Un caso di IIa Classe con morso aperto e mancanza dell’incisivo centrale destro inferiore, trattato ortodonticamente con un trattamento ibrido con allineatori
Gli allineatori trasparenti non sono sempre un’alternativa adeguata agli apparecchi ortodontici convenzionali1-4. Sebbene sia teoricamente possibile ottenere buoni risultati clinici solo con gli allineatori anche in casi complessi, tali trattamenti presentano limiti sostanziali e richiedono tempi di realizzazione molto più lunghi.
Introduzione La lunga durata del trattamento e il numero di fasi di trattamento necessarie possono rendere questo tipo di trattamento impraticabile ed economicamente non conveniente. Inoltre, poiché il trattamento con allineatori, rispetto al trattamento ortodontico convenzionale, dipende maggiormente dalla collaborazione del paziente per ottenere risultati positivi, nella nostra esperienza è più difficile mantenere i pazienti motivati durante i trattamenti di lunga durata5. La moderna terapia con allineatori ortodontici è ormai utilizzata da oltre 20 anni da ortodontisti e dentisti generici in tutto il mondo. Attualmente, gli allineatori trasparenti possono essere utilizzati con successo per trattare molti tipi di malocclusione, a condizione che il loro utilizzo sia basato su una corretta diagnosi, prognosi e pianificazione del trattamento e che il trattamento sia monitorato da clinici qualificati. Sebbene si siano registrati miglioramenti significativi nell’efficacia del trattamento con gli allineatori, gli allineatori trasparenti hanno i loro limiti, come qualsiasi altro dispositivo di trattamento.
L’evidenza scientifica dimostra che l’efficacia degli allineatori è inferiore a quella degli apparecchi fissi, soprattutto nel raggiungimento di movimenti dentali complessi6-10. Queste limitazioni possono essere superate non limitando le opzioni di trattamento al solo uso degli allineatori trasparenti e incorporando l’uso di altri ausili e strumenti ortodontici in combinazione con gli allineatori, ove necessario. Questo approccio ibrido, che consiste nell’incorporare ausiliari ortodontici nella pianificazione del trattamento, in cui la maggior parte dei movimenti dentali viene pianificata con gli allineatori e gli ausiliari vengono utilizzati solo per quelli più difficili, è il metodo utilizzato per trattare il paziente di cui si parla in questo articolo.
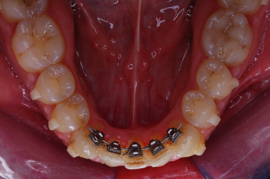
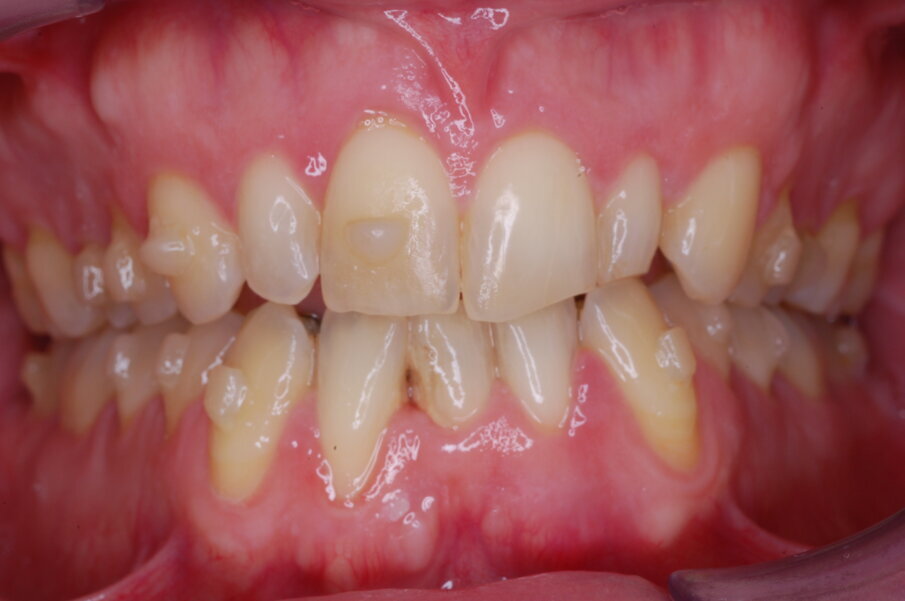
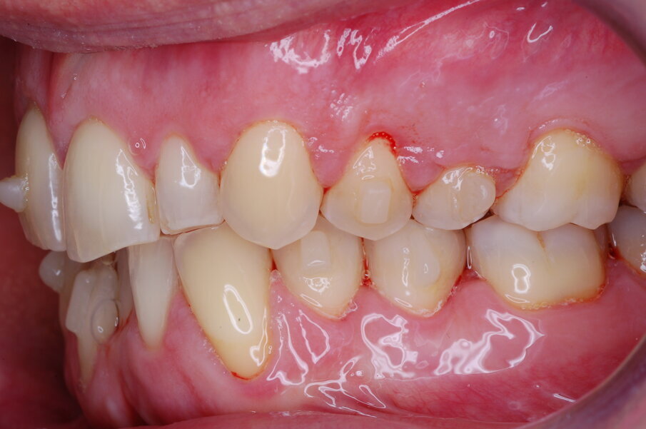
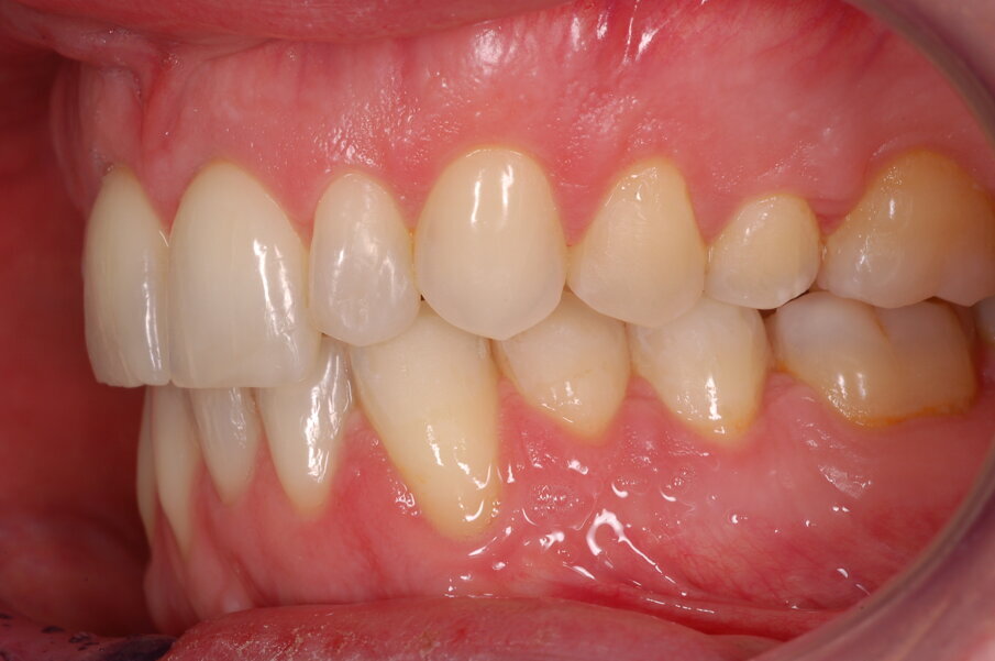
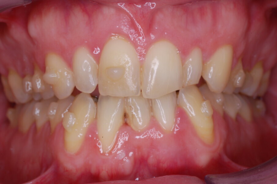
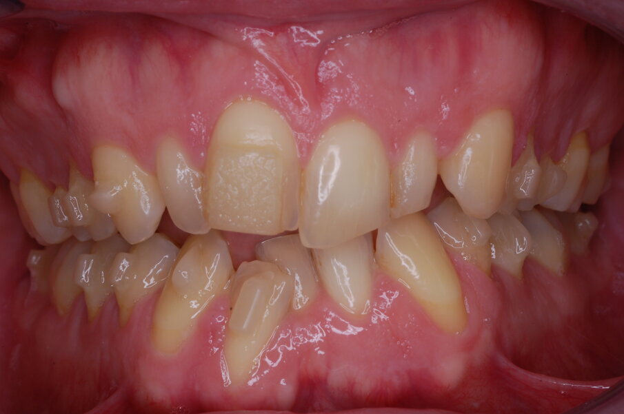
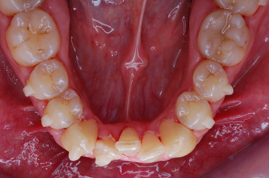
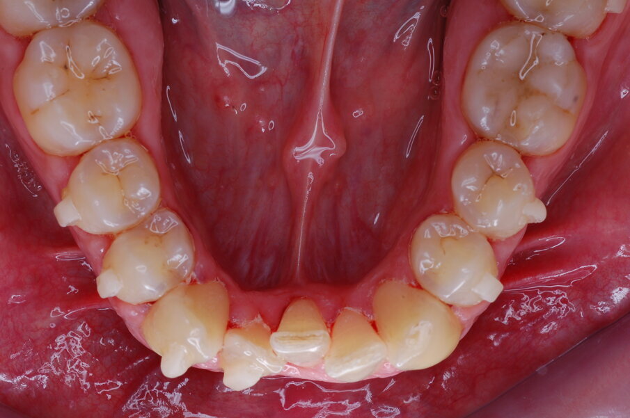
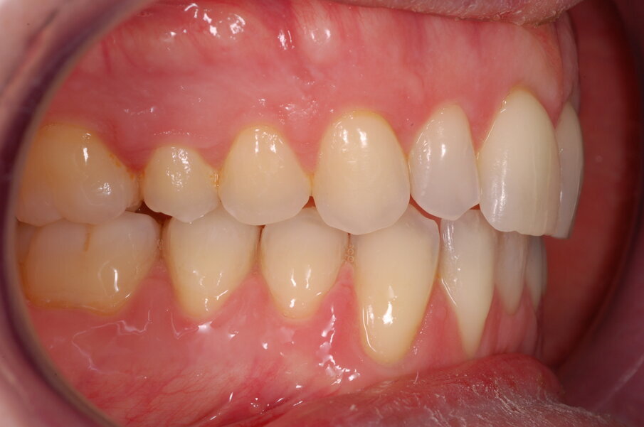
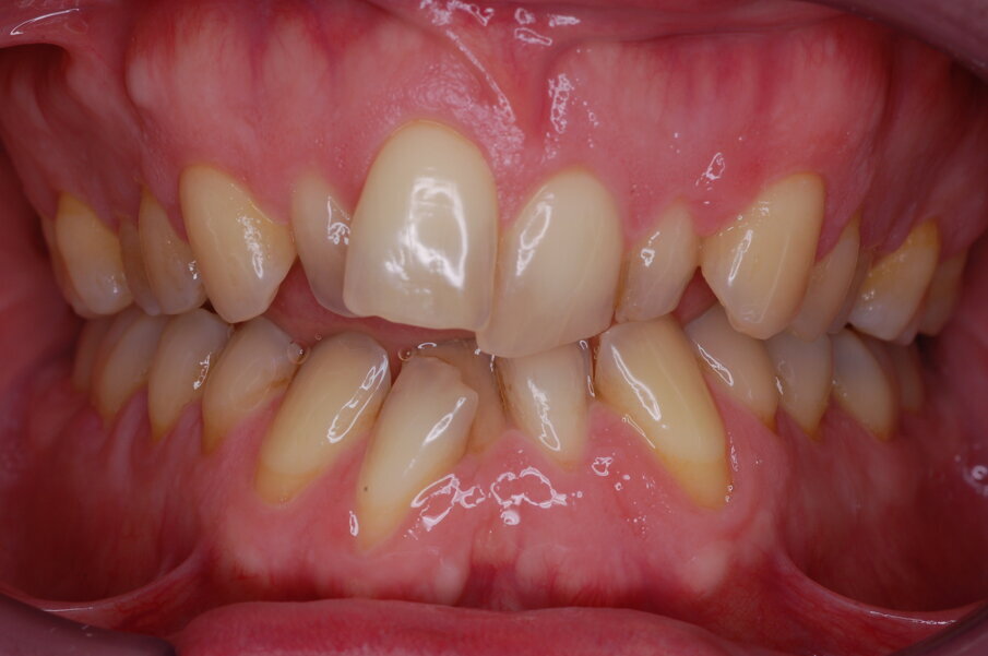
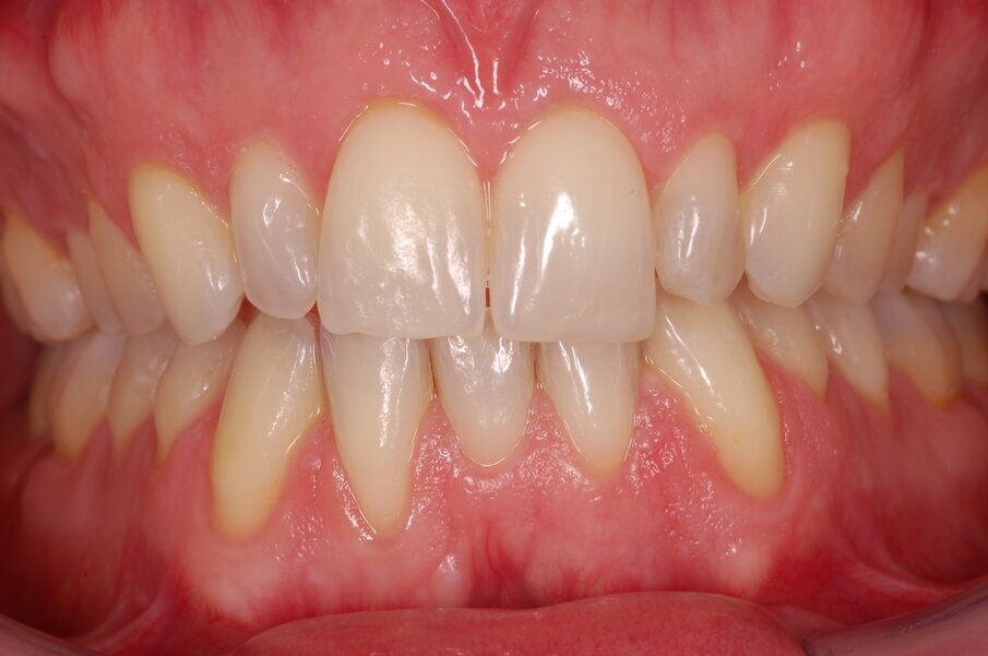
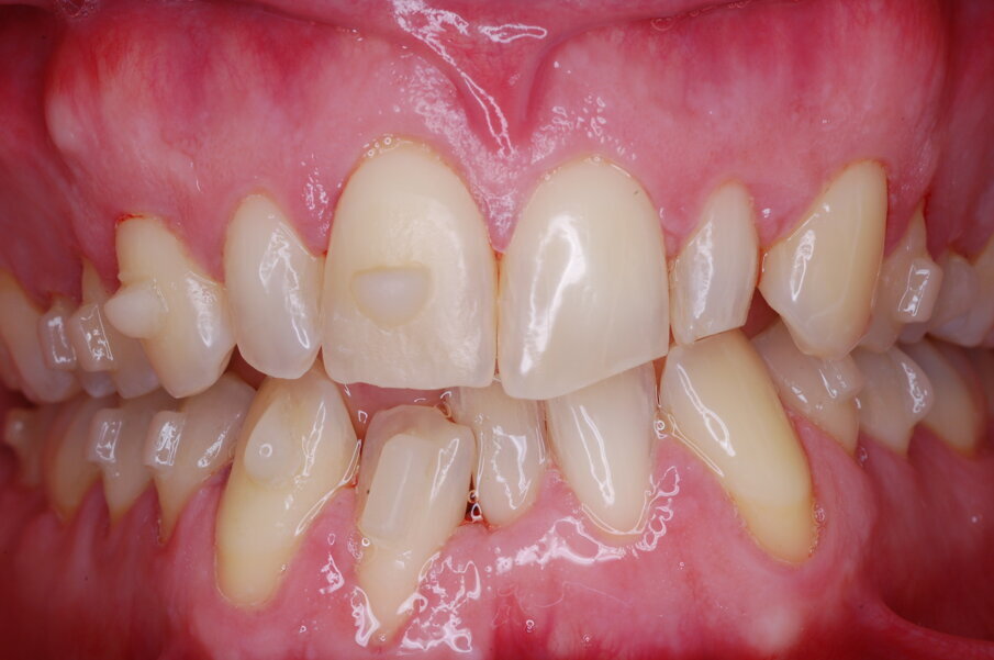
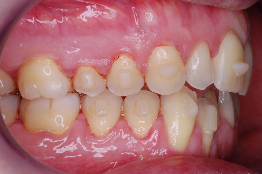
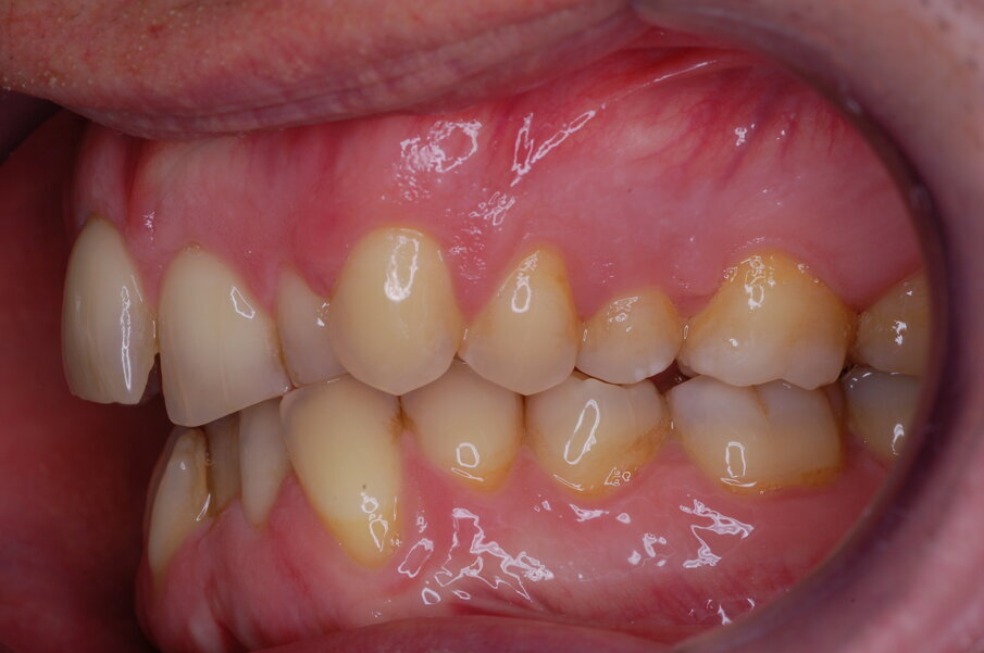
Diagnosi ed eziologia Un uomo sano di 39 anni si è presentato nel nostro studio ortodontico lamentando un aspetto dentale poco attraente e la paura della chirurgia ortognatica proposta da un altro ortodontista. Clinicamente, il profilo del paziente era rettilineo e la vista frontale non mostrava alcuna asimmetria facciale. L’esame funzionale non ha rivelato alcuna deviazione mandibolare o riduzione dei movimenti. Il paziente non aveva dolori articolari e non sono stati rilevati rumori articolari. Era presente una lieve occlusione molare bilaterale di Classe II, un morso aperto e un grave affollamento in entrambe le arcate. L’affollamento era particolarmente grave nell’arcata mandibolare, sebbene mancasse l’incisivo centrale mandibolare destro. Gli incisivi mascellari erano di piccole dimensioni, suggerendo una discrepanza dell’indice di Bolton se fossero stati presenti tutti e quattro gli incisivi mandibolari. Erano inoltre presenti un morso incrociato nella regione dell’incisivo laterale superiore sinistro e una grave rotazione distale del secondo premolare mandibolare sinistro (Figg. 1-8).
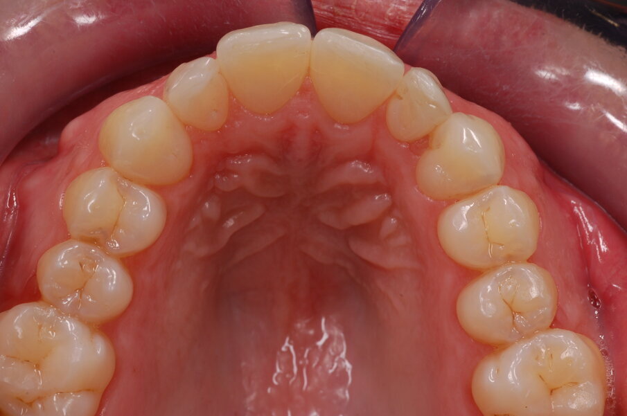
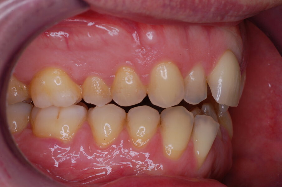
Figg. 1-8_Fotografie facciali e intraorali pre-trattamento.
Figg. 1-8_Fotografie facciali e intraorali pre-trattamento.
Figg. 1-8_Fotografie facciali e intraorali pre-trattamento.
Figg. 1-8_Fotografie facciali e intraorali pre-trattamento.
Figg. 1-8_Fotografie facciali e intraorali pre-trattamento.
Figg. 1-8_Fotografie facciali e intraorali pre-trattamento.
Figg. 1-8_Fotografie facciali e intraorali pre-trattamento.
Figg. 1-8_Fotografie facciali e intraorali pre-trattamento.
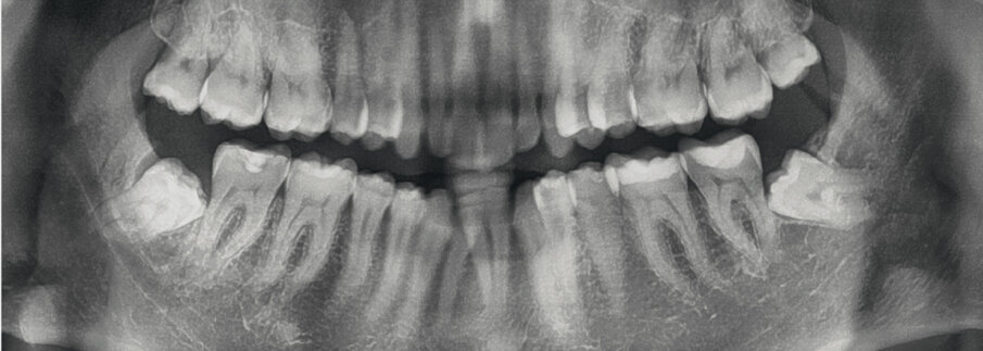
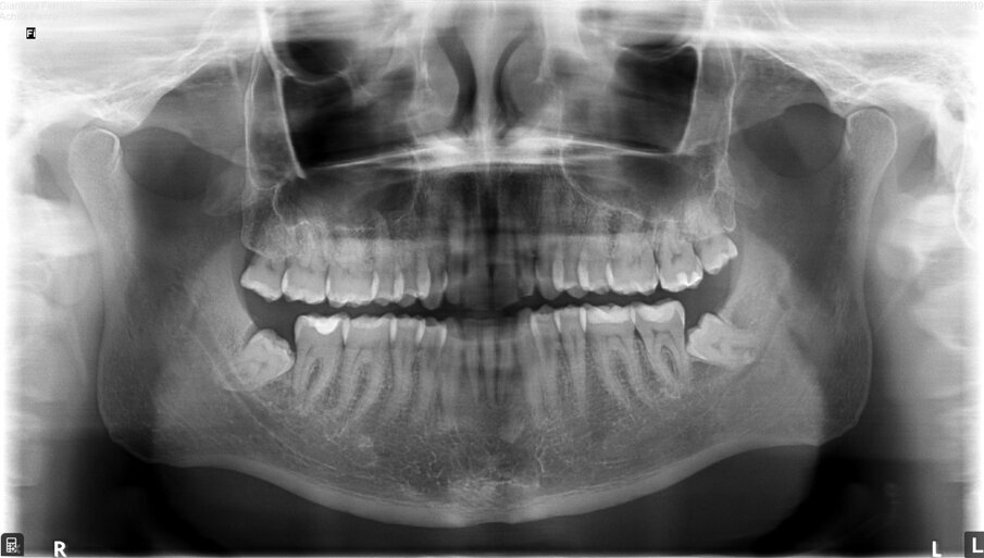
Dal punto di vista parodontale il paziente ha mostrato una buona attitudine all’igiene orale, ma l’affollamento degli incisivi mandibolari ha reso difficile la pulizia in quell’area, causando un accumulo di placca e un’infiammazione gengivale localizzata. La radiografia panoramica ha rivelato la presenza dei terzi molari mandibolari e ha confermato l’assenza dell’incisivo centrale mandibolare destro (Fig. 10). L’analisi cefalometrica ha evidenziato una malocclusione scheletrica di Classe II (convessità del Punto A: 4,9 mm), una posizione leggermente retrusa del mento (profondità facciale: 78,1°) e una tendenza scheletrica al morso aperto (altezza facciale inferiore: 53,19°; asse facciale: 80,58°; Fig. 9). Gli incisivi mandibolari erano inclinati lingualmente (Li-APog: 9,3°) e retrusi (Li-APog: 1,55 mm), con un angolo interincisivo aumentato di 142,9°.
Obiettivi del trattamento Al paziente è stata diagnosticata una malocclusione di Classe II iper-divergente, con retrusione bimascellare e grave affollamento. L’incisivo centrale mandibolare destro mancante ha aggiunto ulteriore complessità al trattamento. Gli obiettivi del trattamento erano:
correggere l’occlusione di Classe II
correggere la discrepanza di lunghezza dell’arco con la normalizzazione dell’overjet e dell’over-bite
migliorare l’estetica del sorriso risolvendo l’affollamento.
Alternative di trattamento Sono state prese in considerazione diverse modalità di trattamento per ottenere un’occlusione accettabile e un miglioramento dell’estetica dentale e facciale. Poiché il paziente presentava incisivi mandibolari retrusi e un incisivo mandibolare mancante, è stata esclusa l’estrazione dei quattro primi premolari. L’assenza di un incisivo mandibolare era compensata dalle dimensioni ridotte degli incisivi laterali mascellari (discrepanza di Bolton), indice di un buon rapporto tra i denti anteriori mascellari e mandibolari alla fine dell’allineamento. Poiché il paziente presentava un morso aperto anteriore, sarebbe stato difficile pianificare il trattamento utilizzando apparecchi fissi convenzionali ed evitando le estrazioni11-13. Questo approccio avrebbe potuto inoltre causare l’estrusione dei denti posteriori, aumentando così la dimensione verticale posteriore, che avrebbe peggiorato il morso aperto anteriore ruotando la mandibola posteriormente. Il paziente ha rifiu- tato l’uso di una trazione extraorale alta o di miniviti14-16. Per questo motivo abbiamo ritenuto più opportuno utilizzare allineatori che evitassero l’estrusione posteriore e controllassero meglio la dimensione verticale posteriore17. Abbiamo anche ritenuto che sarebbe stato vantaggioso utilizzare allineatori realizzati con materiali più spessi per avere un ragionevole controllo verticale. Con il sistema Ortho Caps è possibile utilizzare allineatori più spessi rispetto a quelli della maggior parte degli altri sistemi. Tuttavia gli allineatori relativamente spessi possono essere utilizzati solo di notte. Pertanto, per avere un allineatore sottile e trasparente durante il giorno (dayCAPS) che fosse esteticamente accettabile per il paziente, abbiamo scelto di utilizzare il sistema TwinAligner (Ortho Caps). Questo sistema ci ha permesso di utilizzare allineatori più spessi (2 mm) di notte per raggiungere il nostro obiettivo, mentre di giorno abbiamo utilizzato allineatori sottili da 0,8 mm. È stato eseguito un set-up digitale in 3D per previsualizzare il risultato del trattamento previsto utilizzando il software iSetup (Ortho Caps). Il set-up finale è stato caricato sul portale clinico online per l’approvazione (Figg. 11-20).
Figg. 11-15_Modelli dentali digitali iniziali.
Figg. 16-20_Set-up digitale risultato previsto.
In questa simulazione abbiamo visto che erano necessari movimenti dentali molto difficili, come la chiusura del morso e la rotazione del secondo premolare mandibolare sinistro18, 19. Per questo abbiamo chiesto a Ortho Caps di utilizzare materiali a doppio strato con un’elasticità superiore per le prime fasi del trattamento. Con questo sistema, l’ortodontista può scegliere tra diversi materiali e diversi spessori in base alle diverse esigenze nelle varie fasi del trattamento. Abbiamo anche informato il paziente dei limiti degli allineatori nel raddrizzare l’incisivo laterale mandibolare destro20. Pertanto, abbiamo avvisato il paziente che sarebbe stato necessario utilizzare a un certo punto del trattamento un ausiliario linguale fisso sezionale. Anche questo servizio unico di trattamento con allineatori ibridi (HAT) è fornito da Ortho Caps (Figg. 21, 22).
Figg. 21, 22_Simulazione della pianificazione del trattamento parziale indiretto linguale con allineatori ibridi.
Progressi del trattamento In nessuna fase del trattamento è stata eseguita una riduzione interprossimale (stripping). Con il sistema TwinAligner, il trattamento viene eseguito in diverse fasi e il dottore può scegliere la durata di ciascuna fase di trattamento (normalmente 8-10-12 steps di trattamento). Dopo ogni fase, sono state prese nuove impronte in polivinilsilossano o scansioni intraorali e inviate a Ortho Caps. Ortho Caps ha poi inviato un rapporto di valutazione del trattamento, preparato sovrapponendo le posizioni reali dei denti ai risultati simulati e pianificati nel software CAD (Figg. 23, 24). Questa valutazione viene eseguita con una tecnica di misurazione ottica. Il rapporto di valutazione del trattamento ci è stato inviato insieme ai successivi allineatori.
A causa della difficoltà del trattamento, abbiamo chiesto di effettuare la valutazione del trattamento ogni 8 steps di trattamento. Questo ci ha aiutato a tenere sotto controllo il progresso del trattamento. Il paziente cambiava gli allineatori ogni tre settimane, quindi ogni fase di trattamento è durata sei mesi. A partire dalla prima fase, il paziente ha iniziato a utilizzare elastici di Classe II da 3⁄16 pollici e 3,5 once, solo con gli allineatori notturni (nightCAPS).
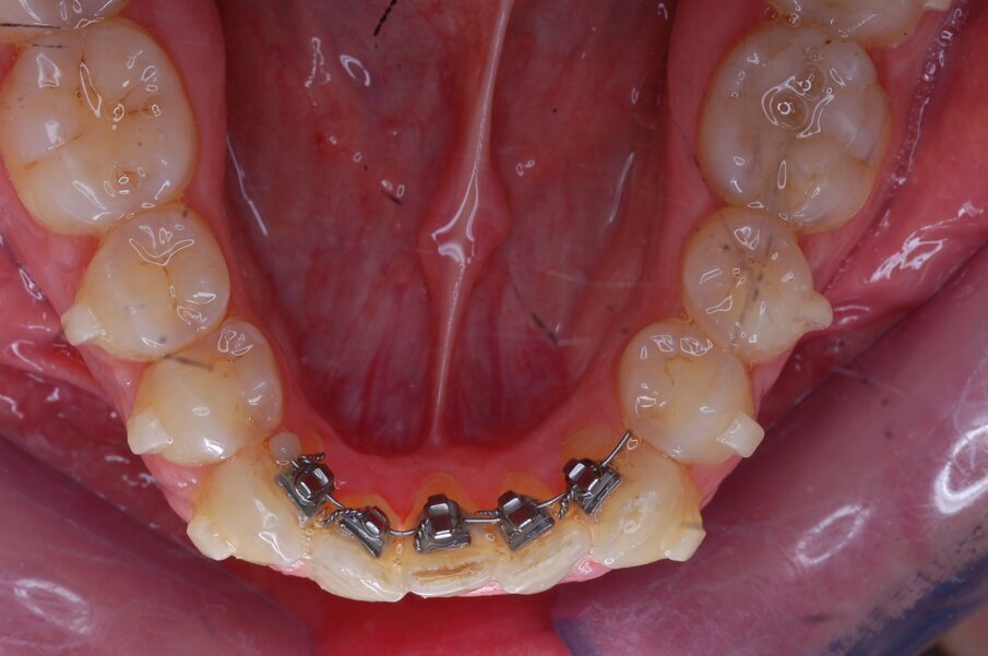
Dopo 12 mesi di utilizzo degli allineatori (Figg. 25-29), avevamo finalmente ottenuto lo spazio per l’apparecchio linguale fisso sezionale previsto. Come descritto, abbiamo richiesto un ortho caps HAT, un nuovo concetto basato sull’idea di utilizzare moduli ausiliari fissi (bracket, bande, fili e apparecchi di espansione o ancoraggio) contemporaneamente agli allineatori per ottenere un trattamento più efficace e migliori risultati clinici. I tempi, le modalità e l’uso esatto di tali ausiliari possono essere stabiliti nel piano di trattamento. Il metodo consente di eseguire la maggior parte del movimento con gli allineatori e di utilizzare gli ausiliari quando necessario, principalmente per supportare e consentire un movimento complesso. Per la fase di trattamento del paziente in cui è stato utilizzato un apparecchio linguale parziale, è stato fabbricato da Ortho Caps una dima per il collaggio indiretto dell’ausiliario successivamente inviato a noi per il collaggio dei brackets.
Fig. 23_Rapporto di valutazione del trattamento per l’arcata mascellare. L’analisi della deviazione è stata eseguita sovrapponendo i dati delle fasi di trattamento simulate nel software CAD ai dati reali ottenuti dalla scansione dei denti del paziente alla fine della terza fase del trattamento.
Fig. 24_Rapporto di valutazione del trattamento per l’arcata mandibolare. L’analisi della deviazione è stata eseguita sovrapponendo i dati delle fasi di trattamento simulate nel software CAD ai dati reali ottenuti dalla scansione dei denti del paziente alla fine della terza fase del trattamento.
Figg. 25-29_Progressi clinici dopo 12 mesi di trattamento con allineatori.
Figg. 25-29_Progressi clinici dopo 12 mesi di trattamento con allineatori.
Figg. 25-29_Progressi clinici dopo 12 mesi di trattamento con allineatori.
Figg. 25-29_Progressi clinici dopo 12 mesi di trattamento con allineatori.
Figg. 25-29_Progressi clinici dopo 12 mesi di trattamento con allineatori.
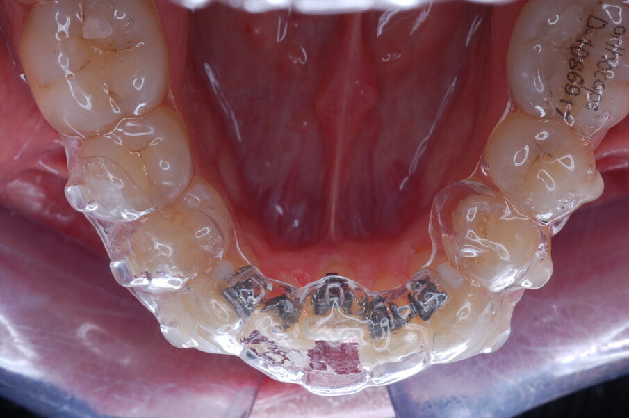
Metodo CAD/CAM per la fabbricazione dell’ausiliario linguale HAT Le posizioni finali dei denti anteriori mandibolari sono state simulate nel software di pianificazione del trattamento CAD. Dopo aver spostato i denti nelle loro posizioni finali, sono stati posizionati dei bracket virtuali nelle posizioni appropriate sul set-up finale nel software CAD. Queste posizioni consentono a un filo linguale virtuale dritto e rettangolare di passare passivamente attraverso gli slot dei brackets senza collidere con i brackets stessi. Nella fase successiva, i denti con i rispettivi brackets sono stati riportati nelle posizioni originali. La stampa 3D è stata utilizzata per stampare gli stampi finali con i brackets, sui quali è stato successivamente possibile formare una mascherina di trasferimento in silicone. I brackets linguali (JOY lingual brackets, Adenta) sono stati quindi inseriti nella mascherina di posizionamento in silicone per essere inviati a noi per il collaggio indiretto, insieme ad un arco linguale in nichel-titanio da 0,014 pollici (Figg. 30, 31).
Fig. 30_Tray per l’incollaggio indiretto e filo in nichel-titanio da 0,014 pollici.
Fig. 31_Posizionamento del bracket linguale.
Metodo di fabbricazione degli allineatori adattati sull’ausiliario HAT La tecnica HAT richiede che gli allineatori sia- no adattati agli ausiliari per creare l’ancoraggio necessario e nello stesso tempo consentire il movimento di alcuni denti. Gli allineatori successivi sono stati realizzati per adattarsi all’ausiliario linguale e creare l’ancoraggio necessario, in modo da poter spostare solo i denti che lo richiedevano. A tale scopo sono stati creati dei modelli 3D utilizzati per la termoformatura degli allineatori, che hanno incorporato nel loro design dei canali di movimento (spazi) per consentire ai denti di muoversi anche quando gli allineatori sono stati posizionati sopra di essi.
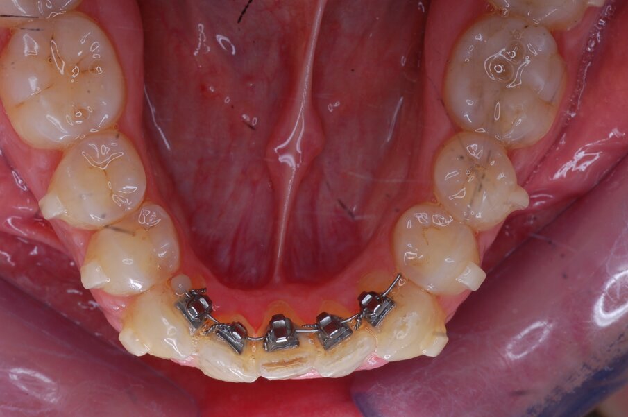
I denti utilizzati come ancoraggio (molari, premolari e canini mandibolari) non presentavano spazi tali per cui gli allineatori si adattassero perfettamente ad essi (Figg. 32, 33). È stato ottenuto un rapido allineamento nella regione anteriore mandibolare in sole nove settimane (Figg. 34-36). Per le fasi finali dell’allineamento è stato inviato un filo Gummetal 0,0175 × 0,0175 in sezione pre-curvata (Figg. 37-50). Dopo 26 mesi, l’ausiliario HAT è stato rimosso e sono stati consegnati al paziente alcuni allineatori di rifinitura per l’allineamento mandibolare conclusivo. Dopo un periodo di trattamento totale di 28 mesi, sono stati eseguiti restauri in composito sugli incisivi mascellari e il paziente ha ricevuto due allineatori di contenzione rigidi da indossare di notte.
Fig. 32_Apparecchio linguale sezionale in posizione.
Fig. 33_Allineatore con canali di movimento incorporati nel design per consentire ai denti di muoversi anche quando l’allineatore viene posizionato sopra di essi. I denti utilizzati come ancoraggio non presentano spazi, in modo che l’allineatore si adatti perfettamente ad essi.
Figg. 34-36_Progressi clinici dopo nove settimane di trattamento con allineato.
Figg. 34-36_Progressi clinici dopo nove settimane di trattamento con allineato.
Figg. 34-36_Progressi clinici dopo nove settimane di trattamento con allineato.
Figg. 37-44_Fotografie intraorali in sequenza che illustrano il progressivo allineamento dell’arco mandibolare.
Figg. 37-44_Fotografie intraorali in sequenza che illustrano il progressivo allineamento dell’arco mandibolare.
Figg. 37-44_Fotografie intraorali in sequenza che illustrano il progressivo allineamento dell’arco mandibolare.
Figg. 37-44_Fotografie intraorali in sequenza che illustrano il progressivo allineamento dell’arco mandibolare.
Figg. 37-44_Fotografie intraorali in sequenza che illustrano il progressivo allineamento dell’arco mandibolare.
Figg. 37-44_Fotografie intraorali in sequenza che illustrano il progressivo allineamento dell’arco mandibolare.
Figg. 37-44_Fotografie intraorali in sequenza che illustrano il progressivo allineamento dell’arco mandibolare.
Figg. 37-44_Fotografie intraorali in sequenza che illustrano il progressivo allineamento dell’arco mandibolare.
Figg. 45-50_Fotografie intraorali frontali in sequenza che illustrano il progressivo livellamento e allineamento e il raddrizzamento dell’incisivo laterale mandibolare destro.
Figg. 45-50_Fotografie intraorali frontali in sequenza che illustrano il progressivo livellamento e allineamento e il raddrizzamento dell’incisivo laterale mandibolare destro.
Figg. 45-50_Fotografie intraorali frontali in sequenza che illustrano il progressivo livellamento e allineamento e il raddrizzamento dell’incisivo laterale mandibolare destro.
Figg. 45-50_Fotografie intraorali frontali in sequenza che illustrano il progressivo livellamento e allineamento e il raddrizzamento dell’incisivo laterale mandibolare destro.
Figg. 45-50_Fotografie intraorali frontali in sequenza che illustrano il progressivo livellamento e allineamento e il raddrizzamento dell’incisivo laterale mandibolare destro.
Figg. 45-50_Fotografie intraorali frontali in sequenza che illustrano il progressivo livellamento e allineamento e il raddrizzamento dell’incisivo laterale mandibolare destro.
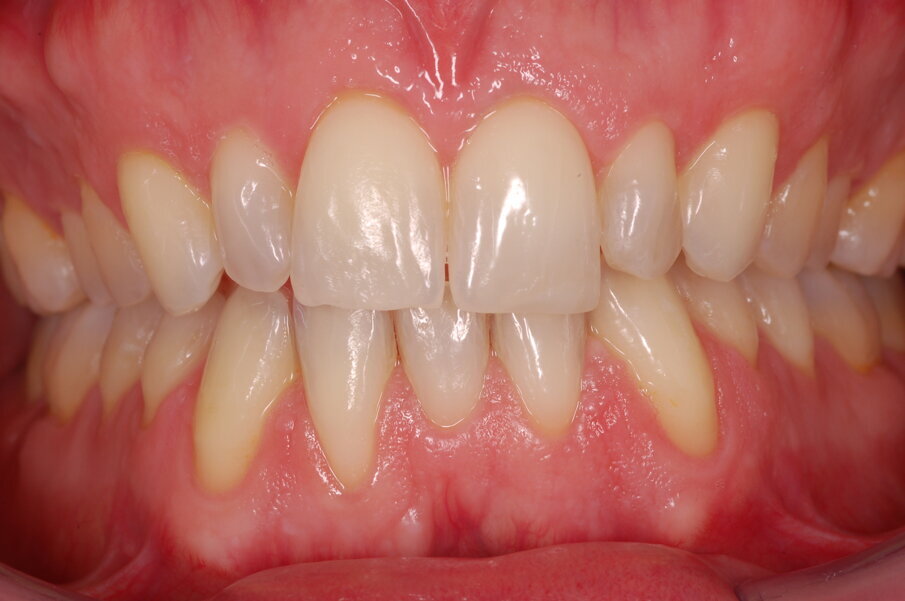
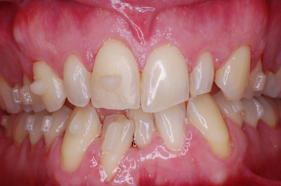
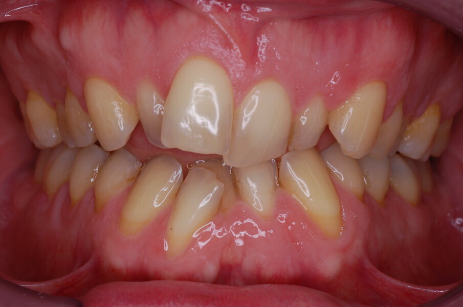
Risultati del trattamento Le fotografie extraorali post-trattamento hanno mostrato il miglioramento dell’estetica del sorriso (Figg. 51-58). È stata ottenuta una solida occlusione bilaterale di Classe I con overjet e overbite normali. Le arcate dentali erano ben allineate e livellate e anche la grave rotazione del secondo premolare mandibolare sinistro è stata corretta solo con gli allineatori. La valutazione cefalometrica post-trattamento (Fig. 59) ha mostrato un miglioramento della posizione anteroposteriore degli incisivi mandibolari (Li-APog: 2,21 mm), pur mantenendo l’altezza facciale (altezza facciale inferiore: 53,12°; asse facciale: 83,96°; Tab. 1). La radiografia panoramica mostrava che la radice dell’incisivo laterale mandibolare destro era stata raddrizzata dall’ausiliario HAT, senza alcun importante riassorbimento radicolare, raggiungendo un buon parallelismo con i denti adiacenti (Fig. 60). I terzi molari mandibolari impattati erano ancora presenti perché il paziente si rifiutava di estrarli.
Pretreatment
Post-treatment
Change
Facial axis (Pt–Gn)
80.58°
83.96°
+3.38°
Facial depth angle
78.1°
78.5°
+0.4°
Mandibular plane angle
25.5°
26.6°
+1.1°
Lower facial height
53.19°
53.12°
-0.07°
Mandibular arch
27.3°
30.9°
+3.6°
Convexity of point A
4.9 mm
3.4 mm
-1.5 mm
Mandibular incisor protrusion
1.4 mm
2.5 mm
+1.1 mm
Mandibular incisor inclination
15.5°
21.7°
+6.2°
Maxillary molar position
7.1 mm
6.7 mm
-0.5 mm
Inter-incisal angle
142.9°
128.0°
-14.9°
Lower lip to E plane
-4.6 mm
-3.6 mm
+1.0 mm
Maxillary depth
87.5°
87.1°
-0.4°
Analisi della deviazione mediante metodologia ottica È stata condotta un’analisi della deviazione tra il risultato clinico finale e la situazione iniziale per accertare l’entità del movimento verticale nei segmenti posteriori (Fig. 61). Ciò è stato fatto per confermare l’ipotesi che gli allineatori relativamente spessi avrebbero aiutato la chiusura del morso contribuendo all’intrusione dei segmenti posteriori. Il software utilizzato per questa analisi è stato GOM Inspect Pro (Carl Zeiss GOM Metrology), che utilizza un metodo altamente accurato di misurazione ottica per valutare le deviazioni tra due serie di dati 3D. I risultati hanno confermato il movimento intrusivo dei molari e dei premolari, soprattutto sul lato destro. Il movimento intrusivo verticale aggregato era dell’ordine di 0,5-1,0 mm. I tracciati cefalometrici convenzionali non sono in grado di riconoscere movimenti di questo ordine (Fig. 59).
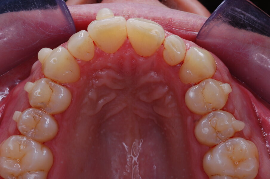
Figg. 51-58_Fotografie facciali e intraorali post-trattamento.
Figg. 51-58_Fotografie facciali e intraorali post-trattamento.
Figg. 51-58_Fotografie facciali e intraorali post-trattamento.
Figg. 51-58_Fotografie facciali e intraorali post-trattamento.
Figg. 51-58_Fotografie facciali e intraorali post-trattamento.
Figg. 51-58_Fotografie facciali e intraorali post-trattamento.
Figg. 51-58_Fotografie facciali e intraorali post-trattamento.
Figg. 51-58_Fotografie facciali e intraorali post-trattamento.
Fig. 59_Radiografia laterale post-trattamento con tracciato cefalometrico.
Fig. 60_Radiografia panoramica post-trattamento.
Fig. 61_L’analisi della deviazione ha mostrato l’intrusione dei denti posteriori, come previsto. I denti in grigio non sono stati inclusi in questa analisi, poiché la quantità di movimento superava l’intervallo di 1 mm selezionato per questa sovrapposizione.
Discussione Abbiamo scelto di utilizzare allineatori spessi perché ritenevamo che l’interposizione di un materiale spesso tra le arcate contrapposte sarebbe stata utile per evitare l’estrusione posteriore e, quindi, sarebbe stata efficace per controllare la dimensione verticale. Inoltre, sappiamo dalla letteratura che gli allineatori non sono efficienti come gli apparecchi fissi nel correggere le inclinazioni dei denti e nell’ottenere il torque radicolare20, 21. Sulla base delle conoscenze attuali, riteniamo che l’approccio ibrido sia l’unico modo per ottenere un movimento radicolare considerevole in un trattamento in cui la maggior parte del movimento è pianificato con gli allineatori. Con un filo sezionale linguale sotto l’allineatore mandibolare è stato possibile ottenere un eccellente raddrizzamento e un torque radicolare dell’incisivo laterale destro mandibolare. Inoltre, è stata stabilita una solida occlusione bilaterale di Classe I utilizzando elastici di Classe II indossati solo di notte mentre il paziente portava i nightCAPS per avere un controllo verticale ed evitare l’estrusione dei denti posteriori. Poiché il paziente presentava un morso aperto all’inizio del trattamento, il controllo della dimensione verticale posteriore era obbligatorio durante l’estrusione degli incisivi.
Considerando i dati della letteratura ortodontica, che dimostrano come la rotazione dei premolari sia difficile da correggere con gli allineatori22, 23, siamo rimasti stupiti dal fatto che la grave rotazione distale del secondo premolare mandibolare sinistro sia stata corretta senza l’uso di apparecchi fissi o ausiliari. Riteniamo che ciò sia dovuto al tipo di attacco utilizzato e all’elasticità dei materiali a doppio strato impiegati per la realizzazione degli allineatori. Questa rotazione del premolare sottolinea anche l’importanza della selezione del caso e della scelta delle migliori opzioni per lo spostamento dei denti. Se questo caso non avesse presentato un affollamento anteriore mandibolare estremamente difficile che richiedeva una durata di trattamento relativamente più lunga, la correzione simultanea della rotazione del secondo premolare mandibolare con gli allineatori sarebbe stata probabilmente impraticabile. Questo movimento dentale da solo non avrebbe potuto giustificare una durata di trattamento prolungata. La diagnosi e la pianificazione del trattamento, insieme all’uso di ausili ibridi, sono fondamentali per affrontare i casi difficili.
I restauri in composito ad hoc degli incisivi mascellari dovevano essere solo una soluzione temporanea. Abbiamo consigliato di sostituirli con faccette in ceramica feldspatica o in disilicato di litio. Tuttavia, il paziente non era interessato a un ulteriore miglioramento estetico del risultato ottenuto. Purtroppo, alla fine del trattamento erano ancora presenti tutti i terzi molari. La paziente non ha accettato di estrarre questi denti nonostante fosse stato informato del rischio di alterazioni patologiche, come infezioni (pericoronite), riassorbimento radicolare, lesioni cariose non ripristinabili e sviluppo di cisti e tumori, nonché di un maggiore accumulo di placca batterica con possibile conseguente malattia parodontale dei secondi molari. Il paziente è stato inoltre informato che la mancata estrazione dei terzi molari potrebbe essere causa di alitosi, ascessi ricorrenti e disodontiasi24-26. Ha quindi firmato il modulo di consenso informato supplementare fornito dall’American Association of Orthodontists per i pazienti che rifiutano un trattamento raccomandato.
Conclusione L’uso di materiali spessi che coprono le superfici occlusali dei denti posteriori è utile nei pazienti in cui è importante il controllo della dimensione verticale posteriore e si deve evitare l’estrusione posteriore. Questi casi sono per lo più iperdivergenti e presentano morsi aperti anteriori. In questi casi, gli allineatori più spessi sono più efficaci nel controllare la dimensione verticale. Sebbene un allineatore spesso di notte sia molto utile dal punto di vista clinico, tali allineatori non sono adatti per l’uso diurno, poiché non sono esteticamente accettabili per i pazienti e compromettono il linguaggio. Pertanto, in questo caso, abbiamo preferito utilizzare materiali di spessore diverso per l’uso diurno e notturno. Il presente caso clinico illustra che, in casi complessi, è possibile superare le limitazioni degli allineatori per ottenere un movimento dentale impegnativo (ad esempio, il movimento della radice) con l’approccio ibrido. Come descritto, utilizzando gli ausiliari sezionali fissi in combinazione con gli allineatori, abbiamo potuto trattare questo caso con un elevato standard clinico. L’approccio ibrido, a nostro avviso, è il metodo più efficiente ed efficace per trattare casi complessi con gli allineatori. Pertanto, i produttori di allineatori dovrebbero offrire questi tipi di opzioni di trattamento per assistere i clinici nel trattamento di questi casi, offrendo ai pazienti un trattamento ortodontico invisibile. Purtroppo, sono pochi i sistemi che offrono questo servizio.
Bibliografia disponibile presso l’editore.
Nota editoriale:
Questo articolo è stato pubblicato su aligners international magazine of aligner orthodontics vol. 2, numero 1/2023.
I pazienti ortodontici adulti richiedono con insistenza opzioni di trattamento estetiche che abbiano il minor impatto possibile sul loro lavoro e la loro ...
I pazienti ortodontici adulti richiedono con insistenza opzioni di trattamento estetiche che abbiano il minor impatto possibile sul loro lavoro e la loro ...
La perimplantite è un processo infiammatorio che colpisce i tessuti che circondano un impianto dentale osteointegrato. È caratterizzata da infiammazione ...
La lingua villosa (LV) è una condizione benigna caratterizzata da un’alterazione di colore e da un aspetto villoso del dorso linguale. La prevalenza di ...
I soggetti fumatori hanno sicuramente maggiore probabilità di sviluppare infezioni fungine orali rispetto ai soggetti non fumatori1. La Candida è uno dei ...
La classe II scheletrica rappresenta una malocclusione molto diffusa nella popolazione e può presentarsi con un’ampia varietà di configurazioni dentali ...
SOLNA, Svezia: Quacquarelli Symonds (QS), uno dei principali analisti globali dell’istruzione superiore, ha recentemente pubblicato la sua classifica ...
LONDRA, Inghilterra: Gli atleti professionisti possono rappresentare il massimo della prestazione fisica, ma crescenti evidenze suggeriscono che la loro ...
To post a reply please login or register