Le aspettative del paziente edentulo si sono proiettate nel passare degli anni verso riabilitazioni sempre più rapide ed efficaci. La costruzione di protesi totali removibili senza ritenzioni fisse non è più una soluzione terapeutica accettabile.
La ricerca e l’esperienza clinica accumulate negli ultimi decenni hanno permesso di osservare in campo implanto-protesico una costante evoluzione delle metodiche riabilitative dei mascellari edentuli.1 I recenti sviluppi nel campo dell’imaging orale tridimensionale e nella tecnologia informatica hanno consentito, in maniera sempre più agevole, la ricostruzione fedele dell’anatomia del paziente e la pianificazione pre-chirurgica dell’inserimento implantare mediante l’utilizzo di software dedicati.2
La sinergia tra tecniche protesiche consolidate e programmazioni virtuali computer-assistite ha fornito all’operatore la possibilità di realizzare riabilitazioni altamente performanti sia dal punto di vista funzionale che estetico, soddisfacendo le aspettative anche del paziente più esigente.3
Case report
Paziente donna di 68 anni, non fumatrice, portatrice di protesi parziale mascellare e protesi totale mandibolare con permanenza di 3.8 (Fig 1). Rispettando le richieste della paziente, che mal tollerava la mobilità della protesi totale mandibolare, si opta per una riabilitazione implanto-protesica a funzione immediata. Il piano di cura prevede l’estrazione dell’elemento dentale residuo, il confezionamento di una nuova protesi totale mandibolare, l’inserimento di 5 fixture implantari (Osseotite Tapered Certain, Biomet-3i) mediante l’utilizzo di mascherina chirurgica progettata con software dedicato (Simplant, Materialise).
Procedure operative
Dopo la bonifica del mascellare inferiore, si rilevano le impronte delle arcate e si procede al confezionamento del corpo protesico totale removibile (Fig. 2) in grado di ristabilire una corretta dimensione verticale di occlusione, una corretta funzione e stabilità occlusale e di soddisfare le esigenze estetiche della paziente.
Il corpo protesico, oltre a riabilitare provvisoriamente il paziente, ha due scopi:
– guidare il posizionamento virtuale degli impianti sulla ricostruzione tridimensionale dell’anatomia del paziente e del corpo protesico tramite scansione CBCT;
– razionalizzare gli ingombri della mesostruttura metallica al fine di ottimizzare il flusso di lavoro in laboratorio.
Una volta determinata e corretta l’occlusione della protesi realizzata, si procede alla duplicazione della stessa e si passa alla fase di progettazione virtuale computer-assistita. La fase di progettazione virtuale si articola in:
– esecuzione di esame radiografico tridimensionale dell’anatomia del paziente, con protesi in situ, mediante TAC volumetrica Cone-Beam CBCT (CS9300 3D, Carestream);
– scansione mediante CBCT del solo corpo protesico su cui sono stati posizionati reperi radio-opachi (Fig. 2);
– segmentazione e matching delle due scansioni sul software di progettazione tridimensionale (Fig. 3);
– analisi dell’anatomia, posizionamento virtuale degli impianti e determinazione dei tragitti trans-mucosi (Fig. 3);4
– progettazione della mascherina chirurgica (Fig. 3). Sulla base dello studio virtuale viene confezionata la mascherina chirurgica SurgiGuide (Materialise) (Fig. 4) riportante la posizione degli impianti come da progettazione e, parzialmente, la posizione degli elementi dentari del corpo protesico.5
Una volta ricevuta la mascherina chirurgica, si provvede a realizzare il modello di lavoro, riportante la posizione degli impianti, su cui viene effettuato il posizionamento degli abutment conici (Low Profile Conical Abutment) in base all’altezza del tragitto trans-mucoso e all’inclinazione dell’impianto.Il modello di lavoro viene montato in articolatore insieme al duplicato della protesi.
Si procede alla modellazione della travata di rinforzo congiungendo i cilindri calcinabili per passivazione mediante resina fotoindurente6 e viene confezionato un porta impronte individuale.
Per facilitare il posizionamento intraorale della mascherina chirurgica viene fornito un jig occlusale sulla base dei rapporti intermascellari riportati sull’articolatore.
embedImagecenter("Imagecenter_2_970",970,"small");
La fase chirurgica prevede:
– l’attento posizionamento della SurgiGuide mediante l’uso di due viti di fissazione aventi diametro di 2 mm e lunghezza di 15 mm (Fixation System, Lorenz) all’interno del cavo orale avvalendosi dei reperi occlusali e mucosi;
– la preparazione flapless dei siti implantari mediante l’utilizzo del kit dedicato di chirurgia guidata (Tapered Navigator Surgical Kit, Biomet-3i);
– l’inserimento di impianti conici a esagono interno (Tapered Certain, Biomet-3i) in posizione 35 (diametro: 4 mm, lunghezza: 15 mm), 33 (diam.: 4 mm, lung.: 15 mm), 41 (diam.: 3.25 mm, lung.: 15 mm), 43 (diam.: 4 mm, lung.: 15 mm), 45 (diam.: 4 mm, lung.: 15 mm) con motore chirurgico (iChiropro, BienAir) impostato a 50 Ncm di Torque di inserimento, e alloggiamento finale con chiave dinamometrica manuale per allineare i reperi di riferimento dell’Implant-Mounter con i solchi di riferimento presenti sul Master Tube della SurgiGuide (Fig. 5).
Inserite tutte le fixture implantari e controllato l’allineamento di tutti i reperi, viene rimossa la SurgiGuide. Le condizioni del campo operatorio, grazie al controllo del sanguinamento e all’utilizzo di una tecnica chirurgica flapless, permettono l’immediato inserimento degli abutment conici e il contestuale rilevamento dell’impronta di posizione in gesso (Fig. 6).7
La relazione di centrica si rileva sfruttando la protesi del paziente. La registrazione viene effettuata creando degli alloggiamenti nel corpo protesico nei quali verranno bloccati due abutment cilindrici avvitati ai low-profile con resina fotopolimerizzabile. Un jig occlusale viene prodotto per verificare l’interdentazione nel successivo montaggio in articolatore del modello maestro.
Il paziente viene congedato.
Nelle 24 ore successive all’intervento, il laboratorio provvede allo sviluppo del modello maestro, al montaggio in articolare, all’adattamento e fusione della mesostruttura metallica precedentemente modellata, alla passivazione della stessa mediante tecnica dell’incollaggio8 e, infine, alla resinatura e lucidatura del manufatto protesico.
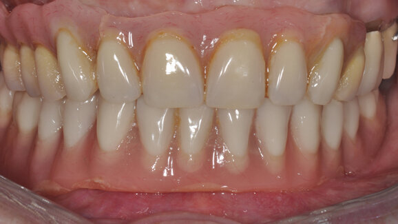
Il giorno successivo all’intervento viene consegnata la protesi, si eseguono il trimming, i controlli occlusali e i controlli delle cassette igieniche e la motivazione all’igiene (Figg. 7, 8).
Conclusioni
La metodica qui descritta permette di riabilitare un paziente edentulo con un immediato posizionamento della protesi definitiva supportata da impianti in 24 ore. Il protocollo prevede l’inserimento di 5 fixture implantari nella mandibola edentula e 6 fixture implantari nel mascellare superiore edentulo.
La procedura racchiude in sé numerosi vantaggi clinici:
– determinazione e verifica pre-chirurgica dell’estetica e della funzione masticatoria;
– ottenimento delle massime potenzialità chirurgiche attraverso la progettazione virtuale, che permette la scelta di impianti con caratteristiche geometriche altamente performanti (conicità, lunghezza e diametro) e il loro posizionamento protesicamente guidato nel rispetto delle strutture anatomiche9;
– assenza di sanguinamento e riduzione degli edemi post-operatori grazie alla tecnica flapless;
– riduzione della morbidità;
– miglioramento del flusso di lavoro nelle fasi di laboratorio.
Bibliografia
1. Strub JR, Jurdzik BA, Tuna T. Prognosis of immediately loaded implants and their restorations: a systematic literature review. J Oral Rehabil. 2012 Sep;39(9):704-17.
2. Van Assche N, Vercruyssen M, Coucke W, Teughels W, Jacobs R, Quirynen M. Accuracy of computer-aided implant placement. Clin Oral Implants Res. 2012 Oct; 23 suppl 6:112-23.
3. Hultin M, Svensson KG, Trulsson M. Clinical advantages of computer-guided implant placement: a systematic review. Clin Oral Implants Res. 2012 Oct; 23 Suppl 6:124-35.
4. Nickenig HJ, Eitner S, Rothamel D, Wichmann M, Zöller JE. Possibilities and limitations of implant placement by virtual planning data and surgical guide templates. Int J Comput Dent. 2012;15(1):9-21.
5. Sicilia A, Botticelli D; Working Group 3. Computer-guided implant therapy and soft- and hard-tissue aspects. The Third EAO Consensus Conference 2012. Clin Oral Implants Res. 2012 Oct;23 Suppl 6:157-61.
6. Chung S, McCullagh A, Irinakis T. Immediate loading in the maxillary arch: evidence-based guidelines to improve success rates: a review. J Oral Implantol. 2011 Oct;37(5):610-21.
7. Assif D, Fenton A, Zarb G, Schmitt A. Comparative accuracy of implant impression procedures. Int J Periodontics Restorative Dent. 1992;12(2):112-21.
8. Heckman SM, Karl M, Wichmann MG, Winter W, Graef F, Taylor TD. Cement fixation and screw retention: parameters of passive fit. An in vitro study of three-unit implant-supported fixed partial dentures. Clin Oral Implants Res. 2004 Aug;15(4):466-73.
9. Ghoul WE, Chidiac JJ. Prosthetic requirements for immediate implant loading: a review J Prosthodont. 2012 Feb;21(2):141-54.
La possibilità di riabilitare una arcata totalmente edentula mediante l’inserimento di impianti osteointegrati e il posizionamento di una ...
La possibilità di riabilitare una arcata totalmente edentula mediante l’inserimento di impianti osteointegrati e il posizionamento di una ...
La Rigenerazione Ossea Guidata (GBR) è una delle tecniche più utilizzate e descritte in letteratura per la ricostruzione dei difetti ossei, per ottenere ...
Il carico immediato può essere ormai considerato una procedura terapeutica di elevata affidabilità ed efficacia, anche a distanza di tempo. Elemento ...
La riabilitazione del mascellare superiore può essere un trattamento difficile perché i clinici devono confrontarsi con alcune limitazioni ...
L’edentulia totale è una patologia ancora molto diffusa nel mondo. Nonostante i progressi nella prevenzione delle patologie cariose e parodontali, ...
L’atrofia severa uni o bi-mascellare costituisce un importante ostacolo per la riabilitazione con protesi fissa mediante interventi di chirurgia ...
Informazioni sul paziente e sul trattamento
Il paziente, un uomo di 59 anni, si è presentato con la richiesta di una ricostruzione fissa ...
Nelle riabilitazioni implanto-protesiche del mascellare atrofico esistono delle alternative alla chirurgia di elevazione del seno mascellare che devono ...
Nelle riabilitazioni implanto-protesiche del mascellare atrofico esistono delle alternative alla chirurgia di elevazione del seno mascellare che devono ...
Live webinar
mer. 22 aprile 2026
17:00 (CET) Rome
MDT Andreas Chatzimpatzakis
Live webinar
mer. 22 aprile 2026
17:00 (CET) Rome
Live webinar
mer. 22 aprile 2026
18:00 (CET) Rome
Live webinar
gio. 23 aprile 2026
17:00 (CET) Rome
Live webinar
gio. 23 aprile 2026
18:30 (CET) Rome
Live webinar
gio. 23 aprile 2026
19:00 (CET) Rome
Live webinar
gio. 30 aprile 2026
1:00 (CET) Rome
Dr. Renato Leonardo D.M.D.
To post a reply please login or register