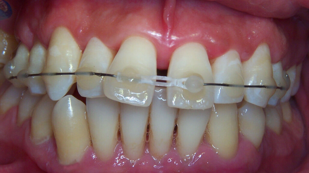
Fig. 1 - Applicazione di due segmenti di filo in acciaio .016 x .022 bondati alle superfici vestibolari dei denti dell’arcata superiore con A.R.T. flow.
Nel rispetto sempre più ricercato dell’estetica per il paziente che deve essere sottoposto a una terapia ortodontica con apparecchiature fisse, ma senza perdere di vista quelli che sono i principi fondamentali di biomeccanica, trova sempre più vaste applicazioni una nuova metodica ortodontica: quella dei retainers attivi. Tale metodica, prevede l’utilizzo di fili ortodontici direttamente bondati sui denti, senza l’ausilio di brackets ortodontici.
La tecnica dei retainers attivi è da considerarsi una vera e propria rivoluzione in campo ortodontico, non solo sotto l’aspetto estetico (sia che venga utilizzata sul lato vestibolare, Figg. 1 e 2, sia su quello linguale, Figg. 3 e 4, non prevede l’utilizzo di bracketts), ma anche per ciò che riguarda il confort per il paziente, che non avendo l’ingombro degli attacchi vede notevolmente ridotto il disagio causato dal contatto dell’apparecchiatura con i tessuti molli del cavo orale, riuscendo a mantenere una più accurata igiene dentaria in corso di terapia.
Il tutto con un abbattimento dei costi di materiali già normalmente alti per i bracketts metallici, ma sempre più proibitivi per quelli in porcellana o per quelli utilizzati in tecnica linguale. Per questa nuova tecnica è stato sviluppato un nuovissimo composito flow, con eccezionali caratteristiche di resistenza alle forze torsionali, tali da consentire di applicare direttamente al dente la trazione esercitata dal filo ortodontico, senza la intermediazione dei bracketts ortodontici così come avviene per tutte le altre metodiche ortodontiche. La tecnica dei retainers attivi è estremamente efficace in tutti quei casi in cui è necessaria una meccanica espansiva mirante al recupero di spazio per affollamento anche severo di arcata.
Fig. 2 - Bloccaggio a 3 settimane con applicazione di filo triflex .0195.
Fig. 3 - Applicazione di un filo linguale TMA .016 tondo con attivazione di doppia V opposta sui canini inferiori.
Fig. 4 - Applicazione di molla di torque in TMA .016 x .022 sul 33, in sovrapposizione al filo TMA .016 tondo, che ha corretto la forma di arcata in 4 settimane.
Flexural strength (Mpa): il grafico mostra l’incremento della resistenza alle forze torsionali del composito A.R.T. flow paragonato a due dei prodotti della concorrenza più venduti sul mercato.
La versatilità di questo composito flow di nuova generazione consente la scelta sia di meccaniche espansive a scorrimento (frizionanti: Figg. 5-7), sia di meccaniche espansive con anse (non frizionanti: Figg. 8, 9) e addirittura, grazie alla notevole resistenza alle forze torsionali, l’applicazione di molle di torque direttamente bondate sui denti (Fig. 4).
Estremamente importante nell’utilizzo di tale metodica è la conoscenza approfondita della biomeccanica ortodontica. In casi asimmetrici, ad esempio, utilizzando un filo TMA adeguatamente preattivato con pieghe a V, è possibile effettuare rapide correzioni con un dispositivo fisso, quindi con l’applicazione di forze leggere e costanti, preservando l’estetica (Figg. 3 e 4) e il confort per il paziente.
Fig. 5 - Applicazione di filo linguale Nichel Titanio .016 tondo con coil open.
Fig. 6 - Controllo a 4 settimane.
Fig. 7 - Eliminazione dei coil open e riattivazione.
Figg. 8, 9 - Applicazione di filo triflex .0195 con anse di avanzamento.
Fig. 10 - Applicazione di filo Nichel Titanio .016 tondo con coil open (metodica frizionante).
Fig. 11 - Sostituzione filo con coil open a destra, ansa di espansione a sinistra e leva in TMA sul 33.
Fig. 12 - Leva di derotazione del 33 agganciata.
Fig. 13 - Anse di rifinitura.
Nei casi ad applicazione linguale di questa metodica, per l’arcata superiore è importante evitare il contatto in occlusione tra la dentatura inferiore ed il dispositivo. Se il posizionamento del filo è tale per cui risulta inevitabile tale contatto, è indispensabile applicare dei mini-rialzi occlusali in cemento vetroionomerico. Un altro vantaggio di tale metodica è la possibilità di bondare sullo stesso elemento dentario più fili con diverse caratteristiche di elasticità, così che il composito che li bloccherà al dente si comporterà come un attacco a doppio slot.
La riattivazione di tali apparecchiature è estremamente semplice e, anche nei casi in cui bisogna sostituire l’intero filo, i tempi di lavoro alla poltrona non superano i 20 minuti.
I recenti spot televisivi che sollecitano risarcimenti per danni sanitari e per il parallelo emendamento che consente ad alcuni professionisti della sanità...
Molte problematiche relative agli attacchi implantari possono essere risolte utilizzando le linee guida e i procedimenti guidati della Rhein83. Oggi il ...
Molte problematiche relative agli attacchi implantari possono essere risolte utilizzando le linee guida e i procedimenti guidati della Rhein83. Oggi il ...
Negli ultimi anni, la medicina estetica ha subito una trasformazione significativa, spostando l’attenzione da trattamenti puramente correttivi verso ...
HANOI, Vietnam: I metodi tradizionali per il fissaggio dei bottoni ausiliari nella terapia con allineatori riducono i significativi benefici clinici per la ...
La preservazione della cresta alveolare riveste un ruolo fondamentale nel mantenimento della struttura ossea dopo l’estrazione dentaria, garantendo ...
LEMGO, Germania: Komet Dental, uno dei più grandi brand al mondo nel settore degli strumenti e dei sistemi odontoiatrici rotanti, organizzerà il suo primo...
To post a reply please login or register