I probiotici possono essere batteri, lieviti o muffe, ma più comunemente le specie batteriche sono predominanti e tra questi ultimi i più popolari sono i batteri produttori di acido lattico. Un ceppo probiotico, per essere definito tale, deve essere caratterizzato e ben definito; deve cioè essere in grado di apportare uno specifico effetto benefico alla salute che deve essere confermato da evidenze scientifiche tramite studi clinici randomizzati.
La dose necessaria perché possano esplicarsi le proprietà probiotiche è detta dose di colonizzazione e dipende dal ceppo utilizzato e dal tipo di beneficio che si vuole ottenere. Sulla base delle evidenze disponibili la quantità minima sufficiente per ottenere una temporanea colonizzazione dell’intestino da parte di un ceppo microbico è di almeno 10⁹ cellule vive per giorno. Per essere utilizzato nella pratica clinica un probiotico deve possedere delle caratteristiche fondamentali, ossia: deve essere di origine umana, deve resistere ai succhi gastrici e agli acidi biliari, deve essere in grado di aderire alle pareti intestinali e di moltiplicarsi all’interno dell’intestino, deve essere sicuro per la salute umana ed essere in grado di contrastare i patogeni. La maggior parte dei probiotici utilizzati sono isolati da esseri umani sani ma alcuni provengono da alimenti fermentati che spesso vengono però addizionati di probiotici per ottenere una quantità superiore e poter apportare benefici. Oltre agli alimenti funzionali i probiotici sono commercializzati sotto forma di preparazioni come gel, compresse masticabili, fiale orosolubili, gocce, capsule, liofilizzati ecc.
Lo scopo del presente lavoro è quello di valutare l’effetto dei probiotici nel ridurre e ritardare la comparsa delle black stains, con la consapevolezza che questo tipo di integratore alimentare può aiutare a ristabilire l’eubiosi del microbiota orale e possa allo stesso tempo giovare sia alla salute orale dell’individuo, sia a quella generale.
Sono stati selezionati due pazienti in buono stato di salute generale e con un quadro dento-parodontale sano e stabile che presentavano black stains. Entrambi, in seguito alla raccolta dei dati anamnestici e agli indici parodontali, sono stati istruiti e motivati ad una corretta igiene orale; dopo circa due settimane sono stati sottoposti ad una seduta di igiene orale professionale ed è stata consigliata l’assunzione giornaliera di un integratore alimentare contenente probiotici per tre mesi consecutivi. Il probiotico in questione è “Lautoselle”, prodotto da Bromatech, contenente Lactobacillus salivarius Ls-33, Lactobacillus rhamnosus Lr-32, Lactobacillus achidophilus La-14 e vitamina C. Il produttore raccomanda l’assunzione di uno stick pack al giorno: è possibile sciogliere il contenuto della bustina in poca acqua da trattenere per qualche secondo in bocca prima di deglutire, oppure versare il contenuto della bustina direttamente sulla lingua. I pazienti sono stati quindi monitorati al termine del trattamento e successivamente ad una distanza di sei mesi dalla prima seduta di igiene orale professionale per quanto riguarda la prima paziente e subito dopo la fine del trattamento con “Lautoselle” il secondo.
| Valori medi |
Per dose giornaliera (1 stick pack) |
VNR* |
| Vitamina C |
12 mg |
15% |
| Lactobacillus rhamnosus (LR-32)
|
meno di 10^9 UFC
|
- |
| Lactobacillus salivarius (LS-33)
|
più di 10^9 UFC
|
- |
| Lactobacillus acidophilus (LA-14)
|
pari a 10^9 UFC |
- |
*VNR: valori nutritivi di riferimento.
Tabella che illustra le caratteristiche nutrizionali di Lautoselle.
Caso n.1
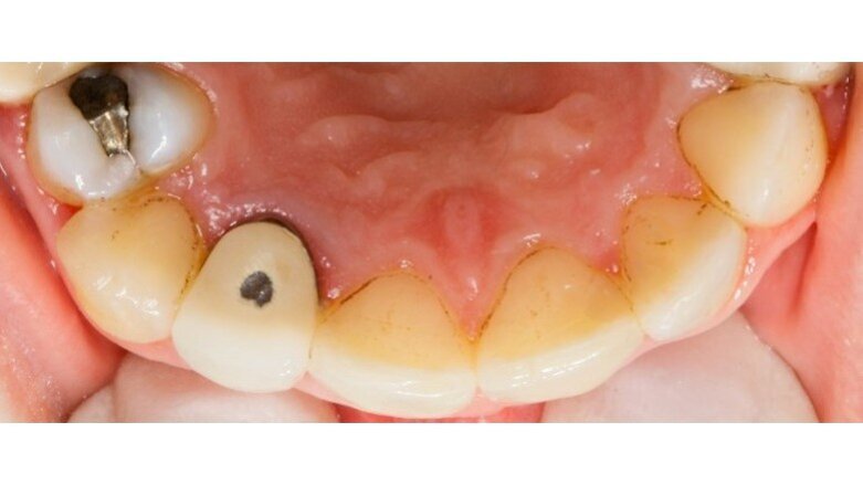
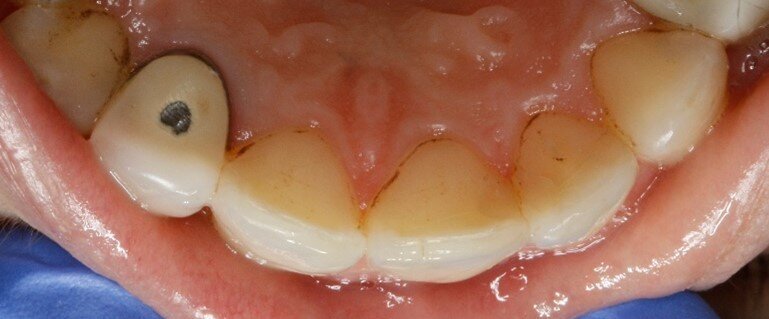
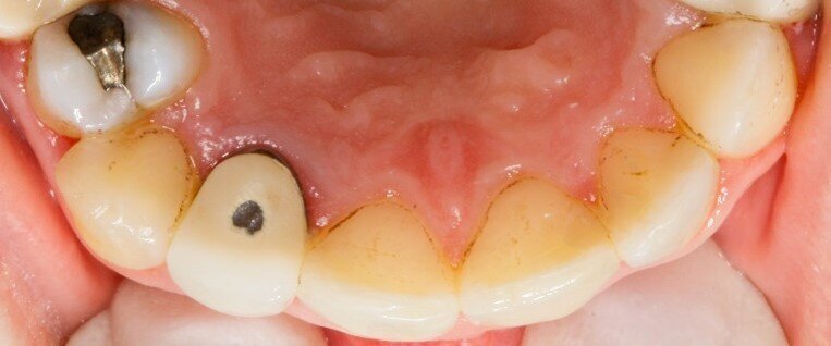
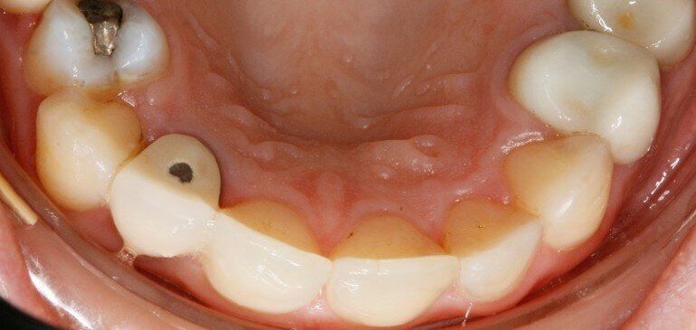
La prima paziente è una donna di anni 33 che gode di buona salute generale, non assume farmaci e non è una fumatrice. All’esame obiettivo si notano diverse otturazioni in amalgama, corone protesiche e un impianto osteointegrato ma non emergono problemi particolari, eccetto delle black stains di cui la paziente lamenta la presenza. Si procede con la raccolta della documentazione fotografica, la rilevazione dell’indice di placca attraverso l’utilizzo del rivelatore di placca e la compilazione della cartella parodontale. Dall’analisi dei dati raccolti non emergono problematiche parodontali, ma è da notare quanto l’igiene domiciliare sia insufficiente (IP=69%). Vengono raccolti in una tabella riassuntiva anche i dati relativi alla presenza di black stains. Si prosegue con la motivazione e l’istruzione ad un’accurata igiene orale domiciliare e si invita la paziente a tornare una decina di giorni dopo per sottoporsi ad una seduta di igiene orale professionale. La paziente ha dimostrato una buona adherence rispetto ai consigli di igiene che le sono stati dati, il livello di igiene orale è notevolmente migliorato e si decide per un richiamo di igiene semestrale. Dopo aver effettuato la seduta di igiene professionale si chiede alla paziente di cambiare testina allo spazzolino elettrico in uso e di assumere “Lautoselle” una volta al giorno per i tre mesi successivi. La paziente viene controllata dopo un mese e quindi al termine del periodo di assunzione del probiotico, vengono nuovamente scattate delle fotografie e compilata la tabella riassuntiva per monitorare la formazione delle black stains. Infine, lo stesso tipo di controllo viene effettuato dopo altri tre mesi, cioè a distanza di sei mesi dalla seduta di igiene orale e quindi dalla rimozione delle black stains; successivamente è stata effettuata la seduta di mantenimento di igiene.
Caso n. 2
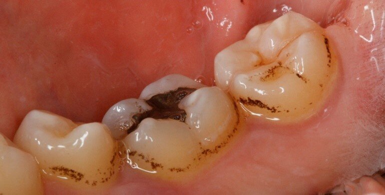
Il secondo paziente è un uomo di anni 55 con anamnesi negativa, che non assume farmaci e non fuma. All’esame obiettivo si notano immediatamente black stains molto evidenti sui versanti vestibolari dei denti posteriori. Si procede con la raccolta della documentazione fotografica, la rilevazione dell’indice di placca attraverso l’utilizzo del rivelatore di placca e la compilazione della cartella parodontale. Dall’analisi dei dati raccolti si deduce che il paziente ha sofferto in passato di parodontite e ha affrontato terapia parodontale non chirurgica per stabilizzare la situazione parodontale. Ad oggi il parodonto è stabile e l’igiene è discreta (IP=30%). Vengono raccolti in una tabella riassuntiva anche i dati relativi alla presenza di black stains. Si prosegue con la motivazione e l’istruzione ad un’accurata igiene orale domiciliare e si sottopone il paziente ad una seduta di igiene orale professionale. Dopo aver effettuato la seduta di igiene professionale si chiede al paziente di cambiare testina allo spazzolino elettrico in uso e di assumere “Lautoselle” una volta al giorno per i tre mesi successivi. Il paziente viene controllato dopo un mese e quindi al termine di questo periodo di assunzione del probiotico, vengono nuovamente scattate delle fotografie e compilata la tabella riassuntiva per monitorare la formazione delle black stains. Nonostante il miglioramento dell’igiene orale domiciliare, visti anche gli impegni personali e lo stile di vita del paziente stesso, si decide di procedere ad un deplaquing con polveri di glicina per mantenere lo stato di salute orale del paziente e di interrompere lo studio.
Risultati caso 1
Durante la prima raccolta dati sono stati rilevati 32 siti totali che presentavano black stains (Tab. 1), nessun sito nel controllo ad un mese dall’inizio dell’assunzione di “Lautoselle”, 8 siti con back stains nel controllo a tre mesi dalla prima seduta di igiene orale (Tab. 2), infine, 15 siti, tutti nell’arcata superiore e tutti di primo grado, a distanza di sei mesi dalla prima igiene orale professionale (Tab. 3).
|
18 |
17 |
16 |
15 |
14 |
13 |
12 |
11 |
21 |
22 |
23 |
24 |
25 |
26 |
27 |
28 |
| V |
|
• |
••• |
|
• |
|
|
|
|
|
• |
• |
|
••• |
• |
• |
| P |
|
• |
•• |
|
•• |
•• |
•• |
•• |
•• |
•• |
•• |
•• |
• |
•• |
•• |
• |
|
48 |
47 |
46 |
45 |
44 |
43 |
42 |
41 |
31 |
32 |
33 |
34 |
35 |
36 |
37 |
38 |
| V |
• |
|
|
|
|
|
|
|
|
|
• |
• |
|
|
|
|
| L |
• |
• |
|
|
• |
• |
|
|
|
|
|
|
|
• |
• |
• |
Tab. 1 - Schema riassuntivo della presenza di black stains sugli elementi dentari a tempo 0.*
|
18 |
17 |
16 |
15 |
14 |
13 |
12 |
11 |
21 |
22 |
23 |
24 |
25 |
26 |
27 |
28 |
| V |
|
• |
• |
|
|
|
|
|
|
|
|
|
|
|
|
|
| P |
|
• |
|
|
|
• |
|
|
• |
|
|
• |
|
• |
• |
|
|
48 |
47 |
46 |
45 |
44 |
43 |
42 |
41 |
31 |
32 |
33 |
34 |
35 |
36 |
37 |
38 |
| V |
|
|
|
|
|
|
|
|
|
|
|
|
|
|
|
|
| L |
|
|
|
|
|
|
|
|
|
|
|
|
|
|
|
|
Tab. 2 - Schema riassuntivo della presenza di black stains sugli elementi dentari al termine dell’assunzione di “Lautoselle”.*
|
18 |
17 |
16 |
15 |
14 |
13 |
12 |
11 |
21 |
22 |
23 |
24 |
25 |
26 |
27 |
28 |
| V |
|
• |
• |
|
|
|
|
|
|
|
|
|
|
• |
• |
• |
| P |
|
• |
•• |
• |
|
•• |
|
•• |
•• |
•• |
•• |
|
|
•• |
•• |
|
|
48 |
47 |
46 |
45 |
44 |
43 |
42 |
41 |
31 |
32 |
33 |
34 |
35 |
36 |
37 |
38 |
| V |
|
|
|
|
|
|
|
|
|
|
|
|
|
|
|
|
| L |
|
|
|
|
|
|
|
|
|
|
|
|
|
|
|
|
Tab. 3 - Schema rissuntivo della presenza di black stains sugli elementi dentari a distanza di 6 mesi dalla prima igiene orale professionale.*
*I simboli •/••/••• stanno ad indicare rispettivamente il primo, secondo e terzo grado secondo i criteri di classificazione di Gasparetto e coll.
A distanza di sei mesi dalla rimozione dei pigmenti durante la seduta di igiene orale professionale, i siti che presentano black stains sono diminuiti del 53,13%. I pigmenti inoltre hanno iniziato a ripresentarsi, seppur in quantità ridotte, a due mesi dalla seduta di igiene, mentre solitamente la ricomparsa avveniva a distanza di 3-4 settimane (Figg. 4a-4c).
Fig. 4a - Fotografia del secondo sestante palatale al primo rilevo delle black stains.
Fig. 4b - Controllo a tre mesi.
Fig. 4c - Controllo a sei mesi.
Risultati caso 2
Durante la prima raccolta dati sono stati rilevati 31 siti totali che presentavano black stains (Tab. 4), 13 siti nel controllo ad un mese dall’inizio dell’assunzione di “Lautoselle” (Tab. 5), infine, 18 siti una volta terminata l’assunzione di “Lautoselle” (Tab. 6); di questi ultimi tutti i siti che presentano black stains sono di primo grado e molto meno evidenti rispetto alla prima raccolta dati. Rispetto al caso precedente i risultati sono stati meno soddisfacenti: i siti che presentano black stains corrispondono al 55,8% rispetto a quelli iniziali già al termine del periodo di assunzione di “Lautoselle”. Va in ogni caso considerato che i pigmenti presenti sono molto evidenti e che, per ammissione del paziente stesso, l’assunzione del probiotico non è stata scrupolosa (Figg. 5a-5c).
|
18 |
17 |
16 |
15 |
14 |
13 |
12 |
11 |
21 |
22 |
23 |
24 |
25 |
26 |
27 |
28 |
| V |
• |
•• |
• |
• |
• |
• |
|
|
|
|
• |
• |
|
|
• |
|
| P |
• |
• |
• |
• |
• |
|
|
|
|
|
|
|
• |
• |
• |
|
|
48 |
47 |
46 |
45 |
44 |
43 |
42 |
41 |
31 |
32 |
33 |
34 |
35 |
36 |
37 |
38 |
| V |
|
• |
••• |
• |
• |
|
|
|
|
|
|
|
|
• |
• |
|
| L |
|
• |
• |
• |
• |
|
|
|
|
|
|
• |
•• |
•• |
• |
|
Tab. 4 -Schema riassuntivo della presenza di black stains sugli elementi dentari a tempo 0.*
|
18 |
17 |
16 |
15 |
14 |
13 |
12 |
11 |
21 |
22 |
23 |
24 |
25 |
26 |
27 |
28 |
| V |
|
• |
• |
|
|
|
|
|
|
|
|
|
|
• |
• |
|
| P |
|
• |
• |
• |
• |
|
|
|
|
|
|
|
|
• |
• |
|
|
48 |
47 |
46 |
45 |
44 |
43 |
42 |
41 |
31 |
32 |
33 |
34 |
35 |
36 |
37 |
38 |
| V |
|
|
|
|
|
|
|
|
|
|
|
|
|
|
|
|
| L |
|
|
|
|
|
|
|
|
|
|
|
|
• |
• |
• |
|
Tab. 5 -Schema riassuntivo della presenza di black stains sugli elementi dentari dopo 1 mese dall’assunzione di “Lautoselle”.*
|
18 |
17 |
16 |
15 |
14 |
13 |
12 |
11 |
21 |
22 |
23 |
24 |
25 |
26 |
27 |
28 |
| V |
|
• |
• |
|
|
|
|
|
|
|
|
|
|
• |
• |
|
| P |
|
• |
• |
• |
• |
|
|
|
|
|
|
• |
• |
• |
• |
|
|
48 |
47 |
46 |
45 |
44 |
43 |
42 |
41 |
31 |
32 |
33 |
34 |
35 |
36 |
37 |
38 |
| V |
|
|
• |
• |
• |
|
|
|
|
|
|
|
|
|
|
|
| L |
|
|
|
|
|
|
|
|
|
|
|
|
• |
• |
• |
|
Tab. 6 -Schema riassuntivo della presenza di black stains sugli elementi dentari al termine dell’assunzione di “Lautoselle”.*
*I simboli •/••/••• stanno ad indicare rispettivamente il primo, secondo e terzo grado secondo i criteri di classificazione di Gasparetto e coll.
Fig. 5a - Fotografia del quarto sestante linguale al primo rilievo delle black stains.
Fig. 5b - Controllo dopo un mese.
Fig. 5c - Controllo a tre mesi.
Rispetto al caso precedente i risultati sono stati meno soddisfacenti: i siti che presentano black stains corrispondono al 55,8% rispetto a quelli iniziali già al termine del periodo di assunzione di “Lautoselle”. Va in ogni caso considerato che i pigmenti presenti sono molto evidenti e che, per ammissione del paziente stesso, l’assunzione del probiotico non è stata scrupolosa.
Tag:
L’aumento della cultura della prevenzione odontoiatrica ha portato un maggior numero di persone a sottoporsi a trattamento ortodontico in età ...
L’aumento della cultura della prevenzione odontoiatrica ha portato un maggior numero di persone a sottoporsi a trattamento ortodontico in età ...
La Black Stain è un tipo di decolorazione estrinseca del dente che può essere diagnosticata dal clinico riscontrando linee pigmentate parallele al margine...
Atlanta (USA): L'organizzazione per la Sicurezza, la Sepsi e la Prevenzione (OSAP), sodalizio che promuove la sicurezza in odontoiatria, ha annunciato il ...
La perdita dei denti innesca un processo di riassorbimento al livello della cresta alveolare che è diverso da individuo a individuo.
SAN JOSE, California, USA: Secondo un rapporto pubblicato di recente, l’ aumento della domanda di trattamenti dentali e l’incremento della ...
Le Radiazioni Elettromagnetiche, RE, pluricromatiche e incoerenti emesse dal sole (Fig. 2), così come le RE monocromatiche, coerenti e amplificate ...
Prevenzione, innanzitutto. È su questo principio che si fonda l’impiego del “test salivare”, che può essere introdotto nella pratica quotidiana per ...
In qualità di vice-direttore del dipartimento di odontoiatria operativa e preventiva della Charité-Universitätsmedizin Berlin in Germania, il Prof. Falk ...
La salute del cavo orale è fortemente condizionata dalla responsabilità che percepisce il paziente nel continuare il piano terapeutico di prevenzione ...
Live webinar
gio. 7 maggio 2026
17:00 (CET) Rome
Live webinar
gio. 7 maggio 2026
18:00 (CET) Rome
Live webinar
gio. 7 maggio 2026
18:00 (CET) Rome
Dra. Maria Carolina Erhardt, Dra. Thais Tomé Feldens
Live webinar
gio. 7 maggio 2026
20:30 (CET) Rome
Live webinar
lun. 11 maggio 2026
18:00 (CET) Rome
Live webinar
lun. 11 maggio 2026
19:00 (CET) Rome
Live webinar
mar. 12 maggio 2026
19:00 (CET) Rome
To post a reply please login or register