Nel recupero endodontico di un elemento dentario, l’obiettivo primario deve essere rappresentato dal rispetto dell’anatomia originale e dal minor sacrificio possibile di dentina pericervicale. Oggi questo risultato è facilmente ottenibile grazie all’evoluzione delle tecniche di sagomatura e alle leghe con cui vengono realizzati gli strumenti endodontici. Nel presente case report verranno messe in evidenza le considerazioni preoperatorie e le strategie operative messe in atto per ottenere la risoluzione di un caso clinico nella modalità meno invasiva possibile
Fase Diagnostica
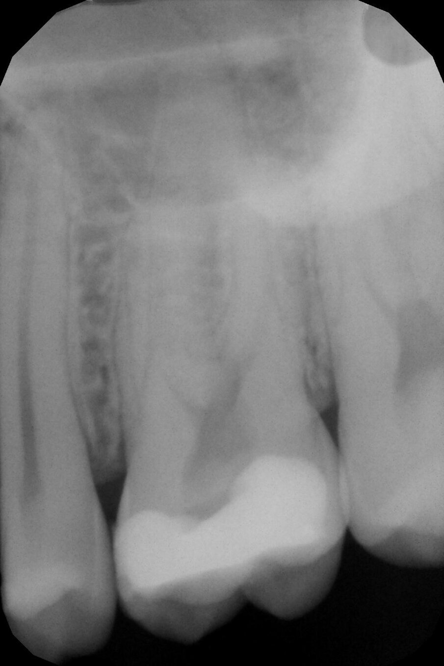
Un paziente di anni 45 giunge in urgenza lamentando un forte dolore in corrispondenza dell’emiarcata mascellare di destra. L’esame anamnestico rivela che il dolore è di tipo pulsante ed è soprattutto notturno. L’esame clinico evidenzia la presenza di un grosso restauro in composito, che era stato effettuato circa 5 anni prima, a livello dell’elemento dentario 2.6; il restauro è infiltrato occlusalmente in più punti. L’elemento in questione risulta dolente alla masticazione; il test di vitalità al freddo esacerba un dolore acuto e prolungato scatenando la sintomatologia lamentata dal paziente. L’esame radiografico di tipo periapicale (Fig. 1) conferma la presenza di infiltrazione cariosa sul fondo della cavità; non evidenzia la presenza di visibili alterazioni a livello del periapice. Viene fatta diagnosi di pulpite acuta e il piano terapeutico prevede il trattamento endodontico ortogrado.
Valutazione preoperatoria dell’anatomia endodontica
Grazie alla radiografia periapicale possiamo effettuare una corretta valutazione preliminare dell’anatomia endodontica. Questa viene effettuata analizzando i dettagli dell’anatomia esterna e interna radicolare; così facendo possiamo intercettare immediatamente qualsiasi difficoltà che potremmo incontrare nel corso del trattamento e scegliere la migliore strategia operativa in funzione della nostra anatomia endodontica. Le radici mesio-vestibolare (MV) e disto-vestibolare (DV) sembrano abbastanza curve apicalmente e probabilmente ci aspettiamo di trovare anche il secondo canale mesio-vestibolare (Mb2) nella radice MV; la radice palatale (P) appare lunga e dritta. Visto il grado di compromissione dell’elemento dentale e l’anatomia delle radici vestibolari optiamo di scegliere degli strumenti a conicità ridotte realizzati con una lega trattata termicamente (che sposi sia le caratteristiche della martensite che dell’austenite) al fine di ottenere la massima salvaguardia della struttura radicolare residua mantenendo un ottima resistenza agli stress torsionali.
Terapia Ortograda
Prima seduta operativa
In questa seduta viene affrontata l’urgenza del paziente. Dopo aver eseguito anestesia plessica con articaina sull’elemento 2.6 viene applicata la diga di gomma ed effettuata la pulpectomia, con l’ausilio di strumenti meccanici e irrigazione iniziale con NaCIO (ipoclorito di sodio). Il paziente viene dimesso con esecuzione e chiusura della cavità di accesso con materiale provvisorio tipo Cavit.
Seconda Seduta Operativa
Una volta passata la fase acuta grazie alla pulpectomia d’urgenza effettuata nella prima seduta, il dente viene sottoposto al trattamento endodontico ortogrado. Previa anestesia plessica con articaina e corretto isolamento del campo operatorio con diga di gomma si procede alla rimozione del precedente restauro. La corretta apertura della cavità d’accesso abbozzata nella prima seduta viene rifinita e ultimata attraverso l’uso di sistemi di ingrandimento con frese diamantate montate su turbina e punte ultrasoniche dedicate, REDO 2 e CAVI 2 (Dentsply Sirona), che permettono un’agevole eliminazione delle calcificazioni e un’efficace azione detergente della camera pulpare.
Dopo aver effettuato il reperimento dei canali radicolari (MV, MB2, DV e P) lo scouting è stato eseguito in maniera manuale con VDW C-Pilot (08-10) (Dentsply Sirona) portato delicatamente fino alla lunghezza di lavoro (ldl). Dopo aver abbondantemente irrigato con ipoclorito di sodio l’alesaggio canalare è stato effettuato con VDW.Rotate (Dentsply Sirona) 15.04, controllando la ldl con localizzatore collegato al manipolo VDW Raypex II (Dentsply Sirona); le caratteristiche di disegno dello strumento (punta leggermente arrotondata, sezione a S decentrata, riduzione del pitch-lenght) conferiscono una maggiore resistenza alla torsione riducendo al minimo il rischio di frattura all’interno dei canali radicolari.
Si completa la preparazione canalare con 20.05, 25.04 e 30.04 VDW.Rotate (Dentsply Sirona) per i canali MV, Mb2 e DV, mentre per il canale palatale si è scelta una preparazione 40.04 (Fig. 2).
La tecnica di sagomatura canalare è una preparazione simultanea, dove al classico movimento di Up & Down si associa il nuovo movimento di micro-pecking. Gli strumenti, passati in sequenza dal più piccolo al più grande, vengono fatti lavorare con un movimento di spazzolamento associato a uno di picchiettio possibile grazie all’aumento del tempo di latenza con cui si lavora con la punta dello strumento all’interno del canale. Ciò è realizzabile grazie al disegno e alla lega con cui sono realizzati i Rotate. La rifinitura apicale, usando la tecnica del visual gauging, è stata affidata a strumenti meccanici rotanti 35.04 e 40.04 VDW.Rotate (Dentsply Sirona) nel canale P, mentre al 30.04 VDW.Rotate (Dentsply Sirona) nei canali MV, Mb2 e DV.
L’irrigazione canalare è stata eseguita con lavaggi alternati di Ipoclorito di Sodio al 5,25% e EDTA al 17% durante tutta la strumentazione canalare e l’attivazione degli irriganti è avvenuta tramite punte VDW EDDY (Dentsply Sirona) (Fig. 3) attivate sonicamente, portate ad 1 mm dalla ldl e montate su Manipolo sonico (TKD).
La chiusura canalare è stata eseguita con tecnica Micro-Heat: termomeccanica laterale a caldo (Mul-ti-Phase di McSpadden), con cono master di diametro #40 e conicità 02 nel canale palatale P (ldl: 22mm) e #30 conicità 0.2 nei canali MV (ldl: 20mm), Mb2 (ldl: 20mm) e DV (l.d.l: 20 mm), associato a cemento endodontico a base di ossido di zinco eugenolo con sali d’argento (Pulp canal sealer, Kerr); il Back-Packing è stato eseguito con Pac-Mac Sybron-Endo Microseal Condenser, Pac-Mac (Kerr) e guttaperca fluida Microseal (Sweden&Martina) (Fig. 4).
Il restauro post-endodontico è stato eseguito attraverso ricostruzione diretta in materiale composito con parziale ricopertura delle cuspidi, in attesa di restauro indiretto (Overlay) a ricoprimento cuspidale, non appena le possibilità economiche del paziente lo permetteranno (Figg. 5-7).
Dopo circa due settimane dalla fine del trattamento, il paziente ritorna a controllo mostrando regressione totale della sintomatologia.
Fig. 1 - Rx periapicale preoperatoria del 2.6.
Fig. 2 - Sequenza degli strumenti meccanici usati per la preparazione canalare: Tecnica simultanea.
Fig. 3 - Punta sonica in polietilene (Eddy) usata per l’attivazione intracanalare degli irriganti.
Fig.4 - Rx-periapicale di controllo post-operatoria.
Fig. 5 - Foto occlusale intraoperatoria dell’isolamento durante le fasi del restauro diretto.
Fig. 6 - Foto occlusale intraoperatoria del restauro diretto finalizzato.
Fig. 7 - Foto intraoperatoria del restauro diretto finalizzato e controllo occlusale.
Conclusioni
Nell’ambito dell’odontoiatria minimamente invasiva ed economicamente sostenibile, negli ultimi anni l’endodonzia ha compiuto enormi progressi con l’applicazione di nuove tecnologie, che hanno ridotto significativamente il tempo di preparazione canalare, senza pregiudicare la qualità nell’efficacia di disinfezione. L’avvento delle leghe trattate termicamente (leghe più flessibili) e il miglioramento continuo del design, unito a novità di movimento di lavoro (vedi reciprocazione), hanno migliorato notevolmente la resistenza alla torsione e soprattutto alla fatica ciclica degli strumenti montati. Il grande merito delle leghe martensitiche è quello di permettere una maggiore conservazione della dentina pericervicale, che sembra essere fondamentale nella resistenza a lungo termine degli elementi dentali e nell’avere un angolo di flessibilità più favorevole rispetto le leghe austenitiche.
Bibliografia
1. Bürklein S, Hinschitza K, Dammaschke T, Schäfer E. Shaping ability and cleaning effectiveness of two singlefile systems in severely curved root canals of extracted teeth: Reciproc and WaveOne versus Mtwo and ProTaper. Int Endod J 2012;45(5):449–61.
2. Machado MEL, Nabeshima CK, Leonardo MFP, Cardenas JEV. Análise de tempo de trabalho da instrumentação recíproca com lima única: WaveOne e Reciproc. Rev Assoc Paul Cir Dent2012;66(2):120-5.
3. Neves MA, Provenzano JC, Rôças IN, Siqueira JF Jr. Clinical antibacterial effectiveness of root canal preparation with reciprocating single-instrument or continuously rotating multi-instrument systems. J Endod 2016;42(1):25-9.
4. Nabeshima CK, Caballero-Flores H, Cai S, et al. Bacterial removal promoted by 2 single-file systems: Wave One and One Shape. J Endod 2014;40(12):1995-8.
5. Pereira ES, Peixoto IF, Viana AC, et al.Physical and mechanical properties of a thermomechanically treated NiTi wire used in the manufacture of rotary endodontic instruments. Int Endod J 2012;45(5):469–74.
6. Alshwaimi E. Cyclic fatigue restance ofa novel rotary file manufactured usingcontrolled memory Ni-Ti technologycompared to a file made from M-wire file. Int Endod J 2017 Feb 20. doi:10.1111/iej.12756. [Epub ahead of print]
7. Pedullà E, Grande N, Plotino G, et al.Influence of continuous or reciprocating movement on cyclic fatigue resistance of 4 different nickel- titanium rotary instruments J Endod 2013; 39(2): 258-61.
8. Coelho BS, Amaral ROJF, Leonardi DP, et al. Performance of three single instrument systems in the preparation of long oval canals. Braz Dent J 2016;27(2):217-55.
9. Scelza P, Davidowicz H, Silva LE, et al. A comparison of two reciprocating instruments using bending stress and cyclic fatigue tests. Braz Oral Res 2015;29(1).
L'articolo è stato pubblicato su Cosmetic & Endo Tribune n. 1/2020.
Tag:
La perimplantite è un processo infiammatorio che colpisce i tessuti che circondano un impianto dentale osteointegrato. È caratterizzata da infiammazione ...
L’endopedodonzia è la branca dell’odontoiatria pediatrica che si occupa del trattamento dell’organo pulpare in pazienti pediatrici. L’endodonzia in...
Gli allineatori trasparenti non sono sempre un’alternativa adeguata agli apparecchi ortodontici convenzionali1-4. Sebbene sia teoricamente possibile ...
Le lesioni che coinvolgono la cavità orale portano solitamente alla formazione di ulcere. L’ulcera traumatica della mucosa orale è una delle lesioni ...
Nel trattamento endodontico classico, un sistema compatto di file in nichel-titanio (NiTi) è spesso sufficiente per ottenere risultati riproducibili nella ...
I soggetti fumatori hanno sicuramente maggiore probabilità di sviluppare infezioni fungine orali rispetto ai soggetti non fumatori1. La Candida è uno dei ...
PARIGI, Francia: Quando si tratta di scegliere sistemi endodontici, qualità, costo e facilità d’accesso sono fattori chiave. DirectEndodontics è ...
L’ortodonzia con allineatori è una delle aree di trattamento dentale estetico in più rapida crescita. Per valutare in modo più ampio la soddisfazione ...
Sono stati oltre duecento i partecipanti alla Giornata Endodontica Regionale SSE che si è svolta nella splendida cornice di Catania sabato 5 maggio scorso,...
Sabato 5 maggio 2018 a Catania si svolgerà la Giornata Endodontica Regionale durante la quale si affronteranno temi molto interessanti, dalla diagnosi alla...
Live webinar
mer. 22 aprile 2026
17:00 (CET) Rome
MDT Andreas Chatzimpatzakis
Live webinar
mer. 22 aprile 2026
17:00 (CET) Rome
Live webinar
mer. 22 aprile 2026
18:00 (CET) Rome
Live webinar
gio. 23 aprile 2026
17:00 (CET) Rome
Live webinar
gio. 23 aprile 2026
18:30 (CET) Rome
Live webinar
gio. 23 aprile 2026
19:00 (CET) Rome
Live webinar
gio. 30 aprile 2026
1:00 (CET) Rome
Dr. Renato Leonardo D.M.D.
To post a reply please login or register