Gli impianti osteointegrati sono a oggi diventati un predicibile e valido metodo per supportare riabilitazioni protesiche, con un elevato tasso di sopravvivenza a lungo termine1-6. Una sempre maggiore attenzione è stata rivolta non solo al tessuto osseo, ma anche ai tessuti molli perimplantari e all’estetica7.
Quest’ultima è condizionata da diversi fattori, come la posizione tridimensionale dell’impianto, la qualità e la quantità dei tessuti duri e molli attorno alla fixture, così come il design del profilo di emergenza protesico8-10. La qualità dei tessuti duri e molli perimplantari deve essere mantenuta nel tempo e protetta da potenziali fattori di rischio, tra i quali il micro-gap all’interfaccia fixture-abutment. Questo gap può essere evitato con l’utilizzo di impianti mono-componente che presentano alcuni vantaggi, come la riduzione degli step chirurgici e protesici. Nonostante l’ampia letteratura sugli impianti mono componente11, sono ancora scarsi i dati relativi a riabilitazioni di intere arcate in chirurgia guidata, come il caso clinico presentato in questo articolo. Questo case report mira a valutare clinicamente e radiograficamente i tessuti peri-implantari dopo 4 anni dal carico protesico definitivo.
Materiali e metodi
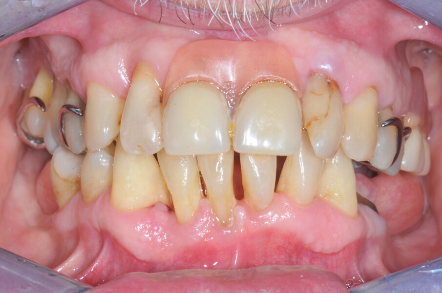
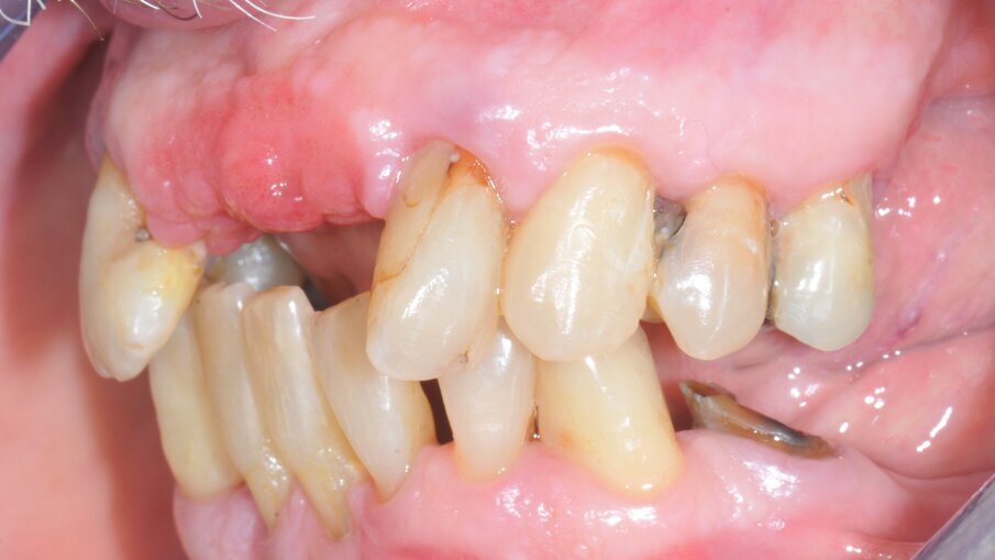
Il paziente si è presentato alla nostra attenzione a causa di un grave inestetismo legato a una protesi parziale rimovibile superiore incongrua. Il paziente lamentava inoltre mobilità dentale generalizzata e sanguinamento gengivale. In anamnesi non sono state segnalate controindicazioni a interventi chirurgici, mentre l’analisi clinica e radiologica ha evidenziato una dentatura terminale caratterizzata da parodontite severa e cronica, perdita ossea orizzontale, otturazioni incongrue ed elementi dentari malposizionati (Figg. 1a, 1b). La volontà del paziente era realizzare una riabilitazione fissa superiore possibilmente senza interventi di rigenerazione ossea a causa dell’incremento in termini di costi economici, biologici, e di tempo. Il piano di trattamento proposto prevedeva una riabilitazione protesica fissa avvitata su 4 impianti mono-componente a carico immediato post-estrattiva, con un approccio chirurgico flapless e una progettazione interamente digitale.
In prima fase, sono state scansionate entrambe le arcate, così da ottenere una registrazione occlusale e una dimensione verticale. Sono state scattate fotografie intra- ed extra-orali con precisi parametri, per visualizzare tutti i dati raccolti in un software di digital smile design. I file STL sono stati poi sovrapposti ai file DICOM della TC Cone Beam con un software dedicato. Tramite un software di chirurgia guidata è stata poi stabilita la posizione dei 4 impianti post-estrattivi, da posizionare con l’ausilio di due dime chirurgiche differenti (Fig. 2). La prima dima ad appoggio dentale è stata prodotta al fine di creare le sedi per l’alloggiamento dei pin di posizione. La seconda dima fissata con pin nella posizione precedentemente determinata, presenta le cannule per la preparazione del sito e l’inserimento implantare (Figg. 3a, 3b). Sulla base della stessa ceratura è stata poi prodotta una protesi totale fissa provvisoria in PMMA rinforzata con una struttura in titanio, su cui è stata riprodotta la dimensione verticale originaria del paziente.
Fig. 1a_Situazione clinica iniziale.
Fig. 1b_Situazione clinica iniziale.
Fig. 2_Progetto digitale per il posizionamento di 4 impianti mono componente post estrattivi: si evidenzia la pianificazione protesicamente guidata grazie ad una ceratura virtuale.
Fig. 3a_Dima chirurgica ad appoggio dentale e mucoso per il posizionamento dei pin di posizione.
Fig. 3b_Dima chirurgica per l’inserimento degli impianti.
Dopo l’estrazione degli elementi residui, sono quindi stati inseriti i 4 impianti mono-componente con MUA integrato FIXO (OXY Implant Dental System, Colico, Italia) con un torque d’inserzione maggiore di 35 N/cm. Gli alveoli post-estrattivi sono stati riempiti con osso bovino deproteinizzato (Bio-oss Geislich Wholusen CH) così da ridurre il rimodellamento osseo12. La gestione dei tessuti molli è stata ottenuta mediante un innesto connettivale con tecnica bilaminare a livello dell’impianto in posizione 11. Sono stati avvitati gli abutment provvisori direttamente alla piattaforma protesica integrata per poter procedere poi a un corretto posizionamento della struttura protesica grazie a un incollaggio intraorale. La protesi è stata fissata ai monconi provvisori con una resina composita auto foto polimerizzabile (Relyx Unicem 2 3M Minnesota USA) direttamente in bocca, ottenendo così la passivazione della stessa (Figg. 4a, 4b).
Dopo 4 mesi, è stato necessaria una correzione estetica dei tessuti molli con un ulteriore innesto connettivale bilaminare per migliorare lo spessore dei tessuti molli in area 22 per ottenere un migliore profilo d’emergenza del restauro protesico in corrispondenza dell’area dell’incisivo laterale di sinistra. Dopo il periodo di guarigione per l’osteointegrazione, è stata acquisita una scansione intraorale delle due arcate per replicare i parametri estetici e funzionali determinati per la riabilitazione provvisoria, secondo la tecnica di digital cross-mounting, e per rilevare la posizione degli impianti, utilizzando 4 scan body. I parametri estetici e funzionali sono stati riprodotti dalla protesi provvisoria immediata.
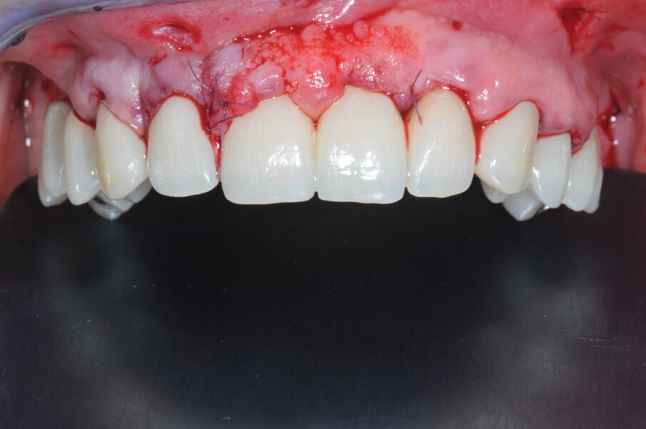
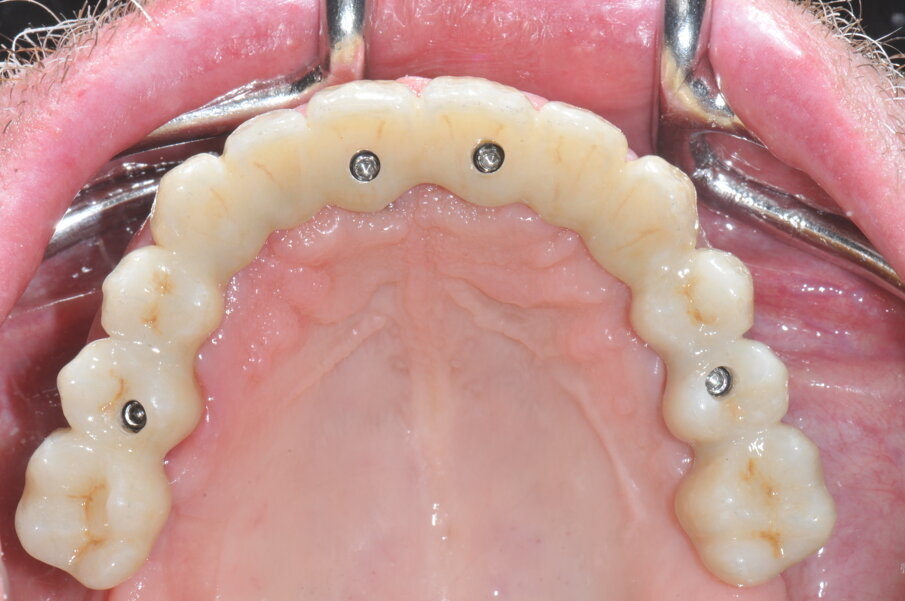
È stata realizzata una riabilitazione full-arch con framework in cromo medicale e rivestimento in ceramica. Il corretto accoppiamento e la passività della struttura protesica sono stati valutati clinicamente e radiograficamente. Le viti protesiche di fissaggio sono state serrate ad un torque di 30N/cm (Figg. 5a, 5b).
Fig. 4a_Visione occlusale degli impianti posizionati tramite dima chirurgica.
Fig. 4b_Protesi provvisoria a carico immediato.
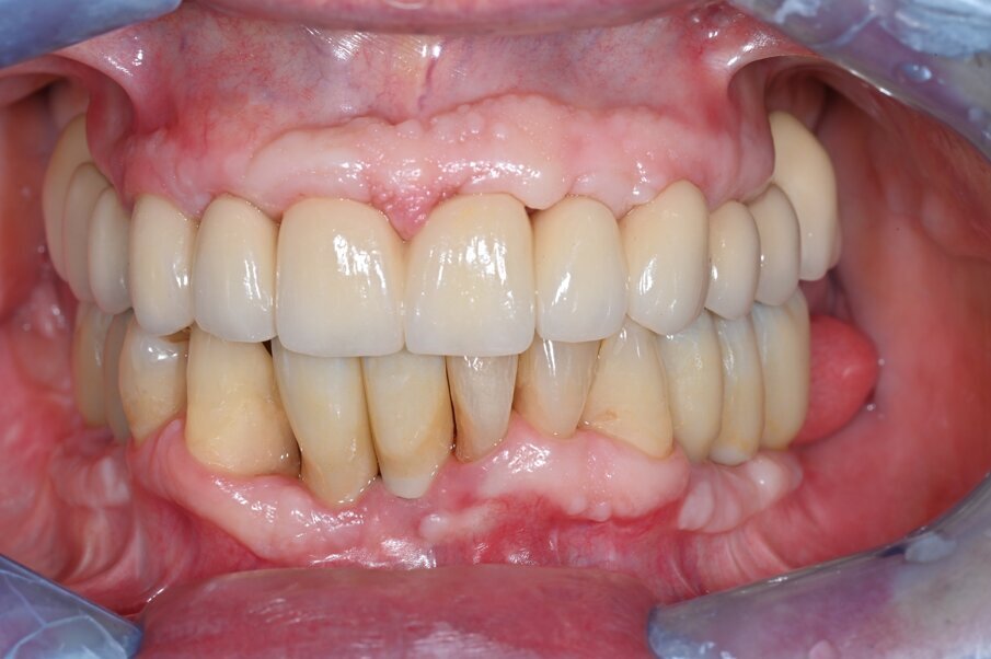
Fig. 5a_Visione frontale della riabilitazione protesica definitiva.
Fig. 5b_Visione occlusale della riabilitazione protesica definitiva.
Discussione
Un ruolo cruciale nella stabilità a lungo termine dei tessuti perimplantari è determinato dalla connessione impianto-abutment13; il gap funzionale tra le due componenti permette una connessione priva di frizioni ma questo gap residuo, sotto carico funzionale, determina un deficit di sigillo, in particolare in caso di connessioni flat to flat14. Al contrario, le connessioni coniche sembrano garantire una riduzione nello sviluppo di questi microgap13, con una crescente qualità di sigillo e una diminuzione delle complicanze biologiche e meccaniche. Le complicanze meccaniche sono da ricercare in una possibile frattura o allentamento delle viti interne o di quelle degli abutment protesici causate dai micromovimenti.
La complicanza biologica più frequente è legata alla potenziale invasione batterica del micro-gap che può minare nel medio e lungo termine la salute dell’impianto e dei tessuti peri-implantari causando infiammazione e riassorbimento osseo localizzato. Inoltre, l’esposizione della superficie implantare all’ambiente del cavo orale come conseguenza di perdita ossea può essere considerata fattore eziologico per lo sviluppo di perimplantiti15-18. Oltre alle complicanze, la resa estetica della riabilitazione può risultare insoddisfacente a causa della recessione dei tessuti molli secondari alla perdita di osso crestale19. Per ridurre questo rischio, si è optato per impianti mono-componente, caratterizzati da un collo transmucoso che porta il livello della connessione più coronale, a livello dei tessuti molli e lontana dal margine osseo20. La superficie liscia del collo e la forma concava del collare transmucoso prevengono l’accumulo batterico e concedono maggiore spazio ai tessuti molli, assicurando una stabilità a lungo termine e una migliore resa estetica. Gli impianti monocomponente utilizzati per la realizzazione del presente caso clinico, sono associati a una componentistica protesica caratterizzata da viti protesiche con diametro e lunghezza maggiori (diametro 1,8 mm) rispetto a quelle utilizzate per multi unit abutment (MUA) standard, consentendo il serraggio della struttura a un torque di 30 N/cm. Questo fattore sembra ridurre il rischio di svitamento e possibile rottura delle viti protesiche.
L’impianto mono componente con abutment protesico integrato permette una facile gestione dei casi trattati con approccio flapless, in particolare a livello degli impianti posteriori inclinati, poiché non è necessario connettere il MUA prima della fase protesica. Questo aspetto permette di evitare il ricorso a lembi mucoperiostei e l’utilizzo di bone profiler per asportare le porzioni ossee che interferiscono con il posizionamento del MUA. Tutto ciò si traduce in una riduzione dell’invasività chirurgica e dei tempi di trattamento che possono influenzare il disconfort post-operatorio del paziente.
In termini di sopravvivenza, oggi si può affermare che le connessioni coniche abbiano una sopravvivenza migliore, con un minore riassorbimento osseo marginale, rispetto alle classiche connessioni flat to flat, anche grazie alla riduzione del micro-gap13. L’impianto mono-componente non presenta invece micro-gap e questa condizione potrebbe limitare ulteriormente le complicanze e il danno biologico ad esso correlato.
Conclusioni
I controlli clinici e radiografici a 4 anni hanno mostrato un’ottima stabilità della riabilitazione con assenza di infiammazione e patologia a carico dei tessuti duri e molli peri implantari (Figg. 6-7c). La stabilità dei margini ossei perimplantari è stata valutata con radiografie endorali che hanno evidenziato assenza di riassorbimento osseo patologico. La sistematica descritta non ha presentato complicanze biologiche o meccaniche nel periodo di osservazione, con soddisfazione dei criteri di successo perimplantare.
Saranno tuttavia necessari ulteriori controlli per valutare la stabilità nel lungo termine.
Fig. 6_Follow up a 4 anni: visione frontale della riabilitazione definitiva a 4 anni.
Figg. 7a-7c_Controllo radiografico a 4 anni.
Figg. 7a-7c_Controllo radiografico a 4 anni.
Figg. 7a-7c_Controllo radiografico a 4 anni.
Bibliografia
- Maiorana C, Poli PP, Mascellaro A, Ferrario S, Beretta M. Dental implants placed in resorbed alveolar ridges reconstructed with iliac crest autogenous onlay grafts: A 26-year median follow-up retrospective study. J. Craniomaxillofac. Surg. 2019;47:805-14.
- Lini F, Poli PP, Beretta M, Cortinovis I, Maiorana C. Long-term retrospective observational cohort study on the survival rate of stepped screw titanium implants followed up to 20 years. Int. J. Oral Maxillofac. Implants 2019;34:999-1006.
- Maiorana C, Poli PP, Borgonovo AE, Rancitelli D, Frigo AC, Pieroni S et al. Long-Term Retrospective Evaluation of Dental Implants Placed in Resorbed Jaws Reconstructed With Appositional Fresh-Frozen Bone Allografts. Implant Dent. 2016;25:400-8.
- Farronato D, Pasini PM, Orsina AA, Manfredini M, Azzi L, Farronato M. Correlation between Buccal Bone Thickness at Implant Placement in Healed Sites and Buccal Soft Tissue Maturation Pattern: A Prospective Three-Year Study. Materials (Basel) 2020;13.
- Maiorana C, Manfredini M, Beretta M, Signorino F, Bovio A, Poli PP. Clinical and Radiographic Evaluation of Simultaneous Alveolar Ridge Augmentation by Means of Preformed Titanium Meshes at Dehiscence-Type Peri-Implant Defects: A Prospective Pilot Study. Materials (Basel) 2020;13.
- Maiorana C, Ferrario S, Poli PP, Manfredini M. Autogenous Chin Block Grafts in the Aesthetic Zone: A 20-Year Follow-Up Case Report. Case reports in dentistry 2020;2020:6525797.
- Farronato D, Pasini PM, Manfredini M, Scognamiglio C, Orsina AA, Farronato M. Influence of the implant-abutment connection on the ratio between height and thickness of tissues at the buccal zenith: a randomized controlled trial on 188 implants placed in 104 patients. BMC Oral Health 2020;20:53.
- Levine RA, Ganeles J, Gonzaga L, Kan JK, Randel H, Evans CD et al. 10 Keys for Successful Esthetic-Zone Single Immediate Implants. Compend Contin Educ Dent 2017;38:248-60.
- Linkevicius T, Puisys A, Steigmann M, Vindasiute E, Linkeviciene L. Influence of Vertical Soft Tissue Thickness on Crestal Bone Changes Around Implants with Platform Switching: A Comparative Clinical Study. Clin Implant Dent Relat Res 2015;17:1228-36.
- Steigmann M, Monje A, Chan HL, Wang HL. Emergence profile design based on implant position in the esthetic zone. Int. J. Periodontics Restorative Dent. 2014;34:559-63.
- Borgonovo AE, Ferrario S, Maiorana C, Vavassori V, Censi R, Re D. A Clinical and Radiographic Evaluation of Zirconia Dental Implants: 10-Year Follow-Up. Int J Dent. 2021 Dec 30;2021:7534607. doi: 10.1155/2021/7534607. PMID: 35003263; PMCID: PMC8739170.
- Maiorana C, Poli PP, Deflorian M, Testori T, Mandelli F, Nagursky H, Vinci R. Alveolar socket preservation with demineralised bovine bone mineral and a collagen matrix. J Periodontal Implant Sci. 2017 Aug;47(4):194-210. doi: 10.5051/jpis.2017.47.4.194. Epub 2017 Aug 11. PMID: 28861284; PMCID: PMC5577438.
- Zipprich H, Weigl P, Ratka C, Lange B, Lauer HC. The micromechanical behavior of implant-abutment connections under a dynamic load protocol. Clin Implant Dent Relat Res. 2018 Oct;20(5):814-823. doi: 10.1111/cid.12651. Epub 2018 Jul 24. PMID: 30039915.
- Farronato D, Manfredini M, Mangano F, Goffredo G, Colombo M, Pasini P, Orsina A, Farronato M. Ratio between Height and Thickness of the Buccal Tissues: A Pilot Study on 32 Single Implants. Dent J (Basel). 2019 Apr 2;7(2):40. doi: 10.3390/dj7020040. PMID: 30987026; PMCID: PMC6631890.
- Tesmer M, Wallet S, Koutouzis T, Lundgren T. Bacterial colonization of the dental implant fixture-abutment interface: an in vitro study. J Periodontol. 2009 Dec;80(12):1991-7. doi: 10.1902/jop.2009.090178. PMID: 19961382.
- do Nascimento C, Miani PK, Pedrazzi V, Gonçalves RB, Ribeiro RF, Faria AC, Macedo AP, de Albuquerque RF Jr. Leakage of saliva through the implant-abutment interface: in vitro evaluation of three different implant connections under unloaded and loaded conditions. Int J Oral Maxillofac Implants. 2012 May-Jun;27(3):551-60. PMID: 22616048.
- Broggini N, McManus LM, Hermann JS, Medina R, Schenk RK, Buser D, Cochran DL. Peri-implant inflammation defined by the implant-abutment interface. J Dent Res. 2006 May;85(5):473-8. doi: 10.1177/154405910608500515. PMID: 16632764.
- Koutouzis T. Implant-abutment connection as contributing factor to peri-implant diseases. Periodontol 2000. 2019 Oct;81(1):152-166. doi: 10.1111/prd.12289. PMID: 31407436.
- Vetromilla BM, Brondani LP, Pereira-Cenci T, Bergoli CD. Influence of different implant-abutment connection designs on the mechanical and biological behavior of single-tooth implants in the maxillary esthetic zone: A systematic review. J Prosthet Dent. 2019 Mar;121(3):398-403.e3. doi: 10.1016/j.prosdent.2018.05.007. Epub 2018 Nov 23. PMID: 30477924.
- Axiotis JP, Nuzzolo P, Barausse C, Gasparro R, Bucci P, Pistilli R, Sammartino G, Felice P. One-Piece Implants with Smooth Concave Neck to Enhance Soft Tissue Development and Preserve Marginal Bone Levels: A Retrospective Study with 1- to 6-Year Follow-Up. Biomed Res Int. 2018 Jul 24;2018:2908484. doi: 10.1155/2018/2908484. PMID: 30140692; PMCID: PMC6081599.
Tag:
L’implantologia guidata è il risultato della combinazione di dati clinici, imaging tridimensionale e progettazione CAD/CAM di guide chirurgiche. La ...
Molto spesso abbiamo sentito dire che l’Università Italiana non forma, non prepara al lavoro e si fa solo teoria spesso non legata all’attualità. Lo ...
Il successo di una riabilitazione implantare dipende da una corretta diagnosi che porta alla formulazione di un corretto piano di terapia. La moderna ...
Ha preso inizio con una sala gremita la giornata pre-congressuale dell’Accademia Italiana di Odontoiatria Protesica – AIOP, giunta al suo 37° Congresso...
La moderna odontoiatria si propone di risolvere casi implantoprotesici anche complessi sfruttando al massimo ciò che le nuove tecnologie possono ...
La moderna odontoiatria si propone di risolvere casi implantoprotesici anche complessi sfruttando al massimo ciò che le nuove tecnologie possono ...
L’utilizzo di impianti osteointegrati per supportare protesi di tipo fisso rappresenta un trattamento ampiamente documentato ormai da decenni1-3.
In ...
Molti anni fa, molto prima dell’avvento dell’intelligenza artificiale, ad un congresso un emergente relatore cercò di convincermi che, grazie ai nuovi ...
La sfida: creare modelli digitali 3D privi di distorsione, utilizzando un metodo efficace in termini di costi, che migliori il flusso di lavoro dello studio...
Quando si discute delle ultime innovazioni in implantologia dentale, uno degli argomenti più popolari è la tecnologia che supporta i flussi di lavoro ...
Live webinar
mar. 19 maggio 2026
17:00 (CET) Rome
Live webinar
mar. 19 maggio 2026
19:00 (CET) Rome
Prof. Dr. med. dent. Ivo Krejci
Live webinar
mer. 20 maggio 2026
13:00 (CET) Rome
Dr. Graham Carmichael BDSc (Hons), DClinDent (Pros), FRACDS, Dr. Robert Gottlander DDS
Live webinar
mer. 20 maggio 2026
15:00 (CET) Rome
Live webinar
mer. 20 maggio 2026
17:00 (CET) Rome
Live webinar
mer. 20 maggio 2026
19:00 (CET) Rome
Prof. Dr. med. dent. Tim Joda PhD, MSc, eMBA
Live webinar
gio. 21 maggio 2026
18:00 (CET) Rome
Dr. Leonardo Muniz DDS, MSC
To post a reply please login or register