La rimozione della placca dagli spazi interprossimali è essenziale al fine di ottenere e mantenere le condizioni soddisfacenti di salute gengivale1.
Sia le patologie parodontali che quelle cariose si sviluppano prevalentemente a livello interprossimale e, soprattutto, nei denti posteriori2, per cui è opportuno che la rimozione della placca batterica, in queste aree critiche, sia particolarmente rigorosa3.
Lo spazzolino tradizionale è inefficace in queste zone, pertanto bisogna utilizzare degli strumenti specifici: filo e nastro interdentali, spazzolini interprossimali (scovolini), apparecchi elettrici. La scelta dello strumento più idoneo viene effettuata sulla base di caratteristici fattori anatomici e individuali2, quali presenza/assenza di papilla interdentale, dimensione dello spazio interdentale, abilità manuale e grado di motivazione3.
L’utilizzo di presidi per il controllo della placca a livello interprossimale sembra però essere poco diffuso nella popolazione, quindi la pulizia interdentale non è di fatto parte integrante della routine di igiene orale quotidiana. Secondo uno studio di Bader4, infatti, solamente dal 2 al 10% dei pazienti usa il filo regolarmente.
Verrebbe da chiedersi se questo corrisponda a una valutazione oggettiva, oppure se tale percentuale risulti sovrastimata. E, soprattutto, quanti tra coloro che dichiarano di utilizzare il filo interdentale, lo usino poi in modo propriamente corretto, cioè con una tecnica efficace e non traumatica.
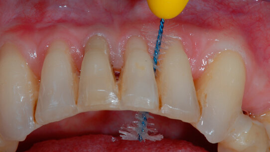
L’eventuale presenza di un manufatto protesico, per quanto congruo, rende più complessa l’igiene domiciliare in sede interdentale, che rimane essenziale per il mantenimento della salute dei tessuti.
Le zone interprossimali protesizzate, infatti, dovrebbero presentare una dimensione cervicale di circa 2 mm, per consentire l’agibilità a uno spazzolino interdentale, strumento d’elezione per la loro detersione.
In particolare, le superfici approssimali dei denti diatorici presentano una significativa concavità, particolarmente accentuata sull’aspetto mesiale del primo premolare mascellare (Figg. 6, 7), in cui solo lo spazzolino interdentale, e non certo il filo, è in grado di adattarsi5,6. Gli spazzolini interprossimali sono particolarmente indicati anche nel settore anteriore (Figg. 8, 9), quando lo spazio interdentale appare diastemato, in assenza di papilla, in presenza di embrasure ampie e/o in associazione a recessioni7.
Tali strumenti sono di facile impiego, previo rispetto di alcune semplici norme, che vengono illustrate nelle didascalie delle figure.
embedImagecenter("Imagecenter_2_632",632,"small");
Si consiglia di selezionare solo quegli strumenti che sono strettamente necessari e non sovraccaricare il paziente con una serie di metodiche, impegnative e difficoltose, che vengono quasi sempre abbandonate dopo un breve periodo di sperimentazione8.
Al fine di ottenere una buona compliance, è opportuno fornire una spiegazione semplice e personalizzata sui presidi da utilizzare. La difficoltà principale è, tuttavia, quella di motivare il paziente e migliorarne la manualità.
Quando si associano spazzolamento e pulizia interdentale, è dimostrato che vi sia una maggiore rimozione di placca, con una riduzione del sanguinamento al sondaggio (“Bop” – Bleeding on probing) del 67%, rispetto al 37% del solo spazzolamento3.
Vi è dunque la necessità di nuove tecniche e/o dispositivi che rendano più facile la detersione delle aree interdentali10, visto che il loro utilizzo, corretto e costante, consente di acquisire un controllo di placca soddisfacente.
Nel formulare raccomandazioni personalizzate, gli operatori devono considerare con attenzione l’evidenza scientifica esistente in relazione all’efficacia dei diversi ausili per la pulizia interdentale2. Anche se sulla base di un ridotto numero di dati pubblicati in letteratura, si è ottenuto un miglioramento della performance igienica domiciliare grazie all’introduzione di strumenti di igiene che presentano un disegno innovativo7,11.
Dal momento che in molti pazienti la rimozione meccanica della placca non è sufficientemente efficace, e dovrebbe essere migliorata12, proporre l’utilizzo di spazzolini interdentali anatomicamente modificati, associati ad istruzioni dettagliate sul loro impiego, può risultare proficuo. Infatti, sulla base di studi a breve durata, anche un singolo episodio di istruzione nell’igiene orale, che descriva l’uso degli strumenti di igiene, determina un effetto positivo significativo, seppur modesto, sulla riduzione della gengivite12.
Bibliografia
1. The American Academy of Periodontology (AAP), Comprehensive Periodontal Therapy: A Statement by the American Academy of Periodontology, J Periodontol., July 2011.
2. Davies RM., How effective are interdental cleaning aids in improving dental health?, Dent Update. 2010 Jun;37(5):284-5.
3. Chieffi S, Francetti L, Oreglia F and Rotundo R. Progetto terapia. Sidp 2003:8-16.
4. Bader HI. Floss or die: implications for dental professionals. Dent Today. 1998 Jul;17(7):78-81.
5. Bucci Sabbattini, V., Nucera, A. e Roncati M.,P.B., Parodontologia, Masson ed., 2001.
6. Roncati M. e Marzola P. Parodontologia Non Chirurgica il KIT MINIMALISTA Cd rom Mini Atlanti Promoden, ACME ed. 2006.
7. Sicilia A, Arregui I, Gallego M, Cabezas B, Cuesta S., Home oral hygiene revisited. Options and evidence, Oral Health Prev Dent. 2003;1 Suppl 1:407-22.
8. Woodall I, Gurenlian J and O'Hehir T, Young NS. Comprehensive Dental Hygiene Care. Periodontal debridement. Part 1. RDH. 1993 Sep;13(9):26, 28, 32.
9. Woodall I, Young NS and O'Hehir T. Comprehensive Dental Hygiene Care. Periodontal debridement. Part 2. RDH. 1993 Oct;13(10):26, 28.
10. Warren PR, Chater BV., An overview of established interdental cleaning methods, J Clin Dent. 1996;7(3 Spec No):65-9.
11. Chongcharoen N, Lulic M, Lang NP., Effectiveness of different interdental brushes on cleaning the interproximal surfaces of teeth and implants: a randomized controlled, double-blind cross-over study. Clin Oral Implants Res. 2012 May;23(5):635-40.
12. van der Weijden GA, Hioe KP., A systematic review of the effectiveness of self-performed mechanical plaque removal in adults with gingivitis using a manual toothbrush, J Clin Periodontol. 2005;32 Suppl 6:214-28.
L'articolo è stato pubblicato sul numero 3 di Hygiene Tribune Italy 2012.
TePe presenta TePe EasyPick™ – un modo facile ed efficace per pulire tra i denti.
«Siamo orgogliosi di offrire al mercato internazionale ...
FUKUOKA, Giappone: La Giornata Mondiale del Diabete, che si tiene ogni anno il 14 novembre, è sempre un’occasione per sottolinea la necessità di una ...
I bandi del Mise sono operativi in tutta Italia. Sono in vigore due bandi che agevolano le piccole e medie imprese di tutta Italia che avviano iniziative ...
L’Inail sta preparando il nuovo bando che concede incentivi alle imprese che investono nella salute e sicurezza sui luoghi di lavoro. L’uscita ...
L’odontoiatria moderna richiede standard sempre più elevati nella rifinitura e modellazione interprossimale, soprattutto in ambito restaurativo e ...
Il nuovo TePe Filo Interdentale è piatto, largo e cerato per un’efficace rimozione della placca, ha un fresco gusto alla menta e completa ...
Il live webinar si prefigge lo scopo di approfondire tutte le problematiche che l’attuale implantologia sta incontrando soprattutto alla luce dello ...
LONDRA, REGNO UNITO: Per aiutare le équipe odontoiatriche ad affrontare il problema della resistenza antimicrobica, il College of General Dentistry e la ...
Bruxelles, Belgio: Le nuove raccomandazioni sulle migliori pratiche di gestione degli aspetti psico-oncologici del cancro alla testa e al collo sono state ...
Stoccolma - Il Karolinska Institutet ha investito in una nuovo schermo per la visualizzazione interattiva che mira a migliorare la conoscenza ...
Live webinar
mer. 15 aprile 2026
20:00 (CET) Rome
Live webinar
gio. 16 aprile 2026
2:00 (CET) Rome
Linda Hecker MS, BSDH, RDH
Live webinar
gio. 16 aprile 2026
18:00 (CET) Rome
Dr. Pär-Olov Östman, Dr. Robert Gottlander DDS
Live webinar
ven. 17 aprile 2026
18:00 (CET) Rome
Live webinar
ven. 17 aprile 2026
19:00 (CET) Rome
Dr. Stuart Yeaton BDentSc, MOrth
Live webinar
lun. 20 aprile 2026
19:00 (CET) Rome
Dr. Alberto Monje DDS, MS, PhD
Live webinar
mer. 22 aprile 2026
17:00 (CET) Rome
MDT Andreas Chatzimpatzakis
To post a reply please login or register