UBIGEL INPERIO è un’innovativa soluzione non invasiva per il trattamento della parodontite, basata sull’azione sinergica di due gel contenenti ingredienti biologici essenziali. La sua formula unica contribuisce a ridurre l’infiammazione, proteggere i tessuti e favorirne la rigenerazione.
I principali componenti attivi includono: acido ialuronico, con proprietà antinfiammatorie e rigenerative; alginato di sodio, che assicura un’efficace adesione alla mucosa; cloruro di calcio, con funzione fissativa; spermidina, molecola naturale fondamentale per la salute cellulare, che riduce l’infiammazione e stimola la rigenerazione tissutale; alcol, con azione antibatterica.
La spermidina è presente naturalmente nei tessuti parodontali, ma i suoi livelli possono ridursi in caso di infiammazione. Ripristinarne la concentrazione fisiologica, soprattutto in combinazione con l’acido ialuronico, favorisce la salute del tessuto connettivo, dell’osso e della mucosa orale. Una volta inserito nella tasca parodontale, UBIGEL INPERIO forma un “cemento morbido” che agisce con quattro meccanismi principali: stimolazione dei fibroblasti, promuovendo la produzione di nuove proteine e la rigenerazione cellulare; azione occlusiva, che impedisce l’accumulo di residui alimentari e la proliferazione batterica; azione abrasiva, utile a rimuovere il biofilm batterico; effetto mucoadesivo, che sigilla la zona trattata e contrasta la diffusione dei batteri. Il prodotto crea uno strato protettivo che ripristina l’equilibrio fisiologico della mucosa e accelera la guarigione.
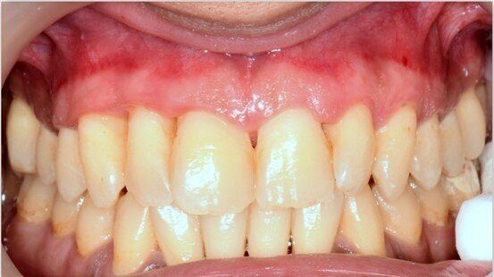
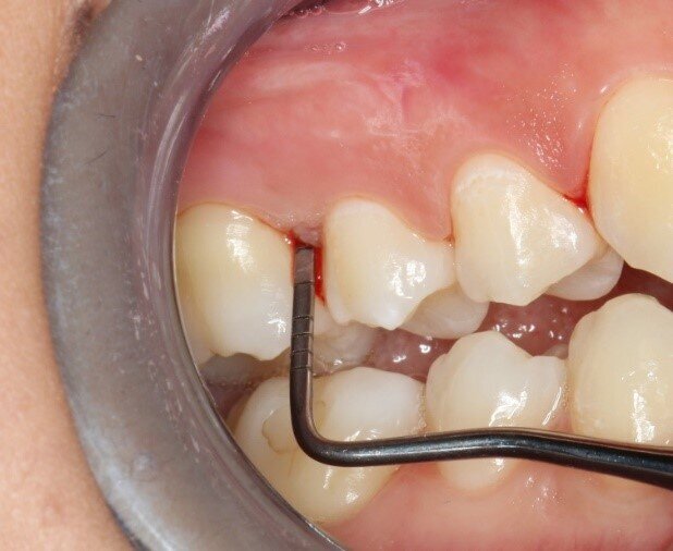
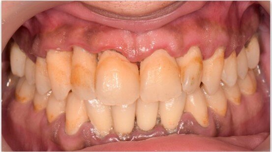
A una settimana dall’applicazione, i pazienti riferiscono una riduzione significativa di sanguinamento e sensibilità gengivale, con risultati superiori rispetto alla sola pulizia professionale. Nei casi di gengivite e tasche parodontali fino a 3 mm, UBIGEL INPERIO ha dimostrato di favorire una parziale o completa regressione dell’infiammazione, contribuendo al ripristino dell’attacco epiteliale e all’eliminazione del sanguinamento grazie alla sua azione antibatterica mirata. Nella Figura 1 è mostrata la situazione iniziale del paziente prima del trattamento.Dopo una settimana dall’applicazione di Ubigel Inperio (Fig. 2), si osservano i primi miglioramenti clinici. Il sondaggio pre-trattamento, effettuato sette giorni dopo l’igiene professionale, evidenziava una profondità di 3 mm con presenza di sanguinamento gengivale (Fig. 3). A distanza di 21 giorni dal trattamento, il sondaggio mostra una profondità della tasca inferiore a 2 mm e l’assenza di sanguinamento, segno di un netto miglioramento dello stato gengivale (Fig. 4).
Ubigel Inperio è un dispositivo medico innovativo di classe IIA, sviluppato per il trattamento della parodontite, e arricchisce la linea di prodotti Pierrel dedicata all’anestesia dentale.
Visita lo stand Pierrel Vieni a scoprire UBIGEL Inperio dal vivo: potrai testarne la consistenza innovativa, metterti alla prova con il nostro quiz sulla parodontite e ricevere un gadget esclusivo firmato Ubigel. Ti aspettiamo.
Pierrel sarà presente a Expodental Meeting:
Padiglione A1
Corsia 3
Stand 117
Tag:
Ubigel Inperio è un gel adesivo rigenerante, a utilizzo professionale in ambito odontoiatrico, indicato come coadiuvante nel trattamento di gengivite e/o ...
L’evoluzione nelle conoscenze sul microbiota e sulle problematiche orali ha cambiato radicalmente i piani di trattamento nelle varie tipologie di ...
Il dott. Gregorio Tortora condivide la sua esperienza clinica nella gestione delle patologie parodontali, soffermandosi in particolare sulle recessioni ...
La digitalizzazione ha rivoluzionato il quotidiano di tutti noi. I campi del sapere, del fare, dell’apprendere e, ovviamente, del curare sono stati – ...
La SIdCO torna a Napoli dopo 14 anni per il suo storico X Congresso Nazionale. Venti lunghi anni sono passati dalla sua fondazione e oggi la Società ...
HALLE (SAALE) / LEIPZIG, Germania: un nuovo approccio al trattamento della parodontite potrebbe rendere obsoleto l’uso di antibiotici, poiché prende di ...
La strumentazione parodontale non chirurgica è necessaria come trattamento iniziale, e come terapia di mantenimento, di qualsiasi patologia ...
HOUSTON, USA: Secondo uno studio del 2022, la parodontite si verifica a un tasso significativamente più alto tra gli ispanici (64%) e i neri non ispanici ...
Il Presidente dell'Associazione Italiana Odontoiatri, Pierluigi Delogu, scrive alla redazione di Striscia la Notizia, esprimendo, a nome di tutta ...
Sono un’igienista dentale e lavoro nell’ambito della prevenzione orale fin dagli anni ‘80. Mi occupo anche di formazione e organizzo corsi rivolti ai ...
Dr. Bruce McFarlane Certified Specialist in Orthodontics Fellow: Royal College of Dentists of Canada Diplomate: American Board of Orthodontics
Live webinar
mer. 15 aprile 2026
20:00 (CET) Rome
Live webinar
gio. 16 aprile 2026
2:00 (CET) Rome
Linda Hecker MS, BSDH, RDH
Live webinar
gio. 16 aprile 2026
18:00 (CET) Rome
Dr. Pär-Olov Östman, Dr. Robert Gottlander DDS
Live webinar
ven. 17 aprile 2026
18:00 (CET) Rome
Live webinar
ven. 17 aprile 2026
19:00 (CET) Rome
Dr. Stuart Yeaton BDentSc, MOrth
Live webinar
lun. 20 aprile 2026
19:00 (CET) Rome
Dr. Alberto Monje DDS, MS, PhD
To post a reply please login or register