I pazienti ortodontici adulti richiedono con insistenza opzioni di trattamento estetiche che abbiano il minor impatto possibile sul loro lavoro e la loro vita. Gli allineatori trasparenti sono un’eccellente opzione di trattamento, adatta a molti piani di trattamento ortodontico globale. Avrete già capito che la selezione del caso è essenziale e che alcuni movimenti sono più difficili da eseguire bene con gli allineatori removibili.
Gli attacchi linguali Incognito (3M ESPE) rappresentano un’opzione di trattamento ideale per i pazienti adulti che possono essere trattati meglio con un sistema fisso e che desiderano un trattamento ortodontico fisso. Sono perfetti anche per chi non è propenso a gestire gli allineatori removibili. Gli attacchi linguali sono un interessante passo avanti nella cura ortodontica e molti pazienti ne sono soddisfatti. Vorrei presentare brevemente il sistema di attacchi linguali Incognito, illustrando poi un caso che ho trattato con gli attacchi linguali e spiegando perché ho scelto questo sistema.1
Il dispositivo Incognito è realizzato mediante l’innovativa tecnologia CAD/CAM. La prima fase del processo di realizzazione prevede la rilevazione di accurate impronte in polivinilsilossano, seguita dalla realizzazione di un modello in gesso e di una ceratura diagnostica (secondo le mie istruzioni dirette). Il modello finale mi viene quindi inviato in modo digitale per un riscontro e quindi io posso apportare una serie di cambiamenti fino a quando sono soddisfatto del risultato finale. Il modello finale viene quindi scansionato con uno scanner 3D e i bracket vengono progettati a computer. Il sistema di bracket e archi consiste in componenti interamente individualizzate. La base e il corpo dei bracket, la posizione del corpo del bracket sulla base, l’orientamento dello slot (ribbonwise), la direzione dell’inserimento dell’arco (verticale o orizzontale) e la geometria dell’arco vengono tutti adattati individualmente per ciascun dente, in base alla malocclusione e alle istruzioni dell’ortodontista. Per la realizzazione dei bracket linguali si utilizza la tecnica di prototipazione rapida. Questi vengono poi fusi in una lega aurea, montati su un tray flessibile per adesione indiretta e pronti per l’applicazione.
Grazie all’approccio individuale, è possibile anche l’adesione diretta.
La piegatura degli archi è uno dei compiti più difficili in ortodonzia. In questo sistema, la piegatura degli archi eseguita a computer mediante robot permette di modellare gli archi con precisione. Anche quelli super elastici possono essere modellati in modo preciso. Questo aiuta a risolvere tre problemi principali dell’ortodonzia linguale:
- disagio del paziente durante la fase di adattamento: l’applicazione è fatta in modo da essere il più possibile piatta, non più alta di un ritentore adesivo; questo migliora significativamente il confort del paziente;
- difficoltà nella ri-adesione: la base individuale del bracket copre la maggior parte della superficie linguale del dente e quindi permette una ri-adesione diretta senza la necessità di ulteriori ausili di posizionamento;
- imprecisione della finitura: le imprecisioni degli slot dovuti alla produzione e la risultante variazione del torque ora fanno parte del passato grazie a Incognito. Le percentuali di misurazione mostrano divergenze di non più di 0,008 mm tra gli slot. Anche gli archi modellati con precisione permettono di ottenere facilmente un elevato standard di finitura.2,3
La Figura 1 mostra le diverse fasi di realizzazione dei componenti del sistema Incognito. Questo caso clinico descrive il trattamento di un paziente con una malocclusione di II Classe scheletrica a causa di una mandibola retrognatica e una mascella protrusiva. Presentava anche la mancanza congenita dell’incisivo centrale inferiore di destra. L’estrazione di un solo incisivo inferiore può essere eseguita come trattamento di compromesso per alcune malocclusioni se il risultato finale soddisfa i requisiti per una dentizione più sana e sia armonizzato dal punto di vista funzionale ed estetico in relazione alle strutture adiacenti.4 In questo caso, uno di questi incisivi mancava e quindi è stata necessaria l’estrazione. La malocclusione di II Classe è stata corretta con un trattamento ortodontico non estrattivo con un dispositivo linguale fisso CAD/CAM (Incognito). La relazione molare di III Classe non è cambiata alla fine del trattamento, ma è stata ottenuta una relazione canina di I Classe e il profilo facciale è migliorato grazie al miglioramento della posizione dell’incisivo mandibolare in relazione al piano mandibolare, che influisce sulla posizione del labbro inferiore.
Diagnosi ed eziologia
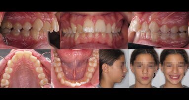
Il paziente, di 23 anni e nove mesi, lamentava l’affollamento mascellare e mandibolare dei denti anteriori. Presentava relazioni canine e molari di III Classe su entrambi i lati, un overjet di 2 mm, un overbite di 4 mm, l’agenesia dell’incisivo centrale inferiore di sinistra, la linea mediana mascellare era coincidente con il piano mediosagittale, la linea mediana mandibolare era spostata a sinistra, l’arcata dentale superiore aveva circa 7 mm di affollamento e l’arcata inferiore aveva 8 mm di affollamento, escludendo l’ampiezza dell’incisivo inferiore mancante, e gli incisivi centrali superiori erano in crossbite (Fig. 2). Secondo l’analisi cefalometrica, vi era una relazione dell’arcata di II Classe e un’altezza facciale verticale normale. Il paziente era in buona salute e la sua anamnesi medica non mostrava alcuna controindicazione alla terapia ortodontica (Fig. 3).
embedImagecenter("Imagecenter_2_1192",1192,"small");
Obiettivi del trattamento
Gli obiettivi del trattamento includevano la correzione dell’affollamento mascellare e mandibolare, il miglioramento delle relazioni dentoalveolare e maxillomandibolare, il miglioramento dell’estetica facciale e l’ottenimento di un’occlusione stabile e di un sorriso migliore.
Alternative di trattamento
Al paziente sono state suggerite tre opzioni di trattamento. La prima alternativa prevedeva l’ortodonzia labiale mediante bracket in metallo o trasparenti. La seconda opzione prevedeva l’ortodonzia linguale, in quanto l’esigenza estetica del paziente era molto elevata e gli allineatori trasparenti non sarebbero stati in grado di ottenere i risultati necessari.
Entrambe le opzioni 1 e 2 erano di tipo non estrattivo. La terza opzione era quella di estrarre tutti i quattro primi premolari, ma questo avrebbe influenzato negativamente il profilo facciale. Dopo una dettagliata discussione con il paziente, abbiamo optato per l’opzione 2, senza alcuna estrazione e con un dispositivo linguale.
Procedura di trattamento
Il trattamento è iniziato con applicazioni linguali fisse CAD/CAM personalizzate, pre-regolate (slot da 0,5588 mm) posizionate su entrambe le arcate mediante tecnica adesiva indiretta. Il livellamento, l’allineamento e l’espansione dell’arcata sono stati ottenuti mediante arco personalizzato, super-elastico, attivato dal calore (14, 16, 16 x 22 e 18 x 25). Il dettaglio e la finitura sono stati eseguiti con arco in acciaio 16 x 22 e Beta III Titanium Archwire 18,2 x 18,2. Il tempo totale del trattamento attivo era di 17 mesi.
La compliance del paziente era buona. Per la ritenzione, sono stati forniti ritentori fissi mascellari e mandibolari, nonché un ritentore Essix notturno.
Risultati del trattamento
Le fotografie extraorali post-trattamento mostravano un miglioramento generale del profilo facciale. Le fotografie intraorali post-trattamento mostravano un allineamento dentale soddisfacente, una relazione canina di I Classe e molare di III Classe e overbite e overjet normali. Inoltre, gli incisivi superiori e inferiori avevano un normale angolo inter-incisale grazie alla riduzione interprossimale nell’arcata superiore. Nella Figura 4, si può vedere quanto era preciso il modello rispetto al risultato finale del trattamento per entrambe le arcate. Alla fine del trattamento, era stata ottenuta un’occlusione morfologica e funzionale normale, con guida anteriore nelle escursioni laterale e protrusiva. Su entrambi i lati sono state ottenute relazioni canine di I Classe. La buona relazione interdentale ha assicurato anche un profilo facciale ben bilanciato con competenza labiale.
Discussione
Gli obiettivi del trattamento sono stati raggiunti con un protocollo di trattamento non estrattivo mediante un sistema linguale CAD/CAM. Ovviamente, i risultati riflettono gli effetti non solo della proclinazione dei denti anteriori mandibolari, ma anche la risoluzione dell’affollamento in entrambe le arcate e la precisione del modello nel riflettere il risultato finale (Figg. 5a-g). Dovevamo ancora eseguire la riduzione interprossimale nell’arcata superiore per ottenere un normale overbite e overjet, con i canini in relazione di I Classse. Un’altra opzione di trattamento sarebbe stata quella di estrarre i primi premolari mascellari e mandibolari. Però, questa non era un’alternativa di trattamento favorevole a causa del suo effetto negativo sul profilo facciale.
L’esecuzione di un trattamento ortodontico linguale per ciascun paziente nello studio ortodontico medio ora è una realtà. I risultati del trattamento sono di livello elevato e tutti i nostri pazienti possono trarre vantaggio da un’applicazione invisibile. I problemi del passato, come il disagio, l’alterazione fonetica, l’imprecisione della finitura e la particolare anatomia dentale ora possono essere risolti in questo modo.5 L’estrazione degli incisivi mandibolari costituisce un’alternativa terapeutica per il trattamento di alcune anomalie. Non è un approccio standard al trattamento simmetrico della maggior parte delle malocclusioni, ma gli aiuti terapeutici devono essere modificati in alcune situazioni cliniche in base alle necessità dei singoli pazienti, anche quando questo significa che l’occlusione finale ottenuta non è ideale. L’estrazione deliberata di un incisivo mandibolare in alcuni casi permette all’ortodontista di migliorare l’occlusione e l’estetica dentale con un trattamento ortodontico minimale. In tutti i casi, però, è necessario un modello diagnostico per predeterminare con precisione le possibilità occlusali.6
Conclusioni
La chiave del successo dell’ortodonzia linguale in termini di soddisfazione professionale e del paziente è la pratica e l’addestramento. Il sistema Incognito può essere usato per tutti i tipi di malocclusione con la stessa precisione dei bracket labiali.
La possibilità dell’estrazione dell’incisivo dovrebbe essere una parte della gamma di tecniche di trattamento di ciascun clinico. Se pianificata con attenzione ed eseguita correttamente, l’estrazione dell’incisivo può essere un modo efficace per soddisfare alcuni obiettivi particolari del trattamento.
L'articolo è stato pubblicato sul numero 1 di CAD/CAM Italy 2014.
I pazienti ortodontici adulti richiedono con insistenza opzioni di trattamento estetiche che abbiano il minor impatto possibile sul loro lavoro e la loro ...
Gli allineatori trasparenti non sono sempre un’alternativa adeguata agli apparecchi ortodontici convenzionali1-4. Sebbene sia teoricamente possibile ...
La corretta gestione dei tessuti duri e molli per raggiungere l’estetica ideale.
La molteplicità e la sofisticatezza nell’ambito degli elementi protesici in implantologia permettono al professionista di fare la scelta ...
La molteplicità e la sofisticatezza nell’ambito degli elementi protesici in implantologia permettono al professionista di fare la scelta ...
La molteplicità e la sofisticatezza nell’ambito degli elementi protesici in implantologia permettono al professionista di fare la scelta ...
Il trattamento delle seconde classi in età adolescenziale è un’eventualità tra le più frequenti nella clinica ortodontica. La terapia della ...
Il laser Erbium:YAG (o Er:YAG) ha un mezzo attivo di granato-ittrioalluminio drogato con ioni erbio ed emette un raggio laser di lunghezza d’onda di ...
I dilemmi che accompagnano gli impianti post-estrattivi immediati spesso implicano la decisione se sarebbe meglio mantenere o meno con chirurgie o manovre ...
La pratica clinica odontoiatrica si avvale quotidianamente di branche che contemplano nel proprio risultato non solo la funzione, ma anche, e a pieno ...
Live webinar
mer. 15 aprile 2026
20:00 (CET) Rome
Live webinar
gio. 16 aprile 2026
2:00 (CET) Rome
Linda Hecker MS, BSDH, RDH
Live webinar
gio. 16 aprile 2026
18:00 (CET) Rome
Dr. Pär-Olov Östman, Dr. Robert Gottlander DDS
Live webinar
ven. 17 aprile 2026
18:00 (CET) Rome
Live webinar
ven. 17 aprile 2026
19:00 (CET) Rome
Dr. Stuart Yeaton BDentSc, MOrth
Live webinar
lun. 20 aprile 2026
19:00 (CET) Rome
Dr. Alberto Monje DDS, MS, PhD
Live webinar
mer. 22 aprile 2026
17:00 (CET) Rome
MDT Andreas Chatzimpatzakis
To post a reply please login or register