La Black Stain è un tipo di decolorazione estrinseca del dente che può essere diagnosticata dal clinico riscontrando linee pigmentate parallele al margine gengivale o, più raramente, come punti scuri estesi oltre il terzo cervicale della corona1.
Si riscontra più facilmente in età pediatrica, ma è possibile trovare queste pigmentazioni anche negli adulti, indipendentemente dal sesso. Queste macchie sono di difficile rimozione, infatti con la sola igiene orale quotidiana non si hanno risultati e anche dopo igiene orale professionale si possono avere recidive. Le Black Stain sono costituite da solfuri ferrici, i quali a seguito della reazione chimica che avviene tra l’idrogeno solforato, prodotto dai batteri anaerobi (come per esempio Porphyromonas Gingivalis, Prevotella Intermedia e Prevotella Nigrescens) e l’accesso di ferro nella saliva, si depositano sulla superficie dei denti2. Secondo numerosi studi anche i cromogeni della dieta presenti nel thè, caffè e in altre bevande (tannini), il tabacco e la clorexidina possono provocare colorazione estrinseca data dall’assorbimento di queste sostanze sulla superficie del dente attraverso la placca o pellicola acquisita3. Numerosi studi riportano che i bambini che presentano Black Stain hanno meno probilità di essere affetti da malattia cariosa4.
Secondo lo studio di Henrich- Weltzein i bambini con BS hanno DMFT inferiore (p = 0,013), valori DT inferiori (p = 0,005) e una tendenza ad abbassare la prevalenza della carie (p = 0,061) rispetto ai bambini senza Black Stain5. Il trattamento di queste pigmentazioni risulta ancora una sfida, infatti anche dopo aver eseguito una seduta di igiene orale professionale, la pigmentazione tende a ripresentarsi, questo perché non elimina la causa, ma risolve solo momentaneamente il problema estetico. I trattamenti più efficaci, presenti in letteratura, sono l’assunzione di lattoferrina6, il laser a diodi7, il laser nd: YAG8 e la fototerapia9.
Case report
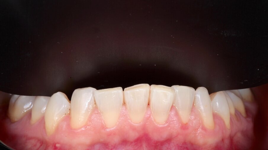
Una paziente donna di 50 anni in buone condizioni di salute generale, si è presentata alla nostra attenzione per la presenza di pigmentazioni di colore nero sulla superficie dei denti (Fig. 1). La paziente ha sempre eseguito regolarmente le sedute di igiene orale professionale, ma le pigmentazioni sono ricomparse dopo pochi mesi. La paziente è stata sottoposta ad una seduta di laser terapia, quindi dopo aver posizionato il gel al fluoro sulle superfici dei denti, è stata eseguita l’irradiazione mediante laser a diodi con lunghezza d’onda di 970 nm, potenza di 1,5 W e per un tempo di circa 10 secondi per dente (Fig. 2). Inoltre, sono state prescritte alla paziente compresse di lattoferrina due volte al giorno, lontane dai pasti, per 60 giorni.
Risultati
Alla visita di controllo dopo 60 giorni è stata riscontrata al paziente un’importante riduzione delle Black Stain (Fig. 3). Gli è stato inoltre consigliato di continuare il trattamento con le compresse di lattoferrina per altri quattro mesi, per un totale di sei mesi in aggiunta all’utilizzo dello spazzolino elettrico e ad un dentifricio contenente idrossiapatite.
Discussioni
Le pigmentazioni che si possono riscontrare a livello del dente possono essere:
- Intrinseche: correlate alle proprietà dello smalto e della dentina;
- Estrinseche: associate alla deposizione di macchie alimentari o bevande sulla superficie del dente (vino rosso, caffè, thè, Coca-Cola), fumo, assunzione di cibi ricchi di tannino (spinaci, cavoli, broccoli e barbabietole), eccessi nell’utilizzo di collutorio alla clorexidina.
In accordo con lo studio di Reid e colleghi la pigmentazione marrone e nera contiene ferro non disciolto, probabilmente ferro-solfuro, che si forma per l’interazione dell’idrogeno solfuro prodotto dai batteri del tessuto parodontale e del ferro della saliva o dagli essudati gengivali9. Il trattamento delle Black Stain è difficile, la rimozione classica di questi pigmenti comprende alcuni metodi come l’utilizzo di dentifrici sbiancanti, igiene orale professionale, lucidatura dei denti, ma la pigmentazione tende a ripresentarsi. Da quanto si può dedurre dalla letteratura scientifica, i trattamenti più efficaci sono la lattoferrina, il laser a diodi, il laser nd: YAG e la fototerapia.
In accordo con lo studio di Nakano e colleghi la lattoferrina (LF) e la lattoperossidasi (LPO) sono proteine antimicrobiche che si trovano nella saliva; che può favorire il passaggio da una comunità altamente diversificata e dominata dai Gram negativi a una comunità dominata dai Gram-positivi nel microbiota della placca sopragengivale e del rivestimento della lingua6. Un altro studio di Bernardo e colleghi riporta che l’applicazione della fototerapia si traduce in una riduzione dell’area, colore e colonizzazione batterica della placca nera negli adulti8. La letteratura risulta comunque scarsa al momento, dunque saranno necessari ulteriori studi per approfondire l'argomento.
Bibliografia
- Lie Y, Zhang Q, Zhang F, Liu R, Chen F. Analysis of the microbiota of black stain in the primary dentition. Plos One. 2015, 4 September
- Chen X, Zhan YY, Lu HX, Ye W, Zhang W, Yang WJ, et al. Factors associated with black tooth stain in Chinese preschool children. Clin Oral Investig. 2014; 18(9): 2059–66
- Ronay V, Attin T. Black stain – a review. Oral Health Prev Dent 2011;9:37–45
- Prskalo K, Sever EK, Aleric I, Jelic TA, Zaja I. Risk factors associated with black tooth stain. Acta Clin Croat. 2017;56:28-35
- Heinrich-Weltzien R, Bartsch B, Eick S. Dental caries and microbiota in children with black stain and non-discolured dental plaque. Caries Res. 2014;48:118-125
- Nakano M, Wakabayashi H, Sugahara H, Odamaki T, Tamauchi K, Abe F, et al. Effects of lactoferrin and lactoperoxidase-containing food on the oral microbiota in the elderly. The societies and John Wiley & Sons Australia. 2017
- De Sousa Farias SS, Nemezio MA, Corona SA, Aires CP, Borsatto MC. Effects of low-level therapy combined with toluidine blue on polysaccharides and biofilm of streptococcus mutnas. Lasers Med Sci. 2016 Jul;31(5):1011-6.
- Albelda-Bernardo MA, De Mar Jovani-Sancho M, Veses V, Sheth CC. Remediation of adult black dental stains by phototherapy. BDJ Open. 2018;4:17035.
- Reid JS, Beeley A, Macdonald DG. Investigations into black extrinsic tooth stain. J Dent Res. 1977;56(8):895-9.
Tag:
L’aumento della cultura della prevenzione odontoiatrica ha portato un maggior numero di persone a sottoporsi a trattamento ortodontico in età ...
L’aumento della cultura della prevenzione odontoiatrica ha portato un maggior numero di persone a sottoporsi a trattamento ortodontico in età ...
Trials clinici hanno dimostrato che il fallimento implantare non è ascrivibile solamente a un sovraccarico funzionale. Nella maggior parte dei casi ...
In prevenzione terziaria, la terapia odontoiatrica più legata alla bellezza di un sorriso è la terapia ortodontica.
I probiotici possono essere batteri, lieviti o muffe, ma più comunemente le specie batteriche sono predominanti e tra questi ultimi i più popolari sono i ...
La classe II scheletrica rappresenta una malocclusione molto diffusa nella popolazione e può presentarsi con un’ampia varietà di configurazioni dentali ...
Il laser a diodi ha come mezzo attivo un semiconduttore ed emette un raggio laser di lunghezza d’onda compresa tra 640 e 1064 nm. Recentemente sono ...
Il laser a diodi ha come mezzo attivo un semiconduttore ed emette un raggio laser di lunghezza d’onda compresa tra 640 e 1064 nm. Recentemente sono ...
La ricerca del sorriso estetico ha portato tutte le branche della medicina odontoiatrica a cercare delle soluzioni terapeutiche che coniughino la conoscenza...
La ricerca del sorriso estetico ha portato tutte le branche della medicina odontoiatrica a cercare delle soluzioni terapeutiche che coniughino la conoscenza...
Live webinar
mar. 19 maggio 2026
17:00 (CET) Rome
Live webinar
mar. 19 maggio 2026
19:00 (CET) Rome
Prof. Dr. med. dent. Ivo Krejci
Live webinar
mer. 20 maggio 2026
13:00 (CET) Rome
Dr. Graham Carmichael BDSc (Hons), DClinDent (Pros), FRACDS, Dr. Robert Gottlander DDS
Live webinar
mer. 20 maggio 2026
15:00 (CET) Rome
Live webinar
mer. 20 maggio 2026
17:00 (CET) Rome
Live webinar
mer. 20 maggio 2026
19:00 (CET) Rome
Prof. Dr. med. dent. Tim Joda PhD, MSc, eMBA
Live webinar
gio. 21 maggio 2026
18:00 (CET) Rome
Dr. Leonardo Muniz DDS, MSC
To post a reply please login or register