L’osservazione clinica dei segni e dei sintomi clinici è il punto di partenza per preparare un piano terapeutico efficace e duraturo che possa assicurare la qualità delle prestazioni e uno standard di efficacia di salute dento parodontale.
La correlazione delle condizioni del cavo orale con la salute sistemica deve portare l’operatore a interfacciarsi in modalità interdisciplinare per gestire i bisogni mutevoli dell’individuo, soprattutto per i pazienti in età matura e con forti pretese di miglioramento dell’estetica orale. Nel caso dei protocolli di prevenzione è fondamentale ricevere l’esatta diagnosi delle situazioni cliniche, con un’attenta considerazione nel caso di presenza di patologie sistemiche. Il sorriso dei nostri pazienti è prova testimoniale della qualità delle nostre prestazioni, il nostro biglietto da visita.
Case report
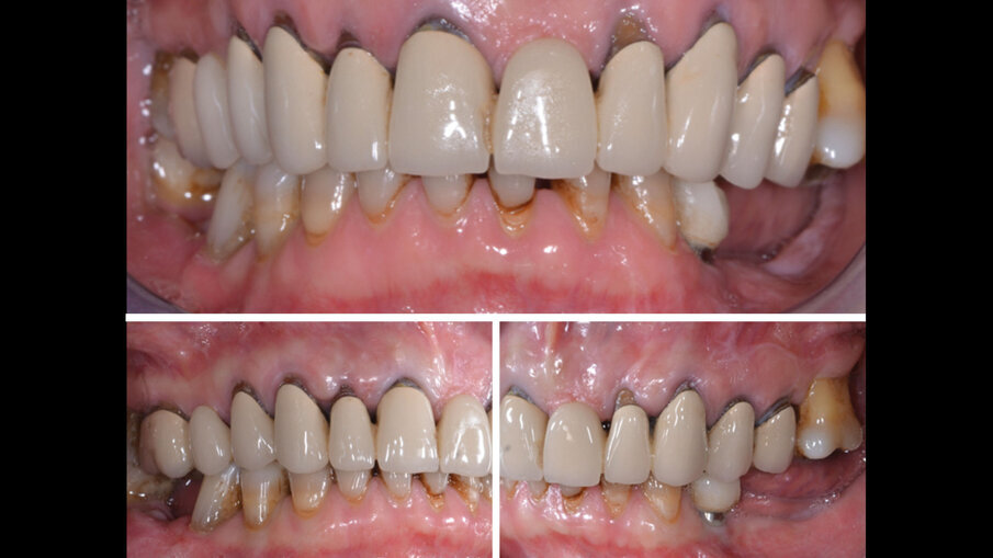
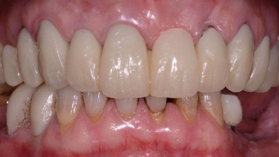
Si presenta alla nostra attenzione un paziente di 60 anni, in apparente buona salute sistemica, che ci trasferisce il desiderio di ringiovanire il suo sorriso (Fig. 1). Non affetta da patologie sistemiche pregresse o in atto, la paziente fuma più di 10 sigarette al giorno e non assume farmaci. Dopo un’attenta visita clinica, vengono prese le impronte e le registrazioni funzionali con l’arco facciale, nonché vengono scattate foto intra ed extra orali, e Opt per permettere lo studio approfondito del caso (Figg. 2, 3). Il caso viene quindi discusso insieme a tutto il team per inquadrare il miglior percorso terapeutico da proporre successivamente alla paziente in un approccio di perfetta concordance.
Nonostante che i bisogni delle persone assistite sollecitino soprattutto interventi di tipo estetici, è opportuno che i clinici facciano recepire agli stessi l’importanza di un trattamento multidisciplinare in cui vengano considerati con estrema attenzione i parametri essenziali: età, eventuali problemi dell’ATM, perdita degli elementi dentari, presenza di osso alveolare residuo, reali esigenze estetiche in considerazione all’età, fattibilità del lavoro rispetto alle aspettative del paziente, collaborazione dei pazienti all’opportuno controllo di igiene orale domiciliare e i follow-up per l’igiene orale professionale e il controllo medico.
Materiali e metodi
Alla paziente è stata proposta una riabilitazione protesica funzionale estesa ad entrambe le arcate, in quanto la perdita dei molari inferiori ha portato allo slittamento in avanti della mandibola con perdita della dimensione verticale. La paziente viene sottoposta alla seduta di terapia parodontale non chirurgica. Dopo la registrazione della condizione clinica con videocamera intra-orale si passa all’approccio motivazionale del controllo del biofilm batterico domiciliare TBM1, scegliendo in base alle preferenze del paziente e alla situazione clinica presente, spazzolino e scovolini, e per il controllo chimico del biofilm batterico è stato consigliato l’uso del collutorio all’olio di oliva ozonizzato (Ialozon blu) 2 volte al giorno.
Per la fase di deplaquing è stato monitorato il biofilm batterico presente sulla superficie orale grazie al rilevatore di placca tritonale alla eritrosina come da protocollo D-BioTECH. L’approccio innovativo del protocollo indica come essenziale l’intervenire solo nelle zone più a rischio andando a scegliere le tecnologie e gli approcci clinici più appropriati di deplaquing e debridement per la riabilitazione dei siti più a rischio di infiammazione, personalizzandoli in base alle esigenze cliniche. È stato utilizzato l’ablatore combi touch (mectron) che permette di passare dal deplaquing al debridement ottimizzando il timing dell’operatività clinica. Con l’air-polishing venivano trattati i siti con maggiore ritenzione di biofilm batterico, con polvere di glicina erogato nei siti con maggiore ritenzione di biofilm batterico e per il debridment venivano scelti gli inserti più opportuni in modo da detossificare le superfici in maniera efficace e minimamente invasiva2.
La comunicazione visiva di questo nuovo approccio clinico permette un intervento più ergonomico per l’operatore il quale può pianificare e gestire l’intervento in modo meno invasivo e più personalizzato utilizzando lo strumento o la tecnica operativa più performante in base alla ritenzione del biofilm batterico in tutte le fasi pre-in-post trattamento nella delicata fase della terapia di mantenimento.
La riabilitazione protesica inizia con la rimozione del vecchio circolare superiore e nella ripreparazione dei monconi con sostituzione delle porzioni demineralizzate, consecutiva alla ribasatura e rifinitura dei provvisori pre limatura (Fig. 4).Per risolvere il problema estetico di mancanza di gengiva aderente attorno all’elemento 22, effettuiamo un lembo bilaminare con innesto di tessuto connettivo. Utilizzando per lo scollamento a tutto spessore nella parte centrale della recessione un inserto piezo surgery mectron apposito, solleviamo delicatamente il nostro lembo e continuiamo lo scollamento a mezzo spessore intorno al letto di innesto con bisturi (Fig. 5). Successivamente posizioniamo l’innesto di connettivo prelevato dal palato, privato della porzione epiteliale, e suturiamo con punti di sutura staccati in 7.0 sul letto ricevente (Fig. 6).
Fig. 4 - Primo provvisorio superiore.
Fig. 5 - Lembo e scollamento con inserto piezo.
Fig. 6 - Innesto e sutura del lembo.
Sulle suture viene applicato l’olio di oliva evo ozonizzato attivato Perioral 3 (Gemavip), che unisce l’efficacia terapeutica dell’olio di oliva alle molecole attive dell’ozono. Grazie a questo processo il prodotto vanta proprietà batteriche, fungicide e antinfiammatorie che svolgono un’azione mirata sulla riparazione epiteliale. Il cetylpyridinium svolge un’azione antisettica e battericida, la clorfenesina è un antimicotico e un miorilassante. Il collagene a basso peso molecolare è facilmente assorbibile e lavora per la rigenerazione cellulare. L’acido ialuronico a basso e alto peso molecolare coadiuva la rigenerazione cellulare. Viene dato alla paziente un bite anteriore di svincolo per riposizionare la mandibola e dopo una settimana viene registrata la posizione delle arcate. Vengono posizionati i nuovi provvisori con le nuove registrazioni occlusali. Nel frattempo vengono inseriti 4 impianti in zona 35, 36, 46 (post estrattivo a carico ritardato con rigenerazione guidata GBR) e in zona 26 a carico ritardato, mentre era già presente un impianto in zona 34 che presentava un minus cervicale con estetica carente (Fig. 7).
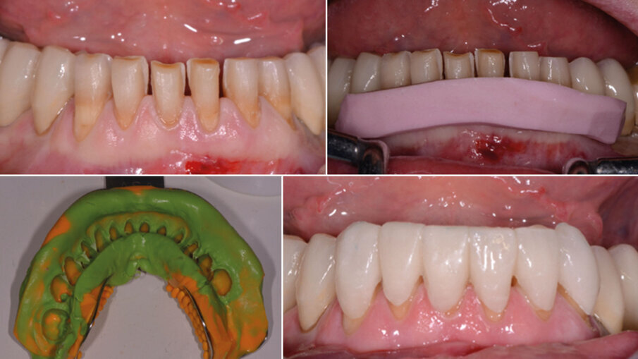
A 3 mesi dal precedente intervento implantare, vengono eseguiti lembi di seconda fase con viti di guarigione in peek, stando attenti a incidere il lembo in gengiva cheratinizzata. Vengono prese le impronte definitive in silicone sui monconi dentali e implantari dell’arcata inferiore, e le registrazioni occlusali con valli in cera e arco facciale a valori medi. La paziente ritorna in studio per le consuete prove di passivazione della struttura ed estetica, con consegna delle corone definitive in zirconia stratificata dell’arcata inferiore. Si passa così, avendo stabilizzato l’occlusione e rialzato il morso, alla fase di preparazione delle faccette. Viene stampato un mock-up per previsualizzare l’effetto finale delle faccette inferiori da 33 a 43.
Il mock-up è il passaggio da effettuare per superare completamente la più grande paura della persona che si rivolge a cure odontoiatriche estetiche: quella di non piacersi. Questa persona è sicuramente in un’onda emozionale particolare. Dopo aver fatto visionare al paziente il mock-up emozionale si preparano gli elementi per sottrazione, per risparmiare la maggior parte di tessuto sano ed ottenere uno spazio necessario al tecnico per la realizzazione dei manufatti. Vengono prese nello stesso appuntamento le impronte definitive in silicone e stampato con la tecnica del mock-up un provvisorio estetico in resina composita duale (Fig. 8). A distanza di 2 settimane vengono consegnate le faccette in disilicato di litio sotto diga con tecnica adesiva. Essendo passati 6 mesi dall’innesto in zona 22, si passa così alla ripreparazione dei monconi dell’arcata dentaria superiore e all’inserimento dei provvisori (Fig. 9).
Fig. 7 - Inserimento impianti e radiografie di controllo.
Fig. 8 - Preparazione delle faccette con dima di controllo e provvisorio.
Fig. 9 - Preparazione dei monconi superiori, impronte e arco facciale.
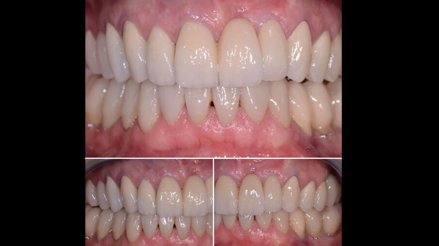
Prese le impronte definitive si passa alla prova struttura e biscotto. Successivamente alla consegna dei manufatti protesici in zirconia stratificata (Fig. 10). La paziente è stata inserita in un sistema di recall periodici gestiti dal gestionale Alfa docks che permette di interagire ergonomicamente tra gli operatori e le esigenze temporali della paziente. La gestione interdisciplinare tra gli operatori e la paziente attiva con le terapie di igiene domiciliare e i follow-up per la terapia di mantenimento hanno permesso la durata del risultato ottenuto in questi primi 5 anni (Fig. 11). L’ausilio dell’ozonoterapia domiciliare con olio di oliva ozonizzato, ha permesso il controllo del biofilm batterico mantenendo la luminosità del sorriso. La paziente è soddisfatta di aver migliorato l’estetica del suo sorriso, importante per la sua vita di relazione.
Nota editoriale:
Bibliografia
- Nardi et all. Tailored Brushing Method (TBM): An Innovative Simple Protocol to Improve the oral care.
- Roberta Grassi et all. The Dental-BIOfilm Detection TECHnique – D-BioTECH: A Proof of Concept of a Patient-Based Oral Hygiene.
L’articolo è stato pubblicato su implants international magazine of oral implantology, Italian edition n. 2/23.
Tag:
Il Centro Corsi ProEd di Torino ospiterà anche nel 2015 il consolidato percorso formativo teorico-pratico “La terapia parodontale: Chirurgia ...
La paziente è giunta alla mia osservazione per insoddisfazione funzionale della riabilitazione protesica esistente. Nell’anamnesi patologica ...
La paziente è giunta alla mia osservazione per insoddisfazione funzionale della riabilitazione protesica esistente. Nell’anamnesi patologica ...
Introduzione
Ogniqualvolta dobbiamo affrontare un caso clinico le nostre scelte procedurali devono sempre basarsi su un’attenta diagnosi. Il termine ...
Sempre più frequentemente le richieste dei nostri pazienti mirano ad ottenere delle riabilitazioni che soddisfino parimenti l’aspetto funzionale e quello...
La paziente S.M. di anni 42, si presenta alla nostra osservazione per migliorare l’estetica del settore frontale (Fig. 1). All’esame obiettivo si ...
L’estetica riveste sempre più una connotazione di armonia ed equilibrio globale, certamente definiti da canoni condivisi e storicamente evolutisi, ma ...
Dental Tribune Italia raccoglie l’opinione del presidente dell’AIOP, Fabio Carboncini, sull’argomento.
Una crescente attenzione sugli studi condotti sugli effetti della terapia funzionale, soprattutto per quanto riguarda la loro efficacia ed efficienza in ...
La malattia parodontale è una patologia cronica che colpisce i tessuti di supporto dei denti ed è caratterizzata da infiammazione, sanguinamento gengivale...
Dr. Bruce McFarlane Certified Specialist in Orthodontics Fellow: Royal College of Dentists of Canada Diplomate: American Board of Orthodontics
Live webinar
mer. 15 aprile 2026
20:00 (CET) Rome
Live webinar
gio. 16 aprile 2026
2:00 (CET) Rome
Linda Hecker MS, BSDH, RDH
Live webinar
gio. 16 aprile 2026
18:00 (CET) Rome
Dr. Pär-Olov Östman, Dr. Robert Gottlander DDS
Live webinar
ven. 17 aprile 2026
18:00 (CET) Rome
Live webinar
ven. 17 aprile 2026
19:00 (CET) Rome
Dr. Stuart Yeaton BDentSc, MOrth
Live webinar
lun. 20 aprile 2026
19:00 (CET) Rome
Dr. Alberto Monje DDS, MS, PhD
To post a reply please login or register