimetri tra il punto Orbitale destro e sinistro e il Piano Facciale Superiore (SFP);
- Differenza Chin: differenza in millimetri del punto Chin destro e sinistro al Piano Facciale Superiore (SFP);
- Differenza altezza facciale posteriore: distanza in millimetri tra il punto Gonion destro e sinistro e il Piano Facciale Superiore (SFP);
- Cut-off: il valore 3 mm di differenza è stato considerato come cut-off per la valutazione della condizione di asimmetria.
Alla luce del nostro lavoro e di quello di altri ricercatori possiamo, quindi, affermare che l’introduzione di software 3D ha rivoluzionato l’analisi cefalometrica e l’approccio diagnostico e terapeutico dell’asimmetria facciale.
In accordo con Sanders et al., anche in individui clinicamente simmetrici traspare la componente asimmetrica. La non percezione a livello clinico di tale situazione è da ricondurre a meccanismi di compenso che, per esempio, si manifestano a livello dei tessuti molli. Nei pazienti in esame, essendo il meccanismo di crescita ormai terminato e consolidato in una situazione di non equilibrio tra le strutture maxillo-mandibolari, è possibile che si siano instaurati dei meccanismi di compenso e di adattamento, al fine di garantire una stabilità occlusale e le funzioni stomatognatiche.
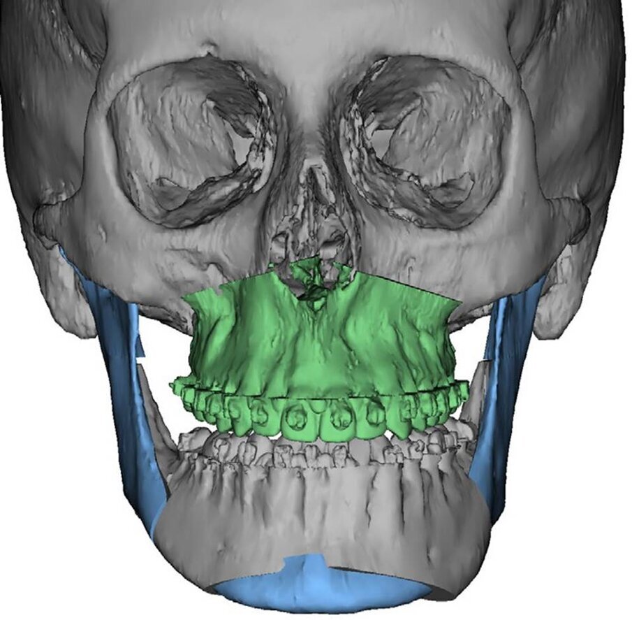
Fig. 1_Analisi cefalometrica 3D per lo studio della simmetria scheletrica.
Fig. 2_Visione assiale della cefalometria 3D.
Fig. 3_Analisi della asimmetria scheletrica pre-chirurgica.
Fig. 4_Programmazione chirurgica.
Fig. 5_Controllo post chirurgico della correzione della asimmetria scheletrica.
Fig. 7_Verifica del controllo della asimmetria tramite superimposition pre-post chirurgia ortognatica.
_Conclusioni
La presenza di una piccola percentuale di asimmetria è un dato di comune riscontro in ciascun individuo e tende a variare in rapporto al tipo di malocclusione scheletrica e, pertanto, alle caratteristiche morfologiche e strutturali che ne derivano.
Olszewski et al. affermano che, sebbene la diagnosi di asimmetria possa basarsi sia su un’analisi 2D che 3D, quest’ultima permette di confrontare il lato destro e sinistro del cranio, senza sovrapposizione delle strutture anatomiche, e ciò permette una precisa localizzazione dei punti cefalometrici. L’analisi cefalometrica tridimensionale riveste un ruolo determinante nella diagnosi delle asimmetrie maxillo-mandibolari e permette di stabilire un corretto piano di trattamento.
L’ortodonzia pre-chirurgica e la progettazione ortognatica se programmate con una visione 3D possono essere maggiormente predicibili rispetto alle metodiche tradizionali che si avvalevano di rx bidimensionali e di modelli delle arcate montati in articolatore.
Si ritiene che oggigiorno alla luce dei progressi della diagnosi e programmazione digitale la conoscenza dei dettagli scheletrici ottenuta attraverso l’utilizzo di una cefalometria tridimensionale sia uno dei fattori per i quali sono necessari ulteriori sforzi di indagine e ricerca.
_Bibliografia
- Hwang H-S., Hwang CH., Lee K-H., Kang B-C.. Maxillofacial 3-dimensional image analysis for the diagnosis of facial asymmetry. American J of Orthod and dentofacial Orthop 2006;130(6):779-85.
- Gateno J., Xia J.J., Teichgraeber J.F.. Effect of facial asymmetry on two-dimensional and three-dimensional cephalometric measurements. J Oral Maxillofac Surg 2011; 69(3):655-662.
- Rossini G., Cavallini C., Cassetta M., Barbato E.. 3D cephalometric analysis obtained from computed tomography. Review of the literature. Annali di stomatologia 2011; II(3-4):31-39.
- Perrotti G., Testori T., Politi M.. Imaging, 3D e Odontoiatria dalla cefalometria multiplanare alla navigazione guidata in implantologia, Quintessenza Edizioni, 2015.
- Olszewski R., Zech F., Cosnard G., Nicolas V., Macq B., Reychler H.. Three-dimensional computed tomography cephalometric craniofacial analysis:experimental validation in vitro. J Oral Maxillofacial Surg 2007;36:828- 833.
- Van Vlijmen OJC., Maal TS., Berge J., Bronkhorst EM., Katsaros C., Kuijpers-Jagtman AM.. A comparison between 2D and 3D cephalometry on CBCT scanso f human skulls.J Oral Maxillofac Surg 2010;39:156-160.
- Adams GL. et al. Comparison between traditional 2D cephalometry and a 3D approach on human dry skulls. Am J of Orthod and Dentofacial Orthop 2004;126(4):397- 409.
- Hwang H-S., Hwang C-H., Lee K-H., Kang B-C.. Maxillofacial 3-dimensional image analysis for the facial asymmetry. American J of Orthod and dentofacial Orthop 2006;130(6):779-85.
- Severt TR., Proffit WR.. The prevalence of facial asymmetry in the dentofacial deformities population at the University of North Carolina. J Adult Orthod Orthognath Surg 1997;12(3):171-6.
- Lee MS., Chung DH., Lee JW., Cha KS.. Assessing soft-tissue characteristics of facial asymmetry with photographs. Am J Orthod Dentofacial Orthop 2010;138:23-31.
- Perrotti G. et alii Studio cefalometrico tridimensionale della asimmetria scheletrica maxilla-mandibolare, DM 2016.
L'articolo è stato pubblicato su Cad Cam Italian Edition, n. 1 aprile 2019.
Tag:
Introduzione
L’inclusione del canino superiore permanente è una problematica di frequente riscontro nella pratica clinica quotidiana, ...
EDMONTON, Canada: Un team di ricercatori dell’Università dell’Alberta ha ottenuto dei finanziamenti per sviluppare un dispositivo a ultrasuoni 3D che ...
HONG KONG – Secondo lo studio Global Burden of Disease, la carie della prima infanzia colpisce circa 530 milioni di bambini in tutto il mondo, rendendola ...
In cosa consiste il bonding digitale di 3M?
La mascherina per il bonding digitale3M è un dispositivo ortodontico personalizzato progettato digitalmente per...
CHICAGO, USA: Un semplice test della saliva potrebbe aiutare nella diagnosi delle patologie a carico dei reni, con particolare riguardo alla situazione nei ...
Il Ministro della salute Beatrice Lorenzin ha firmato il Decreto con cui vengono fissate regole più precise per garantire la sicurezza dei pazienti ...
Era grande l’ottimismo alla fine del 2021 anche in odontoiatria, dopo un terribile 2020, l’anno successivo aveva fatto registrare un enorme aumento di ...
Una task force della World Sleep Society ha redatto una rivisitazione delle linee guida per la diagnosi delle apnee notturne negli adulti. Tra gli esperti ...
Dove eravamo rimasti? Nell’articolo precedente (si veda Dental Tribune Italian Edition, n. 3 marzo 2014, Speciale Ortho Tribune) ci eravamo occupati ...
Qualcuno ha cominciato a parlarne già dal 2017, ma solo quando il Collegio dei Docenti, lo scorso aprile, ha dedicato a questo tema un l’intero Congresso...
Live webinar
mer. 22 aprile 2026
17:00 (CET) Rome
MDT Andreas Chatzimpatzakis
Live webinar
mer. 22 aprile 2026
17:00 (CET) Rome
Live webinar
mer. 22 aprile 2026
18:00 (CET) Rome
Live webinar
gio. 23 aprile 2026
17:00 (CET) Rome
Live webinar
gio. 23 aprile 2026
18:30 (CET) Rome
Live webinar
gio. 23 aprile 2026
19:00 (CET) Rome
Live webinar
gio. 30 aprile 2026
1:00 (CET) Rome
Dr. Renato Leonardo D.M.D.
To post a reply please login or register