Il mondo dell’odontoiatria chiede all’Italia un passo avanti in tema di maltrattamenti ai minori, come hanno fatto Usa e paesi scandinavi che si sono dotati di Registri per censire i traumi dentari.
Al congresso della Società Italiana di Traumatologia Dentale svoltosi a Cagliari al T-Hotel con l’Associazione Italiana Odontoiatri, i presidenti delle due associazioni, Enrico Spinas per SITD e Pierluigi Delogu per AIO, hanno presentato il 23 giugno richiesta ufficiale al Governo di istituire un Registro nazionale dei traumi dentari.
Oggetto di una lettera al ministro della Salute Beatrice Lorenzin per un incontro con AIO e SITD mirato a istituzionalizzare una Giornata Nazionale della Promozione della Salute Orale da celebrare il 20 marzo di ogni anno, la richiesta è stata avanzata sotto gli auspici del presidente del Collegio dei docenti Antonella Polimeni, la quale ha presentato le Linee guida sui traumi del Ministero, inquadrandole nel più ampio campo delle linee guida sulla prevenzione varate nel 2012, sottolineando come i traumi dentali possano essere spia di maltrattamenti su minori o di negligenza nei loro confronti.
Odontoiatria italiana dunque unita nel rappresentare le istanze dei minori appartenenti a tutte le fasce sociali. Evento di aggiornamento Ecm in primo luogo, il congresso ha registrato oltre 400 presenze in due giorni di relazioni (più di 200 partecipanti al giorno). Tra i principali interventi, quello di Damaso Caprioglio, decano e socio fondatore SITD, autore di un excursus storico della società di Traumatologia in Italia e in Europa e la Lectio Magistralis di Nicola Perrini, presidente della prestigiosa Associazione Amici di Brugg.
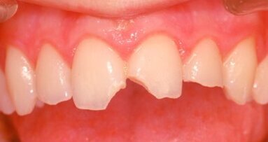
I traumi dentali, che rappresentano un grande “capitolo clinico”, sono di frequente riscontro nella pratica quotidiana di uno studio ...
ATENE, Grecia: Con l’aumento dell’uso dei flussi di lavoro digitali in protesi e ortodonzia, la scelta del metodo di stampa 3D più adatto per i modelli...
BIRMINGHAM, UK: Dalla loro introduzione alcuni anni fa, i monopattini elettrici hanno continuato a guadagnare popolarità nella mobilità urbana in tutto il...
A Villa Raby, sede dell’Ordine dei Medici di Torino si è svolto sabato 30 maggio a cura della CAO di Torino il “Traumatology Dental ...
NEW YORK, USA: I dentisti negli Stati Uniti ora si trovano all'epicentro di una pandemia, per cui vengono invitati a fornire assistenza urgente per ...
Di traumatologia oro facciale si era già parlato al Lingotto nel corso di una Tavola Rotonda svoltasi l’8 marzo a cura della Siof e della ...
Si è aperto a Chieti mercoledì 21 aprile, per chiudersi venerdì 23, il Congresso Nazionale dei Docenti di Scienze Odontostomatologiche ...
Il 31 marzo, presso la SO.SE (Società per gli Studi di Settore), è stata convocata una riunione della Commissione Esperti per discutere e ...
Intervista al dott. Gianni Barbuti.
Londra, UK: nei paesi occidentali, come il Regno Unito, si stima che quasi un bambino ogni tre è a oggi sovrappeso o obeso. Allo stesso tempo, un ...
Live webinar
gio. 7 maggio 2026
2:00 (CET) Rome
Ms. Ellen Karlin, Dr. Sara Karlin
Live webinar
gio. 7 maggio 2026
17:00 (CET) Rome
Live webinar
gio. 7 maggio 2026
18:00 (CET) Rome
Live webinar
gio. 7 maggio 2026
18:00 (CET) Rome
Dra. Maria Carolina Erhardt, Dra. Thais Tomé Feldens
Live webinar
gio. 7 maggio 2026
20:30 (CET) Rome
Live webinar
lun. 11 maggio 2026
18:00 (CET) Rome
Live webinar
lun. 11 maggio 2026
19:00 (CET) Rome
To post a reply please login or register