Esiste una riabilitazione che ripristinando i parametri anatomici e morfologici non risulti esteticamente gradevole ed integrata? La risposta ovviamente è no! Oggi si parla troppo spesso di estetica intesa come parametro di successo enfatizzando molto il concetto, e non di una riabilitazione che tenga conto dei parametri anatomici andati perduti, dimenticando spesso morfologia e funzione appropriate al singolo caso. Il seguente case report, mostra come gli autori abbiano pianificato, gestito e finalizzato un caso di riabilitazione protesica mediante faccette e intarsi in ceramica, seguendo un criterio basato esclusivamente sulla valutazione dei parametri anatomici degli elementi dentali interessati e dei rapporti degli stessi con i tessuti molli. Particolare attenzione è stata dedicata all’incremento non chirurgico dei tessuti perimetrali indotto dal ripristino dei volumi orizzontali dento-gengivali nel gruppo frontale.
Introduzione
L’alterazione delle forme dei denti, siano esse di tipo congenito e/o acquisito portano inevitabilmente a condizioni di inestetismo. Spesso si tende a enfatizzare troppo l’estetica, dimenticando che l’anatomia corretta è dettata da regole precise, da rapporti, proporzioni e simmetrie che, se vengono rispettate portano inevitabilmente a un aspetto esteticamente gradevole. Vediamo nel mondo odontoiatrico moderno molte riabilitazione dei settori anteriori mirate al cambiamento di colori e forma dei denti che non sempre rientrano in un contesto dento-facciale corretto, tutto questo sotto il grande ombrello dell’estetica dentale. Risulta difficile pensare di poter allungare o allargare a piacere le forme e le dimensioni dentali senza uscire dai parametri dento-labiali-facciali anatomici corretti. Non è difficile infatti vedere riabilitazioni dei gruppi frontali eseguite con elementi sovradimensionati con forzature delle lunghezze e dei colori tali da apparire innaturali. Secondo noi solo seguendo le regole che l’analisi estetica ci ha insegnato negli anni, si possono reintegrare le strutture dentali perse e raggiungere in modo automatico e predicibile i rapporti e le forme che determinano un sorriso anatomicamente ed esteticamente piacevole e integrato.
Materiali e metodi
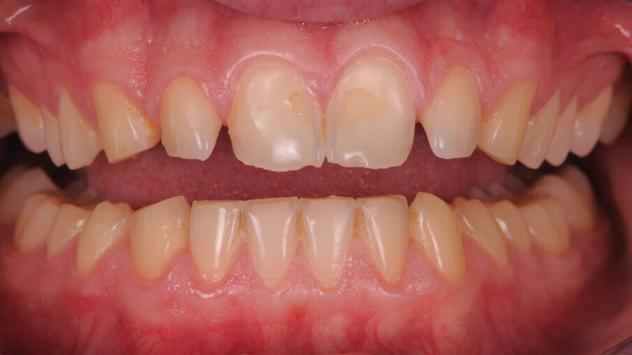
Paziente maschio di anni 26, si presenta alla prima visita con una esplicita richiesta di miglioramento estetico, in quanto non soddisfatto dei suoi denti e di conseguenza del suo sorriso. All’anamnesi riferisce di sorridere poco e con difficoltà, limitando la sua socialità1. Risulta fondamentale in questi casi la fase del colloquio iniziale, per far emergere gli aspetti che il paziente ritiene sgradevoli e cosa invece lo farebbe sentire a suo agio. Si utilizza la fase iconografica dimostrativa con fotografie eseguite su casi simili già finalizzati per mostrare al paziente le fasi cliniche e le possibili soluzioni alle sue richieste. Bisognerà dedicare molto tempo ad ascoltare il paziente, i suoi dubbi e le sue esigenze, capendo da subito le sue aspettative prima di impostare il piano di trattamento. L’esame clinico intraorale, mostra un’arcata superiore con microdonzia a carico degli incisivi laterali 12 e 22, con diastemi e volume ridotto degli elementi canini in proporzione alla dimensione ossea strutturale. Il termine microdonzia2 è spesso abusato, poiché non vi sono dei parametri che la letteratura indica per definire tale situazione, spesso gli elementi microdontici lo sono in rapporto agli altri elementi dentali come in questo caso. Gli elementi 11 e 21, originariamente normo formati, presentano irregolari abrasioni della superficie vestibolare probabilmente causate da tecniche di spazzolamento incongrue che hanno esposto delle isole di dentina vestibolare3 (Figg. 1-3).
Alterazioni dell’anatomia inoltre si evidenziano anche a livello dei margini incisali dove sono evidenti delle micro fratture a carico dello smalto, originate da un probabile sovraccarico occlusale. Andando alla ricerca di una possibile causa di questo tipo di alterazione morfologica, un’attenta analisi dei gruppi posteriori evidenzia anche qui una situazione inusuale, cioè un’evidente riduzione dello smalto della porzione occlusale degli elementi diatorici specificamente dei premolari e dei primi molari, con conseguente alterazione dell’anatomia, mentre un normale sviluppo e una normale conformazione occlusale degli ultimi molari 37 e 47. Completando la visita e concludendo l’analisi con il V sestante si nota una inevitabile abrasione a carico dello smalto degli incisivi inferiori con usura dei canini soprattutto sul lato destro dove il canino in posizione 43 risulta riportare un’abrasione molto importante a differenza del 33 che appare normo conformato (Fig. 4). Emerge quindi che la situazione intra orale mostra alcuni elementi con alterazioni congenite come gli incisivi laterali e altri elementi con alterazioni acquisite di natura erosiva-abrasiva. In entrambi i casi il percorso da seguire è quello di, studiare le forme dentali residue per “reintegrarle” basandosi sugli elementi integri, utilizzati come guida per una riabilitazione “anatomicamente” guidata.
Trattamento
In questa tipologia di casi ad alta valenza estetica è d’obbligo eseguire delle impronte oppure delle scansioni intraorali e scattare fotografie dettagliate che possano aiutare il clinico a impostare il corretto piano di cura che tenga conto dei principi dell’analisi facciale4:
- linee di riferimento orizzontali: bipupillare e commisura labiale;
- linee di riferimento verticale: linea mediana e simmetria;
- proporzioni facciali dei tre terzi viso.
L’analisi dento labiale statica e dinamica e l’analisi fonetica sono state eseguite in una fase non operativa osservando i movimenti delle labbra durante una conversazione spontanea5, per questo motivo è determinante impostare da subito un rapporto cordiale e di fiducia con il paziente (Fig. 5). Queste analisi aiutano nella comunicazione attiva con il laboratorio odontotecnico6 che su queste indicazioni deve realizzare una ceratura diagnostica che interessi sia il gruppo frontale superiore che i gruppi diatorici inferiori (Figg. 6-7b). Sulla base della ceratura si preparano delle mascherine per stampare un mock up diagnostico7, 8, fondamentale per rivalutare intraoralmente tutti i parametri precedentemente analizzati tra cui i più rilevanti sono9:
- dimensione verticale;
- forma, dimensione, inclinazioni e proporzioni degli elementi dentali;
- margini incisali, aree di contatto ed embrasure;
- altezza delle parabole gengivali e posizionamento degli zenith del gruppo frontale.
Durante la stesura del piano di trattamento, si è esclusa la possibilità di eseguire un trattamento ortodontico, poiché il paziente mostrava un’esplicita assenza di compliance e inoltre non si sarebbe risolto in modo soddisfacente il lieve gummy smile10 che il paziente presentava.
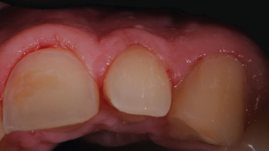
Dopo aver stampato il mock up diagnostico e averlo fotografato e analizzato con il paziente, si è deciso di procedere con un test drive8 stampato con “spot technique” sulla base del medesima ceratura che è stata “testata” dal paziente per circa due mesi. Particolare attenzione è stata dedicata a questa fase, poiché la ceratura era stata progettata per realizzare dei “sovracontorni cer vicali controllati” (Fig. 8). L’analisi intraorale infatti ha mostrato che a carico degli elementi del gruppo frontale superiore la diminuzione dei tessuti dentali nelle zone cervicali (causati da microdonzia e da abrasione erosione) avevano comportato conseguentemente una perdita di volume orizzontale dei tessuti gengivali marginali, poiché i tessuti non erano più sostenuti dalla componente angolare della CEJ11. La realizzazione di una ceratura che tenga conto di questa situazione clinica è di fondamentale importanza per far sì che nella fase di stampaggio intraorale la resina possa sostenere nella zona cervicale il coagulo indotto dai passaggi di rifinitura e lucidatura, per indurre una crescita orizzontale dei tessuti gengivali e così da modificare il biotipo gengivale fin dalle prime fasi protesiche. Un maggiore spessore tissutale aiuta nelle fasi di impronta e garantisce stabilità a medio e lungo termine della riabilitazione protesica definitiva. A circa due mesi dal test drive si è proceduto con le preparazioni delle superfici vestibolari facendo particolare attenzione al concetto del minimal prep12 (Fig. 9).
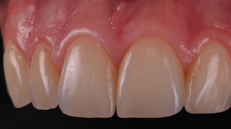
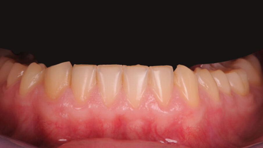
I gruppi posteriori inferiori sono stati finalizzati mantenendo la medesima dimensione verticale del mock up posteriore e quindi compensando il minus occlusale rispetto agli elementi 37 e 47 che come si era analizzato in precedenza erano morfologicamente e occlusalmente corretti (elementi dentali guida). Gli elementi 34-36 e 44-46 sono stati preparati per ricevere degli overlay in disilicato di litio. Si è optato per sei faccette in ceramica feldspatiche per il gruppo 13-23. Particolare attenzione e stata data alla scelta del colore inteso come croma e come valore per ottenere un effetto di “dente naturale”. La ceramica feldspatica infatti permette una lavorazione molto raffinata e curata nei minimi dettagli: le masse utilizzate vengono gestite e dosate con precisione ottenendo un effetto di transfluenza e profondità del colore. Quando si parla di faccette si tratta quindi una fascia molto delicata (in tutti i sensi) dell’Odontoiatria estetica, una combinazione di capacità clinico/tecniche per ottenere il miglior risultato possibile in pochi decimi di millimetro, ma oggi l’evoluzione dei materiali odontoiatrici e odontotecnici hanno ampliato il campo di applicazione, che ci consentono di ottenere risultati notevolmente biomimetici anche con trattamenti più conservativi da parte del clinico. Tendenzialmente le faccette sono indicate per casi dove le circostanze e le richieste sono altamente estetiche, pertanto ci permettono di modificare il colore, la forma e la dimensione, come nel caso clinico poco invasivo in questione. Tuttavia sfruttando al meglio gli spazi molto contenuti a disposizione del tecnico e i ragionati insieme in un lavoro d’equipe attraverso uno studio del caso con la ceratura diagnostica, che opportunamente provata in bocca attraverso l’utilizzo della mascherina siliconica, consente al clinico e soprattutto al paziente di verificare il design scelto per lui. Procedendo verso il lavoro definitivo, si sceglie la ceramica feldspatica per la sua efficacia biomeccanica e biomimetica. Dopo aver fabbricato il modello alveolare, queste faccette sono state cotte su monconi refrattari con i programmi di cottura dedicati, stratificando le masse indirizzate, tenendo presente il croma del substrato dentale naturale che contribuisce a determinare il colore finale. In uno spazio così contenuto, la differenza la fanno la selezione attenta del quantitativo di un effetto più o meno traslucente e la rifinitura della superficie curando al meglio le forme, i contorni e la tessitura superficiale con la delicatezza che una ricostruzione così sottile necessita (Figg. 10, 11).
Discussione
Il nostro gruppo di lavoro ritiene che, nonostante vengano presentati e mostrati moltissimi casi di riabilitazioni mediante veeners durante congressi e corsi, le indicazioni cliniche elettive siano limitate. Questo caso secondo gli autori porta le indicazioni per evidenziare le reali situazioni cliniche che invitano a una riabilitazione completamente additiva:
- abrasioni vestibolari e incisali dei gruppi anteriori;
- deficit occlusali dei gruppi posteriori;
- minus volumetrici dentali.
Si è quindi proceduto “semplicemente” ad un “ripristino protesico” dei volumi dentali andati perduti. Estremamente interessante è anche l’analisi delle risposte tissutali dei margini gengivali specialmente degli incisivi, dove si apprezza con una “evidenza ottica” la ipertrofia positiva e controllata dei tessuti. Questo concetto mutuato dalle tecniche del sovracontorno tipico della preparazione verticale13 e non solo (tecnica della marginatura)14 dove si creano delle CEJ artificiali (in resina e poi ceramica), può essere applicata anche nel campo della restaurativa diretta e nelle fasi provvisorie utilizzando dei compositi lucidati a specchio (come è stato fatto nella pianificazione attenta dei margini del mock up utilizzato) al fine di indurre una maggiore stabilità marginale e una modifica del biotipo gengivale15, 16. È stata realizzata una pianificazione restaurativa parodontale pre-protesica occupando uno spazio libero invadendo in modo controllato (orizzontalmente) l’ampiezza biologica
Conclusione
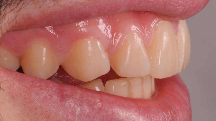
Con questo case report gli autori vogliono trasmettere la loro visione e le loro personali indicazioni cliniche, che portano alla scelta di questo tipo di riabilitazione. Tali riabilitazioni devono essere sì estetiche mimetiche, ma soprattutto devono avere come “goal” il ripristino dei volumi dentali anatomicamente corretti sia nell’aspetto vestibolare che nell’aspetto incisale e occlusale. Il tutto pianificato con un’attenta analisi intra ed extra orale, prestando sempre attenzione alle richieste ed esigenze del paziente, che deve sempre essere al centro del progetto riabilitativo. Non secondaria l’attenzione dedicata alla “componente rosa” della riabilitazione, che deve essere gestita fin dalla fase provvisoria, al fine di avere una giusta “cornice” per i nostri manufatti che, sottolineiamo, sono pertinenza delle mani sapienti dei nostri odontotecnici (Figg. 12a, 12b).
Bibliografia
- At first glance: social meanings of dental appearance: I Eli, Y Bar-Tal, I Kostovetzki. Public health Dentistry 2001 2. Oral and Maxillofacial Pathology, ed.
- Neville DW, Damm DD. Elsevier 2005 49-89.
- Abrasion: A common dental problem revisited. A. Milosevic. Prim Dent J. 2017;6(1):32-36.
- La riabilitazione estetica in protesi fissa. Vol 1. M. Fradeani. Quintessenza 2004.
- The Science and Art of Porcelain Laminate Veneers. Gürel, G. Quintessenza 2003.
- Goldstein’s Esthetics in Dentistry, Third Edition. Ronald E. Goldstein. 2018.
- Porcelain Laminate Veneers: Minimal Tooth Preparation by Design. Gürel, G. Dental Clinics of North America 2007.
- Novel Porcelain Laminate Preparation Approach Driven by a Diagnostic Mockup. P.Magne; Urs C. Belser. Journal of Esthetic and Restorative Dentistry 2004.
- L’estetica nelle protesi fisse anteriori. Chiche G., Pinault A. Resch Editrice 1995.
- Diagnosis and Treatment Approaches to a “Gummy Smile” H. Dym, R. Pierre.
- Cosmetic recontouring for achieving anterior esthetics. J.C.Pontons-Melo, G. Atzeri, F. M. Collares, R. Hirata. Int. J. Esthet. Dent. 2019;14(2):134-146.
- Magne, J. Hanna, M. Magne. The case for moderate guided prep indirect porcelain veneers in the anterior dentition. The pendulum of porcelain veneer preparations: from almost no-prep to over-prep to no-prep. The International Journal of Esthetic Dentistry Fall 2013 Vol.8.
- Biologically oriented preparation technique (BOPT): a new approach for prosthetic restoration of periodontically healthy teeth. Ignazio Loi, Antonello Di Felice. The european journal of esthetic dentistry 2013.
- Bioestetica nella riabilitazione orale. Loris Prosper. Quintessenza 2016.
- A novel approach to treat gingival recession and non-caries cervical lesion combined defects: Restoration guided creeping attachment (RGCA) technique. A case report. G. Derchi, I. Loi, U. Covani. Quintessence international Vol. 49.
- Restauri conservativi di V classe secondo i principi della tecnica BOPT: le risposte tissutali. Case report con controllo a 40 mesi. Tacchini L, Bazzoli M. Il dentista moderno 2017.
L'articolo è stato pubblicato su Cosmetic & Endo Tribune Italian Edition n. 1/23.
Tag:
Dental Tribune Italia raccoglie l’opinione del presidente dell’AIOP, Fabio Carboncini, sull’argomento.
La paziente è giunta alla mia osservazione per insoddisfazione funzionale della riabilitazione protesica esistente. Nell’anamnesi patologica ...
La paziente è giunta alla mia osservazione per insoddisfazione funzionale della riabilitazione protesica esistente. Nell’anamnesi patologica ...
Eseguita dal dott. Arturo Imbelloni e dall’Odt. Roberto Iafrate.
L’intervento inter-disciplinare combinato ortodontico-protesico può ...
Case report di un paziente diabetico.
Gli impianti osteointegrati sono a oggi diventati un predicibile e valido metodo per supportare riabilitazioni protesiche, con un elevato tasso di ...
La riabilitazione implantoprotesica in presenza di insufficiente volume osseo richiede la gestione di una condizione compromessa rispettando comunque i ...
Gli autori affrontano la tematica dell’implantologia zigomatica proponendo una metodica completamente guidata. Con l’ausilio di placche metalliche ad ...
Sempre più frequentemente le richieste dei nostri pazienti mirano ad ottenere delle riabilitazioni che soddisfino parimenti l’aspetto funzionale e quello...
Dental Tribune intervista il dott. Gian Battista Greco e il prof. Danilo Alessio Di Stefano, su un caso clinico complesso, risolto con una soluzione di ...
La paziente – 56 anni in buono stato di salute generale – si presenta con mascellare superiore completamente edentulo; riferisce che da circa due anni ...
Live webinar
mer. 22 aprile 2026
17:00 (CET) Rome
MDT Andreas Chatzimpatzakis
Live webinar
mer. 22 aprile 2026
17:00 (CET) Rome
Live webinar
mer. 22 aprile 2026
18:00 (CET) Rome
Live webinar
gio. 23 aprile 2026
17:00 (CET) Rome
Live webinar
gio. 23 aprile 2026
18:30 (CET) Rome
Live webinar
gio. 23 aprile 2026
19:00 (CET) Rome
Live webinar
gio. 30 aprile 2026
1:00 (CET) Rome
Dr. Renato Leonardo D.M.D.
To post a reply please login or register