L’odontoiatria negli ultimi decenni è andata incontro a una profonda trasformazione che ha portato gli operatori del settore ad affrontare nuove sfide alla ricerca della perfezione e dell’eccellenza con lo scopo di erogare la migliore prestazione possibile sia dal punto di vista funzionale che estetico1,2.
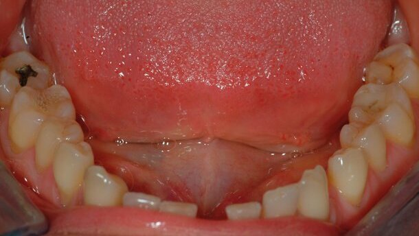
Gli interventi terapeutici sono diventati sempre più sofisticati e complessi con la necessità di una stretta collaborazione tra le diverse discipline dell’odontoiatria3. L’ortodonzia rappresenta sicuramente una tra le discipline guida in questo ambito: la ricerca tecnica e metodologica dei diversi sistemi di trattamento ortodontico ha portato infatti in questi ultimi anni a un notevole ampliamento delle possibilità terapeutiche, creando nuovi sviluppi per quanto riguarda nosologia, protocolli terapeutici e applicazioni strumentali a livello interdisciplinare in particolare nei soggetti fine crescita4-8.
Leggi l'articolo completo nella sezione CLINICAL > COSMETIC DENTISTRY
Il volto umano è il distretto corporeo più rappresentativo e caratterizzante della persona e per il professionista spesso risulta difficile coniugare ...
Ritrovare un bel sorriso! Una terapia che fa recuperare la gioia di vivere a chi l’ha persa per cause diverse: dai traumi, alla carie, alla malattia ...
Coniugare salute del cavo orale ed estetica del sorriso è una grande sfida per il team odontoiatrico. Erogare approcci clinici personalizzati e minimamente...
Sempre più frequentemente le richieste dei nostri pazienti mirano ad ottenere delle riabilitazioni che soddisfino parimenti l’aspetto funzionale e quello...
Il bisogno dell’individuo di avere un sorriso sano ed estetico è un requisito importante in tutte le fasce d’età per migliorare la...
Un sorriso più attraente, un’estetica dentale migliorata e risultati duraturi sono stati legati per lungo tempo ai restauri in ceramica –...
Secondo Christian Coachman, l’ortodonzia è una specialità che dovrebbe essere integrata nel Digital Smile Design (DSD), cosa essenziale per capirne ...
L’edentulia totale è una patologia ancora molto diffusa nel mondo. Nonostante i progressi nella prevenzione delle patologie cariose e parodontali, ...
L’irrigazione manuale dinamica: In genere, l’irrigazione manuale dinamica si ottiene con l’ausilio di un cono di guttaperca che viene ...
L’irrigazione manuale dinamica: In genere, l’irrigazione manuale dinamica si ottiene con l’ausilio di un cono di guttaperca che viene ...
Dr. Bruce McFarlane Certified Specialist in Orthodontics Fellow: Royal College of Dentists of Canada Diplomate: American Board of Orthodontics
Live webinar
mer. 15 aprile 2026
20:00 (CET) Rome
Live webinar
gio. 16 aprile 2026
2:00 (CET) Rome
Linda Hecker MS, BSDH, RDH
Live webinar
gio. 16 aprile 2026
18:00 (CET) Rome
Dr. Pär-Olov Östman, Dr. Robert Gottlander DDS
Live webinar
ven. 17 aprile 2026
18:00 (CET) Rome
Live webinar
ven. 17 aprile 2026
19:00 (CET) Rome
Dr. Stuart Yeaton BDentSc, MOrth
Live webinar
lun. 20 aprile 2026
19:00 (CET) Rome
Dr. Alberto Monje DDS, MS, PhD
To post a reply please login or register