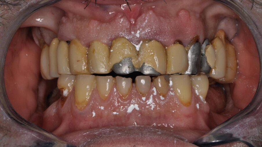
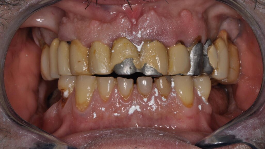
Nel 2017, un paziente si è presentato in studio con gravi lesioni cariose che interessavano gli elementi dentari 43, 42, 41, 31, 32 e 33; lesioni cervicali di V classe, esposizione radicolare, e marcata abrasione dentaria generalizzata, particolarmente evidente nel gruppo frontale anteriore, associata a una riduzione della funzione nei settori posteriori.
Descrizione
Il paziente lamentava l’aspetto estetico e la riduzione della capacità masticatoria, sottolineando l’impossibilità di affrontare molteplici visite di riabilitazione protesica (Fig. 1). Si è proceduto con una seduta di igiene orale approfondita, esami radiografici endorali e una scansione intraorale per registrare in dettaglio lo stato iniziale del paziente. Successivamente, sono state rimosse le lesioni cariose dagli elementi affetti, gravemente compromessi ma recuperabili (Fig. 2). È stato proposto al paziente un trattamento chairside in grado di risolvere i problemi funzionali ed estetici in poche ore, utilizzando preparazioni minimamente invasive e la tecnica di stampa dei restauri eseguita direttamente in studio. Dopo l’accettazione del paziente, sono state effettuate preparazioni mini-invasive, levigate e lucidate con strumenti abrasivi siliconici a grana decrescente (media/fine). Ultimate le preparazioni e verificate le condizioni dei tessuti molli e la visibilità dei margini cervicali, si è proceduto con la scansione intraorale delle arcate e la registrazione dei rapporti occlusali (Fig. 3).
Fig. 1_Foto frontale delle arcate: situazione prima visita.
Figg. 2, 3_Preparazione gruppo frontale da 33 a 43.
Figg. 2, 3_Preparazione gruppo frontale da 33 a 43.
Materiali e metodi
Le corone sono state progettate con il software CAD odontoiatrico ChairsideCAD (exocad) e unite con connettori di misura minima per garantire la stabilità dello splintaggio protesico. Il file risultante è stato salvato nel formato .stl e utilizzato per la stampa con una stampante Dfab (DWS) dotata di tecnologia TSLA, descritta di seguito. La Dfab è una stampante 3D con tecnologia TSLA (stereolitografia inclinata), progettata per la tecnica additiva chairside, che lavora con cartucce monouso disponibili in varie dimensioni (S, M, L) in base al volume di materiale necessario. Questa tecnologia, un’evoluzione della stereolitografia, utilizza un piano di costruzione inclinato e un materiale ad alta viscosità per creare un effetto “a cascata”, miscelando omogeneamente i riempitivi pesanti durante la stampa. Ciò aumenta la velocità di stampa e riduce il numero di strutture di supporto necessarie.
Il metodo additivo TSLA
In odontoiatria, la TSLA viene utilizzata nella stampante Dfab, con cartucce a gradiente di colore Photoshade (DWS). Il processo inizia caricando il file .stl nel software Photoshade, che posiziona e supporta correttamente il restauro per ottenere precisione e adattamento ottimali. Si seleziona la gradazione Photoshade desiderata e si posizionano i limiti cromatici cervicali e incisali. Una volta approvato l’aspetto visivo del restauro, inizia il processo di stampa. La cartuccia Dfab monouso viene caricata nella parte superiore della stampante insieme al supporto di stampa con una piattaforma monouso. La parte superiore della Dfab viene chiusa e la cartuccia inclinata a 45 gradi. La stampa viene avviata dal software Photoshade Pro, con un flusso continuo di materiale mantenuto dalla gravità e da una pompa peristaltica silenziosa. Il raggio laser UV blu polimerizza selettivamente il composito, creando l’oggetto strato per strato. Completato l’oggetto, la Dfab viene aperta e la piattaforma di costruzione riportata in posizione orizzontale. Per rimuovere i residui di composito non polimerizzato, la piattaforma contenente i restauri viene lavata per 1-2 minuti in uno shaker con alcol etilico al 95%. I restauri vengono quindi separati manualmente dalla piattaforma, rompendo i supporti sottili con un movimento rotatorio. Eventuali ulteriori piccoli residui di composito non polimerizzato vengono rimossi con un pennello piatto immerso in alcol etilico al 95%. Infine, viene eseguita la post-polimerizzazione con un dispositivo a doppia energia (luce ultravioletta e calore) (Dcure, DWS), con un ciclo automatico di circa nove minuti (Figg. 4, 5).
Figg. 4, 5_Restauro stampato con tecnologia TSLA.
Figg. 4, 5_Restauro stampato con tecnologia TSLA.
Post-processing
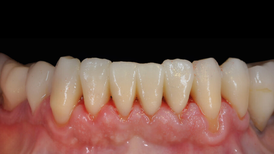
Le ricostruzioni protesiche stampate vengono rifinite e lucidate. La morfologia e la tessitura superficiale sono enfatizzate utilizzando frese abrasive. Le superfici vengono lucidate meccanicamente, un metodo efficace per garantire la stabilità del colore nel tempo e resistere all’accumulo di placca e agenti macchianti come vino rosso e caffè. La lucidatura viene eseguita con attenzione, utilizzando gommini impregnati di diamante di grana fine e superfine (es. dischi spiralati Twist e coppette Occluflex, Diacomp, EVE) (Fig. 6).
Follow-up
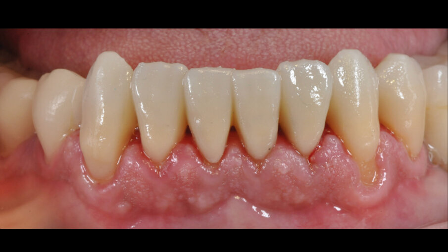
Il paziente è seguito regolarmente con controlli semestrali e sedute di igiene per mantenere la salute orale ed evitare carie secondaria e problemi parodontali. Manifesta piena soddisfazione per il trattamento ricevuto e rimane collaborativo. Nell’ultima visita, i restauri in composito ibrido Irix si presentano integri e funzionali. È necessaria solo una nuova lucidatura, eseguita dopo la seduta di igiene orale con la tecnica di lucidatura moderna appena descritta. Il paziente sarà monitorato e prevediamo di documentare il follow-up a medio e lungo termine (Fig. 7).
L'articolo è stato pubblicato su CAD/CAM international magazine of digital dentistry Italian Edition n. 2/24.
Argomenti:
Tag:
HAIPHONG, Vietnam: un nuovo case report mostra i risultati ottenibili con un approccio protesico conservativo in un paziente con un quadro anteriore ...
Elevate il vostro studio con Dfab, la stampante laser TSLA per restauri protesici policromatici alla poltrona. Offrite ai pazienti precisione senza pari e ...
La possibilità di riabilitare un mascellare superiore a carico immediato, con una protesi fissa, mediante l’utilizzo di soli quattro impianti ...
Qual è la novità più importante negli ultimi anni nel campo dell’odontoiatria conservativa?
Il colore nasce dal rapporto ...
In conservativa, come in tutta l’odontoiatria, per eseguire una corretta diagnosi è indispensabile un esame radiografico dettagliato (bite ...
LIPSIA, Germania. A causa dell’esaurimento delle scorte che finiscono rapidamente, molti operatori sanitari in tutto il mondo sono sempre più in ...
Estratto dalla tesi di Master in Posturologia, La Sapienza Università di Roma, anno accademico 2008-2009. Il lavoro trae origine dalla ...
Nel campo dell’odontoiatria estetica, la qualità della finitura e della lucidatura dei restauri in composito rappresenta un elemento cruciale per ...
Dental Tribune intervistaIl dott. Alberto Maria Albiero si è di recente aggiudicato il premio PEERS nella sezione Protesi conometrica, con un case ...
In questo articolo viene presentato un caso clinico di un paziente affetto da grave usura dentale, riabilitato secondo le più recenti conoscenze in ambito ...
Live webinar
mar. 26 maggio 2026
18:00 (CET) Rome
Live webinar
mar. 26 maggio 2026
20:00 (CET) Rome
Live webinar
mer. 27 maggio 2026
14:00 (CET) Rome
Live webinar
gio. 28 maggio 2026
18:00 (CET) Rome
Dr. Anthony Viazis DDS, MS. Inventor & Founder of Fastbraces®
Live webinar
lun. 1 giugno 2026
19:00 (CET) Rome
Live webinar
mer. 3 giugno 2026
19:00 (CET) Rome
Live webinar
gio. 4 giugno 2026
20:00 (CET) Rome
To post a reply please login or register